Другие названия и синонимы
Subinvolution of the uterus.
МКБ-10 коды
- МКБ-10
- N85.3 Субинволюция матки
|
|
Описание
Субинволюция матки. Послеродовое осложнение, характеризующееся замедлением восстановления нормальных (дородовых) размеров матки. Симптомами являются обильные кровянистые выделения бурого цвета, субфебрильная температура тела, отсутствие обычных схваткообразных болей при кормлении грудью. Наличие осложнения определяют посредством гинекологического осмотра, ультразвуковых исследований (УЗИ матки, трехмерная эхография). Лечение комплексное, включающееся в себя гормональные препараты - стимуляторы сокращения миометрия, антибиотики или противовирусные средства. Для стимуляции инволюции удаляют сгустки крови из матки, производят гинекологический массаж.
Дополнительные факты
Приставка «суб» в термине «субинволюция» обозначает неполную или частичную инволюцию (восстановление) матки после родов. Является достаточно частым послеродовым осложнением - оно регистрируется у 1-2% рожениц, а среди всех патологий после родов его доля составляет 30-50%. Существует научная дискуссия относительно того, считать ли это состояние отдельной нозологической единицей. Многие специалисты относят его к первым проявлениям послеродового эндометрита - к группе инфекционных осложнений после родов. Согласно иной точке зрения, субинволюция является самостоятельным заболеванием, вызывается бактериальной или вирусной инфекцией и практически всегда приводит к эндометриту.
Причины
Общепризнанная в акушерстве точка зрения непосредственной причиной развития патологии называет инфекционное воспаление бактериальной или вирусной природы. Но само наличие инфекции не гарантирует развитие осложнения, поэтому выделяют ряд предрасполагающих факторов. Степень их влияния различается у разных женщин, что затрудняет выявить четкую корреляцию. Выделяют следующие обстоятельства, способствующие развитию такого послеродового состояния:
• Задержка частей последа. Оставшиеся в полости матки фрагменты плаценты, плодного пузыря или сгустки крови практически всегда обнаруживают при субинволюции. Считается, что это состояние облегчает инфицирование половых органов с развитием эндометрита и замедлением восстановления матки.
• Патологии беременности. Многоводие, крупный плод, многоплодие являются предрасполагающими факторами к развитию такого осложнения. Кроме того, воспалительные заболевания во время вынашивания ребенка (пиелонефрит, цистит) также увеличивают риск развития послеродовой патологии.
• Аномалии родов. Затяжные или стремительные роды являются фактором риска возникновения данного осложнения в послеродовый период.
• Конституциональные особенности женщины. Существует мнение, что пониженная сократительная активность миометрия обусловлена генетическими и индивидуальными особенностями женского организма. У таких женщин вероятность появления этого послеродового осложнения в несколько раз выше.
Помимо вышеперечисленных предрасполагающих факторов, некоторыми исследователями отмечается повышенная частота развития субинволюции на фоне миомы матки, юного (менее 18 лет) или старшего репродуктивного (более 40 лет) возраста роженицы. Отсутствие кормления грудью на протяжении первых 4-5-ти дней после рождения ребенка увеличивает вероятность появления такого осложнения - это связано с отсутствием гормональной стимуляции при естественном вскармливании. Свою роль может сыграть неправильное расположение матки, нарушения ее связочного аппарата, анемия и системные заболевания.
• Задержка частей последа. Оставшиеся в полости матки фрагменты плаценты, плодного пузыря или сгустки крови практически всегда обнаруживают при субинволюции. Считается, что это состояние облегчает инфицирование половых органов с развитием эндометрита и замедлением восстановления матки.
• Патологии беременности. Многоводие, крупный плод, многоплодие являются предрасполагающими факторами к развитию такого осложнения. Кроме того, воспалительные заболевания во время вынашивания ребенка (пиелонефрит, цистит) также увеличивают риск развития послеродовой патологии.
• Аномалии родов. Затяжные или стремительные роды являются фактором риска возникновения данного осложнения в послеродовый период.
• Конституциональные особенности женщины. Существует мнение, что пониженная сократительная активность миометрия обусловлена генетическими и индивидуальными особенностями женского организма. У таких женщин вероятность появления этого послеродового осложнения в несколько раз выше.
Помимо вышеперечисленных предрасполагающих факторов, некоторыми исследователями отмечается повышенная частота развития субинволюции на фоне миомы матки, юного (менее 18 лет) или старшего репродуктивного (более 40 лет) возраста роженицы. Отсутствие кормления грудью на протяжении первых 4-5-ти дней после рождения ребенка увеличивает вероятность появления такого осложнения - это связано с отсутствием гормональной стимуляции при естественном вскармливании. Свою роль может сыграть неправильное расположение матки, нарушения ее связочного аппарата, анемия и системные заболевания.
Патогенез
Главную роль в патогенезе субинволюции матки играют несколько факторов - снижение сократительной активности миометрия, длительное сохранение послеродового отека тканей, замедление лизиса коллагеновых волокон. Сокращение мышечных волокон замедляется в результате их перерастяжения в процессе беременности или из-за слабой нейрогуморальной стимуляции. Такой механизм является ведущим при истинных формах осложнения. Снижение сократительной способности не только замедляет восстановление, но и косвенно облегчает проникновение инфекции на поврежденную поверхность эндометрия, приводя к эндометриту.
Обратное развитие внутренних половых органов в норме происходит не только за счет сокращения мышечного слоя, но и по причине снижения отека тканей. В первый период после родов поверхность эндометрия имеет раневой характер, однако в течение 4-10 суток происходит ее заживление со снижением отечности за счет спазма и «скручивания» кровеносных сосудов. Но при наличии инородных тел в полости органа или инфицирования тканей возникшее воспаление способствует сохранению отека и возникновению микроциркуляторных расстройств. На этом фоне также замедляется расщепление коллагеновых волокон, однако четких и достоверных объяснений этому явлению пока не найдено.
Обратное развитие внутренних половых органов в норме происходит не только за счет сокращения мышечного слоя, но и по причине снижения отека тканей. В первый период после родов поверхность эндометрия имеет раневой характер, однако в течение 4-10 суток происходит ее заживление со снижением отечности за счет спазма и «скручивания» кровеносных сосудов. Но при наличии инородных тел в полости органа или инфицирования тканей возникшее воспаление способствует сохранению отека и возникновению микроциркуляторных расстройств. На этом фоне также замедляется расщепление коллагеновых волокон, однако четких и достоверных объяснений этому явлению пока не найдено.
Классификация
В акушерской практике существует несколько типов классификации субинволюции, но большинство из них не получили широкого распространения. Сложность классификации обусловлена рядом обстоятельств - обилием механизмов развития состояния, отсутствием достоверных данных о роли сопутствующих патологий (поздних гестозов, воспалений органов мочеполовой системы). Поэтому используется лишь один тип классификации данного послеродового осложнения, в основе которого - непосредственные причины возникновения патологии:
• Первичный или истинный тип. Встречается реже других разновидностей субинволюции матки. Такой диагноз ставится при замедлении восстановления органа на фоне полного отсутствия признаков бактериальной или вирусной инфекции. В рамках этого типа выделяют три подгруппы:
• Миогенный подтип. Медленная инволюция обусловлена в основном перерастяжением или слабостью миометрия. Данное состояние наблюдается после беременности, протекавшей с многоводием, крупным плодом, при стремительных или затяжных родах.
• Микроциркуляторный подтип. Причина заболевания такого типа заключается в медленном восстановлении кровеносной сети матки и сохранении отечности тканей. При этом патологию может спровоцировать поздний гестоз, недостаточное опорожнение мочевого пузыря и прямой кишки перед родами.
• Эндокринный подтип. Возникает при недостаточной нейрогуморальной стимуляции половой системы после родов. Может быть обусловлен как эндокринными патологиями, так и отсутствием грудного вскармливания на протяжении первых нескольких суток жизни ребенка.
• Инфекционный тип. Является причиной большинства случаев субинволюции, некоторыми специалистами рассматривается не как отдельное состояние, а в качестве одного из этапов послеродового эндометрита. Обусловлен воспалительными процессами, вызванными вирусными или бактериальными возбудителями, в том числе, условно-патогенной флорой. Риск развития осложнения повышается при наличии очагов инфекции в организме (пиелонефрит, цистит), задержке остатков последа в полости матки.
• Первичный или истинный тип. Встречается реже других разновидностей субинволюции матки. Такой диагноз ставится при замедлении восстановления органа на фоне полного отсутствия признаков бактериальной или вирусной инфекции. В рамках этого типа выделяют три подгруппы:
• Миогенный подтип. Медленная инволюция обусловлена в основном перерастяжением или слабостью миометрия. Данное состояние наблюдается после беременности, протекавшей с многоводием, крупным плодом, при стремительных или затяжных родах.
• Микроциркуляторный подтип. Причина заболевания такого типа заключается в медленном восстановлении кровеносной сети матки и сохранении отечности тканей. При этом патологию может спровоцировать поздний гестоз, недостаточное опорожнение мочевого пузыря и прямой кишки перед родами.
• Эндокринный подтип. Возникает при недостаточной нейрогуморальной стимуляции половой системы после родов. Может быть обусловлен как эндокринными патологиями, так и отсутствием грудного вскармливания на протяжении первых нескольких суток жизни ребенка.
• Инфекционный тип. Является причиной большинства случаев субинволюции, некоторыми специалистами рассматривается не как отдельное состояние, а в качестве одного из этапов послеродового эндометрита. Обусловлен воспалительными процессами, вызванными вирусными или бактериальными возбудителями, в том числе, условно-патогенной флорой. Риск развития осложнения повышается при наличии очагов инфекции в организме (пиелонефрит, цистит), задержке остатков последа в полости матки.
Клиническая картина
Первым симптомом заболевания выступает наличие кровянистых выделений (лохий), нередко обильных, бурого цвета. Патогномоничным признаком является сохранение кровотечений вплоть до позднего послеродового периода (3-4 недели). Косвенным симптомом патологии акушеры признают отсутствие схваткообразных болей внизу живота при кормлении ребенка грудью. Иногда могут регистрироваться тянущие болевые ощущения, не связанные с режимом кормления или другими внешними факторами. Наличие этих проявлений в сочетании с предрасполагающими факторами в анамнезе указывает на наличие нарушения.
Ассоциированные симптомы: Выделения из влагалища (бели). Кровянистые выделения из влагалища. Лейкоцитоз. Озноб. Тошнота.
Ассоциированные симптомы: Выделения из влагалища (бели). Кровянистые выделения из влагалища. Лейкоцитоз. Озноб. Тошнота.
|
|
Возможные осложнения
Любой тип субинволюции матки без должного лечения рано или поздно приводит к инфекционным осложнениям - эндометриту или эндомиометриту. Даже при истинном типе осложнения признаки инфекционного воспаления отсутствуют только поначалу, но замедление восстановления органов репродуктивной системы делает их уязвимыми перед болезнетворной микрофлорой, и условно-патогенной. Эндометрит может осложняться сепсисом, перитонитом, септическим шоком и другими процессами инфекционного характера. Реже это состояние может приводить к метротромбофлебитам, эмболии сосудов внутренних половых органов, тяжелым маточным кровотечениям.
Диагностика
Акушеры-гинекологи уже на этапе беременности определяют среди женщин группу риска, у которой с большей вероятностью возможно развитие субинволюции. К ней относят беременных с многоводием, миомой, крупным плодом, инфекционными и воспалительными патологиями мочеполовой системы, выраженными признаками гестоза. Такие женщины нуждаются в особом контроле в послеродовом периоде для своевременного выявления осложнений и начала их лечения. Для диагностики состояния применяют спектр акушерских исследований и общеклинических анализов:
• Консультация врача. Акушера. Специалист проводит расспрос, в его ходе определяет характер, объемы и длительность лохий, наличие или отсутствие субъективных симптомов. На основании полученных данных врач назначает ряд дополнительных диагностических процедур.
• Осмотр на кресле. Бимануальное исследование обнаруживает увеличение матки (не соответствие сроку после родов), грушевидно-шаровидную форму органа. Эластично-мягкая консистенция свидетельствует о наличии в родовых путях остатков последа. При осмотре зеркалами определяется отек и багровость шейки, цервикальный канал увеличен (легко проходят 1-2 пальца), в его полости выявляют сгустки крови.
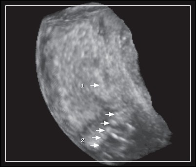
• Ультразвуковые исследования. Для диагностики осложнения применяют трансабдоминальное и трансвагинальное УЗИ органов малого таза, трехмерную эхографию. Определяется высокое стояние дна матки, не соответствующее послеродовому сроку, утолщение ее стенок. Эхография позволяет точно определить наличие инородных тел и остатков последа в маточной полости.
• Гистероскопия. Эндоскопическое изучение внутренней полости матки нередко позволяет выявить признаки субинволюции и эндометрита еще до разгара клинических проявлений. Помимо осмотра, методика делает возможным производить забор образцов эндометрия, лохий, остатков последа для более точной диагностики.
При инфекционной форме заболевания или присоединении осложнений в качестве диагностических процедур также назначают клинические анализы крови и мочи, иногда проводят посев микрофлоры влагалища или матки (при эндометрите) для определения возбудителя. В крови обнаруживают характерные для воспалительных процессов изменения - повышение СОЭ, лейкоцитоз, анемию. В последние годы для диагностики используют также томографический метод - МРТ органов малого таза. Он позволяет точно определить размеры и структуру матки и выявить даже мельчайшие патологические включения в ее полости.
• Консультация врача. Акушера. Специалист проводит расспрос, в его ходе определяет характер, объемы и длительность лохий, наличие или отсутствие субъективных симптомов. На основании полученных данных врач назначает ряд дополнительных диагностических процедур.
• Осмотр на кресле. Бимануальное исследование обнаруживает увеличение матки (не соответствие сроку после родов), грушевидно-шаровидную форму органа. Эластично-мягкая консистенция свидетельствует о наличии в родовых путях остатков последа. При осмотре зеркалами определяется отек и багровость шейки, цервикальный канал увеличен (легко проходят 1-2 пальца), в его полости выявляют сгустки крови.
• Ультразвуковые исследования. Для диагностики осложнения применяют трансабдоминальное и трансвагинальное УЗИ органов малого таза, трехмерную эхографию. Определяется высокое стояние дна матки, не соответствующее послеродовому сроку, утолщение ее стенок. Эхография позволяет точно определить наличие инородных тел и остатков последа в маточной полости.
• Гистероскопия. Эндоскопическое изучение внутренней полости матки нередко позволяет выявить признаки субинволюции и эндометрита еще до разгара клинических проявлений. Помимо осмотра, методика делает возможным производить забор образцов эндометрия, лохий, остатков последа для более точной диагностики.
При инфекционной форме заболевания или присоединении осложнений в качестве диагностических процедур также назначают клинические анализы крови и мочи, иногда проводят посев микрофлоры влагалища или матки (при эндометрите) для определения возбудителя. В крови обнаруживают характерные для воспалительных процессов изменения - повышение СОЭ, лейкоцитоз, анемию. В последние годы для диагностики используют также томографический метод - МРТ органов малого таза. Он позволяет точно определить размеры и структуру матки и выявить даже мельчайшие патологические включения в ее полости.
Лечение
Терапия состояния комплексная, включающая в себя медикаментозные, инструментальные и массажные процедуры. Большую роль в эффективности лечебных мер играет определение типа заболевания, а при его инфекционном характере - вида возбудителя. Длительность лечения зависит от выраженности симптомов патологии и наличия или отсутствия сопутствующих заболеваний, которые могут оказывать влияние на органы репродуктивной системы женщины. Эффективная терапия субинволюции включает в себя такие препараты и методы лечения:
• Гормональные средства. Сокращение матки после родов в норме происходит под воздействием гормона окситоцина. Поэтому для ускорения этого процесса применяют гормональные препараты, влияющие на миометрий и его сосуды - окситоцин, метилэргометрил и другие.
• Антибактериальная терапия. Чаще всего причиной инфекции в послеродовом периоде выступает бактериальная микрофлора. Для ее устранения применяют антибиотики широкого спектра действия. Если в рамках диагностики удалось определить тип возбудителя - проводят антибиотикотерапию наиболее подходящим в этом случае препаратом.
• Удаление включений в матке. Остатки последа и сгустки крови облегчают инфицирование и сами по себе могут выступать причиной воспаления. Их устраняют методом вакуум-аспирации или посредством кюретажа полости матки.
• Гинекологический массаж. Способен улучшать сократительные свойства миометрия и ускорять восстановление репродуктивной системы после родов.
• Общережимные мероприятия. Женщине при субинволюции матки показан постельный режим, отсутствие физических нагрузок и эмоциональных стрессов. Регулярное прикладывание новорожденного к груди также способствует сокращению миометрия.
• Гормональные средства. Сокращение матки после родов в норме происходит под воздействием гормона окситоцина. Поэтому для ускорения этого процесса применяют гормональные препараты, влияющие на миометрий и его сосуды - окситоцин, метилэргометрил и другие.
• Антибактериальная терапия. Чаще всего причиной инфекции в послеродовом периоде выступает бактериальная микрофлора. Для ее устранения применяют антибиотики широкого спектра действия. Если в рамках диагностики удалось определить тип возбудителя - проводят антибиотикотерапию наиболее подходящим в этом случае препаратом.
• Удаление включений в матке. Остатки последа и сгустки крови облегчают инфицирование и сами по себе могут выступать причиной воспаления. Их устраняют методом вакуум-аспирации или посредством кюретажа полости матки.
• Гинекологический массаж. Способен улучшать сократительные свойства миометрия и ускорять восстановление репродуктивной системы после родов.
• Общережимные мероприятия. Женщине при субинволюции матки показан постельный режим, отсутствие физических нагрузок и эмоциональных стрессов. Регулярное прикладывание новорожденного к груди также способствует сокращению миометрия.
Прогноз
Субинволюция матки до развития тяжелых инфекционных осложнений хорошо отзывается на лечебные мероприятия и устраняется на протяжении нескольких недель, поэтому имеет относительно благоприятный прогноз. Развитие на этом фоне эндометрита и других воспалительных состояний чревато более серьезными последствиями - возникновением сепсиса, инфицированием других органов и систем (брюшной полости, мочевыделительных путей).
Профилактика
Акушеры рекомендуют проводить профилактические мероприятия женщинам, беременность и роды которых проходили с осложнениями (многоводие, стремительные роды). Они заключаются в назначении гормональных препаратов для ускорения инволюции в первые дни после рождения ребенка вне зависимости от наличия симптомов замедления восстановления матки.