Другие названия и синонимы
Frozen pregnancy.
МКБ-10 коды
- МКБ-10
- O02.1 Несостоявшийся выкидыш
|
|
Описание
Замершая беременность. Одна из форм невынашивания плода, характеризующаяся полным прекращением развития эмбриона и его гибелью. Возникает такое патологическое состояние в 1-2 триместре и проявляется прекращением токсикоза, появлением кровомазания, гипертермии. В период 18-28 недель основным симптомом замершей беременности является полное прекращение двигательной активности плода. Диагноз выставляется на основании объективного осмотра и данных УЗИ. Лечение заключается в провоцировании искусственного аборта с помощью медикаментов или чистке маточной полости от плодного яйца и его оболочек.
Дополнительные факты
Замершая беременность - остановка развития и прекращение жизнедеятельности плода в утробе, которое диагностируется до 28 недель эмбриогенеза. Такая акушерская патология чаще развивается у первородящих женщин старше 30 лет. По статистике, более всего развитию замершей беременности подвержены пациентки старше 40 лет. Риск возникновения замершей беременности в данном случае может быть сопряжен с гормональной нестабильностью, возможными многочисленными абортами и инфекциями половой сферы. Поэтому беременные женщины в таком возрасте должны более тщательно следить за своим самочувствием и обязательно выполнять назначения врача.
Замершая беременность в раннем периоде чаще диагностируется в сроках 3-4 и 8-11 недель. В эти моменты происходит формирование наиболее важных анатомических структур, и как раз на данном этапе эмбрион является наиболее чувствительным к воздействию негативных факторов извне. Также существует достаточно высокая вероятность развития замершей беременности на 16-18 неделе. С чем связана такая закономерность, специалисты точно указать не могут. Однако следует отметить, что после 4 месяцев эмбриогенеза риск появления замершей беременности снижается.
Замершая беременность представляет реальную угрозу для организма матери. Помимо психической травмы, которую испытывает пациентка, теряя ребенка, существует угроза ее здоровью и жизни. В такой ситуации дальнейшее ведение беременности становится невозможным, организм начинает отторгать нежизнеспособный плод, провоцируя самопроизвольный аборт. Если замершая беременность не сопровождается подобным исходом, и женщина не обращается к врачу, при нахождении мертвого плода в утробе более 1,5 месяцев появляется высокий риск развития ДВС-синдрома - диссеминированного внутрисосудистого свертывания крови, при котором факторы фибринолиза теряют свою активность, а возникшее кровотечение сопровождается прямой угрозой летального исхода.
Замершая беременность в раннем периоде чаще диагностируется в сроках 3-4 и 8-11 недель. В эти моменты происходит формирование наиболее важных анатомических структур, и как раз на данном этапе эмбрион является наиболее чувствительным к воздействию негативных факторов извне. Также существует достаточно высокая вероятность развития замершей беременности на 16-18 неделе. С чем связана такая закономерность, специалисты точно указать не могут. Однако следует отметить, что после 4 месяцев эмбриогенеза риск появления замершей беременности снижается.
Замершая беременность представляет реальную угрозу для организма матери. Помимо психической травмы, которую испытывает пациентка, теряя ребенка, существует угроза ее здоровью и жизни. В такой ситуации дальнейшее ведение беременности становится невозможным, организм начинает отторгать нежизнеспособный плод, провоцируя самопроизвольный аборт. Если замершая беременность не сопровождается подобным исходом, и женщина не обращается к врачу, при нахождении мертвого плода в утробе более 1,5 месяцев появляется высокий риск развития ДВС-синдрома - диссеминированного внутрисосудистого свертывания крови, при котором факторы фибринолиза теряют свою активность, а возникшее кровотечение сопровождается прямой угрозой летального исхода.
Причины
Замершую беременность провоцируют различные факторы, которые так или иначе влияют на женщину и плод. Патогенез этой патологии в акушерстве до конца не изучен и зависит непосредственно от этиологии болезни. В любом случае, организм женщины воспринимает плод, как инородное тело, и пытается его отторгнуть. Рост эмбриона прекращается, беременность замирает, что сопровождается соответствующей симптоматикой. Примерно в 70% подобных патологий основным фактором, провоцирующим наступление замершей беременности, становятся генетические аномалии. При нарушении деления хромосом могут сформироваться серьезные врожденные пороки, несовместимые с жизнью. Как правило, гибель плода, спровоцированная генетическим сбоем, происходит на 8 неделе эмбриогенеза.
Примерно с такой же частотой замирание беременности возникает на фоне гормонального дисбаланса. При сниженной продукции прогестерона - вещества, которое обеспечивает нормальное вынашивание, плод останавливает свою жизнедеятельность. Причиной замершей беременности нередко становится и повышенный уровень андрогенов - мужских половых гормонов. Чтобы исключить вероятность гибели плода, важно еще на этапе планирования зачатия пройти полное медицинское обследование и выявить данные факторы, если они присутствуют. Предварительно проведенное лечение позволяет нормализовать гормональный фон и предупредить замершую беременность.
Спровоцировать замершую беременность могут и инфекционные процессы. Опасность представляют заболевания как половой сферы, так и любых других органов. После зачатия организм женщины становится менее устойчивым к воздействию патогенной микрофлоры, поэтому пациентки часто болеют ОРВИ, вирусными патологиями. Замершая беременность развивается не из-за пагубного воздействия возбудителя на организм плода, а вследствие сопутствующей симптоматики - интоксикации, гипертермии. При этом эмбрион недополучает определенные компоненты, в частности кислород, и постепенно теряет жизнеспособность.
Среди всех инфекций риск развития замершей беременности наиболее высок при заражении беременной женщины краснухой или цитомегаловирусом. Эти возбудители проникают непосредственно к плоду вместе с кровотоком и поражают ЦНС, что способствует формированию тяжелых аномалий у плода. На 2-3 месяце эмбриогенеза спровоцировать замирание беременности может антифосфолипидный синдром. На фоне данной патологии происходит аномальное формирование плаценты, наблюдается нарушение свертываемости крови. В результате расстройства кровообращения плод недополучает питательные вещества и прекращает свое развитие.
Замершая беременность может происходить и под действием неспецифических негативных внешних факторов. При недостаточном пребывании на свежем воздухе, постоянной усталости, употреблении некачественной пищи, не обеспечивающей поступления необходимых веществ в организм, риск развития патологии увеличивается. Ношение слишком обтягивающей и тесной одежды также может привести к замершей беременности из-за сужения питающих сосудов. Как следствие, нарушается кровообращение, развивается гипоксия с последующей гибелью плода. В группу риска по возникновению замершей беременности входят женщины, в анамнезе которых присутствует мертворождение, множественные аборты и выкидыши, гормональные сбои, нарушения менструального цикла. Вероятность этой акушерской аномалии увеличивается при эндокринных заболеваниях, неправильном строении органов репродуктивной системы (например, седловидной или двурогой матке), спаечных процессах.
Примерно с такой же частотой замирание беременности возникает на фоне гормонального дисбаланса. При сниженной продукции прогестерона - вещества, которое обеспечивает нормальное вынашивание, плод останавливает свою жизнедеятельность. Причиной замершей беременности нередко становится и повышенный уровень андрогенов - мужских половых гормонов. Чтобы исключить вероятность гибели плода, важно еще на этапе планирования зачатия пройти полное медицинское обследование и выявить данные факторы, если они присутствуют. Предварительно проведенное лечение позволяет нормализовать гормональный фон и предупредить замершую беременность.
Спровоцировать замершую беременность могут и инфекционные процессы. Опасность представляют заболевания как половой сферы, так и любых других органов. После зачатия организм женщины становится менее устойчивым к воздействию патогенной микрофлоры, поэтому пациентки часто болеют ОРВИ, вирусными патологиями. Замершая беременность развивается не из-за пагубного воздействия возбудителя на организм плода, а вследствие сопутствующей симптоматики - интоксикации, гипертермии. При этом эмбрион недополучает определенные компоненты, в частности кислород, и постепенно теряет жизнеспособность.
Среди всех инфекций риск развития замершей беременности наиболее высок при заражении беременной женщины краснухой или цитомегаловирусом. Эти возбудители проникают непосредственно к плоду вместе с кровотоком и поражают ЦНС, что способствует формированию тяжелых аномалий у плода. На 2-3 месяце эмбриогенеза спровоцировать замирание беременности может антифосфолипидный синдром. На фоне данной патологии происходит аномальное формирование плаценты, наблюдается нарушение свертываемости крови. В результате расстройства кровообращения плод недополучает питательные вещества и прекращает свое развитие.
Замершая беременность может происходить и под действием неспецифических негативных внешних факторов. При недостаточном пребывании на свежем воздухе, постоянной усталости, употреблении некачественной пищи, не обеспечивающей поступления необходимых веществ в организм, риск развития патологии увеличивается. Ношение слишком обтягивающей и тесной одежды также может привести к замершей беременности из-за сужения питающих сосудов. Как следствие, нарушается кровообращение, развивается гипоксия с последующей гибелью плода. В группу риска по возникновению замершей беременности входят женщины, в анамнезе которых присутствует мертворождение, множественные аборты и выкидыши, гормональные сбои, нарушения менструального цикла. Вероятность этой акушерской аномалии увеличивается при эндокринных заболеваниях, неправильном строении органов репродуктивной системы (например, седловидной или двурогой матке), спаечных процессах.
Клиническая картина
Замершая беременность у каждой пациентки проявляется с определенными особенностями, стандартная клиническая картина отсутствует. Изменение базальной температуры в сторону ее снижения - характерный признак патологии, возникающий в первом триместре. При замершей беременности женщины изначально отмечают улучшение общего состояния - исчезает тошнота, если она присутствовала ранее, чувствуется облегчение в молочных железах. При объективном осмотре отсутствует увеличение матки. Когда организм пациентки начинает отторгать мертвого малыша, замершая беременность проявляется гипертермией, ознобом, общее самочувствие резко ухудшается. Появление боли внизу живота, кровотечение - явные признаки начавшегося аборта. Нередко замершая беременность на ранних этапах не сопровождается патологическими симптомами вплоть до наступления самопроизвольного аборта.
Озноб. Тошнота. Тошнота при беременности.
Озноб. Тошнота. Тошнота при беременности.
Диагностика
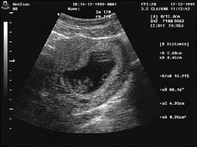
Для подтверждения замершей беременности осуществляется объективный осмотр пациентки. Удается установить отсутствие увеличения матки. Также больной назначается анализ крови на содержание гормона ХГЧ. При замирании беременности его уровень снижается и не соответствует показателям, которые свойственны для данного срока эмбриогенеза. Инструментальная диагностика заключается в проведении ультразвукового сканирования маточной полости. При замершей беременности отсутствуют любые признаки жизнедеятельности плода (двигательная активность, биение сердца).
Замершая беременность требует немедленной медицинской помощи, так как мертвый плод, находясь в утробе, начинает разлагаться, и токсические вещества всасываются в кровь матери, приводя к ухудшению ее состояния вплоть до наступления летального исхода. Прежде всего, производится удаление эмбриона из маточной полости. При замершей беременности в первые 2 месяца эмбриогенеза чаще всего осуществляется искусственный аборт с помощью медикаментозных препаратов. С этой целью используется комбинация аналога простагландина Е1 и антагониста прогестерона. В результате приема этих средств плод изгоняется из полости матки вследствие ее сокращения (то есть, происходит выкидыш).
Замершая беременность требует немедленной медицинской помощи, так как мертвый плод, находясь в утробе, начинает разлагаться, и токсические вещества всасываются в кровь матери, приводя к ухудшению ее состояния вплоть до наступления летального исхода. Прежде всего, производится удаление эмбриона из маточной полости. При замершей беременности в первые 2 месяца эмбриогенеза чаще всего осуществляется искусственный аборт с помощью медикаментозных препаратов. С этой целью используется комбинация аналога простагландина Е1 и антагониста прогестерона. В результате приема этих средств плод изгоняется из полости матки вследствие ее сокращения (то есть, происходит выкидыш).
|
|
Лечение
Также при замершей беременности может проводиться оперативное удаление плодного яйца. С этой целью применяется вакуум-аспирация или выскабливание. Первый метод носит название мини-аборт и представляет собой «высасывание» эмбриона с помощью специального вакуум-аспиратора. При таком вмешательстве показана местная или общая анестезия в зависимости от психологического состояния пациентки. Вакуум-аспирация - быстрый и безболезненный способ лечения замершей беременности, применять который можно только в первом триместре вынашивания.
Замершая беременность в первом триместре также может быть прервана путем выскабливания маточной полости. Это оперативное вмешательство предполагает кюретаж (чистку) матки с целью удаления мертвого эмбриона и плодных оболочек. Данная процедура тоже проводится под наркозом, является безболезненной, однако может стать причиной истончения миометрия, что в дальнейшем приведет к невозможности имплантации плодного яйца с развитием бесплодия. При замершей беременности выскабливание проводится в случаях, когда иные способы противопоказаны. Если патология диагностирована во втором триместре, мертвый плод извлекают путем проведения искусственных родов.
После хирургического лечения замершей беременности женщине назначается медикаментозная терапия. С целью предупреждения развития воспалительного процесса и занесения инфекции в маточную полость больной прописываются антибактериальные и противовоспалительные препараты. Кроме того, после устранения замершей беременности важная роль уделяется восстановлению функциональности эндометрия, чтобы пациентка в последующем смогла вновь выносить ребенка. Для этого используется гормональная и иммунокорригирующая терапия.
В качестве симптоматического лечения при замершей беременности назначаются спазмолитики, препараты, способствующие скорейшему сокращению матки. Параллельно с медикаментозной терапией важно обеспечить женщине психологическую помощь. Многие пациентки, перенесшие замершую беременность, нуждаются в работе с психологом, который помогает быстрее смириться с произошедшим и восстановить нормальное психоэмоциональное состояние.
Замершая беременность в первом триместре также может быть прервана путем выскабливания маточной полости. Это оперативное вмешательство предполагает кюретаж (чистку) матки с целью удаления мертвого эмбриона и плодных оболочек. Данная процедура тоже проводится под наркозом, является безболезненной, однако может стать причиной истончения миометрия, что в дальнейшем приведет к невозможности имплантации плодного яйца с развитием бесплодия. При замершей беременности выскабливание проводится в случаях, когда иные способы противопоказаны. Если патология диагностирована во втором триместре, мертвый плод извлекают путем проведения искусственных родов.
После хирургического лечения замершей беременности женщине назначается медикаментозная терапия. С целью предупреждения развития воспалительного процесса и занесения инфекции в маточную полость больной прописываются антибактериальные и противовоспалительные препараты. Кроме того, после устранения замершей беременности важная роль уделяется восстановлению функциональности эндометрия, чтобы пациентка в последующем смогла вновь выносить ребенка. Для этого используется гормональная и иммунокорригирующая терапия.
В качестве симптоматического лечения при замершей беременности назначаются спазмолитики, препараты, способствующие скорейшему сокращению матки. Параллельно с медикаментозной терапией важно обеспечить женщине психологическую помощь. Многие пациентки, перенесшие замершую беременность, нуждаются в работе с психологом, который помогает быстрее смириться с произошедшим и восстановить нормальное психоэмоциональное состояние.