Другие названия и синонимы
Spasm of blood vessels, angiospasm, ангиоспазм.Описание
Ангиоспазм (angiospasmus; греч. angeion сосуд + spasmos судорога, спазм) - преходящее патологическое сужение просвета артерий вследствие избыточного интенсивного и продолжительного сокращения мышц сосудистой стенки. Ангиоспазм - один из вариантов острой сосудистой дистонии (сосудистого криза). Следствием ангиоспазма является ишемия ткани в бассейне спазмированной артерии.
Термин «ангиоспазм» не следует применять для обозначения физиологической вазоконстрикции и тем более - физиологического повышения тонуса артерий без сужения просвета. Не имеет научного обоснования и распространившаяся в середине 20 в. тенденция связывать именно с ангиоспазмом проявления местных расстройств циркуляции, если их природа не установлена. На практике это приводит к гипердиагностике и не всегда оправданному назначению больному спазмолитических средств.
Термин «ангиоспазм» не следует применять для обозначения физиологической вазоконстрикции и тем более - физиологического повышения тонуса артерий без сужения просвета. Не имеет научного обоснования и распространившаяся в середине 20 в. тенденция связывать именно с ангиоспазмом проявления местных расстройств циркуляции, если их природа не установлена. На практике это приводит к гипердиагностике и не всегда оправданному назначению больному спазмолитических средств.
|
|
Клиническая картина
Клиническая картина ангиоспазма зависит от его локализации и состоит главным образом в проявлениях нарушенной функции ишемизированной ткани (например, в мышечных органах - боль в зоне ишемии с иррадиацией по соответствующему сегменту соматической иннервации).
Коронарный ангиоспазм проявляется стенокардией Принцметала - тяжелыми приступами болей за грудиной, возникающими в покое, часто в положении больного лежа, в период ночного сна. Во время приступа выявляются характерные изменения ЭКГ ( Стенокардия), иногда признаки острой очаговой дистрофии миокарда.
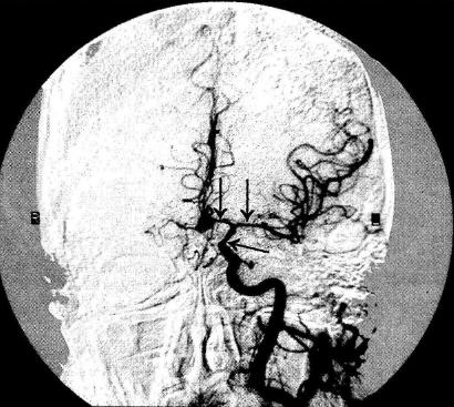
Церебральный ангиоспазм наблюдается часто при атеросклерозе сосудов головного мозга и лежит в основе патогенеза ишемического варианта церебрального криза у больных гипертонической болезнью. Отличительными симптомами этого варианта от других острых церебральных ангиодистоний являются очаговые неврологические нарушения, характерные для зоны ишемии головного мозга, соответствующей бассейну спазмированной артерии ( Гипертонические кризы). У больных атеросклерозом головного мозга такие нарушения могут быть обусловлены не ангиоспазма, а механизмами так называемой цереброваскулярной недостаточности - снижением кровотока в зоне расположения атеросклеротической бляшки при падении АД (например, ортостатическом), расстройствах сердечной деятельности. Наличие последних, регистрация сниженного АД, при ортостатических пробах, помогает дифференциальному диагнозу.
Ангиоспазм в органах брюшной полости не имеет специфических клинических проявлений. Спазм сосудов брыжейки проявляется брюшной жабой.
Коронарный ангиоспазм проявляется стенокардией Принцметала - тяжелыми приступами болей за грудиной, возникающими в покое, часто в положении больного лежа, в период ночного сна. Во время приступа выявляются характерные изменения ЭКГ ( Стенокардия), иногда признаки острой очаговой дистрофии миокарда.
Церебральный ангиоспазм наблюдается часто при атеросклерозе сосудов головного мозга и лежит в основе патогенеза ишемического варианта церебрального криза у больных гипертонической болезнью. Отличительными симптомами этого варианта от других острых церебральных ангиодистоний являются очаговые неврологические нарушения, характерные для зоны ишемии головного мозга, соответствующей бассейну спазмированной артерии ( Гипертонические кризы). У больных атеросклерозом головного мозга такие нарушения могут быть обусловлены не ангиоспазма, а механизмами так называемой цереброваскулярной недостаточности - снижением кровотока в зоне расположения атеросклеротической бляшки при падении АД (например, ортостатическом), расстройствах сердечной деятельности. Наличие последних, регистрация сниженного АД, при ортостатических пробах, помогает дифференциальному диагнозу.
Ангиоспазм в органах брюшной полости не имеет специфических клинических проявлений. Спазм сосудов брыжейки проявляется брюшной жабой.
Течение и стадии
Течение ангиоспазма наиболее изучено при его локализации в сосудах конечностей. Кратковременный ангиоспазм пальцевой артерии при болезни и синдроме Рейно ( Рейно синдром) вызывает резкое побледнение и похолодание пальца с нарушением болевой и тактильной чувствительности - от локальных парестезий до анестезии. Такая совокупность симптомов характеризуется как «мертвый палец» (digitus mortuus). Аналогичные признаки развиваются на всей конечности при спазме магистральных артерий обычно сопутствующем органическому их поражению. Симптом алебастровой (как у статуи) бледности ноги в таких случаях обозначается как «нога командора». В случае затянувшегося ангиоспазма конечностей появляется дистальный цианоз, иногда равномерный, иногда в виде цианотичной сетки, создающей впечатление мраморной кожи. Появление цианоза обусловлено парезом венул в зоне ишемии. При digitus mor tuus цианоз обычно отсутствует, но он часто бывает при ишемии больших участков конечностей. Вслед за цианозом развивается некоторая отечность ткани, обусловленная повышением проницаемости для белков капилляров (вследствие гипоксии мембран).
На следующем этапе развиваются некробиотические процессы и тем скорее, чем больше разрыв между потребностью ткани в кислороде и величиной притока крови.
На следующем этапе развиваются некробиотические процессы и тем скорее, чем больше разрыв между потребностью ткани в кислороде и величиной притока крови.
Причины
Ангиоспазмы могут наблюдаться в различных сосудистых регионах, обычно при заболеваниях, сопровождающихся поражением сосудов и их нервного аппарата (атеросклероз, васкулиты, аневризмы и ) или нарушением нейрогуморальной регуляции сосудистого тонуса (гипертоническая болезнь, гипоталамический синдром, патологический климакс, неврозы и ). Отмечена этиологическая роль курения, интоксикаций свинцом, сероуглеродом, а в развитии ангиоспазма в конечностях - обморожений и повторных охлаждений. Ангиоспазм нередко определяет клиническую динамику органических сосудистых заболеваний (атеросклероза, тромбозов, эмболий и ), осложняя их течение. Продолжительный ангиоспазм в головном мозге (церебральный ангиоспазм), в сердце (коронарный ангиоспазм), в сетчатке глаза может стать причиной серьезных расстройств кровообращения в этих органах вплоть до развития инсульта, инфаркта миокарда, нарушений зрения.
Патогенез
Патогенез ангиоспазма изучен недостаточно, для артерий разных сосудистых регионов он не идентичен, но общим для механизма развития любого ангиоспазма является расстройство функции мембран гладкомышечных клеток сосуда, состоящее в нарушении обменного транспорта через мембраны ионов кальция, натрия, калия, что нарушает нормальное чередование фаз мышечного сокращения и расслабления. Ускоренная и усиленная деполяризация мембран, повышенный приток в клетки свободных ионов кальция способствуют развитию интенсивного мышечною сокращения, а задержка процессов реполяризации мембран (в норме предшествующей расслаблению мышцы) обусловливает длительное пребывание артериальной стенки в сокращенном состоянии. К таким нарушениям могут привести расстройства иннервации сосудистых стенок, дисбаланс в продукции и разрушении гуморальных регуляторов сосудистого тонуса, а также повышенная чувствительность рецепторов сосудистой стенки к нормальным вазоконстрикторным влияниям, что нередко обусловлено локальными изменениями ее метаболизма в зонах воспаления, рубцов, повреждения тромбом и Известно, например, что церебральный ангиоспазм часто наблюдается вблизи расположения атеросклеротической бляшки, аневризмы, субарахноидальнего кровоизлияния; коронарный ангиоспазм часто возникает в зоне тромбоза коронарной артерии.
Возможность нейрогенного ангиоспазма, который наблюдается в артериях конечностей и, вероятно, может развиваться в артериях брюшной полости, не подтверждена пока для артерий головного мозга. Роль гиперсимпатикотонии в происхождении коронарного ангиоспазма также остается гипотетической. Коронарный ангиоспазм не возникает во время физической нагрузки ( при активации симпатической нервной системы), не снимается, как правило, a-адреноблокаторами, а в эксперименте вызывается норадреналином лишь при определенных условиях (например, при одновременном применении b-адреноблокаторов) Имеется больше оснований предполагать патогенетическую роль активации вагусных влияний, коронарный ангиоспазм у человека обычно возникает в условиях покоя и показана возможность его провокации метахолином. Большое значение может иметь нарушение функции эндотелия коронарных артерий, регулирующей локальный баланс гуморальных вазодилатирующих (простациклин) и вазоконстрикторных (серотонин, ПГ2a, тромбоксан А2) субстанций. Тромбоксан А2 относится к наиболее сильным вазоконстрикторам, и локальное повышение его продукции (как и недостаточный синтез простациклина) может быть причиной коронароспазма.
Возможность нейрогенного ангиоспазма, который наблюдается в артериях конечностей и, вероятно, может развиваться в артериях брюшной полости, не подтверждена пока для артерий головного мозга. Роль гиперсимпатикотонии в происхождении коронарного ангиоспазма также остается гипотетической. Коронарный ангиоспазм не возникает во время физической нагрузки ( при активации симпатической нервной системы), не снимается, как правило, a-адреноблокаторами, а в эксперименте вызывается норадреналином лишь при определенных условиях (например, при одновременном применении b-адреноблокаторов) Имеется больше оснований предполагать патогенетическую роль активации вагусных влияний, коронарный ангиоспазм у человека обычно возникает в условиях покоя и показана возможность его провокации метахолином. Большое значение может иметь нарушение функции эндотелия коронарных артерий, регулирующей локальный баланс гуморальных вазодилатирующих (простациклин) и вазоконстрикторных (серотонин, ПГ2a, тромбоксан А2) субстанций. Тромбоксан А2 относится к наиболее сильным вазоконстрикторам, и локальное повышение его продукции (как и недостаточный синтез простациклина) может быть причиной коронароспазма.
Лечение
Лечение и профилактика совпадают частично с лечением и профилактикой основных заболеваний, которым сопутствуют ангиоспазм Исключается курение табака. Проводится санация очагов хронической инфекции. При ангиоспазме на фоне повышенного АД необходимо применение гипотензивных средств.
Непосредственное купирование ангиоспазма имеет свои особенности при отдельных его формах, например при гипертонических кризах, синдроме Рейно, стенокардии. Во многих случаях эффективны вазоактивные антагонисты кальция - фенигидин (нифедипин, адалат, коринфар). Лекарства подбирают индивидуально с учетом регионарных различий в реакции сосудов. Нитриты, например, наиболее эффективны при коронарном ангиоспазме, но они, как правило, отрицательно влияют на кровоток в мозговых артериях. При церебральном ангиоспазме эффективными при внутривенном введении могут быть винкимин, но-шпа, папаверин, эуфиллин.
При периферическом ангиоспазме нередко помогают растирание и согревание больной конечности, новокаиновая блокада в зоне корешков соответствующих сегментов; внутриартериальное введение 10 мл 0,25% раствора новокаина или 3 мл 2% раствора но-шпы.
Хирургические методы лечения - симпатэктомия ( Функциональная нейрохирургия) и алкоголизация симпатических нервов показаны в основном при ангиоспазме на фоне органических ангиопатий.
Непосредственное купирование ангиоспазма имеет свои особенности при отдельных его формах, например при гипертонических кризах, синдроме Рейно, стенокардии. Во многих случаях эффективны вазоактивные антагонисты кальция - фенигидин (нифедипин, адалат, коринфар). Лекарства подбирают индивидуально с учетом регионарных различий в реакции сосудов. Нитриты, например, наиболее эффективны при коронарном ангиоспазме, но они, как правило, отрицательно влияют на кровоток в мозговых артериях. При церебральном ангиоспазме эффективными при внутривенном введении могут быть винкимин, но-шпа, папаверин, эуфиллин.
При периферическом ангиоспазме нередко помогают растирание и согревание больной конечности, новокаиновая блокада в зоне корешков соответствующих сегментов; внутриартериальное введение 10 мл 0,25% раствора новокаина или 3 мл 2% раствора но-шпы.
Хирургические методы лечения - симпатэктомия ( Функциональная нейрохирургия) и алкоголизация симпатических нервов показаны в основном при ангиоспазме на фоне органических ангиопатий.