Другие названия и синонимы
Nelson 's syndrome.МКБ-10 коды
- МКБ-10
- E24.1 Синдром Нельсона
|
|
Описание
Синдром Нельсона - заболевание, характеризующееся хронической надпочечниковой недостаточностью, гиперпигментацией кожных покровов, слизистых оболочек и наличием опухоли гипофиза. Оно возникает после удаления надпочечников при болезни Иценко-Кушинга.
Заболевание названо по имени ученого Нельсона, который впервые в 1958 г. совместно с сотрудниками описал больную, у которой через 3 года после двусторонней адреналэктомии по поводу болезни Иценко-Кушинга развилась большая хромофобная аденома гипофиза.
Заболевание названо по имени ученого Нельсона, который впервые в 1958 г. совместно с сотрудниками описал больную, у которой через 3 года после двусторонней адреналэктомии по поводу болезни Иценко-Кушинга развилась большая хромофобная аденома гипофиза.
Причины
После удаления надпочечников выключение из патогенетической цепи функции коры надпочечников создает условия для более глубоких нарушений в гипоталамо-гипофизарной системе (суточного ритма секреции гормонов и механизма обратной связи), в результате чего при синдроме Нельсона уровень АКТГ всегда выше, чем у больных с болезнью Иценко-Кушинга, и носит монотонный характер в течение суток, введение больших доз дексаметазона не приводит к нормализации уровня АКТГ.
Необходимо подчеркнуть, что развитие синдрома возникает лишь у части больных, подвергнутых двусторонней тотальной адреналэктомии.
Большинство исследователей считают, что при болезни Иценко-Кушинга и синдроме Нельсона существует единый патологический процесс в гипофизе, но с различными стадиями нарушения гипоталамо-гипофизарной системы. После двусторонней тотальной адреналэктомии прогрессивное увеличение секреции АКТГ свидетельствует о гиперпластическом процессе в гипофизе и о формировании микро- и макрокортикотропином (или кортикомеланотропином). Показано, что рецепторы опухолей гипофиза теряют свою специфичность, их функции не автономны и зависят от гипоталамической или центральной регуляции. Это подтверждается тем, что в ответ на неспецифические стимуляторы, такие как тиролиберин и метоклопрамид, можно получить у больных с синдромом Нельсона гиперсекрецию АКТГ. Специфические стимуляторы секреции АКТГ, инсулиновая гипогликемия и вазопрессин при синдроме Нельсона значительно увеличивают уровень АКТГ, причем гипогликемия выявляет значительные резервы АКТГ - выше, чем при болезни Иценко-Кушинга. Показано, что рецепторы, не функционирующие в ткани нормального гипофиза, присутствуют в его АКТГ-продуцирующих опухолях, и вследствие этого соматостатин, не влияющий на секрецию АКТГ у здорового человека, уменьшает его секрецию у больных с синдромом Нельсона.
Патогенез синдрома непосредственно связан с повышением продукции АКТГ гипофизом, его вненадпочечниковым действием на меланоциты, метаболизм кортикостероидов и Например, при синдроме Нельсона АКТГ оказывает влияние на пигментацию кожи и слизистых оболочек. Действие на меланоциты объясняется наличием в молекуле АКТГ аминокислотных остатков, последовательность которых является общей как для молекулы АКТГ, так и для молекулы альфа-МСГ. Немаловажная роль в развитии гиперпигментации и распространении влияния на меланоциты при синдроме Нельсона принадлежит также бета-липотропину и альфа-МСГ.
Кроме способности влиять на пигментацию, АКТГ, как показано в эксперименте, обладает липолитической активностью, гипогликемическим эффектом вследствие повышения секреции инсулина. В экспериментальных работах также продемонстрировано, что от АКТГ или его фрагментов зависят память, поведение, процессы выработки условных рефлексов и обучение экспериментальных животных.
К вненадпочечниковым действиям АКТГ относится и влияние его на периферический обмен кортикостероидов. Назначение АКТГ здоровым людям сопровождается увеличением скорости метаболизма кортизола, альдостерона, дезоксикортикостерона. У больных с синдромом Нельсона АКТГ уменьшает связывание кортизола и его метаболитов, ускоряет период полураспада кортикостероидов и участвует в перераспределении стероидов в организме. Под влиянием АКТГ снижается скорость образования соединений метаболитов с глюкуроновои кислотой и увеличивается с серной. Повышается также скорость превращения кортизола в 6-бета-оксикортизол и уменьшается время полураспада кортизола. Таким образом, вненадпочечниковый эффект АКТГ, вызывающий ускоренный метаболизм глюкокортикоидных и минералокортикоидных гормонов, объясняет повышенную потребность у больных с синдромом Нельсона в синтетических аналогах гормонов для компенсации надпочечниковой недостаточности.
Образование тестикулярных, паратестикулярных и параовариальных опухолей также непосредственно связано с вненадпочечниковый действием АКТГ при синдроме Нельсона. Развитие неопластического процесса происходит в результате длительной стимуляции АКТГ на стероидосекретирующие клетки половых желез. В паратестикулярной опухоли была обнаружена секреция кортизола, которая контролировалась АКТГ. Снижение его уровня ципрогиптацином приводило к сокращению продукции кортизола. Параовариальная опухоль вызывала у больной вириальный синдром за счет синтезирования андрогенов, в основном тестостерона. Уровень тестостерона зависел от степени секреции АКТГ: при назначении дексаметазона он снижался и увеличивался при экзогенном введении гормона. Опухоли половых желез, яичек и яичников при синдроме Нельсона сходны по клиническим проявлениям и синтезу гормонов с опухолями половых желез у больных с врожденной дисфункцией коры надпочечников вследствие длительной гиперсекреции АКТГ.
Накопленные в настоящее время данные по воздействию различных веществ на кортикотропные клетки говорят о том, что функциональная активность опухолей гипофиза у больных с синдромом Нельсона обусловливается гипоталамическими и центральными влияниями.
Необходимо подчеркнуть, что развитие синдрома возникает лишь у части больных, подвергнутых двусторонней тотальной адреналэктомии.
Большинство исследователей считают, что при болезни Иценко-Кушинга и синдроме Нельсона существует единый патологический процесс в гипофизе, но с различными стадиями нарушения гипоталамо-гипофизарной системы. После двусторонней тотальной адреналэктомии прогрессивное увеличение секреции АКТГ свидетельствует о гиперпластическом процессе в гипофизе и о формировании микро- и макрокортикотропином (или кортикомеланотропином). Показано, что рецепторы опухолей гипофиза теряют свою специфичность, их функции не автономны и зависят от гипоталамической или центральной регуляции. Это подтверждается тем, что в ответ на неспецифические стимуляторы, такие как тиролиберин и метоклопрамид, можно получить у больных с синдромом Нельсона гиперсекрецию АКТГ. Специфические стимуляторы секреции АКТГ, инсулиновая гипогликемия и вазопрессин при синдроме Нельсона значительно увеличивают уровень АКТГ, причем гипогликемия выявляет значительные резервы АКТГ - выше, чем при болезни Иценко-Кушинга. Показано, что рецепторы, не функционирующие в ткани нормального гипофиза, присутствуют в его АКТГ-продуцирующих опухолях, и вследствие этого соматостатин, не влияющий на секрецию АКТГ у здорового человека, уменьшает его секрецию у больных с синдромом Нельсона.
Патогенез синдрома непосредственно связан с повышением продукции АКТГ гипофизом, его вненадпочечниковым действием на меланоциты, метаболизм кортикостероидов и Например, при синдроме Нельсона АКТГ оказывает влияние на пигментацию кожи и слизистых оболочек. Действие на меланоциты объясняется наличием в молекуле АКТГ аминокислотных остатков, последовательность которых является общей как для молекулы АКТГ, так и для молекулы альфа-МСГ. Немаловажная роль в развитии гиперпигментации и распространении влияния на меланоциты при синдроме Нельсона принадлежит также бета-липотропину и альфа-МСГ.
Кроме способности влиять на пигментацию, АКТГ, как показано в эксперименте, обладает липолитической активностью, гипогликемическим эффектом вследствие повышения секреции инсулина. В экспериментальных работах также продемонстрировано, что от АКТГ или его фрагментов зависят память, поведение, процессы выработки условных рефлексов и обучение экспериментальных животных.
К вненадпочечниковым действиям АКТГ относится и влияние его на периферический обмен кортикостероидов. Назначение АКТГ здоровым людям сопровождается увеличением скорости метаболизма кортизола, альдостерона, дезоксикортикостерона. У больных с синдромом Нельсона АКТГ уменьшает связывание кортизола и его метаболитов, ускоряет период полураспада кортикостероидов и участвует в перераспределении стероидов в организме. Под влиянием АКТГ снижается скорость образования соединений метаболитов с глюкуроновои кислотой и увеличивается с серной. Повышается также скорость превращения кортизола в 6-бета-оксикортизол и уменьшается время полураспада кортизола. Таким образом, вненадпочечниковый эффект АКТГ, вызывающий ускоренный метаболизм глюкокортикоидных и минералокортикоидных гормонов, объясняет повышенную потребность у больных с синдромом Нельсона в синтетических аналогах гормонов для компенсации надпочечниковой недостаточности.
Образование тестикулярных, паратестикулярных и параовариальных опухолей также непосредственно связано с вненадпочечниковый действием АКТГ при синдроме Нельсона. Развитие неопластического процесса происходит в результате длительной стимуляции АКТГ на стероидосекретирующие клетки половых желез. В паратестикулярной опухоли была обнаружена секреция кортизола, которая контролировалась АКТГ. Снижение его уровня ципрогиптацином приводило к сокращению продукции кортизола. Параовариальная опухоль вызывала у больной вириальный синдром за счет синтезирования андрогенов, в основном тестостерона. Уровень тестостерона зависел от степени секреции АКТГ: при назначении дексаметазона он снижался и увеличивался при экзогенном введении гормона. Опухоли половых желез, яичек и яичников при синдроме Нельсона сходны по клиническим проявлениям и синтезу гормонов с опухолями половых желез у больных с врожденной дисфункцией коры надпочечников вследствие длительной гиперсекреции АКТГ.
Накопленные в настоящее время данные по воздействию различных веществ на кортикотропные клетки говорят о том, что функциональная активность опухолей гипофиза у больных с синдромом Нельсона обусловливается гипоталамическими и центральными влияниями.
Клиническая картина
Клинические проявления синдрома Нельсона складываются из следующих симптомов: прогрессирующей гиперпигментации кожных покровов, хронической надпочечниковой недостаточности, АКТГ-продуцирующей опухоли гипофиза - кортикотропиномы, офтальмологических и неврологических нарушений. Синдром развивается у больных с БИК через разные промежутки времени после двусторонней тотальной адреналэктомии, от нескольких месяцев до 20 лет. Как правило, синдром возникает в молодом возрасте в течение 6 лет после операции.
Гиперпигментация кожных покровов является патогномоничным симптомом синдрома Нельсона. Чаще всего это первый признак заболевания, и иногда он долго остается единственным проявлением болезни (при медленно растущих микроаденомах гипофиза). Распределение отложения пигмента в коже происходит так же, как и при болезни Аддисона. Значительно окрашиваются кожные покровы в цвет загара на открытых частях тела и местах трения: лице, шее, кистях рук, на поясе, в подмышечных областях. Характерно окрашивание слизистых оболочек полости рта и анального отверстия в виде пятен. Выраженная пигментация отмечается в послеоперационных швах. Развитие меланодермии при синдроме Нельсона зависит от секреции АКТГ и бета-липотропина. Существует корреляция между степенью меланодермии и содержанием АКТГ в плазме. У больных с черным оттенком кожи и темно-фиолетовой окраской слизистых оболочек содержание АКТГ составляло более 1000 нг/мл. Гиперпигментация, выраженная только в местах грения и послеоперационных швах, сопровождается увеличением АКТГ до 300 мг/мл. Меланодермия при синдроме Нельсона может значительно уменьшаться на фоне адекватной заместительной терапии кортикостероидами и усиливаться на фоне декомпенсации. Без лечения, направленного на снижение секреторной активности гипофиза и нормализации выделения им АКТГ, гиперпигментация не устраняется.
Надпочечниковая недостаточность при синдроме Нельсона отмечается лабильным течением. Больные нуждаются в больших дозах препаратов глюко- и минералокортикоидного действия. Потребность в больших дозах гормонов для компенсации обменных процессов связана с повышенной деградацией введенных синтетических гормонов под влиянием гиперсекреции АКТГ кортикотропиномой. Надпочечниковая недостаточность при синдроме Нельсона значительно чаще декомпенсируется без видимых причин и сопровождается развитием малых и больших кризов. При малых кризах у больных отмечаются слабость, ухудшение аппетита, боли в суставах, снижение артериального давления. Большие кризы могут возникать внезапно: появляются тошнота, рвота, жидкий стул, боли в животе, выраженная адинамия, усиливаются боли в мышцах, суставах. Артериальное давление снижается, температура тела иногда повышается до 39 С, возникает тахикардия.
При кризе надпочечниковой недостаточности у больных с синдромом Нельсона артериальное давление может не снижаться, а повышаться. Если во время криза преобладают абдоминальные симптомы, они могут быть расценены как развитие «острого живота». Это приводит к диагностическим ошибкам и неправильной тактике лечения. Повышенное или нормальное артериальное давление, обнаруженное во время криза у больных с синдромом Нельсона, также иногда приводит к диагностической ошибке и неправильной врачебной тактике. Парентеральная заместительная терапия гидрокортизоном и дезоксикортикостероном ацетатом (ДОКСА) быстро устраняет симптомы «острого живота», приводит к нормализации артериального давления и помогает избежать неоправданных оперативных вмешательств.
При синдроме Нельсона наблюдаются нейроофтальмологические симптомы, характерные для больных, у которых кортикотропинома обладает прогрессирующим ростом и выходит за пределы турецкого седла. Наиболее характерным является хиазмальный синдром. При этом развивается биотемпоральная гемианопсия и первичная атрофия зрительных нервов разной степени выраженности. В некоторых случаях битемпоральная гемианопсия возникает и при эндоселлярных аденомах вследствие нарушения кровоснабжения в хиазме. Позднее развиваются изменения на глазном дне, которые выражаются в виде атрофии сосков зрительных нервов. В результате снижается острота зрения, а иногда наблюдается полная его потеря.
Психоневрологические изменения, характерные для синдрома Нельсона, связаны как с состоянием компенсации надпочечниковой недостаточности, так и с величиной и локализацией опухоли гипофиза и повышенным уровнем АКТГ. Результаты неврологического обследования 25 больных с синдромом Нельсона в клинике Института экспериментальной эндокринологии и химии гормонов (ИИЭиХГ) РАМН доктором мед. наук В. М. Прихожаном позволили отметить ряд клинических особенностей. В психоневрологическом статусе у больных с синдромом Нельсона в отличие от контрольной группы больных после двусторонней тотальной адреналэктомии было обнаружено нарастание астенофобического и астенодепрессивного синдромов, а также появление невротического синдрома. У многих больных на фоне синдрома Нельсона возникала выраженная эмоциональная неустойчивость, снижение фона настроения, тревожность, мнительность.
При кортикотропиноме, вызывающей синдром Нельсона, возможны спонтанные кровоизлияния в опухоль. В результате инфаркта опухоли обнаруживается снижение или нормализация секреции АКТГ. Нарушений со стороны секреции других тропных гормонов при этом не обнаруживалось. При кровоизлиянии в опухоль гипофиза у больных возникла неврологическая симптоматика по типу офтальмоплегии (односторонний паралич глазодвигательного нерва) и тяжелая форма надпочечниковои недостаточности. Увеличение дозы гидрокортизона и ДОКСА приводило к нормализации функции глазодвигательного нерва, исчезновению птоза и уменьшению меланодермии.
Когда опухоль достигает больших размеров, у больных отмечаются неврологические симптомы заболевания, зависящие от направления роста опухоли. При антеселлярном распространении выявляются нарушения обоняния и психические расстройства, при параселлярном возникают поражения III, IV, V и VI пар черепно-мозговых нервов. При росте опухоли вверх, в полость III желудочка, появляются общемозговые симптомы.
Изучение электрической активности головного мозга у больных с синдромом Нельсона проводилось в клинике ИЭЭиХГ РАМН старшим научным сотрудником Г. М. Френкель. Динамику электроэнцефалограмм наблюдали в течение 6-10 лет у 14 больных с болезнью Иценко-Кушинга до и после возникновения у них синдрома Нельсона. Опухоль гипофиза выявлялась у 11 больных. Синдром Нельсона был диагностирован через 2-9 лет после удаления надпочечников. До операции и через 0,5-2 года спустя на ЭЭГ наблюдалась выраженная альфа-активность со слабой реакцией на световые и звуковые раздражители. Прослеживание динамики электроэнцефалограмм на протяжении 9 лет обнаружило, что у большинства больных с послеоперационным синдромом Нельсона на ЭЭГ появляются черты, свидетельствующие о повышении активности гипоталамуса, до того, как рентгенологически выявляется опухоль гипофиза. В записи в этот период регистрируются высокоамплитудный альфа-ритм, иррадиирующий по всем отведениям, иногда в виде разрядов. При увеличении опухоли в размерах появляются специфические записи в виде разрядов 6-волн, более выраженные в передних отведениях. Полученные данные по повышению электроактивности головного мозга у больных с синдромом Нельсона подтверждают тот факт, что прерывание «обратной связи», возникающее при удалении надпочечников у больных болезнью Иценко-Кушинга, приводит к неконтролируемому повышению активности гипоталамо-гипофизарной системы. Диагноз синдрома Нельсона ставится на основании появления у больных после двусторонней тотальной адреналэктомии гиперпигментации кожных покровов, лабильного течения надпочечниковои недостаточности, изменения структуры турецкого седла и обнаружения высокого содержания АКТГ в плазме крови. Диспансерное динамическое наблюдение больных с болезнью Иценко-Кушинга, перенесших удаление надпочечников, позволяет раньше распознавать синдром Нельсона.
Ранним признаком меланодермии может быть усиление пигментации на шее в виде «ожерелья» и симптом «грязных локтей», отложение пигмента в послеоперационные швы.
Лабильное течение надпочечниковой недостаточности характерно для большинства больных с синдромом Нельсона. Требуются большие дозы глюко- и минералокортикоидов для компенсации обменных процессов. Период выздоровления от разных интеркуррентных заболеваний протекает длительнее и тяжелее, чем у больных после удаления надпочечников без синдрома Нельсона. Наличие трудностей в компенсации надпочечниковой недостаточности, повышенная потребность в минералокортикоидных гормонах также бывают признаками развития синдрома Нельсона у больных после адреналэктомии по поводу болезни Иценко-Кушинга.
Ассоциированные симптомы: Головная боль. Понос (диарея). Рвота. Судороги. Тошнота. Эмоциональная лабильность.
Гиперпигментация кожных покровов является патогномоничным симптомом синдрома Нельсона. Чаще всего это первый признак заболевания, и иногда он долго остается единственным проявлением болезни (при медленно растущих микроаденомах гипофиза). Распределение отложения пигмента в коже происходит так же, как и при болезни Аддисона. Значительно окрашиваются кожные покровы в цвет загара на открытых частях тела и местах трения: лице, шее, кистях рук, на поясе, в подмышечных областях. Характерно окрашивание слизистых оболочек полости рта и анального отверстия в виде пятен. Выраженная пигментация отмечается в послеоперационных швах. Развитие меланодермии при синдроме Нельсона зависит от секреции АКТГ и бета-липотропина. Существует корреляция между степенью меланодермии и содержанием АКТГ в плазме. У больных с черным оттенком кожи и темно-фиолетовой окраской слизистых оболочек содержание АКТГ составляло более 1000 нг/мл. Гиперпигментация, выраженная только в местах грения и послеоперационных швах, сопровождается увеличением АКТГ до 300 мг/мл. Меланодермия при синдроме Нельсона может значительно уменьшаться на фоне адекватной заместительной терапии кортикостероидами и усиливаться на фоне декомпенсации. Без лечения, направленного на снижение секреторной активности гипофиза и нормализации выделения им АКТГ, гиперпигментация не устраняется.
Надпочечниковая недостаточность при синдроме Нельсона отмечается лабильным течением. Больные нуждаются в больших дозах препаратов глюко- и минералокортикоидного действия. Потребность в больших дозах гормонов для компенсации обменных процессов связана с повышенной деградацией введенных синтетических гормонов под влиянием гиперсекреции АКТГ кортикотропиномой. Надпочечниковая недостаточность при синдроме Нельсона значительно чаще декомпенсируется без видимых причин и сопровождается развитием малых и больших кризов. При малых кризах у больных отмечаются слабость, ухудшение аппетита, боли в суставах, снижение артериального давления. Большие кризы могут возникать внезапно: появляются тошнота, рвота, жидкий стул, боли в животе, выраженная адинамия, усиливаются боли в мышцах, суставах. Артериальное давление снижается, температура тела иногда повышается до 39 С, возникает тахикардия.
При кризе надпочечниковой недостаточности у больных с синдромом Нельсона артериальное давление может не снижаться, а повышаться. Если во время криза преобладают абдоминальные симптомы, они могут быть расценены как развитие «острого живота». Это приводит к диагностическим ошибкам и неправильной тактике лечения. Повышенное или нормальное артериальное давление, обнаруженное во время криза у больных с синдромом Нельсона, также иногда приводит к диагностической ошибке и неправильной врачебной тактике. Парентеральная заместительная терапия гидрокортизоном и дезоксикортикостероном ацетатом (ДОКСА) быстро устраняет симптомы «острого живота», приводит к нормализации артериального давления и помогает избежать неоправданных оперативных вмешательств.
При синдроме Нельсона наблюдаются нейроофтальмологические симптомы, характерные для больных, у которых кортикотропинома обладает прогрессирующим ростом и выходит за пределы турецкого седла. Наиболее характерным является хиазмальный синдром. При этом развивается биотемпоральная гемианопсия и первичная атрофия зрительных нервов разной степени выраженности. В некоторых случаях битемпоральная гемианопсия возникает и при эндоселлярных аденомах вследствие нарушения кровоснабжения в хиазме. Позднее развиваются изменения на глазном дне, которые выражаются в виде атрофии сосков зрительных нервов. В результате снижается острота зрения, а иногда наблюдается полная его потеря.
Психоневрологические изменения, характерные для синдрома Нельсона, связаны как с состоянием компенсации надпочечниковой недостаточности, так и с величиной и локализацией опухоли гипофиза и повышенным уровнем АКТГ. Результаты неврологического обследования 25 больных с синдромом Нельсона в клинике Института экспериментальной эндокринологии и химии гормонов (ИИЭиХГ) РАМН доктором мед. наук В. М. Прихожаном позволили отметить ряд клинических особенностей. В психоневрологическом статусе у больных с синдромом Нельсона в отличие от контрольной группы больных после двусторонней тотальной адреналэктомии было обнаружено нарастание астенофобического и астенодепрессивного синдромов, а также появление невротического синдрома. У многих больных на фоне синдрома Нельсона возникала выраженная эмоциональная неустойчивость, снижение фона настроения, тревожность, мнительность.
При кортикотропиноме, вызывающей синдром Нельсона, возможны спонтанные кровоизлияния в опухоль. В результате инфаркта опухоли обнаруживается снижение или нормализация секреции АКТГ. Нарушений со стороны секреции других тропных гормонов при этом не обнаруживалось. При кровоизлиянии в опухоль гипофиза у больных возникла неврологическая симптоматика по типу офтальмоплегии (односторонний паралич глазодвигательного нерва) и тяжелая форма надпочечниковои недостаточности. Увеличение дозы гидрокортизона и ДОКСА приводило к нормализации функции глазодвигательного нерва, исчезновению птоза и уменьшению меланодермии.
Когда опухоль достигает больших размеров, у больных отмечаются неврологические симптомы заболевания, зависящие от направления роста опухоли. При антеселлярном распространении выявляются нарушения обоняния и психические расстройства, при параселлярном возникают поражения III, IV, V и VI пар черепно-мозговых нервов. При росте опухоли вверх, в полость III желудочка, появляются общемозговые симптомы.
Изучение электрической активности головного мозга у больных с синдромом Нельсона проводилось в клинике ИЭЭиХГ РАМН старшим научным сотрудником Г. М. Френкель. Динамику электроэнцефалограмм наблюдали в течение 6-10 лет у 14 больных с болезнью Иценко-Кушинга до и после возникновения у них синдрома Нельсона. Опухоль гипофиза выявлялась у 11 больных. Синдром Нельсона был диагностирован через 2-9 лет после удаления надпочечников. До операции и через 0,5-2 года спустя на ЭЭГ наблюдалась выраженная альфа-активность со слабой реакцией на световые и звуковые раздражители. Прослеживание динамики электроэнцефалограмм на протяжении 9 лет обнаружило, что у большинства больных с послеоперационным синдромом Нельсона на ЭЭГ появляются черты, свидетельствующие о повышении активности гипоталамуса, до того, как рентгенологически выявляется опухоль гипофиза. В записи в этот период регистрируются высокоамплитудный альфа-ритм, иррадиирующий по всем отведениям, иногда в виде разрядов. При увеличении опухоли в размерах появляются специфические записи в виде разрядов 6-волн, более выраженные в передних отведениях. Полученные данные по повышению электроактивности головного мозга у больных с синдромом Нельсона подтверждают тот факт, что прерывание «обратной связи», возникающее при удалении надпочечников у больных болезнью Иценко-Кушинга, приводит к неконтролируемому повышению активности гипоталамо-гипофизарной системы. Диагноз синдрома Нельсона ставится на основании появления у больных после двусторонней тотальной адреналэктомии гиперпигментации кожных покровов, лабильного течения надпочечниковои недостаточности, изменения структуры турецкого седла и обнаружения высокого содержания АКТГ в плазме крови. Диспансерное динамическое наблюдение больных с болезнью Иценко-Кушинга, перенесших удаление надпочечников, позволяет раньше распознавать синдром Нельсона.
Ранним признаком меланодермии может быть усиление пигментации на шее в виде «ожерелья» и симптом «грязных локтей», отложение пигмента в послеоперационные швы.
Лабильное течение надпочечниковой недостаточности характерно для большинства больных с синдромом Нельсона. Требуются большие дозы глюко- и минералокортикоидов для компенсации обменных процессов. Период выздоровления от разных интеркуррентных заболеваний протекает длительнее и тяжелее, чем у больных после удаления надпочечников без синдрома Нельсона. Наличие трудностей в компенсации надпочечниковой недостаточности, повышенная потребность в минералокортикоидных гормонах также бывают признаками развития синдрома Нельсона у больных после адреналэктомии по поводу болезни Иценко-Кушинга.
Ассоциированные симптомы: Головная боль. Понос (диарея). Рвота. Судороги. Тошнота. Эмоциональная лабильность.
|
|
Диагностика
Важным критерием в диагностике синдрома Нельсона является определение содержания АКТГ в плазме. Повышение его уровня утром и ночью выше чем на 200 пг/мл характерно для развития кортикотропиномы.
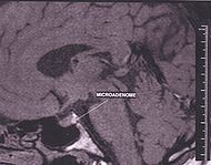
Диагностика опухоли гипофиза при синдроме Нельсона затруднена. Кортикотропиномы являются часто микроаденомами и длительное время, располагаясь внутри турецкого седла, не нарушают его структуры. При небольших аденомах гипофиза при синдроме Нельсона турецкое седло по размерам находится на верхней границе нормы или незначительно увеличивается. В этих случаях его детальное изучение на боковых краниограммах и рентгенограммах с прямым увеличением, а также томографическое исследование позволяют распознать ранние симптомы развития опухоли гипофиза. Диагностика развившейся и большой аденомы гипофиза не представляет сложности. Развившаяся аденома гипофиза обычно характеризуется увеличением размеров турецкого седла, выпрямлением, истончением или разрушением стенок. Разрушение клиновидных отростков, углубление дна седла свидетельствуют о растущей опухоли гипофиза. При большой опухоли наблюдается расширение входа в турецкое седло, укорочение клиновидных отростков, появляются симптомы, характерные для супра-, анте-, ретро- и интроселлярного расположения опухоли. При применении дополнительных методов исследования (томографии при пневмоэнцефалографии, флебографии кавернозного синуса и компьютерной томографии) можно получить более точные данные о состоянии турецкого седла и расположении опухоли гипофиза за его пределами.
В диагностике синдрома Нельсона большое значение имеет офтальмологическое, нейрофизиологическое и неврологическое исследования больных. Изменение глазного дна, нарушение бокового зрения, снижение остроты вплоть до полной потери, птоз верхнего века являются характерными для больных с синдромом Нельсона. Степень нарушения органа зрения является важным фактором для выбора адекватной терапии. Электроэнцефалографические исследования могут в некоторых случаях помочь ранней диагностике синдрома Нельсона.
Диагностика опухоли гипофиза при синдроме Нельсона затруднена. Кортикотропиномы являются часто микроаденомами и длительное время, располагаясь внутри турецкого седла, не нарушают его структуры. При небольших аденомах гипофиза при синдроме Нельсона турецкое седло по размерам находится на верхней границе нормы или незначительно увеличивается. В этих случаях его детальное изучение на боковых краниограммах и рентгенограммах с прямым увеличением, а также томографическое исследование позволяют распознать ранние симптомы развития опухоли гипофиза. Диагностика развившейся и большой аденомы гипофиза не представляет сложности. Развившаяся аденома гипофиза обычно характеризуется увеличением размеров турецкого седла, выпрямлением, истончением или разрушением стенок. Разрушение клиновидных отростков, углубление дна седла свидетельствуют о растущей опухоли гипофиза. При большой опухоли наблюдается расширение входа в турецкое седло, укорочение клиновидных отростков, появляются симптомы, характерные для супра-, анте-, ретро- и интроселлярного расположения опухоли. При применении дополнительных методов исследования (томографии при пневмоэнцефалографии, флебографии кавернозного синуса и компьютерной томографии) можно получить более точные данные о состоянии турецкого седла и расположении опухоли гипофиза за его пределами.
В диагностике синдрома Нельсона большое значение имеет офтальмологическое, нейрофизиологическое и неврологическое исследования больных. Изменение глазного дна, нарушение бокового зрения, снижение остроты вплоть до полной потери, птоз верхнего века являются характерными для больных с синдромом Нельсона. Степень нарушения органа зрения является важным фактором для выбора адекватной терапии. Электроэнцефалографические исследования могут в некоторых случаях помочь ранней диагностике синдрома Нельсона.
Лечение
Лечение синдрома Нельсона направлено на компенсацию хронической надпочечниковой недостаточности и воздействие на гипоталамо-гипофизарную систему. Для лечения синдрома применяются различные методы, подавляющие секрецию АКТГ и предотвращающие рост и развитие кортикотропиномы. Используются медикаментозное лечение, лучевое воздействие на гипофиз и хирургическое удаление опухоли.
Из препаратов, применяемых при медикаментозном лечении, подавляющее действие оказывают на секрецию АКТГ серотониновый блокатор - ципрогентадин, стимулятор дофаминовой секреции - бромокриптин, а также конвулекс (вальпроат натрия), подавляющий продукцию АКТГ путем усиления синтеза гамма-аминомасляной кислоты (ГАМК) в гипоталамусе.
Из лучевых методов лечения в настоящее время используются как различные виды дистанционного облучения, так и интерстициальные. К первым относится облучение гамма-лучами, протонным пучком. Интерстициальным методом достигают частичное разрушение гипофиза, для чего применяют различные радиоактивные источники, 90It или 198Аu, которые вводят непосредственно в ткань гипофиза.
Медикаментозная и лучевая терапия используется при лечении больных с опухолью гипофиза, не выходящей за пределы турецкого седла, и не применяются при более обширных опухолях. Кроме того, показанием к медикаментозной и лучевой терапии являются рецидивы или частичный терапевтический эффект от хирургического метода лечения. Проведение облучения протонным пучком приводило к снижению пигментации и уменьшению секреции АКТГ. Введение 90It или 198Аи в полость турецкого седла дало положительные результаты у всех больных контрольной группы, состоящей из 8 человек.
В клинике ИЭЭиХГ РАМН 29 больным с синдромом Нельсона проводилось облучение гамма-лучами в дозе 45-50 Гр. Через 4-8 мес после этого у 23 из них обнаружено снижение гиперпигментации кожных покровов, у 3 меланодермия полностью исчезла. Важным отражением положительного эффекта от облучения было устранение тяжелого лабильного течения надпочечниковой недостаточности, характерной для нелеченного синдрома Нельсона. У остальных трех больных при отсутствии эффекта от лечения наблюдался дальнейший прогрессирующий рост опухоли гипофиза.
Оперативный метод удаления кортикотропином применяется как при микроаденомах, так и при больших опухолях. За последнее время широкое распространение получил метод микрохирургического вмешательства с транссфеноидальным доступом. Этот метод применяется при опухолях, растущих вниз. При больших, инвазивных, растущих вверх опухолях гипофиза у больных с синдромом Нельсона используют трансфронтальный доступ. Результаты хирургического лечения при небольших опухолях лучше, чем при аденомах с распространенным ростом. Несмотря на то, что микрохирургическая техника обеспечивает в большинстве случаев полное удаление патологической ткани, после применения оперативного метода имеются рецидивы заболевания.
Нередко при лечении синдрома Нельсона приходится прибегать к комбинированной терапии. При отсутствии ремиссии заболевания после лучевого лечения назначают ципрогептадин, парлодел, конвулекс. При невозможности полностью удалить опухоль хирургическим путем применяют облучение гипофиза или препараты, подавляющие секрецию АКТГ.
Из препаратов, применяемых при медикаментозном лечении, подавляющее действие оказывают на секрецию АКТГ серотониновый блокатор - ципрогентадин, стимулятор дофаминовой секреции - бромокриптин, а также конвулекс (вальпроат натрия), подавляющий продукцию АКТГ путем усиления синтеза гамма-аминомасляной кислоты (ГАМК) в гипоталамусе.
Из лучевых методов лечения в настоящее время используются как различные виды дистанционного облучения, так и интерстициальные. К первым относится облучение гамма-лучами, протонным пучком. Интерстициальным методом достигают частичное разрушение гипофиза, для чего применяют различные радиоактивные источники, 90It или 198Аu, которые вводят непосредственно в ткань гипофиза.
Медикаментозная и лучевая терапия используется при лечении больных с опухолью гипофиза, не выходящей за пределы турецкого седла, и не применяются при более обширных опухолях. Кроме того, показанием к медикаментозной и лучевой терапии являются рецидивы или частичный терапевтический эффект от хирургического метода лечения. Проведение облучения протонным пучком приводило к снижению пигментации и уменьшению секреции АКТГ. Введение 90It или 198Аи в полость турецкого седла дало положительные результаты у всех больных контрольной группы, состоящей из 8 человек.
В клинике ИЭЭиХГ РАМН 29 больным с синдромом Нельсона проводилось облучение гамма-лучами в дозе 45-50 Гр. Через 4-8 мес после этого у 23 из них обнаружено снижение гиперпигментации кожных покровов, у 3 меланодермия полностью исчезла. Важным отражением положительного эффекта от облучения было устранение тяжелого лабильного течения надпочечниковой недостаточности, характерной для нелеченного синдрома Нельсона. У остальных трех больных при отсутствии эффекта от лечения наблюдался дальнейший прогрессирующий рост опухоли гипофиза.
Оперативный метод удаления кортикотропином применяется как при микроаденомах, так и при больших опухолях. За последнее время широкое распространение получил метод микрохирургического вмешательства с транссфеноидальным доступом. Этот метод применяется при опухолях, растущих вниз. При больших, инвазивных, растущих вверх опухолях гипофиза у больных с синдромом Нельсона используют трансфронтальный доступ. Результаты хирургического лечения при небольших опухолях лучше, чем при аденомах с распространенным ростом. Несмотря на то, что микрохирургическая техника обеспечивает в большинстве случаев полное удаление патологической ткани, после применения оперативного метода имеются рецидивы заболевания.
Нередко при лечении синдрома Нельсона приходится прибегать к комбинированной терапии. При отсутствии ремиссии заболевания после лучевого лечения назначают ципрогептадин, парлодел, конвулекс. При невозможности полностью удалить опухоль хирургическим путем применяют облучение гипофиза или препараты, подавляющие секрецию АКТГ.
Прогноз
Прогноз заболевания зависит от динамики развития аденомы гипофиза и степени компенсации надпочечниковой недостаточности. При медленном развитии опухолевого процесса и компенсации надпочечниковой недостаточности состояние больных длительное время может оставаться удовлетворительным.
Трудоспособность почти у всех ограничена. Необходимо диспансерное наблюдение эндокринолога, невропатолога и окулиста.
Трудоспособность почти у всех ограничена. Необходимо диспансерное наблюдение эндокринолога, невропатолога и окулиста.
Профилактика
Профилактика синдрома Нельсона. Большинство авторов признают, что предупредить развитие синдрома и больших опухолей легче, чем лечить синдром Нельсона с распространенными процессами за пределами турецкого седла. Предварительная лучевая терапия на область гипофиза больных болезнью Иценко-Кушинга, по данным большинства авторов, не предотвращает развитие синдрома. В целях профилактики независимо от предварительного облучения гипофиза при болезни Иценко-Кушинга после двусторонней тотальной адреналэктомии необходимо ежегодно проводить рентгенографическое исследование турецкого седла, полей зрения и содержания АКТГ в плазме крови.
|
|