Продолжая работу с сайтом, вы разрешаете использование сookies и соглашаетесь с политикой конфиденциальности.
.,о.,р..и.:г,.и.,н.;н.,а;,л.. .,н.:а,.х.,о.,д.;и.,т..с.:я,, ..н.;а., .,k;,i..b.:e,;r.,i.,s.,.;.r.:u,

Синдром Чедиака-Хигаси

ДобавьАналогиСравни
Нигде не найдено ... скрыть
 
По жалобе ничего не найдено в выбранном разделе медицины. Попробуйте переформулировать жалобу или сменить источник поиска выше
Лечат в 3154 клиниках 144 городов
X
X
Нужен: терапевт, 9 анализов, 5 услуг
Нижний Новгород, ул. Максима Горького, д. 48/50 +7(831..показать+7(495) 104-88-01, +7(831) 235-15-17 от 16395₽
Москва, ул. Будайская, д. 2 +7(495..показать+7(495) 104-88-01, +7(495) 727-00-03, +7(499) 187-08-17 от 19335₽
Москва, ул. Старокачаловская, д. 3, корп. 3 +7(495..показать+7(495) 104-88-01, +7(495) 023-60-84 от 20540₽
Москва, ул. Солянка, д. 12, стр. 1 +7(495..показать+7(495) 104-88-01, +7(495) 023-60-84, +7(495) 730-14-34, +7(985) 239-51-02 от 21040₽
Москва, Ленинский пр-т, д. 20, стр. 1 +7(495..показать+7(495) 104-88-01, +7(495) 023-60-84 от 21240₽
Москва, Зубовский б-р, д. 22/39 +7(495..показать+7(495) 104-88-01, +7(495) 739-53-67, +7(495) 152-55-46 от 21570₽
Москва, Ленинградский пр-т, д. 52 +7(495..показать+7(495) 104-88-01, +7(495) 229-18-75, +7(495) 152-55-46 от 22340₽
Красногорск, ул. Успенская, д. 5 +7(495..показать+7(495) 104-88-01, +7(495) 730-57-15, +7(495) 152-55-46 от 23240₽
Москва, ул. Маршала Голованова, д. 1, корп. 2 +7(495..показать+7(495) 104-88-01, +7(495) 023-60-84 от 23370₽
Москва, 3-й Хорошевский пр-д, д. 1, стр. 2 +7(495..показать+7(495) 104-88-01, +7(495) 780-40-64, +7(495) 152-55-46 от 23590₽
Ещё 3144 клиники
  1. МКБ-10 коды
  2. Описание
  3. Клиническая картина
  4. Причины
  5. Патогенез
  6. Лечение
  7. Похожие заболевания
  8. Связанные стандарты мед. помощи
  9. Основные медицинские услуги
  10. Клиники для лечения

Другие названия и синонимы

Chediak-Higashi syndrome.
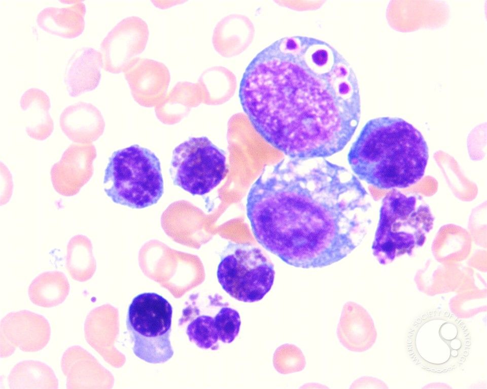
Гигантские гранулы фагоцитов при синдроме Чедиака-Хигаси

МКБ-10 коды

Описание

 Синдром Чедиака-Хигаси (по-английски сhediak-Higashi syndrome, сHS) - заболевание с генерализованной клеточной дисфункцией. Тип наследования - аутосомно-рецессивный. Обусловлено дефектом Lyst-протеина. Характерный признак этого синдрома - гигантские пероксидазоположительные гранулы в нейтрофилах, эозинофилах, моноцитах периферической крови и костного мозга, а также в клетках-предшественницах гранулоцитов. Гигантские гранулы обнаруживают также в циркулирующих лимфоцитах, цитоплазме нейронов и клетках соединительной ткани периневральной области.
 Синдром Чедиака-Хигаши - редкое заболевание, характеризующееся тяжелыми повторными гнойными инфекциями, парциальным альбинизмом, прогрессирующей нейропатией, склонностью к кровотечениям, развитием лимфопролиферативного синдрома, а также наличием гигантских гранул во многих клетках, особенно в лейкоцитах периферической крови. Иммунодефицит при синдроме Чедиака-Хигаши обусловлен, в первую очередь, нарушением функции фагоцитоза в клетках гранулоцитарного и макрофагального ряда и проявляется склонностью к гнойным и грибковым инфекциям. Кровоточивость связана с дефектом высвобождения фомбоцитаркых гранул.
 Первое упоминание о синдроме Чедиака-Хигаши относится к 1943 году (Beguez сesar). Дальнейшие описания мы находим у Steinbrinck 1948, сhediak 1952 и, наконец, у Higashi 1954.

Клиническая картина

 Клинические проявления синдрома Чедиака-Хигаси - рецидивирующие пиогенные инфекции, характерны частичный альбинизм волос, кожи и глаз, фотофобия. Вскоре после рождения возникает торпидная фаза болезни, связанная с аномалией образования антител к вирусу Эпстайна-Барр. Клинически на фоне бактериальной или вирусной инфекции развивается вторичный гемофагоцитарный синдром; лихорадка, панцитопения с геморрагическим синдромом, лимфаденопатия, гепатоспленомегалия, неврологическая симптоматика - эпизоды судорог, нарушение чувствительности, парезы, мозжечковые нарушения, умственная отсталость. Прогноз неблагоприятен.

Причины

 Тип наследования - аутосомно-рецессивный. Обусловлено дефектом Lyst-протеина.

Патогенез

 Патогенез заболевания связывают с аномалией структуры клеточных мембран, нарушением системы собирательных микротрубочек и дефектом взаимодействия последних с мембранами лизосом. Большая часть клинических проявлений может быть объяснена аномальным распределением лизосомальных ферментов. Частота и тяжесть пиогенных инфекций обусловлена снижением активности кислородного метаболизма и внутриклеточного переваривания микробов в фагоцитах вследствие задержки и непостоянного высвобождения гидролитических лизосомальных ферментов из гигантских гранул в фагосомы. Кроме того, у больных снижены активность естественных киллеров и антителозависимая цитотоксичность лимфоцитов. Заболевание относят к первичным иммунодефицитам.

Лечение

 При лечении синдрома Чедиака-Хигаси принимаются симптоматические меры, защита кожи и глаз от инсоляции. В лечении инфекционных эпизодов - комбинация антибиотиков широкого спектра действия. При развитии гемофагоцитоза показана полихимиотерапия с включением глюкокортикосероидов (преимущественно дексаметазона), винкристина, этопозида, эндолюмбальными введениями метотрексата, заместительной терапией компонентами крови. Единственный радикальный метод лечения, как и при многих других первичных иммунодефицитах, - аллогенная трансплантация костного мозга.

Похожие заболевания

Связанные стандарты мед. помощи

42a96bb5c8a2acfb07fc866444b97bf1
Доступно только при использовании PRO аккаунта
Модератор контента: Васин А.С.


  1. Киберис НЕ является интернет-магазином и НЕ осуществляет закупку, хранение, продажу и доставку препаратов. Ресурс выступает лишь в роли посредника между вами и производителем препаратов или аптечными пунктами, которые и осуществляют поставку.
  2. На Киберис размещены описания препаратов, часть из которых предназначена только для врачей. Данная информация не может быть использована пациентами для принятия решения об использовании препаратов, их отмене или коррекции дозировок.
  3. Ничто в представленной информации не должно быть истолковано как призыв использовать данные препараты.
  4. К Киберис не могут быть обращены претензии по поводу любого ущерба или вреда, понесенного в результате использования размещенной на сайте информации.