Продолжая работу с сайтом, вы разрешаете использование сookies и соглашаетесь с политикой конфиденциальности.
.,о.,р..и.:г,.и.,н.;н.,а;,л.. .,н.:а,.х.,о.,д.;и.,т..с.:я,, ..н.;а., .,k;,i..b.:e,;r.,i.,s.,.;.r.:u,

Синдром нижней полой вены

ДобавьАналогиСравни
Используемые препараты: ... скрыть
 
Фарм. гр. Вещество Препараты
Пентоксифиллин
Лечат в 4025 клиниках 150 городов
X
X
Нужен: терапевт, 4 анализа, 3 услуги
Нижний Новгород, ул. Таллинская, д. 8В, корп. 2 +7(831..показать+7(495) 104-88-01, +7(831) 248-53-86 от 4005₽
Ростов-на-Дону, ул. 1-я линия, д. 6 +7(800..показать+7(495) 104-88-01, +7(800) 234-74-40 от 4859₽
Уфа, ул. Правды, д. 19 +7(347..показать+7(495) 104-88-01, +7(347) 292-70-07 от 4860₽
Уфа, ул. Союзная, д. 35 +7(347..показать+7(495) 104-88-01, +7(347) 292-70-07 от 4860₽
Уфа, ул. Карла Маркса, д. 69 +7(347..показать+7(495) 104-88-01, +7(347) 292-70-07 от 4860₽
Казань, ул. Пушкина, д. 1/55 +7(843..показать+7(495) 104-88-01, +7(843) 500-57-86 от 5120₽
Казань, ул. Хади Такташа, д. 115 +7(843..показать+7(495) 104-88-01, +7(843) 580-17-54 от 5310₽
Казань, ул. Нурсултана Назарбаева, д. 47/113 +7(843..показать+7(495) 104-88-01, +7(843) 580-17-54 от 5310₽
Екатеринбург, ул. Сурикова, д. 53А +7(343..показать+7(495) 104-88-01, +7(343) 300-31-00 от 5350₽
Казань, ул. Патриса Лумумбы, д. 4 +7(843..показать+7(495) 104-88-01, +7(843) 580-17-54 от 5460₽
Ещё 4015 клиник
  1. МКБ-10 коды
  2. Описание
  3. Клиническая картина
  4. Причины
  5. Лечение
  6. Похожие заболевания
  7. Связанные стандарты мед. помощи
  8. Основные медицинские услуги
  9. Клиники для лечения

Другие названия и синонимы

Inferior vena cava syndrome.
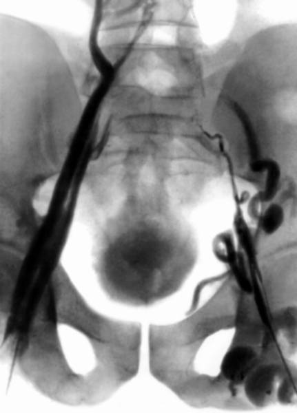
Тазовая флебограмма при окклюзии нижней полой вены

МКБ-10 коды

Описание

 Синдром нижней полой вены - это неотложное состояние, связанное с нарушением кровообращения в бассейне нижней полой вены.

Клиническая картина

 Распознавание тромбоза инфраренального сегмента нижней полой вены (с распространением этого процесса на подвздошные вены и окклюзией дистальных притоков) не вызывает особых затруднений при быстром нарастании отека и цианоза нижних конечностей, наружных половых органов и нижней половины тела в сочетании с острой болью в подвздошных, паховых и поясничной областях. Появление усиленного венозного рисунка на передней брюшной стенке при некотором уменьшении плотного отека подкожной клетчатки спустя несколько дней служит дополнительным диагностическим признаком. Для верификации диагноза используют специальные методы исследования и, прежде всего, кавографию.

Причины

 Синдром нижней полой вены - обобщенное понятие, связанное с острым окклюзивным или неокклюзивным (пристеночным, флотирующим) тромбозом основного коллектора, собирающего кровь из нижних конечностей, органов таза и брюшной полости. Соответственно уровню впадения наиболее крупных притоков выделяют тромбозы инфраренального (дистального), почечного и печеночного сегментов нижней полой вены. Эти патологические процессы различаются по своей клинической картине, исходу и осложнениям.

Лечение

 Оптимальное лечение зависит от причин, вызвавших синдром нижней полой вены.

Похожие заболевания

Связанные стандарты мед. помощи

42a96bb5c8a2acfb07fc866444b97bf1
Доступно только при использовании PRO аккаунта
Модератор контента: Васин А.С.


  1. Киберис НЕ является интернет-магазином и НЕ осуществляет закупку, хранение, продажу и доставку препаратов. Ресурс выступает лишь в роли посредника между вами и производителем препаратов или аптечными пунктами, которые и осуществляют поставку.
  2. На Киберис размещены описания препаратов, часть из которых предназначена только для врачей. Данная информация не может быть использована пациентами для принятия решения об использовании препаратов, их отмене или коррекции дозировок.
  3. Ничто в представленной информации не должно быть истолковано как призыв использовать данные препараты.
  4. К Киберис не могут быть обращены претензии по поводу любого ущерба или вреда, понесенного в результате использования размещенной на сайте информации.