Другие названия и синонимы
Neuroleukosis.
МКБ-10 коды
|
|
Описание
Нейролейкоз. Осложняющее лейкемию поражение нервной системы, обусловленное инфильтрацией лейкозными клетками нервных структур. Проявляется менингеальным симптомокомплексом, признаками внутричерепной гипертензии, очаговым неврологическим дефицитом, дисфункцией периферических нервов. Диагноз «нейролейкоз» устанавливается по данным неврологического осмотра, анализа цереброспинальной жидкости, церебральной томографии, краниографии, исследования костномозгового пунктата. Лечение включает введение цитостатиков в спинномозговое пространство, облучение головного мозга. Эффективно проведение профилактической терапии.
Дополнительные факты
Нейролейкоз (нейролейкемия, НЛ) является результатом метастазирования лейкозных клеток в головной и спинной мозг. Наиболее часто выступает осложнением острого лимфобластного лейкоза у детей до 15 лет. Хронические варианты лейкемии осложняются НЛ намного реже острых. Большинство случаев приходится на период ремиссии основного заболевания, реже нейролейкоз возникает в острой фазе. Нередки пациенты, у которых симптомы поражения ЦНС выступают первыми признаками лейкоза. Частота возникновения осложнения тесно связана с продолжительностью жизни больных (при быстром течении лейкемии оно не успевает развиться). В среднем встречаемость НЛ среди заболевших лейкозом составляет 5-10%. Снизить заболеваемость до такого уровня позволило введение в практику лечения профилактической эндолюмбальной инфузии цитостатиков.
Причины
НЛ возникает вследствие вторичного поражения центральной и периферической нервной системы раковыми клетками крови (миело-, лимфобластами). Метастазы - инфильтраты из бластных элементов крови - могут формироваться в оболочках и мозговом веществе, спинальных корешках, черепно-мозговых и периферических нервах. Факторами, увеличивающими риск развития нейролейкемии, выступают детский возраст пациента, лимфобластная форма острого лейкоза, высокий лейкоцитоз в дебюте заболевания, выраженная гепатоспленомегалия.
Патогенез
Проникновение лейкозных клеток в нервные ткани происходит контактным и диапедезным путём. В первом случае клетки распространяются на мозговые оболочки из костей черепа и позвоночника. При разрушении оболочек они инфильтрируют подлежащее мозговое вещество. Диапедезный механизм вызван повышенной проницаемостью стенок сосудов, вследствие чего циркулирующие с током крови бласты переходят из сосудистого русла в нервную ткань, образуя в ней метастатические инфильтраты. Морфологически нейролейкоз характеризуется многоочаговыми лейкемическими инфильтратами, глиозом, демиелинизацией нервных волокон. Образование лейкозных очагов в мозговом веществе приводит к повышению внутричерепного давления, сдавлению церебральных и спинальных структур, выпадению функций поражённого участка. Инфильтрирование желудочковой системы опасно развитием окклюзионной гидроцефалии. Инфильтраты нервных стволов вызывают их дисфункцию. В зависимости от локализации поражений формируется клиническая картина, включающая общемозговые и очаговые симптомы.
Классификация
Многообразие вариантов локализации лейкемических очагов приводит к широкой вариабельности клинической симптоматики. Поэтому предложено классифицировать нейролейкоз на следующие формы:
• Лейкозный менингит является следствием лейкозной инфильтрации церебральных оболочек. Манифестирует острыми менингеальными симптомами. Может выступать первым проявлением острой формы лейкоза.
• Лейкозный менингоэнцефалит. Результат многоочагового поражения оболочек и мозгового вещества. Характерно сочетание менингита, внутричерепной гипертензии, дисфункции черепно-мозговых нервов.
• Псевдотуморозная форма встречается реже. Обусловлена наличием локального лейкозного очага. Имитирует клинику внутримозговой опухоли.
• Периферическая форма возникает при локализации инфильтратов в стволах периферических нервов. Протекает по типу моно- и полиневропатий.
Критериями НЛ выступают клинические проявления и типичные изменения спинномозговой жидкости. Наличие/отсутствие данных признаков легло в основу классификации нейролейкемического синдрома на:
• Полный. Присутствует клиническая симптоматика и специфические изменения ликвора.
• Неполный. Имеется один из критериев. Вариант 1 подразумевает отсутствие патологических отклонений в ликворе при наличии клинических проявлений. Вариант 2 - латентное течение на фоне типичных нарушений ликворного состава.
• Скрытый. Отсутствует клиника, ликвор в норме. Отмечается отёчность дисков зрительных нервов при офтальмоскопии. По данным нейровизуализации в церебральном веществе выявляются очаговые изменения.
• Лейкозный менингит является следствием лейкозной инфильтрации церебральных оболочек. Манифестирует острыми менингеальными симптомами. Может выступать первым проявлением острой формы лейкоза.
• Лейкозный менингоэнцефалит. Результат многоочагового поражения оболочек и мозгового вещества. Характерно сочетание менингита, внутричерепной гипертензии, дисфункции черепно-мозговых нервов.
• Псевдотуморозная форма встречается реже. Обусловлена наличием локального лейкозного очага. Имитирует клинику внутримозговой опухоли.
• Периферическая форма возникает при локализации инфильтратов в стволах периферических нервов. Протекает по типу моно- и полиневропатий.
Критериями НЛ выступают клинические проявления и типичные изменения спинномозговой жидкости. Наличие/отсутствие данных признаков легло в основу классификации нейролейкемического синдрома на:
• Полный. Присутствует клиническая симптоматика и специфические изменения ликвора.
• Неполный. Имеется один из критериев. Вариант 1 подразумевает отсутствие патологических отклонений в ликворе при наличии клинических проявлений. Вариант 2 - латентное течение на фоне типичных нарушений ликворного состава.
• Скрытый. Отсутствует клиника, ликвор в норме. Отмечается отёчность дисков зрительных нервов при офтальмоскопии. По данным нейровизуализации в церебральном веществе выявляются очаговые изменения.
Клиническая картина
Случаи менингиальной и менингоэнцефалитической формы НЛ отличаются острым началом. Характерны интенсивная головная боль, светобоязнь, рвота, нарастающая вялость, заторможенность. Наблюдается повышение тонуса затылочных мышц. Дисфункция черепных нервов обусловлена их непосредственным поражением или сдавлением в условиях растущей интракраниальной гипертензии. Может отмечаться затуманивание зрения, двоение, косоглазие, опущение верхнего века, нарушение содружественного движения глазных яблок, асимметрия лица, расстройство слуха. Возможны эпилептические приступы.
При псевдотуморозном варианте нейролейкоз протекает с преобладанием очаговой симптоматики. В зависимости от расположения участка поражения наблюдается односторонняя слабость конечностей (гемипарез), нарушение речи (моторная афазия), экстрапирамидная симптоматика (гиперкинезы), приступы джексоновской эпилепсии с судорогами или чувствительными расстройствами 1-2-х конечностей. Периферическая форма характеризуется парестезиями, сниженной чувствительностью, мышечной слабостью, снижением сухожильных рефлексов в зоне иннервации поражённых нервов. Проявления могут свидетельствовать об ограниченном поражении одного нервного ствола (например, невропатия большеберцового нерва).
Ассоциированные симптомы: Асимметрия лица. Боль во всей голове. Общая слабость. Гемипарез. Гемипаретическая походка. Головная боль. Лейкоцитоз. Рвота. Судороги. Судороги в ногах.
При псевдотуморозном варианте нейролейкоз протекает с преобладанием очаговой симптоматики. В зависимости от расположения участка поражения наблюдается односторонняя слабость конечностей (гемипарез), нарушение речи (моторная афазия), экстрапирамидная симптоматика (гиперкинезы), приступы джексоновской эпилепсии с судорогами или чувствительными расстройствами 1-2-х конечностей. Периферическая форма характеризуется парестезиями, сниженной чувствительностью, мышечной слабостью, снижением сухожильных рефлексов в зоне иннервации поражённых нервов. Проявления могут свидетельствовать об ограниченном поражении одного нервного ствола (например, невропатия большеберцового нерва).
Ассоциированные симптомы: Асимметрия лица. Боль во всей голове. Общая слабость. Гемипарез. Гемипаретическая походка. Головная боль. Лейкоцитоз. Рвота. Судороги. Судороги в ногах.
Возможные осложнения
Нарастание лейкемической инфильтрации в ЦНС ведёт к гибели нейронов с усугублением неврологических отклонений и формированием необратимых нарушений. Серьёзным осложнением является сдавление головного мозга вследствие растущей внутричерепной гипертензии ( по механизму окклюзионной гидроцефалии). Масс-эффект со сдавлением церебрального ствола провоцирует расстройство витальных функций, выступает причиной летального исхода.
|
|
Диагностика
Трактовка неврологической симптоматики у пациентов с установленной лейкемией не вызывает диагностических затруднений. Сложности диагностики связаны со случаями, когда нейролейкоз имеет скрытое течение или является вариантом дебюта гемобластоза. Диагностический алгоритм включает:
• Осмотр невролога. Позволяет выявить ригидность мышц затылка, менингиальные симптомы Брудзинского, Кернига, двигательные и чувствительные нарушения, расстройства речи, патологию периферических и черепных нервов. Полученные результаты позволяют, определить тип и уровень поражения НС.
• Рентгенография черепа. Определяет остеопороз и пористость костей свода у пациентов со скрытой формой НЛ.
• Исследование цереброспинальной жидкости. Материал получают путём люмбальной пункции. Нейролейкоз характеризуется подъёмом количества клеточных элементов (цитозом) свыше 5 кл/мкл, наличием в ликворе бластных клеток. Подобные изменения наблюдаются у 90% больных.
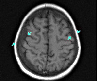
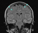
• Томографические исследования. Методы нейровизуализации имеют решающее значение в случаях скрытой нейролейкемии, при выявлении изменений цереброспинальной жидкости без соответствующей клиники заболевания. КТ головного мозга визуализирует очаги инфильтрации как гиподенсивные. Церебральная МРТ подтверждает наличие инфильтратов, позволяет более точно оценить их размер и расположение. Однако нейровизуализация не диагностирует природу инфильтратов, поэтому интерпретируется в комплексе с другими диагностическими данными.
• Стернальная пункция. Необходима для получения образца костного мозга, его последующего анализа. Результаты миелограммы позволяют подтвердить наличие лейкоза, оценить состояние кроветворения.
Нейролейкоз необходимо дифференцировать от опухолей головного мозга, менингитов и энцефалитов инфекционной этиологии, периферическую форму - от синдрома Гийена-Барре, полиневропатий иного генеза.
• Осмотр невролога. Позволяет выявить ригидность мышц затылка, менингиальные симптомы Брудзинского, Кернига, двигательные и чувствительные нарушения, расстройства речи, патологию периферических и черепных нервов. Полученные результаты позволяют, определить тип и уровень поражения НС.
• Рентгенография черепа. Определяет остеопороз и пористость костей свода у пациентов со скрытой формой НЛ.
• Исследование цереброспинальной жидкости. Материал получают путём люмбальной пункции. Нейролейкоз характеризуется подъёмом количества клеточных элементов (цитозом) свыше 5 кл/мкл, наличием в ликворе бластных клеток. Подобные изменения наблюдаются у 90% больных.
• Томографические исследования. Методы нейровизуализации имеют решающее значение в случаях скрытой нейролейкемии, при выявлении изменений цереброспинальной жидкости без соответствующей клиники заболевания. КТ головного мозга визуализирует очаги инфильтрации как гиподенсивные. Церебральная МРТ подтверждает наличие инфильтратов, позволяет более точно оценить их размер и расположение. Однако нейровизуализация не диагностирует природу инфильтратов, поэтому интерпретируется в комплексе с другими диагностическими данными.
• Стернальная пункция. Необходима для получения образца костного мозга, его последующего анализа. Результаты миелограммы позволяют подтвердить наличие лейкоза, оценить состояние кроветворения.
Нейролейкоз необходимо дифференцировать от опухолей головного мозга, менингитов и энцефалитов инфекционной этиологии, периферическую форму - от синдрома Гийена-Барре, полиневропатий иного генеза.
Лечение
Терапия осуществляется специалистами в области гематологии и неврологии при участии радиологов. Сложности лечения обусловлены плохой проницаемостью гематоэнцефалического барьера для противоопухолевых фармпрепаратов. Базовым методом выступает эндолюмбальное введение цитостатиков (метотрексата) в комбинации с краниальным облучением. В ходе лечения достигается полная санация ликвора. Лучевая терапия способствует гибели образовавшихся опухолевых инфильтратов. По показаниям совместно с цитостатиком дополнительно вводят противоопухолевый препарат (цитарабин) или глюкокортикостероид (преднизолон). Интратекальное введение отменяют после троекратного получения нормальных результатов анализа ликвора.
Побочные нейротоксические эффекты цитостатической и радиологической терапии могут вызвать временное ухудшение общего состояния больного. Наряду с базовой терапией проводится купирование побочных реакций, симптоматическая терапия антиконвульсантами, дегидратирующими средствами и пр.
Побочные нейротоксические эффекты цитостатической и радиологической терапии могут вызвать временное ухудшение общего состояния больного. Наряду с базовой терапией проводится купирование побочных реакций, симптоматическая терапия антиконвульсантами, дегидратирующими средствами и пр.
Прогноз
Обычно комплексное активное лечение позволяет добиться регресса неврологической симптоматики в течение 3-4-х недель. Дальнейший прогноз тесно связан с течением основного заболевания.
Профилактика
Зачастую предупредить нейролейкоз позволяет своевременная профилактическая терапия, которую рекомендуется начинать в период индукции ремиссии. Превентивная терапия включает курсовое эндолюмбальное введение цитостатического препарата с повторными однократными инфузиями при проведении реиндукционного лечения.