Продолжая работу с сайтом, вы разрешаете использование сookies и соглашаетесь с политикой конфиденциальности.
.,о.,р..и.:г,.и.,н.;н.,а;,л.. .,н.:а,.х.,о.,д.;и.,т..с.:я,, ..н.;а., .,k;,i..b.:e,;r.,i.,s.,.;.r.:u,

Незавершенный поворот кишечника

ДобавьАналогиСравни
Используемые препараты: ... скрыть
 
Препаратов не найдено
  1. МКБ-10 коды
  2. Описание
  3. Дополнительные факты
  4. Причины
  5. Клиническая картина
  6. Диагностика
  7. Лечение
  8. Прогноз
  9. Похожие заболевания

Другие названия и синонимы

Incomplete bowel rotation.
Незавершенный поворот кишечника

МКБ-10 коды

Описание

 Незавершенный поворот кишечника. Аномалия ротации и фиксации кишечника на эмбриональном этапе развития с нетипичной локализацией петель тонкого и толстого кишечника. В клинике проявляется симптомами острой кишечной непроходимости. Характерна рвота с примесью желчи, выраженный болевой синдром с признаками острого живота, повышение температуры тела, кровь в кале и запоры. Незавершенный поворот кишечника диагностируется клинически и рентгенологически, УЗИ-диагностика более информативна у новорожденных и детей до года. Лечение хирургическое и, как правило, экстренное. Проводится операция Ледда.
Незавершенный поворот кишечника

Дополнительные факты

 Незавершенный поворот кишечника также называют мальротацией, иногда - синдромом Ледда. Встречается данная аномалия развития достаточно часто, примерно 1 случай на 500 новорожденных. Дети всех возрастных групп заболевают с примерно одинаковой частотой, но у детей до года чаще развиваются осложнения некротического плана. Летальность высокая и составляет около 10%. Это связано с обширной резекцией кишки, после которой оставшийся участок кишечника оказывается не в состоянии обеспечить жизнедеятельность ребенка (синдром короткой кишки). Даже после успешной операции возможно отставание в физическом развитии, поэтому незавершенный поворот кишечника является актуальной проблемой педиатрии.

Причины

 В процессе эмбрионального развития кишечник проходит несколько стадий ротации, которая примерно к 12 неделе гестации заканчивается фиксацией отделов тонкого и толстого кишечника в типичных местах. Незавершенный поворот кишечника диагностируется в тех случаях, когда петли кишечника фиксируются в аномальных областях брюшной полости, тем самым нарушая нормальное функционирование ЖКТ. Это становится возможным в силу воздействия тератогенных факторов на этапах ротации и фиксации кишечника, то есть на 4-12 неделях гестации, а также в силу других пороков развития или заболеваний органов брюшной полости, которые могут помешать кишечнику закончить ротацию.
 Часто незавершенный поворот кишечника формируется у детей с увеличенной сигмовидной кишкой, которая из-за своих размеров препятствует опусканию слепой кишки в правый нижний сегмент брюшной полости. Способствуют развитию порока врожденные тяжи брюшины, заболевания сосудов кишечника, врожденные диафрагмальные грыжи, в том числе ущемленные, эмбриональные опухоли, высокая подвижность слепой кишки и многие другие анатомические патологии внутренних органов. В любом случае ротация петель кишечника не может завершиться нормально, вследствие чего некоторые его отделы располагаются не на своих местах, что и выражается в клинике.

Клиническая картина

 Очень редко, если порок выражен незначительно, клинические проявления могут отсутствовать или быть нерезко выраженными, из-за чего остаются незамеченными педиатром и родителями. Однако чаще симптомы незавершенного поворота кишечника наблюдаются в первых дней жизни. Типичным признаком является частая рвота с примесью желчи, которая случается в скором времени после кормления. Ребенок беспокойный из-за выраженного болевого синдрома, причиной которого становится острая кишечная непроходимость. По этой же причине возможно повышение температуры тела, поскольку происходит интоксикация мекониальными массами. Стул первое время может быть нормальным, потом появляется примесь крови, характерны запоры и метеоризм.
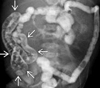
 При пальпации живота выявляется болезненность и напряженность передней брюшной стенки, чаще несимметричная, более выраженная справа. Заметно вздутие живота и увеличение его размеров в верхней части, в нижних отделах при этом обычно обнаруживается западение. Пальпировать петли кишечника в нижней части живота нередко не удается. На рентгенограмме - типичные признаки острой кишечной непроходимости: симптом двойного газового пузыря (в желудке и 12-перстной кишке) и расширенные петли кишечника. Рентгенография с контрастированием четко показывает расширенный желудок и верхнюю часть тонкой кишки, что тоже является признаком обструкции при незавершенном повороте кишечника.
 Ассоциированные симптомы: Запор. Метеоризм. Рвота.

Диагностика

 Ирригография указывает на нетипичное расположение слепой кишки в правом верхнем квадранте брюшной полости, что и является причиной непроходимости, поскольку именно тяжи брыжейки слепой кишки механически сдавливают просвет 12-перстной кишки. Новорожденным также проводится УЗИ-исследование, с помощью которого можно увидеть косвенные признаки незавершенного поворота кишечника. В частности, определяется аномальное расположение верхней брыжеечной вены по отношению к одноименной артерии. Кроме того, нижние отделы 12-перстной кишки локализуются с правой стороны, что также характерно для данного порока развития.

Лечение

 Показано оперативное лечение. Продолжительная предоперационная подготовка обычно не проводится, поскольку состояние ребенка, как правило, требует немедленного хирургического вмешательства. Выполняется операция Ледда, суть которой заключается в том, чтобы освободить 12-перстную кишку от тяжей слепой кишки и локализовать ее в правых отделах брюшной полости. Слепая кишка выводится в левый верхний квадрант. Таким образом, в результате операции кишечник располагается как при классическом незавершенном повороте кишечника. Поскольку слепая кишка с аппендиксом все равно оказываются в нетипичном месте, обязательно осуществляется аппендэктомия. В противном случае при развитии аппендицита диагностика будет крайне затруднена в связи с нетипичной клинической картиной.

Прогноз

 Прогноз зависит от выраженности клинических проявлений и своевременной диагностики кишечной непроходимости. В 10% случаев возможно развитие гангрены из-за длительного ущемления и ишемии участка кишечника. Смерть может наступить по двум причинам: септический шок и синдром короткой кишки. В остальных случаях прогноз благоприятный. Профилактика незавершённого поворота кишечника заключается только в своевременном выявлении и лечении порока. Изредка течение практически бессимптомное, аномалия развития обнаруживается случайно. В этом случае также рекомендуется операция для профилактики возможного заворота кишки.

Похожие заболевания

42a96bb5c8a2acfb07fc866444b97bf1
Доступно только при использовании PRO аккаунта
Модератор контента: Васин А.С.


  1. Киберис НЕ является интернет-магазином и НЕ осуществляет закупку, хранение, продажу и доставку препаратов. Ресурс выступает лишь в роли посредника между вами и производителем препаратов или аптечными пунктами, которые и осуществляют поставку.
  2. На Киберис размещены описания препаратов, часть из которых предназначена только для врачей. Данная информация не может быть использована пациентами для принятия решения об использовании препаратов, их отмене или коррекции дозировок.
  3. Ничто в представленной информации не должно быть истолковано как призыв использовать данные препараты.
  4. К Киберис не могут быть обращены претензии по поводу любого ущерба или вреда, понесенного в результате использования размещенной на сайте информации.