Продолжая работу с сайтом, вы разрешаете использование сookies и соглашаетесь с политикой конфиденциальности.
.,о.,р..и.:г,.и.,н.;н.,а;,л.. .,н.:а,.х.,о.,д.;и.,т..с.:я,, ..н.;а., .,k;,i..b.:e,;r.,i.,s.,.;.r.:u,

Синдром Вильсона-Микити

ДобавьАналогиСравни
Нигде не найдено ... скрыть
 
По жалобе ничего не найдено в выбранном разделе медицины. Попробуйте переформулировать жалобу или сменить источник поиска выше
Лечат в 2908 клиниках 137 городов
X
X
Нужен: терапевт, 8 анализов, 4 услуги
Ростов-на-Дону, ул. 1-я линия, д. 6 +7(800..показать+7(495) 104-88-01, +7(800) 234-74-40 от 7147₽
Казань, ул. Космонавтов, д. 16 +7(843..показать+7(495) 104-88-01, +7(843) 291-00-19 от 7720₽
Казань, ул. Чистопольская, д. 38 +7(843..показать+7(495) 104-88-01, +7(843) 291-00-19 от 7970₽
Санкт-Петербург, пр-т Мечникова, д. 27 +7(812..показать+7(495) 104-88-01, +7(812) 679-70-03 от 8515₽
Москва, ул. Новая Басманная, д. 5 +7(499..показать+7(495) 104-88-01, +7(499) 262-35-99, +7(800) 234-34-34 от 10932₽
Новосибирск, ул. Арбузова, д. 1/1, корп. 4 +7(383..показать+7(495) 104-88-01, +7(383) 332-05-51 от 11345₽
Новосибирск, ул. Арбузова, д. 6 +7(383..показать+7(495) 104-88-01, +7(383) 332-05-51 от 11345₽
Москва, Ленинградский пр-т, д. 52 +7(495..показать+7(495) 104-88-01, +7(495) 229-18-75, +7(495) 152-55-46 от 11600₽
пос. Краснообск, д. 116 +7(383..показать+7(495) 104-88-01, +7(383) 332-05-51 от 11675₽
Москва, ул. Маршала Голованова, д. 1, корп. 2 +7(495..показать+7(495) 104-88-01, +7(495) 023-60-84 от 11700₽
Ещё 2898 клиник
  1. МКБ-10 коды
  2. Описание
  3. Дополнительные факты
  4. Причины
  5. Клиническая картина
  6. Диагностика
  7. Лечение
  8. Прогноз
  9. Похожие заболевания
  10. Связанные стандарты мед. помощи
  11. Основные медицинские услуги
  12. Клиники для лечения

Другие названия и синонимы

Wilson-Mikiti syndrome.
Синдром Вильсона-Микити

МКБ-10 коды

Описание

 Синдром Вильсона. Микити - редкое интерстициальное заболевание легких, которое дебютирует в период новорожденности и сопровождается развитием поздней кислородозависимости. Проявляется выраженной одышкой и диффузным цианозом, частыми приступами апноэ. Характерно отсутствие признаков интоксикации и инфекционно-воспалительных изменений, в том числе лабораторных. Диагностика основана на совокупности клинических сведений и рентгенологической картины, имеющей патогномоничные признаки синдрома Вильсона-Микити. Лечение заболевания симптоматическое, специфическая терапия не разработана.
Синдром Вильсона-Микити

Дополнительные факты

 Синдром Вильсона-Микити - криптогенное поражение интерстициальной ткани легких новорожденных. Впервые о данной патологии педиатры заговорили в 1960 году. Чуть позже заболевание стали считать новой формой бронхолегочной дисплазии, но на сегодняшний день доказана разная природа этих нозологий. Синдром Вильсона-Микити чаще встречается среди недоношенных детей, особенно если гестационный возраст составляет менее 32 недель. Встречается редко, распространенность - менее 1 случая на 10 000 новорожденных. Тем не менее, доля патологии составляет около 4% среди всех хронических заболеваний легких новорожденных, летальность - примерно 10%.
 В последние годы синдром Вильсона-Микити диагностируется реже, чем 10-20 лет назад, но уровень смертности сохраняется, а само заболевание все чаще протекает с атипичной клинической картиной. Кроме того, возрастает процент сочетанных патологий, что неизбежно приводит к росту количества летальных исходов и случаев тяжелого течения. Заболевание далеко не всегда становится причиной детской инвалидности, однако ребенку нередко в течение долгих лет требуются особые условия обучения в связи с необходимостью периодической кислородной поддержки и слаборазвитым легочным иммунитетом. Очевидна высокая актуальность проблемы в педиатрии.

Причины

 Этиология заболевания в настоящее время неизвестна. Доказано влияние малого веса при рождении, особенно в случае недоношенности, гораздо реже речь идет о низком весе при нормальном гестационном возрасте. Предполагается связь синдрома Вильсона-Микити с внутриутробным инфицированием, однако эти сведения нельзя считать достоверными, поскольку не всегда определяется четкая корреляция. У матерей заболевших детей часто имеются в анамнезе различные патологии беременности и родов: преждевременная отслойка плаценты, краевое и центральное предлежание плаценты, хориоамнионит, затяжные роды и тд.
 Основную роль в патогенезе синдрома Вильсона-Микити играет развитие специфического воспаления интерстициальной ткани в бронхолегочной системе. При этом отсутствует связь с конкретным инфекционным агентом, типичные признаки воспалительного процесса также не выявляются. По ходу течения заболевания отек интерстиция сменяется его фиброзной деформацией, которая всегда обнаруживается в области мелких бронхов и периваскулярно. Следствием является значительное снижение эффективной дыхательной поверхности, что приводит к типичной клинической картине синдрома Вильсона-Микити.

Клиническая картина

 Признаки заболевания чаще всего обнаруживаются на 5-35 день жизни. До появления первых симптомов нарушения со стороны легких, как правило, отсутствуют. Синдром Вильсона-Микити начинается с учащения дыхания и диффузного цианоза, усиливающегося при нагрузках, например, во время кормления. Патогномоничным признаком заболевания являются частые приступы отсутствия дыхания - апноэ, сопровождающиеся выраженной брадикардией. Достаточно быстро развивается кислородозависимость. Температура остается нормальной за исключением редких случаев присоединения вторичной бактериальной инфекции.
 Ассоциированные симптомы: Одышка.

Диагностика

 Диагноз ставится педиатром на основании клинической картины в сочетании с характерными рентгенологическими изменениями. Обращают на себя внимание недоношенность и низкий вес ребенка, частое присутствие патологий беременности и родов в анамнезе матери. Легочная недостаточность при синдроме Вильсона-Микити не связана с инфекциями и воспалительными процессами, которые исключаются при помощи лабораторной диагностики. Признаки воспаления в анализах крови отсутствуют. Не подтверждается и инфекционная природа заболевания, хотя в некоторых случаях внутриутробные инфекции протекают параллельно с данным синдромом.
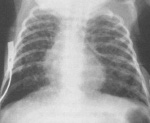
 Синдром Вильсона-Микити имеет характерные рентгенологические признаки, которые меняются по мере развития патологии. Сначала обнаруживается повышенная аэрация легких. Затем появляются фиброзные полосы, расположенные вдоль бронхов и чаще уходящие в верхние доли легких. В течение нескольких месяцев и даже лет происходит постепенная нормализация рентгенологический картины. Интересен тот факт, что изменения на снимках могут возникать раньше первых клинических признаков синдрома Вильсона-Микити, а после клинического выздоровления рентгенологическая картина еще долгое время приходит в норму.

Лечение

 Специфическая терапия не разработана, проводится симптоматическое лечение. Всегда назначается кислородотерапия. Это может быть кислородная маска, но часто требуется ИВЛ. Оксигенотерапия является временной мерой, после улучшения состояния ребенка она отменяется. Также необходима коррекция легочной гипертензии и сопутствующей застойной сердечной недостаточности. С этой целью в лечении синдрома Вильсона-Микити могут использоваться сердечные гликозиды. Антибиотикотерапия показана исключительно при инфекционных осложнениях, в остальных случаях применение антибиотиков не оправдано. Состояние ребенка постепенно улучшается в течение одной-двух недель.

Прогноз

 Прогноз заболевания сомнительный. Синдром Вильсона-Микити остается заболеванием с невыясненной этиологией, что создает определенные трудности в терапии. Кроме того, невозможно предсказать развитие патологии. Летальность сохраняется на уровне 10%, связана с септическими осложнениями, тяжелой степенью дыхательной и сердечной недостаточности. Помимо этого, выраженная продолжительная гипоксия негативно влияет на дальнейшее нервно-психическое здоровье ребенка, становясь причиной задержки психического развития. Профилактика не разработана, снизить риск развития синдрома Вильсона-Микити может только грамотное ведение и сохранение беременности.

Похожие заболевания

Связанные стандарты мед. помощи

42a96bb5c8a2acfb07fc866444b97bf1
Доступно только при использовании PRO аккаунта
Модератор контента: Васин А.С.


  1. Киберис НЕ является интернет-магазином и НЕ осуществляет закупку, хранение, продажу и доставку препаратов. Ресурс выступает лишь в роли посредника между вами и производителем препаратов или аптечными пунктами, которые и осуществляют поставку.
  2. На Киберис размещены описания препаратов, часть из которых предназначена только для врачей. Данная информация не может быть использована пациентами для принятия решения об использовании препаратов, их отмене или коррекции дозировок.
  3. Ничто в представленной информации не должно быть истолковано как призыв использовать данные препараты.
  4. К Киберис не могут быть обращены претензии по поводу любого ущерба или вреда, понесенного в результате использования размещенной на сайте информации.