Другие названия и синонимы
Meconial ileus.
МКБ-10 коды
- МКБ-10
- P75 Мекониевый илеус
|
|
Описание
Мекониальный илеус. Одна из клинических форм муковисцидоза, характеризующаяся непроходимостью подвздошной кишки на фоне ее обтурации уплотненными мекониальными массами. Проявляется отсутствием отхождения первородного кала, рвотой с примесью желчи и фекалий, вздутием живота, расширением вен передней брюшной стенки, интоксикационным синдромом и эксикозом. Диагностика муковисцидоза подразумевает визуализацию кишечной непроходимости при помощи рентгенографии и лабораторное подтверждение патологии. Лечение заключается в размягчении и эвакуации мекония путем промывания кишечника или хирургического вмешательства.
Дополнительные факты
Мекониальный илеус - патологическое состояние в педиатрии и неонатологии, возникающее на фоне муковисцидоза и проявляющееся обтурацией дистальных отделов тонкого кишечника уплотненным первородным калом. Заболеваемость составляет порядка 1:2000, страдают 10-20% детей с муковисцидозом. Данная патология является причиной более чем 30% всех кишечных непроходимостей у новорожденных. Впервые клиника мекониального илеуса была описана в 1905 году Ландштейнером. Несмотря на возможность полноценной ликвидации кишечной непроходимости у большинства пациентов (примерно в 85% случаев), полного излечения достигнуть невозможно, поскольку муковисцидоз является неизлечимой генетически детерминированной патологией. Летальность у детей до года составляет более 50%. Причиной смерти чаще всего становятся хронические респираторные заболевания.
Клиническая картина
Ассоциированные симптомы: Жажда. Одышка. Рвота.
Причины
Мекониальный илеус является одной из клинических форм аутосомно-рецессивного заболевания - муковисцидоза (кистозного фиброза). Данная патология обусловлена мутацией гена длинного плеча VII хромосомы, кодирующего белок сFTR - муковисцидозный трансмембранный регулятор проводимости. Непосредственно мекониальный илеус развивается на фоне отсутствия фермента поджелудочной железы - трипсина. Дефицит данной гидролазы становится причиной чрезмерной вязкости физиологического секрета желудочно-кишечного тракта, из-за чего секрет «прилипает» к слизистым оболочкам.
В результате на фоне скопления большого количества мекониальных масс в дистальном отделе тонкого кишечника, (подвздошная кишка - лат. ileum) еще в утробе матери возникает непроходимость. Помимо этого наблюдаются и другие патологические изменения этого отдела пищеварительного тракта: выраженная атрофия слизистой оболочки, расширение просвета выводящих протоков слизистых желез, увеличение лимфатических щелей. Петли кишечника, находящиеся дистальнее места обтурации, полностью или практически полностью лишаются первородного кала и уменьшаются в размере. Данное явление носит название микроколон.
В результате на фоне скопления большого количества мекониальных масс в дистальном отделе тонкого кишечника, (подвздошная кишка - лат. ileum) еще в утробе матери возникает непроходимость. Помимо этого наблюдаются и другие патологические изменения этого отдела пищеварительного тракта: выраженная атрофия слизистой оболочки, расширение просвета выводящих протоков слизистых желез, увеличение лимфатических щелей. Петли кишечника, находящиеся дистальнее места обтурации, полностью или практически полностью лишаются первородного кала и уменьшаются в размере. Данное явление носит название микроколон.
Диагностика
Диагностика мекониального илеуса заключается в сборе анамнестических данных, физикальном, лабораторном и инструментальном обследовании ребенка. При сборе анамнеза педиатр обращает внимание на наличие или отсутствие отхождения мекониальных масс и динамику развития заболевания. Обязательно устанавливаются случаи муковисцидоза у родителей или других родственников.
При объективном осмотре у ребенка с мекониальным илеусом выявляются одышка смешанного характера, тахикардия, тахипноэ и усиление перкуторного звука над брюшной полостью. Аускультативно перистальтические шумы не определяются. Пальпаторно часто удается обнаружить расширенные петли проксимальных отделов тонкого кишечника, имеющие тестообразную консистенцию. Ректальное обследование позволяет подтвердить повышенный тонус анального сфинктера и микроколон.
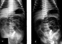
Для подтверждения кишечной непроходимости применяется рентгенография с контрастированием. Данное исследование свидетельствует о множественных растяжениях петель тонкого кишечника, изредка - о наличии горизонтального уровня жидкости. Диагностическим критерием мекониального илеуса является симптом «мыльных пузырей» в правой подвздошной области, обусловленный смешиванием мекониальных масс с пузырьками воздуха. При наличии перитонита обнаруживаются участки обызвествления по всей брюшной полости - от пространства под куполами диафрагмы до полости малого таза.
Проведение ирригографии ребенку позволяет выявить уменьшение размеров дистальных отделов кишечника - микроколон. Широко используется УЗИ-диагностика, которая может указать на патологические изменения кишечника еще в антенатальном периоде. Лабораторные тесты направлены на подтверждение диагноза муковисцидоз. Они включают в себя проведение ВМ-теста с использованием первой полученной порции мекониальных масс, пилокарпиновую потовую пробу на концентрацию хлоридов и исследование ДНК.
При объективном осмотре у ребенка с мекониальным илеусом выявляются одышка смешанного характера, тахикардия, тахипноэ и усиление перкуторного звука над брюшной полостью. Аускультативно перистальтические шумы не определяются. Пальпаторно часто удается обнаружить расширенные петли проксимальных отделов тонкого кишечника, имеющие тестообразную консистенцию. Ректальное обследование позволяет подтвердить повышенный тонус анального сфинктера и микроколон.
Для подтверждения кишечной непроходимости применяется рентгенография с контрастированием. Данное исследование свидетельствует о множественных растяжениях петель тонкого кишечника, изредка - о наличии горизонтального уровня жидкости. Диагностическим критерием мекониального илеуса является симптом «мыльных пузырей» в правой подвздошной области, обусловленный смешиванием мекониальных масс с пузырьками воздуха. При наличии перитонита обнаруживаются участки обызвествления по всей брюшной полости - от пространства под куполами диафрагмы до полости малого таза.
Проведение ирригографии ребенку позволяет выявить уменьшение размеров дистальных отделов кишечника - микроколон. Широко используется УЗИ-диагностика, которая может указать на патологические изменения кишечника еще в антенатальном периоде. Лабораторные тесты направлены на подтверждение диагноза муковисцидоз. Они включают в себя проведение ВМ-теста с использованием первой полученной порции мекониальных масс, пилокарпиновую потовую пробу на концентрацию хлоридов и исследование ДНК.
Дифференциальная диагностика
Дифференциальная диагностика мекониального илеуса проводится с болезнью Гиршпрунга, атрезией кишечника, синдромом мекониевой пробки и синдромом функционального спазма нисходящей части ободочной кишки.
Лечение
Тактика лечения мекониального илеуса зависит от тяжести состояния ребенка, наличия или отсутствия осложнений. При неосложненном варианте заболевания проводится промывание кишечника гиперосмолярным раствором (цистографином). Высокое осмотическое давление раствора позволяет «стягивать» в просвет кишечника жидкость из окружающих тканей, тем самым разжижая густые мекониальные массы и способствуя их отхождению. Промывание осуществляется не более 2-3 раз.
При тяжелом общем состоянии ребенка, развитии осложнений или отсутствии эффекта от промывания кишечника гипертоническим раствором выполняют хирургическое вмешательство путем срединной лапаротомии. После вскрытия брюшной полости для упрощения манипуляций уплотненным меконием в просвет подвздошной кишки шприцем вводят цистографин. Далее при помощи эластического катетера, введенного в аппендикс, осуществляют эвакуацию размягченного секрета через анальное отверстие. При неэффективности данной манипуляции показано раскрытие просвета кишки и механическое удаление мекониальных масс с последующим восстановлением целостности пищеварительного тракта. В некоторых случаях формируют проксимальную стому, выводя кишку на переднюю брюшную стенку. При необходимости проводят симптоматическое лечение.
Специфической профилактики мекониального илеуса и муковисцидоза не разработано. Неспецифические превентивные меры включают в себя медико-генетическое консультирование семейных пар, планирование беременности, регулярное посещение женской консультации, прохождение всех необходимых исследований в период гестации, обследование больных с подозрением на муковисцидоз.
При тяжелом общем состоянии ребенка, развитии осложнений или отсутствии эффекта от промывания кишечника гипертоническим раствором выполняют хирургическое вмешательство путем срединной лапаротомии. После вскрытия брюшной полости для упрощения манипуляций уплотненным меконием в просвет подвздошной кишки шприцем вводят цистографин. Далее при помощи эластического катетера, введенного в аппендикс, осуществляют эвакуацию размягченного секрета через анальное отверстие. При неэффективности данной манипуляции показано раскрытие просвета кишки и механическое удаление мекониальных масс с последующим восстановлением целостности пищеварительного тракта. В некоторых случаях формируют проксимальную стому, выводя кишку на переднюю брюшную стенку. При необходимости проводят симптоматическое лечение.
Специфической профилактики мекониального илеуса и муковисцидоза не разработано. Неспецифические превентивные меры включают в себя медико-генетическое консультирование семейных пар, планирование беременности, регулярное посещение женской консультации, прохождение всех необходимых исследований в период гестации, обследование больных с подозрением на муковисцидоз.