Другие названия и синонимы
Fractures of the shin bones in children.
МКБ-10 коды
|
|
Описание
Переломы голени у детей составляют более половины от общего количества всех переломов нижних конечностей. Возникают при падении (в том числе и с высоты), при автодорожной травме, прямом ударе и подворачивании стопы. Клинические проявления определяются уровнем перелома. При повреждении верхнего метаэпифиза симптомы выражены слабо, в ряде случаев ребенок может опираться на больную ногу. При переломах в средней трети наблюдается резкая боль и отек, опора невозможна, нередко возникает заметная деформация, отмечается патологическая подвижность. Повреждение дистального метаэпифиза сопровождается отеком и интенсивной болью. Диагностика осуществляется на основании результатов рентгенографии и данных осмотра. Лечение консервативное. При необходимости проводится репозиция, накладывается гипс или скелетное вытяжение, назначается физиотерапия. Хирургическое вмешательство требуется редко.
Дополнительные факты
Переломы голени у детей - распространенная травма. Может наблюдаться как изолированное повреждение большеберцовой кости, так и нарушение целостности обеих костей голени. Изолированная травма малоберцовой кости возникает крайне редко.
Тяжесть повреждения может значительно варьироваться и зависит от уровня и вида перелома. При обычном падении на улице или во время игры переломы голени у детей обычно бывают изолированными. При автодорожной травме и падениях со значительной высоты возможно сочетание с повреждениями других костей скелета, ЧМТ, повреждением спинного мозга, тупой травмой живота, травмой тазовых органов и повреждениями грудной клетки.
Перелом межмыщелкового возвышения возникает при резком скручивании или отклонении согнутой голени. Симптоматика стертая. Ребенок может опираться на ногу, но жалуется на болевые ощущения при сгибании колена и ходьбе. При осмотре выявляется припухлость мягких тканей, увеличение объема и сглаживание контуров коленного сустава из-за гемартроза. Движения и пальпация болезненны.
Для подтверждения диагноза назначают рентгенографию коленного сустава. При повреждениях без смещения делают сравнительные снимки обоих суставов. В сомнительных случаях больного направляют на КТ или МРТ коленного сустава.
Пациента на несколько дней госпитализируют в детское травматологическое отделение, а затем выписывают долечиваться амбулаторно. При поступлении выполняют иммобилизацию гипсовой или пластиковой лонгетой. Ногу фиксируют под небольшим углом. При необходимости проводят пункцию коленного сустава. Гипс нужно носить 3 недели. Затем ребенку назначают ЛФК.
Перелом большеберцовой кости в области метаэпифиза возникает при падении на прямую ногу (например, при прыжке с высоты). Обычно такие переломы бывают вколоченными. Клиника стертая. Ребенок жалуется на умеренную болезненность при движениях и опоре. Область колена незначительно припухшая. Пальпация болезненна, симптом осевой нагрузки положительный.
Рентгенологическое исследование подтверждает диагноз. В случае затруднений больного направляют на МРТ или КТ коленного сустава.
Лечение стационарное, а затем амбулаторное, в травмпункте. Ребенку накладывают гипс на 2-3 недели. По окончании иммобилизации больного направляют на ЛФК.
Прогноз благоприятный. Движения восстанавливаются в полном объеме, рост конечности обычно не нарушается.
Клинические проявления яркие, поэтому постановка диагноза не вызывает затруднений. После падения или удара по ноге возникает резкая боль. Ребенок не может наступать на ногу. В области повреждения наблюдается припухлость, возможна гематома. Выявляется деформация, определяется крепитация и подвижность отломков.
Рентгенографию костей голени выполняют для уточнения диагноза и определения тактики лечения. КТ обычно не требуется. При подозрении на интерпозицию мягких тканей ребенка могут направить на МРТ голени.
Повреждение сосудов и периферических нервов для такой травмы нехарактерно. Однако при подозрении на такое повреждение необходима консультация детского нейрохирурга или детского невропатолога и сосудистого хирурга.
Лечение стационарное, проводится детским травматологом. При трещинах и переломах без смещения на слегка согнутую голень накладывают глубокий гипс на 2-3 недели.
При спиральных, поперечных и косых переломах с небольшим смещением возможна одномоментная репозиция костей голени под наркозом с последующей фиксацией гипсовой повязкой на 4-5 недель.
Значительное смещение и неудачная попытка репозиции является показанием для наложения скелетного вытяжения на 2-3 недели. Потом накладывают гипс еще на 2-3 недели.
При всех переломах со смещением нужно как минимум трижды проводить рентген-контроль: сразу после репозиции или наложения вытяжения, через 4-6 дней, перед снятием гипса. Если ребенок находится на скелетном вытяжении, количество рентгенографий увеличивается до четырех - четвертую выполняют перед снятием вытяжения.
Хирургическое лечение переломов голени у детей проводится при:
• Невозможности выполнить успешную репозицию и добиться удовлетворительного стояния отломков с использованием скелетного вытяжения.
• Интерпозиции тканей.
• Открытых переломах.
• Угрозе повреждения отломками кожи, нервов и сосудов.
Операция обычно осуществляется с использованием интрамедуллярных конструкций. Предпочтительна фиксация штифтами или остеосинтез диафизарных переломов большеберцовой кости блокирующими стержнями. Накостные фиксаторы (пластины, болты и винты) используются реже, поскольку могут вызвать разрастание надкостницы. Однако иногда их выбор оправдан характером перелома - например, при длинной спиральной линии излома, когда отломки плохо удерживаются внутрикостными конструкциями. Аппараты Илизарова у детей используются редко.
Выбор металлоконструкции осуществляется с учетом наименьшей травматичности, удобства для ребенка в послеоперационном периоде, возможности нагружать конечность и совершать движения в суставах сразу или через небольшое время после операции.
Хирургическое вмешательство выполняется под общим наркозом. Выбор места разреза зависит от вида металлоконструкции. Вначале врач проводит открытую репозицию перелома, а затем фиксирует сопоставленные отломки стержнем, штифтом, винтами Проводится тщательный гемостаз. Рану ушивают послойно и дренируют резиновым выпускником или полутрубкой. На 2 день дренаж удаляют. Швы снимают через 8-10 суток.
Рекомендации по режиму, нагрузке на ногу даются индивидуально, в зависимости от вида металлоконструкции и характера перелома. После операции назначают УВЧ. В восстановительном периоде ребенка направляют на теплые ванны, озокерит или парафин и ЛФК.
Прогноз при диафизарных переломах голени у детей благоприятный. Сращение хорошее. Даже если после репозиции осталось небольшое смещение по ширине (до 1/3 диаметра кости), оно устраняется по мере роста ребенка.
При остеоэпифизеолизе ребенок жалуется на боль при попытке движений и ощупывании. Опора невозможна. Голеностопный сустав отечен, иногда кожа этой области приобретает синюшный или багровый оттенок. При выраженном смещении отмечается деформация области сустава и некоторое разворачивание стопы кнаружи.
Рентгенография голеностопного сустава позволяет установить точный диагноз. При переломах без смещения выполняют сравнительное рентгенологическое исследование обоих суставов. В трудных случаях ребенка направляют на КТ или МРТ голеностопного сустава.
Если смещение отсутствует, накладывают гипс до колена на 3 недели. При остеоэпифизеолизах со смещением в сочетании с повреждением малоберцовой кости производят репозицию под общим наркозом. Потом перелом фиксируют гипсовой повязкой и выполняют рентгенконтроль. Повторный контрольный снимок назначают спустя 4-6 дней. Срок фиксации - 3-4 недели.
Дети с переломами без смещения наблюдаются амбулаторно у детского травматолога. При наличии смещения возможна госпитализация.
Переломы лодыжек чаще возникают у подростков. Смещение отломков обычно отсутствует. Клиника при переломах без смещения стертая. Возникает небольшой отек и умеренные боли, опора несколько ограничена.
При повреждениях со смещением наблюдается значительный отек и более или менее заметная деформация. Боли интенсивные. Опора невозможна.
Рентгенологическое исследование дает возможность не только подтвердить диагноз, но и оценить величину смещения отломков. КТ или МРТ сустава требуются очень редко, как правило, при переломах без смещения.
Лечение повреждений без смещения проводится в травмпункте. Ребенку накладывают гипс на 2-3 недели, затем назначают физиопроцедуры и ЛФК.
При изолированных повреждениях внутренней или наружной лодыжек со смещением осуществляется репозиция. После наложения гипса и спустя 4-5 дней выполняется контрольный снимок. Иммобилизация продолжается 3-4 недели. Затем 2-3 месяца рекомендуют использовать специальные стельки-супинаторы. Назначают парафин или озокерит и ЛФК.
Двухлодыжечные переломы со смещением - показание для госпитализации в детское травматологическое отделение. Репозицию выполняют под наркозом, затем накладывают повязку и проводят рентген-контроль. Срок иммобилизации - 4-5 недель. Потом назначают ЛФК и физиопроцедуры.
Хирургическое лечение требуется чрезвычайно редко, преимущественно при открытых повреждениях.
При устранении смещения и восстановлении конгруэнтности суставных поверхностей прогноз благоприятный.
Тяжесть повреждения может значительно варьироваться и зависит от уровня и вида перелома. При обычном падении на улице или во время игры переломы голени у детей обычно бывают изолированными. При автодорожной травме и падениях со значительной высоты возможно сочетание с повреждениями других костей скелета, ЧМТ, повреждением спинного мозга, тупой травмой живота, травмой тазовых органов и повреждениями грудной клетки.
Переломы верхнего метаэпифиза большеберцовой кости.
Выделяют два типа таких повреждений: переломы межмыщелкового возвышения и переломы метаэпифиза.Перелом межмыщелкового возвышения возникает при резком скручивании или отклонении согнутой голени. Симптоматика стертая. Ребенок может опираться на ногу, но жалуется на болевые ощущения при сгибании колена и ходьбе. При осмотре выявляется припухлость мягких тканей, увеличение объема и сглаживание контуров коленного сустава из-за гемартроза. Движения и пальпация болезненны.
Для подтверждения диагноза назначают рентгенографию коленного сустава. При повреждениях без смещения делают сравнительные снимки обоих суставов. В сомнительных случаях больного направляют на КТ или МРТ коленного сустава.
Пациента на несколько дней госпитализируют в детское травматологическое отделение, а затем выписывают долечиваться амбулаторно. При поступлении выполняют иммобилизацию гипсовой или пластиковой лонгетой. Ногу фиксируют под небольшим углом. При необходимости проводят пункцию коленного сустава. Гипс нужно носить 3 недели. Затем ребенку назначают ЛФК.
Перелом большеберцовой кости в области метаэпифиза возникает при падении на прямую ногу (например, при прыжке с высоты). Обычно такие переломы бывают вколоченными. Клиника стертая. Ребенок жалуется на умеренную болезненность при движениях и опоре. Область колена незначительно припухшая. Пальпация болезненна, симптом осевой нагрузки положительный.
Рентгенологическое исследование подтверждает диагноз. В случае затруднений больного направляют на МРТ или КТ коленного сустава.
Лечение стационарное, а затем амбулаторное, в травмпункте. Ребенку накладывают гипс на 2-3 недели. По окончании иммобилизации больного направляют на ЛФК.
Прогноз благоприятный. Движения восстанавливаются в полном объеме, рост конечности обычно не нарушается.
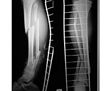
Диафизарные переломы голени у детей.
В 60% случаев наблюдается перелом одной кости (большеберцовой). В 40% ломаются обе кости. Как правило, повреждение локализуется в средней трети. Линия перелома обычно располагается косо, по спирали или поперечно, реже наблюдаются многооскольчатые переломы.Клинические проявления яркие, поэтому постановка диагноза не вызывает затруднений. После падения или удара по ноге возникает резкая боль. Ребенок не может наступать на ногу. В области повреждения наблюдается припухлость, возможна гематома. Выявляется деформация, определяется крепитация и подвижность отломков.
Рентгенографию костей голени выполняют для уточнения диагноза и определения тактики лечения. КТ обычно не требуется. При подозрении на интерпозицию мягких тканей ребенка могут направить на МРТ голени.
Повреждение сосудов и периферических нервов для такой травмы нехарактерно. Однако при подозрении на такое повреждение необходима консультация детского нейрохирурга или детского невропатолога и сосудистого хирурга.
Лечение стационарное, проводится детским травматологом. При трещинах и переломах без смещения на слегка согнутую голень накладывают глубокий гипс на 2-3 недели.
При спиральных, поперечных и косых переломах с небольшим смещением возможна одномоментная репозиция костей голени под наркозом с последующей фиксацией гипсовой повязкой на 4-5 недель.
Значительное смещение и неудачная попытка репозиции является показанием для наложения скелетного вытяжения на 2-3 недели. Потом накладывают гипс еще на 2-3 недели.
При всех переломах со смещением нужно как минимум трижды проводить рентген-контроль: сразу после репозиции или наложения вытяжения, через 4-6 дней, перед снятием гипса. Если ребенок находится на скелетном вытяжении, количество рентгенографий увеличивается до четырех - четвертую выполняют перед снятием вытяжения.
Хирургическое лечение переломов голени у детей проводится при:
• Невозможности выполнить успешную репозицию и добиться удовлетворительного стояния отломков с использованием скелетного вытяжения.
• Интерпозиции тканей.
• Открытых переломах.
• Угрозе повреждения отломками кожи, нервов и сосудов.
Операция обычно осуществляется с использованием интрамедуллярных конструкций. Предпочтительна фиксация штифтами или остеосинтез диафизарных переломов большеберцовой кости блокирующими стержнями. Накостные фиксаторы (пластины, болты и винты) используются реже, поскольку могут вызвать разрастание надкостницы. Однако иногда их выбор оправдан характером перелома - например, при длинной спиральной линии излома, когда отломки плохо удерживаются внутрикостными конструкциями. Аппараты Илизарова у детей используются редко.
Выбор металлоконструкции осуществляется с учетом наименьшей травматичности, удобства для ребенка в послеоперационном периоде, возможности нагружать конечность и совершать движения в суставах сразу или через небольшое время после операции.
Хирургическое вмешательство выполняется под общим наркозом. Выбор места разреза зависит от вида металлоконструкции. Вначале врач проводит открытую репозицию перелома, а затем фиксирует сопоставленные отломки стержнем, штифтом, винтами Проводится тщательный гемостаз. Рану ушивают послойно и дренируют резиновым выпускником или полутрубкой. На 2 день дренаж удаляют. Швы снимают через 8-10 суток.
Рекомендации по режиму, нагрузке на ногу даются индивидуально, в зависимости от вида металлоконструкции и характера перелома. После операции назначают УВЧ. В восстановительном периоде ребенка направляют на теплые ванны, озокерит или парафин и ЛФК.
Прогноз при диафизарных переломах голени у детей благоприятный. Сращение хорошее. Даже если после репозиции осталось небольшое смещение по ширине (до 1/3 диаметра кости), оно устраняется по мере роста ребенка.
Переломы нижних метаэпифизов костей голени.
Как правило, в детском возрасте возникает остеоэпифизеолиз нижнего конца большеберцовой кости в сочетании с переломом нижней трети малоберцовой кости. Реже наблюдаются отрывы лодыжек. Причиной травмы обычно становится подворачивание стопы.При остеоэпифизеолизе ребенок жалуется на боль при попытке движений и ощупывании. Опора невозможна. Голеностопный сустав отечен, иногда кожа этой области приобретает синюшный или багровый оттенок. При выраженном смещении отмечается деформация области сустава и некоторое разворачивание стопы кнаружи.
Рентгенография голеностопного сустава позволяет установить точный диагноз. При переломах без смещения выполняют сравнительное рентгенологическое исследование обоих суставов. В трудных случаях ребенка направляют на КТ или МРТ голеностопного сустава.
Если смещение отсутствует, накладывают гипс до колена на 3 недели. При остеоэпифизеолизах со смещением в сочетании с повреждением малоберцовой кости производят репозицию под общим наркозом. Потом перелом фиксируют гипсовой повязкой и выполняют рентгенконтроль. Повторный контрольный снимок назначают спустя 4-6 дней. Срок фиксации - 3-4 недели.
Дети с переломами без смещения наблюдаются амбулаторно у детского травматолога. При наличии смещения возможна госпитализация.
Переломы лодыжек чаще возникают у подростков. Смещение отломков обычно отсутствует. Клиника при переломах без смещения стертая. Возникает небольшой отек и умеренные боли, опора несколько ограничена.
При повреждениях со смещением наблюдается значительный отек и более или менее заметная деформация. Боли интенсивные. Опора невозможна.
Рентгенологическое исследование дает возможность не только подтвердить диагноз, но и оценить величину смещения отломков. КТ или МРТ сустава требуются очень редко, как правило, при переломах без смещения.
Лечение повреждений без смещения проводится в травмпункте. Ребенку накладывают гипс на 2-3 недели, затем назначают физиопроцедуры и ЛФК.
При изолированных повреждениях внутренней или наружной лодыжек со смещением осуществляется репозиция. После наложения гипса и спустя 4-5 дней выполняется контрольный снимок. Иммобилизация продолжается 3-4 недели. Затем 2-3 месяца рекомендуют использовать специальные стельки-супинаторы. Назначают парафин или озокерит и ЛФК.
Двухлодыжечные переломы со смещением - показание для госпитализации в детское травматологическое отделение. Репозицию выполняют под наркозом, затем накладывают повязку и проводят рентген-контроль. Срок иммобилизации - 4-5 недель. Потом назначают ЛФК и физиопроцедуры.
Хирургическое лечение требуется чрезвычайно редко, преимущественно при открытых повреждениях.
При устранении смещения и восстановлении конгруэнтности суставных поверхностей прогноз благоприятный.
|
|
Классификация
С учетом уровня различают:
• Повреждения верхнего метаэпифиза большеберцовой кости.
• Диафизарные переломы одной или обеих костей голени.
• Повреждения нижнего метаэпифиза костей голени.
Наиболее редкими (4,7%) являются повреждения верхней части голени, наиболее частыми - диафизарные переломы.
• Повреждения верхнего метаэпифиза большеберцовой кости.
• Диафизарные переломы одной или обеих костей голени.
• Повреждения нижнего метаэпифиза костей голени.
Наиболее редкими (4,7%) являются повреждения верхней части голени, наиболее частыми - диафизарные переломы.