Другие названия и синонимы
Tuberculosis in children.
МКБ-10 коды
- МКБ-10
- A15-A19 Туберкулез
|
|
Описание
Туберкулез у детей. Специфическое инфекционно - воспалительное поражение различных тканей и органов, вызываемое микобактериями туберкулеза. Основными клиническими формами туберкулеза у детей служат ранняя и хроническая туберкулезная интоксикация, первичный туберкулезный комплекс, туберкулезный бронхоаденит, острый милиарный туберкулез; реже встречаются туберкулезный менингит, мезаденит, туберкулез периферических лимфоузлов, кожи, почек, глаз, костно-суставной системы. Диагностика туберкулеза у детей включает микроскопию, бакпосев, ПЦР исследование биологических сред; постановку туберкулиновых проб, рентгенографию, томографию, бронхоскопию и пр. При туберкулезе у детей показано назначение туберкулостатических препаратов.
Дополнительные факты
Туберкулез у детей - инфекционное заболевание, протекающее с образованием специфических воспалительных очагов (туберкулезных гранулем) в различных органах. Туберкулез относится к группе социально опасных заболеваний, поскольку в последние десятилетия отмечается неуклонный рост заболеваемости не только среди взрослых, но также среди детей и подростков. Заболеваемость детей туберкулезом в целом по России в последние годы составила 16-19 случаев на 100 тыс. человек, а инфицированность детей в возрасте до 14 лет микобактериями туберкулеза - от 15 до 60%, что отражает общую неблагоприятную эпидемическую ситуацию и наличие большого «резервуара» тубинфекции. Первостепенную задачу педиатрии и фтизиатрии на настоящем этапе представляют профилактика и раннее выявление туберкулеза у детей.
Причины
Микобактерия туберкулеза (туберкулезная палочка, палочка Коха) благодаря наличию кислотоустойчивой стенки может сохранять жизнеспособность и вирулентность в различных условиях внешней среды - при высушивании, замораживании, воздействии кислот, щелочей, антибиотиков Способность к образованию L-форм обусловливает широкий диапазон изменчивости морфологических свойств и приспосабливаемость к существованию в различных условиях. Высокопатогенными для человека являются 2 вида возбудителя: Mycobacterium tuberculosis humans (человеческого типа) и Mycobacterium bovis (бычьего типа).
Микобактерии туберкулеза могут попадать в организм ребенка аэрогенным, алиментарным, контактным, смешанным путем, в соответствии с чем образуется первичный очаг воспаления. У детей может иметь место внутриутробное трансплацентарное инфицирование туберкулезом или итранатальное, во время родов при аспирации околоплодных вод. Вначале туберкулез у детей манифестирует как общая инфекция, затем при благоприятных для возбудителя условиях развиваются очаги поражения (туберкулезные бугорки) в том или ином органе. Исходом первичного туберкулезного процесса может служить полное рассасывание, фиброзная трансформация и кальцинация очагов, где нередко сохраняются живые микобактерии туберкулеза. При реинфицировании происходит обострение и прогрессирование туберкулезного процесса, нередко с диссеминацией микобактерий и образованием множественных очагов в других органах (вторичный туберкулез).
К группе повышенного риска по заболеваемости туберкулезом принадлежат дети, не получившие вакцинацию БЦЖ в период новорождённости; ВИЧ-инфицированные; длительно получающие лечение гормонами, цитостатиками, антибиотиками; проживающие в неблагоприятных санитарно-эпидемиологических и социальных условиях; часто болеющие дети; страдающие сахарным диабетом и тд В большинстве случае дети заражаются туберкулезом дома и в семье, однако возможны эпидемические вспышки в детских садах и школах, внутрибольничное инфицирование, заражение в других общественных местах.
Наиболее восприимчивыми к туберкулезу оказываются дети в возрасте до 2-х лет - для них характерны генерализованные формы инфекции (милиарный туберкулез, туберкулезный сепсис). Среди детей старше 2-х лет чаще встречается туберкулез органов дыхания (75% случаев), значительно реже - все другие формы.
Микобактерии туберкулеза могут попадать в организм ребенка аэрогенным, алиментарным, контактным, смешанным путем, в соответствии с чем образуется первичный очаг воспаления. У детей может иметь место внутриутробное трансплацентарное инфицирование туберкулезом или итранатальное, во время родов при аспирации околоплодных вод. Вначале туберкулез у детей манифестирует как общая инфекция, затем при благоприятных для возбудителя условиях развиваются очаги поражения (туберкулезные бугорки) в том или ином органе. Исходом первичного туберкулезного процесса может служить полное рассасывание, фиброзная трансформация и кальцинация очагов, где нередко сохраняются живые микобактерии туберкулеза. При реинфицировании происходит обострение и прогрессирование туберкулезного процесса, нередко с диссеминацией микобактерий и образованием множественных очагов в других органах (вторичный туберкулез).
К группе повышенного риска по заболеваемости туберкулезом принадлежат дети, не получившие вакцинацию БЦЖ в период новорождённости; ВИЧ-инфицированные; длительно получающие лечение гормонами, цитостатиками, антибиотиками; проживающие в неблагоприятных санитарно-эпидемиологических и социальных условиях; часто болеющие дети; страдающие сахарным диабетом и тд В большинстве случае дети заражаются туберкулезом дома и в семье, однако возможны эпидемические вспышки в детских садах и школах, внутрибольничное инфицирование, заражение в других общественных местах.
Наиболее восприимчивыми к туберкулезу оказываются дети в возрасте до 2-х лет - для них характерны генерализованные формы инфекции (милиарный туберкулез, туберкулезный сепсис). Среди детей старше 2-х лет чаще встречается туберкулез органов дыхания (75% случаев), значительно реже - все другие формы.
Классификация
Классификация форм туберкулеза у детей учитывает клинико-рентгенологические признаки, течение, протяженность (локализацию) процесса:
I. Ранняя и хроническая туберкулезная интоксикация детей и подростков.
II. Туберкулезное поражение органов дыхания у детей:
• первичный туберкулезный комплекс.
• туберкулезный бронхоаденит (туберкулез внутригрудных лимфатических узлов).
• туберкулез легких (милиарный, диссеминированный, инфильтративный, очаговый, кавернозный, фиброзно-кавернозный, цирротический, туберкулема).
• туберкулезный плеврит.
• туберкулез трахеи, туберкулез бронхов, верхних дыхательных путей и тд.
III. Туберкулез других локализаций у детей:
• туберкулез нервной системы (туберкулезный менингит, миелит, лептоменингит, менингоэнцефалит).
• костно-суставной туберкулез.
• туберкулез органов мочеполовой системы.
• туберкулез кожи и подкожной клетчатки.
• туберкулез кишечника, брюшины и брыжеечных лимфоузлов.
• туберкулез периферических лимфоузлов.
• туберкулез глаз (кератит, кератоконъюнктивит, эписклерит, хориоретинит, иридоциклит).
По периоду течения туберкулезного процесса различают фазу инфильтрации, распада, обсеменения, рассасывания, уплотнения, рубцевания, обызвествления. По факту бацилловыделения различают туберкулезный процесс с выделением M. tuberculosis (БК+) и без выделения M. tuberculosis (БК ).
В рамках данного обзора остановимся на основных формах туберкулеза органов дыхания у детей. Туберкулез почек, туберкулез гортани, генитальный туберкулез рассмотрены в соответствующих самостоятельных статьях.
I. Ранняя и хроническая туберкулезная интоксикация детей и подростков.
II. Туберкулезное поражение органов дыхания у детей:
• первичный туберкулезный комплекс.
• туберкулезный бронхоаденит (туберкулез внутригрудных лимфатических узлов).
• туберкулез легких (милиарный, диссеминированный, инфильтративный, очаговый, кавернозный, фиброзно-кавернозный, цирротический, туберкулема).
• туберкулезный плеврит.
• туберкулез трахеи, туберкулез бронхов, верхних дыхательных путей и тд.
III. Туберкулез других локализаций у детей:
• туберкулез нервной системы (туберкулезный менингит, миелит, лептоменингит, менингоэнцефалит).
• костно-суставной туберкулез.
• туберкулез органов мочеполовой системы.
• туберкулез кожи и подкожной клетчатки.
• туберкулез кишечника, брюшины и брыжеечных лимфоузлов.
• туберкулез периферических лимфоузлов.
• туберкулез глаз (кератит, кератоконъюнктивит, эписклерит, хориоретинит, иридоциклит).
По периоду течения туберкулезного процесса различают фазу инфильтрации, распада, обсеменения, рассасывания, уплотнения, рубцевания, обызвествления. По факту бацилловыделения различают туберкулезный процесс с выделением M. tuberculosis (БК+) и без выделения M. tuberculosis (БК ).
В рамках данного обзора остановимся на основных формах туберкулеза органов дыхания у детей. Туберкулез почек, туберкулез гортани, генитальный туберкулез рассмотрены в соответствующих самостоятельных статьях.
Клиническая картина
Ранний период первичной туберкулезной инфекции.
Начальная фаза взаимодействия возбудителя и макроорганизма длится от 6 до 12 месяцев от момента инфицирования ребенка микобактериями туберкулеза. В этом периоде выделяют бессимптомный этап (около 6-8 недель) и вираж туберкулиновых проб - переход реакции Манту из отрицательной во впервые положительную. Ребенок с виражом туберкулиновых реакций подлежит направлению к фтизиатру и наблюдению специалистом в течение года. В дальнейшем у таких детей сохраняется состояние инфицированности микобактериями туберкулеза либо, при неблагоприятных условиях, развивается та или иная локальная форма туберкулеза.Типичен длительный беспричинный субфебрилитет, на фоне которого появляются температурные свечи до 38-39°С; отмечается повышенная потливость особенно во время сна. Туберкулезная интоксикация сопровождается специфической реакцией лимфоузлов - их множественным увеличением (микрополиаденией).
Если признаки туберкулезной интоксикации у детей сохраняются более 1 года, состояние расценивается как хроническое.
Ассоциированные симптомы: Базофилия. Гиперкальциемия. Кашель. Лимфоцитоз. Моноцитоз. Недомогание. Одышка. Потливость. Раздражительность.
Диагностика
Многообразие клинических «масок» и проявлений туберкулеза у детей создает определенные трудности в своевременной диагностике заболевания. Поэтому дети с подозрением на туберкулез в обязательном порядке должны направляться педиатром на консультацию к фтизиатру.
В настоящее время для массового выявление туберкулеза среди детей в качестве скрининг-теста используется проба Манту с 2 В возрасте 15 и 17 лет подросткам выполняется профилактическая флюорография.
В специализированном противотуберкулезном учреждении проводится комплексная диагностика, включающая сбор анамнеза с выявлением возможных источников и путей заражения, оценкой динамики туберкулиновых проб и жалоб; физикальное, инструментальное и лабораторное обследование.
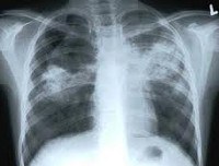
Рентгенография грудной клетки при различных формах туберкулеза органов дыхания у детей позволяет визуализировать изменения во внутригрудных лимфоузлах или легких. При необходимости исследование дополняется линейной или компьютерной томографией органов грудной полости. Бронхоскопия ребенку необходима для оценки косвенных признаков туберкулезного процесса (выявления признаков эндобронхита, деформации трахеи и бронхов увеличенными лимфоузлами) и получения смывов для исследований.
Для выделения возбудителя из различных биологических сред (мокроты, мочи, испражнений, крови, плевральной жидкости, промывных вод бронхов, отделяемого костных секвестров, спинномозговой жидкости, мазка из зева и мазка с конъюнктивы) осуществляется микроскопическое, бактериологическое, ИФА, ПЦР-исследование. Забор и исследование материала на КУБ производится не менее 3 раз.
В условиях противотуберкулезного диспансера детям с подозрением на инфицированность или туберкулез проводится индивидуальная туберкулинодиагностика (проба Манту, Диаскин-тест, проба Пирке, проба Коха).
В настоящее время для массового выявление туберкулеза среди детей в качестве скрининг-теста используется проба Манту с 2 В возрасте 15 и 17 лет подросткам выполняется профилактическая флюорография.
В специализированном противотуберкулезном учреждении проводится комплексная диагностика, включающая сбор анамнеза с выявлением возможных источников и путей заражения, оценкой динамики туберкулиновых проб и жалоб; физикальное, инструментальное и лабораторное обследование.
Рентгенография грудной клетки при различных формах туберкулеза органов дыхания у детей позволяет визуализировать изменения во внутригрудных лимфоузлах или легких. При необходимости исследование дополняется линейной или компьютерной томографией органов грудной полости. Бронхоскопия ребенку необходима для оценки косвенных признаков туберкулезного процесса (выявления признаков эндобронхита, деформации трахеи и бронхов увеличенными лимфоузлами) и получения смывов для исследований.
Для выделения возбудителя из различных биологических сред (мокроты, мочи, испражнений, крови, плевральной жидкости, промывных вод бронхов, отделяемого костных секвестров, спинномозговой жидкости, мазка из зева и мазка с конъюнктивы) осуществляется микроскопическое, бактериологическое, ИФА, ПЦР-исследование. Забор и исследование материала на КУБ производится не менее 3 раз.
В условиях противотуберкулезного диспансера детям с подозрением на инфицированность или туберкулез проводится индивидуальная туберкулинодиагностика (проба Манту, Диаскин-тест, проба Пирке, проба Коха).
|
|
Лечение
Принципы терапии туберкулеза у детей подразумевают поэтапность, преемственность и комплексность. Основные этапы включают лечение в условиях стационара, специализированного санатория и противотуберкулезного диспансера. Длительность курса терапии составляет в среднем 1,5-2 года. Важная роль в организации лечения туберкулеза у детей отводится санитарно-диетическим мероприятиям (высококалорийному питанию, пребыванию на свежем воздухе, обучению режиму кашля).
Комплексная терапия туберкулеза у детей включает химиотерапевтическое, хирургическое и реабилитационное воздействие. Режим специфического противотуберкулезного лечения (комбинация препаратов, длительность приема, необходимость госпитализации) определяется детским фтизиатром на основании формы заболевания и наличия бацилловыделения.
Дети с виражом туберкулезных реакций не нуждаются в госпитализации и лечатся амбулаторно одним противотуберкулезным препаратом (изониазидом, фтивазидом) в течение 3-х месяцев. Диспансерное наблюдение продолжается 1 год, после чего при отрицательных данных клинико-лабораторного обследования ребенок может быть снят с учета. В остальных случаях в соответствии с индивидуальными показаниями используются комбинации из 2-х, 3-х и 4-х и более противотуберкулезных препаратов, основными из которых являются стрептомицин, рифампицин, изониазид, пиразинамид и этамбутол. Курс лечения туберкулеза у детей подразделяется на фазу интенсивной терапии и фазу поддерживающей терапии.
В случае сохранения выраженных остаточных явлений через 6-8 месяцев после активной терапии туберкулеза у детей решается вопрос о хирургическом вмешательстве.
Комплексная терапия туберкулеза у детей включает химиотерапевтическое, хирургическое и реабилитационное воздействие. Режим специфического противотуберкулезного лечения (комбинация препаратов, длительность приема, необходимость госпитализации) определяется детским фтизиатром на основании формы заболевания и наличия бацилловыделения.
Дети с виражом туберкулезных реакций не нуждаются в госпитализации и лечатся амбулаторно одним противотуберкулезным препаратом (изониазидом, фтивазидом) в течение 3-х месяцев. Диспансерное наблюдение продолжается 1 год, после чего при отрицательных данных клинико-лабораторного обследования ребенок может быть снят с учета. В остальных случаях в соответствии с индивидуальными показаниями используются комбинации из 2-х, 3-х и 4-х и более противотуберкулезных препаратов, основными из которых являются стрептомицин, рифампицин, изониазид, пиразинамид и этамбутол. Курс лечения туберкулеза у детей подразделяется на фазу интенсивной терапии и фазу поддерживающей терапии.
В случае сохранения выраженных остаточных явлений через 6-8 месяцев после активной терапии туберкулеза у детей решается вопрос о хирургическом вмешательстве.
Прогноз
Исходом и лечения может являться значительное улучшение, улучшение, отсутствие перемен, ухудшение течения туберкулеза у детей. В большинстве случаев при правильном лечении достигается полное выздоровление. Серьезный прогноз туберкулеза может ожидаться у детей раннего возраста, при диссеминации процесса, развитии туберкулезного менингита.
Профилактика
Специфическая профилактика туберкулеза у детей начинается в период новорожденности и продолжается в подростковом возрасте ( тд Вакцинация против туберкулеза). Большую роль в вопросе профилактики туберкулеза у детей играет систематическая туберкулинодиагностика, улучшение санитарно-гигиенических условий, рациональное вскармливание, физическое закаливание детей, выявление взрослых больных туберкулезом.