Другие названия и синонимы
Oral cancer.
МКБ-10 коды
|
|
Описание
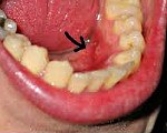
Рак полости рта. Злокачественное новообразование, происходящее из эпителия и мягких тканей ротовой полости. На ранних стадиях протекает бессимптомно, представляет собой узелок либо язвочку. В последующем рак полости рта увеличивается в диаметре, появляется боль, сначала локальная, потом - иррадиирующая в голову и уши. Усиливается слюноотделение. При распаде возникает неприятный запах изо рта. Часто присоединяются вторичные инфекции. При лимфогенном метастазировании отмечается увеличение регионарных лимфоузлов. Диагноз выставляют с учетом данных осмотра и биопсии. Лечение - радиотерапия, оперативное удаление, химиотерапия.
Дополнительные факты
Рак полости рта - злокачественная опухоль, локализующаяся в зоне языка, слизистой щек, десен, дна, нёба либо альвеолярных отростков челюстей. Уровень заболеваемости зависит от региона, болезнь чаще поражает жителей азиатских государств. В России рак полости рта составляет 2-4% от общего количества онкологических заболеваний, в США - 8% (вероятно, обусловлено большим количеством эмигрантов из стран Азии), в Индии - 52%. Обычно обнаруживается у пациентов старше 60 лет. Редко диагностируется у детей. Отмечается выраженное преобладание лиц мужского пола.
65% рака полости рта представлено новообразованиями языка, 13% - слизистой щек, 11% - дна полости рта, 9% - твердого неба и слизистой альвеолярных отростков верхней челюсти, 6,2% - мягкого неба, 6% - слизистой альвеолярных отростков нижней челюсти, 1,5% - язычка, 1,3% - небных дужек. Эпителиальные опухоли выявляются чаще сарком. Рак полости рта нередко развивается на фоне предраковых процессов, обычно возникающих в возрасте 40-45 лет. Лечение осуществляют специалисты в сфере онкологии и челюстно-лицевой хирургии, иногда - при участии отоларингологов.
65% рака полости рта представлено новообразованиями языка, 13% - слизистой щек, 11% - дна полости рта, 9% - твердого неба и слизистой альвеолярных отростков верхней челюсти, 6,2% - мягкого неба, 6% - слизистой альвеолярных отростков нижней челюсти, 1,5% - язычка, 1,3% - небных дужек. Эпителиальные опухоли выявляются чаще сарком. Рак полости рта нередко развивается на фоне предраковых процессов, обычно возникающих в возрасте 40-45 лет. Лечение осуществляют специалисты в сфере онкологии и челюстно-лицевой хирургии, иногда - при участии отоларингологов.
Причины
Причины опухолей ротовой полости точно не установлены, однако, специалистам удалось определить ряд факторов, способствующих развитию данной патологии. Ведущую роль в возникновении рака полости рта играют вредные привычки, особенно - сочетание курения и злоупотребления алкоголем. У жителей стран Азии имеют большое значение жевание бетеля и употребление наса. В качестве второго по значимости фактора, провоцирующего рак полости рта, онкологи рассматривают повторяющиеся механические травмы: использование некачественных зубных протезов, ранки, возникающие при контакте с острым краем пломбы или осколком зуба.
Реже в анамнезе пациентов с раком полости рта выявляются однократные механические повреждения: челюстно-лицевые травмы либо ранение стоматологическим инструментов при удалении либо лечении зубов. Онкологи и стоматологи указывают на важность гигиены полости рта, удаления зубного камня, лечения кариеса и пародонтита и на недопустимость установки зубных протезов, изготовленных из разных материалов (это вызывает гальванические токи и способствует развитию заболеваний ротовой полости).
Последние исследования американских онкологов указывают на наличие связи между новообразованиями рта и носоглотки и вирусом папилломы человека, передающимся половым путем, при поцелуях или (реже) при бытовых контактах. Вирус не всегда провоцирует опухоли, но увеличивает риск их возникновения. У некоторых больных раком полости рта прослеживается связь с профессиональными вредностями: трудом в сильно загрязненных помещениях, контактом с канцерогенными веществами, длительным пребыванием в условиях высокой влажности, повышенной либо пониженной температуры. Кроме того, развитию рака полости рта способствует употребление острой либо слишком горячей пищи и дефицит витамина А, при котором нарушаются процессы ороговения эпителия. Новообразования часто появляются на фоне хронических воспалительных и предраковых поражений.
Реже в анамнезе пациентов с раком полости рта выявляются однократные механические повреждения: челюстно-лицевые травмы либо ранение стоматологическим инструментов при удалении либо лечении зубов. Онкологи и стоматологи указывают на важность гигиены полости рта, удаления зубного камня, лечения кариеса и пародонтита и на недопустимость установки зубных протезов, изготовленных из разных материалов (это вызывает гальванические токи и способствует развитию заболеваний ротовой полости).
Последние исследования американских онкологов указывают на наличие связи между новообразованиями рта и носоглотки и вирусом папилломы человека, передающимся половым путем, при поцелуях или (реже) при бытовых контактах. Вирус не всегда провоцирует опухоли, но увеличивает риск их возникновения. У некоторых больных раком полости рта прослеживается связь с профессиональными вредностями: трудом в сильно загрязненных помещениях, контактом с канцерогенными веществами, длительным пребыванием в условиях высокой влажности, повышенной либо пониженной температуры. Кроме того, развитию рака полости рта способствует употребление острой либо слишком горячей пищи и дефицит витамина А, при котором нарушаются процессы ороговения эпителия. Новообразования часто появляются на фоне хронических воспалительных и предраковых поражений.
Классификация
С учетом особенностей гистологического строения выделяют следующие типы плоскоклеточного рака:
• Рак полости рта in situ. Обнаруживается редко.
• Ороговевающий плоскоклеточный рак. Выявляется наличие крупных участков ороговевшего эпителия («раковых жемчужин»). Характерен быстрый агрессивный местный рост. Диагностируется в 95% случаев.
• Неороговевающий плоскоклеточный рак полости рта с разрастанием атипичного эпителия без скоплений ороговевших клеток.
• Низкодифференцированный рак, клетки которого напоминают саркоматозные. Протекает наиболее злокачественно.
С учетом особенностей роста опухоли различают три формы рака полости рта: язвенную, узловатую и папиллярную. Язвенная форма - самая распространенная, проявляется образованием медленно или быстро растущих язв. Узловатый рак полости рта по внешнему виду представляет плотный узел, покрытый беловатыми пятнами. При папиллярных новообразованиях в ротовой полости возникают быстро растущие плотные выросты.
Для определения тактики лечения заболевания используют четырехстадийную классификацию рака полости рта:
• 1 стадия. Диаметр опухоли не превышает 1 новообразование не распространяется за пределы слизистого и подслизистого слоев. Лимфоузлы не изменены.
• 2А стадия. Выявляется новообразование диаметром менее 2 прорастающее ткани на глубину не более 1 тд Регионарные лимфоузлы интактны.
• 2В стадия. Наблюдается картина рака полости рта 2А стадии и поражение одного регионарного лимфоузла.
• 3А стадия. Диаметр опухоли не превышает 3 тд Регионарные лимфоузлы не задействованы.
• 3В стадия. Выявляются многочисленные метастазы в регионарных лимфоузлах.
• 4А стадия. Рак полости рта распространяется на кости и мягкие ткани лица. Регионарные метастазы отсутствуют.
• 4В стадия. Обнаруживается опухоль любого размера, есть отдаленные метастазы либо неподвижные пораженные лимфоузлы.
• Рак полости рта in situ. Обнаруживается редко.
• Ороговевающий плоскоклеточный рак. Выявляется наличие крупных участков ороговевшего эпителия («раковых жемчужин»). Характерен быстрый агрессивный местный рост. Диагностируется в 95% случаев.
• Неороговевающий плоскоклеточный рак полости рта с разрастанием атипичного эпителия без скоплений ороговевших клеток.
• Низкодифференцированный рак, клетки которого напоминают саркоматозные. Протекает наиболее злокачественно.
С учетом особенностей роста опухоли различают три формы рака полости рта: язвенную, узловатую и папиллярную. Язвенная форма - самая распространенная, проявляется образованием медленно или быстро растущих язв. Узловатый рак полости рта по внешнему виду представляет плотный узел, покрытый беловатыми пятнами. При папиллярных новообразованиях в ротовой полости возникают быстро растущие плотные выросты.
Для определения тактики лечения заболевания используют четырехстадийную классификацию рака полости рта:
• 1 стадия. Диаметр опухоли не превышает 1 новообразование не распространяется за пределы слизистого и подслизистого слоев. Лимфоузлы не изменены.
• 2А стадия. Выявляется новообразование диаметром менее 2 прорастающее ткани на глубину не более 1 тд Регионарные лимфоузлы интактны.
• 2В стадия. Наблюдается картина рака полости рта 2А стадии и поражение одного регионарного лимфоузла.
• 3А стадия. Диаметр опухоли не превышает 3 тд Регионарные лимфоузлы не задействованы.
• 3В стадия. Выявляются многочисленные метастазы в регионарных лимфоузлах.
• 4А стадия. Рак полости рта распространяется на кости и мягкие ткани лица. Регионарные метастазы отсутствуют.
• 4В стадия. Обнаруживается опухоль любого размера, есть отдаленные метастазы либо неподвижные пораженные лимфоузлы.
Клиническая картина
На ранних стадиях болезнь протекает бессимптомно либо проявляется скудной клинической симптоматикой. Пациенты могут замечать необычные ощущения в полости рта. При внешнем осмотре выявляются язвочка, трещина или участок уплотнения. Четверть больных раком полости рта предъявляет жалобы на локальные боли, объясняя появление болевого синдрома различными воспалительными заболеваниями носоглотки, зубов и десен. При прогрессировании онкологического процесса симптомы становятся более яркими. Боли усиливаются, иррадиируют в лоб, ухо, скуловые или височные области.
Отмечается усиление саливации, обусловленное раздражением слизистой продуктами распада рака полости рта. Из-за распада и инфицирования новообразования появляется гнилостный запах изо рта. Со временем опухоль поражает соседние анатомические структуры, вызывая деформации лица. Обнаруживается увеличение одного или нескольких регионарных лимфоузлов. Вначале лимфоузлы подвижны, затем спаяны с окружающими тканями, иногда - с явлениями распада. Гематогенные метастазы выявляются у 1,5% пациентов, обычно поражают мозг, легкие, печень и кости.
Рак дна ротовой полости на ранних стадиях протекает бессимптомно. Пациенты обращаются к стоматологу после выявления опухолевидного образования, ощущаемого, как безболезненный нарост. Рак полости рта рано прорастает близлежащие ткани. При прогрессировании поражаются регионарные лимфоузлы, возникают боли и усиленная саливация. Возможны кровотечения.
Рак слизистой щеки обычно локализуется на уровне линии рта. На ранних стадиях пациенты с раком полости рта могут не обращаться к специалисту, принимая опухоль за афтозную язву. В последующем язва увеличивается в диаметре, пациенты отмечают боли при жевании, глотании и речи. При прорастании жевательных мышц наблюдаются ограничения при попытке открыть рот.
Рак неба обычно сопровождается ранним возникновением болевого синдрома. В области неба выявляется язва либо растущий, быстро изъязвляющийся узел. Иногда вначале рак полости рта течет бессимптомно, а боли возникают при распространении процесса на близлежащие ткани и присоединении инфекции.
Ассоциированные симптомы: Изменение аппетита. Изменение веса. Истощение. Ломота в мышцах. Лихорадка. Отсутствие аппетита. Ощущение инородного тела в горле. Потеря веса. Общая слабость. Увеличение СОЭ.
Отмечается усиление саливации, обусловленное раздражением слизистой продуктами распада рака полости рта. Из-за распада и инфицирования новообразования появляется гнилостный запах изо рта. Со временем опухоль поражает соседние анатомические структуры, вызывая деформации лица. Обнаруживается увеличение одного или нескольких регионарных лимфоузлов. Вначале лимфоузлы подвижны, затем спаяны с окружающими тканями, иногда - с явлениями распада. Гематогенные метастазы выявляются у 1,5% пациентов, обычно поражают мозг, легкие, печень и кости.
Рак дна ротовой полости на ранних стадиях протекает бессимптомно. Пациенты обращаются к стоматологу после выявления опухолевидного образования, ощущаемого, как безболезненный нарост. Рак полости рта рано прорастает близлежащие ткани. При прогрессировании поражаются регионарные лимфоузлы, возникают боли и усиленная саливация. Возможны кровотечения.
Рак слизистой щеки обычно локализуется на уровне линии рта. На ранних стадиях пациенты с раком полости рта могут не обращаться к специалисту, принимая опухоль за афтозную язву. В последующем язва увеличивается в диаметре, пациенты отмечают боли при жевании, глотании и речи. При прорастании жевательных мышц наблюдаются ограничения при попытке открыть рот.
Рак неба обычно сопровождается ранним возникновением болевого синдрома. В области неба выявляется язва либо растущий, быстро изъязвляющийся узел. Иногда вначале рак полости рта течет бессимптомно, а боли возникают при распространении процесса на близлежащие ткани и присоединении инфекции.
Ассоциированные симптомы: Изменение аппетита. Изменение веса. Истощение. Ломота в мышцах. Лихорадка. Отсутствие аппетита. Ощущение инородного тела в горле. Потеря веса. Общая слабость. Увеличение СОЭ.
|
|
Дифференциальная диагностика
Дифференциальный диагноз рака полости рта осуществляют с предраковыми процессами, специфическими (туберкулез, сифилис) и неспецифическими воспалительными поражениями.
Лечение рака полости рта - радиотерапия, химиотерапия и хирургические вмешательства. Возможно использование комбинированной терапии либо изолированных методик. При раке полости рта 1-2 стадии хороший эффект обеспечивает брахиотерапия. Большинство специалистов отдают предпочтение этому методу, поскольку он исключает образование функциональных и косметических дефектов и достаточно легко переносится больными. Вместе с тем, методика не позволяет добиться длительной ремиссии при дистально расположенных новообразованиях и опухолях 3-4 стадии.
Объем операции при раке полости рта определяется распространенностью новообразования. Узел иссекают вместе с неизмененными тканями. В процессе радикального удаления рака полости рта может потребоваться иссечение мышц либо резекция кости. При возникновении грубых косметических дефектов осуществляют пластические операции. При затруднении дыхания возможно временное наложение трахеостомы до момента устранения препятствия движению воздуха. Химиотерапия при раке полости рта менее эффективна. Методика дает возможность уменьшить объем опухоли на 50 и более процентов, но не обеспечивает полного излечения, поэтому обычно применяется в сочетании с операциями и радиотерапией.
Лечение рака полости рта - радиотерапия, химиотерапия и хирургические вмешательства. Возможно использование комбинированной терапии либо изолированных методик. При раке полости рта 1-2 стадии хороший эффект обеспечивает брахиотерапия. Большинство специалистов отдают предпочтение этому методу, поскольку он исключает образование функциональных и косметических дефектов и достаточно легко переносится больными. Вместе с тем, методика не позволяет добиться длительной ремиссии при дистально расположенных новообразованиях и опухолях 3-4 стадии.
Объем операции при раке полости рта определяется распространенностью новообразования. Узел иссекают вместе с неизмененными тканями. В процессе радикального удаления рака полости рта может потребоваться иссечение мышц либо резекция кости. При возникновении грубых косметических дефектов осуществляют пластические операции. При затруднении дыхания возможно временное наложение трахеостомы до момента устранения препятствия движению воздуха. Химиотерапия при раке полости рта менее эффективна. Методика дает возможность уменьшить объем опухоли на 50 и более процентов, но не обеспечивает полного излечения, поэтому обычно применяется в сочетании с операциями и радиотерапией.
Связанные клинические рекомендации
Связанные стандарты мед. помощи
- Стандарт медицинской помощи детям при меланоме кожи и слизистых оболочек (диагностика и лечение)
- Стандарт специализированной медицинской помощи при злокачественных новообразованиях полости рта, ротоглотки, губы (самостоятельная лучевая терапия)
- Стандарт специализированной медицинской помощи при злокачественных новообразованиях губы I-III стадии, полости рта I-II стадии, ротоглотки I-III стадии (самостоятельная дистанционная лучевая терапия в дневном стационаре)
- Стандарт первичной медико-санитарной помощи при злокачественных новообразованиях полости рта 0-IV стадии (обследование в целях установления диагноза заболевания и подготовки к противоопухолевому лечению)
- Стандарт специализированной медицинской помощи при злокачественных новообразованиях полости рта II-IVA стадии (пред- и послеоперационная дистанционная лучевая терапия в условиях дневного стационара)
- Стандарт первичной медико-санитарной помощи при злокачественных новообразованиях полости рта 0-IV стадии (обследование при проведении диспансерного наблюдения)
- Стандарт специализированной медицинской помощи при злокачественных новообразованиях полости рта II-IVA стадии (предоперационная или послеоперационная лучевая терапия)