Другие названия и синонимы
Subperiosteal orbital abscess.
МКБ-10 коды
|
|
Описание
Субпериостальный абсцесс орбиты. Гнойное поражение стенки орбиты при воспалении околоносовых пазух. Заболевание характеризуется острым началом, повышением температуры до 39° С, отёком кожи вокруг орбиты, развитием хемоза конъюнктивы, появлением двоения, нарушением движений глазного яблока, резким снижением остроты зрения. Для диагностики применяют визометрию, биомикроскопию, тонометрию, периметрию, рентгенографию орбит и придаточных пазух носа, ультразвуковое исследование глаза и орбиты, КТ или МРТ орбит, придаточных пазух носа и головного мозга. Лечение консервативное (антибиотикотерапия, дезинтоксикационная терапия) и хирургическое (вскрытие, дренирование абсцесса).
Дополнительные факты
Субпериостальный абсцесс орбиты - гнойное поражение орбиты, при котором происходит воспаление стенки глазницы с отслойкой периоста на фоне бактериальной инфекции в пазухах носа. Орбита является сложным анатомическим образованием, которое поддерживает жизнедеятельность и функцию глаза. Орбита имеет близкое соседство с околоносовыми пазухами и полостью черепа, поэтому субпериостальный абсцесс орбиты является грозным заболеванием в офтальмологии. Патология, как правило, протекает в тяжелой форме и имеет высокий риск развития слепоты. Поражение одностороннее. У мужчин встречается чаще, чем у женщин. Субпериостальный абсцесс орбиты может возникать в любом возрасте, частота развития не зависит от страны проживания.
Причины
Воспалительные заболевания глазницы в большинстве случаев имеют риносинусогенное происхождение. Это связано с анатомически близким расположением орбиты и околоносовых пазух. Верхняя стенка глазницы одновременно является нижней стенкой лобной пазухи, а нижняя стенка глазницы - верхней стенкой верхнечелюстной пазухи. Кроме того, вены глазного яблока лишены клапанов, что приводит к широкой взаимосвязи между сосудами лица, полости носа, крыловидной области и кавернозным синусом.
В патогенезе выделяют два варианта распространения инфекции и развития субпериостального абсцесса орбиты. При контактном пути наблюдаются последовательное вовлечение слизистой оболочки околоносовых пазух, соединительнотканной стромы и всех слоев кости, что приводит к образованию обширного очага поражения. Гематогенный путь характеризуется распространением инфекции через перфорантные вены, проходящие сквозь костные стенки орбиты, а также через ветви бассейна верхней глазничной вены.
К причинам развития субпериостального абсцесса орбиты относят воспалительные процессы в околоносовых пазухах, травмы лицевого скелета и наличие инородных тел в носовых синусах. Самыми частыми инфекционными агентами, вызывающими субпериостальный абсцесс орбиты, являются стрептококки, H. Influenzae, Moraxella catarrhalis. Кроме того, возбудителем субпериостального абсцесса орбиты могут быть грибы рода Aspergillus, бактероиды, синегнойная палочка, гемофильная палочка.
В патогенезе выделяют два варианта распространения инфекции и развития субпериостального абсцесса орбиты. При контактном пути наблюдаются последовательное вовлечение слизистой оболочки околоносовых пазух, соединительнотканной стромы и всех слоев кости, что приводит к образованию обширного очага поражения. Гематогенный путь характеризуется распространением инфекции через перфорантные вены, проходящие сквозь костные стенки орбиты, а также через ветви бассейна верхней глазничной вены.
К причинам развития субпериостального абсцесса орбиты относят воспалительные процессы в околоносовых пазухах, травмы лицевого скелета и наличие инородных тел в носовых синусах. Самыми частыми инфекционными агентами, вызывающими субпериостальный абсцесс орбиты, являются стрептококки, H. Influenzae, Moraxella catarrhalis. Кроме того, возбудителем субпериостального абсцесса орбиты могут быть грибы рода Aspergillus, бактероиды, синегнойная палочка, гемофильная палочка.
Клиническая картина
Клинические проявления субпериостального абсцесса возникают остро. Характерны общие симптомы: повышение температуры тела до 39-40°С, выраженный интоксикационный синдром, может присутствовать ригидность затылочных мышц. Местные симптомы зависят от локализации процесса. При поражении фронтального синуса (лобной пазухи) процесс начинается с появления болезненности и припухлости кожи лба и верхнего века у внутреннего края глаза. Развивается отек конъюнктивы. Возникает парез глазодвигательных мышц, отмечается двоение. В дальнейшем нарастает отек века, кожа над ним становится напряженной, появляется флюктуация. Острота зрения резко снижается.
Ассоциированные симптомы: Боль в глазу.
Ассоциированные симптомы: Боль в глазу.
Диагностика
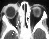
Для диагностики применяют стандартные методы: визометрию, биомикроскопию, тонометрию, периметрию. Для точного определения локализации субпериостального абсцесса орбиты дополнительно используют лучевые методики. Рентгенография орбит и придаточных пазух носа в прямой и боковой проекциях позволяет диагностировать куполообразную (экссудативную) отслойку надкостницы орбиты и увеличение денситометрической плотности клетчатки глазницы вокруг очага воспаления.
Ультразвуковое исследование глаза и орбиты выявляет изменение размера ретробульбарного пространства, хода экстраокулярных мышц. КТ или МРТ орбит, придаточных пазух носа и головного мозга помогает определить отслойку периоста в зоне поражения. Кроме того, при субпериостальном абсцессе орбиты требуется консультация отоларинголога, челюстно-лицевого хирурга и нейрохирурга. Проводится бактериальный посев гнойного отделяемого с определением чувствительности к антибактериальным препаратам.
Ультразвуковое исследование глаза и орбиты выявляет изменение размера ретробульбарного пространства, хода экстраокулярных мышц. КТ или МРТ орбит, придаточных пазух носа и головного мозга помогает определить отслойку периоста в зоне поражения. Кроме того, при субпериостальном абсцессе орбиты требуется консультация отоларинголога, челюстно-лицевого хирурга и нейрохирурга. Проводится бактериальный посев гнойного отделяемого с определением чувствительности к антибактериальным препаратам.
Лечение
Лечение субпериостального абсцесса орбиты включает в себя консервативные и хирургические методики, подобранные с учетом особенностей первичного очага инфекции и тяжести процесса. Консервативная терапия включает в себя назначение антибактериальных препаратов широкого спектра действия. После определения возбудителя (получение результатов посева отделяемого) требуется коррекция лечения. Также проводится дезинтоксикационная терапия, для профилактики тромбоза показано введение антикоагулянтов и блокаторов протеолитических ферментов.
Назначаются препараты, восстанавливающие иммунную систему и поддерживающие деятельность различных органов и систем организма. Оперативное лечение заключается во вскрытии, промывании и дренировании субпериостального абсцесса орбиты. Хирургическую методику выбирают в зависимости от локализации абсцесса. Операция проводится в кратчайшие сроки после поступления пациента в стационар. При своевременном обращении прогноз благоприятный.
Назначаются препараты, восстанавливающие иммунную систему и поддерживающие деятельность различных органов и систем организма. Оперативное лечение заключается во вскрытии, промывании и дренировании субпериостального абсцесса орбиты. Хирургическую методику выбирают в зависимости от локализации абсцесса. Операция проводится в кратчайшие сроки после поступления пациента в стационар. При своевременном обращении прогноз благоприятный.
Профилактика
Профилактические мероприятия направлены на предотвращение развития субпериостального абсцесса. При возникновении воспалительных заболеваний полости носа и околоносовых пазух необходимо проведение своевременного детального обследования у оториноларинголога с назначением грамотной лекарственной терапии. Для снижения травматизма лицевого скелета следует соблюдать технику безопасности на производстве и в быту. При появлении симптомов субпериостального абсцесса орбиты нужно как можно быстрее обратиться к врачу для получения квалифицированной помощи.