Другие названия и синонимы
Fracture with displacement.
МКБ-10 коды
|
|
Описание
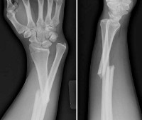
Перелом со смещением. Перелом, при котором отломки утрачивают свое правильное положение и смещаются относительно друг друга. Проявляется деформацией и/или укорочением, реже - удлинением конечности. Существуют различные виды смещения, в том числе - по оси, по длине, ротационное и угловое. Диагноз подтверждают при помощи рентгенографии, при необходимости используют КТ, МРТ, артроскопию и другие исследования. Для устранения смещения проводят одномоментную репозицию, накладывают скелетное вытяжение или применяют различные оперативные методики.
Дополнительные факты
Перелом со смещением - перелом, при котором нарушается нормальное расположение отломков. Смещение возникает вследствие травмирующего воздействия или из-за тяги мышц. Может образовываться на любом участке любой кости, практически всегда наблюдается при переломах диафизов длинных трубчатых костей, часто выявляется при внутрисуставных и околосуставных повреждениях. Причиной перелома может стать спортивная, бытовая или производственная травма, падение с высоты, автодорожное происшествие, криминальный инцидент или природная катастрофа.
Переломы со смещением могут быть как изолированными, так и множественными. Нередко диагностируются в составе сочетанной травмы (политравмы), могут сочетаться с тупой травмой живота, ЧМТ, повреждением почки, повреждением грудной клетки, разрывом мочевого пузыря и другими травматическими повреждениями. Иногда осложняются сдавлением или нарушением целостности нервов и сосудов. Лечение переломов со смещением осуществляют травматологи.
Переломы со смещением могут быть как изолированными, так и множественными. Нередко диагностируются в составе сочетанной травмы (политравмы), могут сочетаться с тупой травмой живота, ЧМТ, повреждением почки, повреждением грудной клетки, разрывом мочевого пузыря и другими травматическими повреждениями. Иногда осложняются сдавлением или нарушением целостности нервов и сосудов. Лечение переломов со смещением осуществляют травматологи.
Клиническая картина
Ассоциированные симптомы: Асимметрия.
Классификация
С учетом механизма повреждения переломы со смещением делятся на:
• Переломы от сжатия или сдавления. Образуются при воздействии на кость в поперечном или продольном направлении. Трубчатые кости чаще повреждаются при сдавлении в поперечном направлении, при этом линия излома обычно проходит между диафизом и метафизом, более узкий диафиз внедряется в метафиз, а метафиз и эпифиз сплющиваются. В ряде случаев такие переломы не сопровождаются выраженным смещением, однако возможно и грубое нарушение взаиморасположения отломков вплоть до раздробления и полной утраты конгруэнтности суставных поверхностей.
• Переломы от сгибания. Могут возникать в результате непрямого или прямого воздействия. На выпуклой стороне кости при попытке ее сгибания появляется несколько трещин, идущих в различных направлениях. При превышении предела упругости кость ломается, нередко образуя отломок в форме клина, расположенный между двумя большими костными фрагментами.
• Переломы от скручивания (торзионные). Возникают при фиксации одного из концов кости и одновременном развороте другого конца по оси. Чаще образуются в больших трубчатых костях (большеберцовой, плечевой, бедренной). Подобные повреждения могут стать следствием резкого выкручивания руки («полицейский» перелом диафиза плеча), падения во время катания на лыжах (винтообразный перелом костей голени).
• Отрывные переломы. Иногда возникают при разрывах связок. Сопровождаются отрывом небольших участков кости, к которым крепятся связки и сухожилия. При этом отломок, как правило, удаляется на значительное расстояние, и самостоятельное сращение становится невозможным.
С учетом направления линии излома по отношению к оси кости в травматологии различают переломы:
• Поперечные. Плоскость излома расположена поперечно. Такие повреждения обычно возникают в результате прямой травмы, для них характерна зазубренная, неровная линия излома. Возможно сочетание поперечного перелома с продольной трещиной (Y- или T-образные переломы), такие повреждения обычно образуются в нижних эпифизах большеберцовой, бедренной и плечевой костей.
• Продольные. Плоскость излома совпадает с осью кости. Выявляются редко, иногда являются частью околосуставных или внутрисуставных T-образных повреждений.
• Спиральные или винтообразные. Плоскость излома проходит спирально, на одном отломке образуется заостренный край, на другом - впадина такой же формы. Возникают вследствие скручивания кости вокруг своей оси, например, при выкручивании конечности.
• Косые. Плоскость излома проходит под углом к оси кости. Обычно торец отломка гладкий, без крупных зазубрин. Костные фрагменты имеют острые углы, один фрагмент «заходит» за другой, на рентгеновских снимках в одной проекции кажется, что отломки стоят нормально, а на втором выявляется их выраженное смещение.
С учетом локализации выделяют следующие виды переломов:
• Эпифизарные (внутрисуставные). Обычно возникают в результате непрямого воздействия, например, скручивания конечности в сочетании с одновременным движением в суставе. Часто сопровождаются значительным смещением суставных концов и нарушением конфигурации сустава. Возможно сочетание с вывихом. В ряде случаев наблюдается стойкое ограничение подвижности в отдаленном периоде. Разновидностью эпифизарных переломов является эпифизеолиз - отрыв эпифиза в области хрящевой прослойки (зоны роста) у детей. Нарушение конфигурации суставных поверхностей при эпифизеолизах отсутствует, может наблюдаться угловое смещение.
• Метафизарные (околосуставные). Возникают при сдавлении по оси, сопровождаются внедрением одного отломка в другой. Смещение при таких повреждениях наблюдается крайне редко.
• Диафизарные. Самые распространенные переломы. Могут возникать в результате как прямого, так и непрямого воздействия: удара, падения, скручивания, сдавления В абсолютном большинстве случаев сопровождаются более или менее выраженным смещением, обусловленным механизмом травмы и/или сокращением мышц, которые «тянут» за собой отломки костей, нарушая их правильное взаиморасположение.
Переломы со смещением могут быть открытыми и закрытыми. Открытые переломы сопровождаются нарушением целостности кожных покровов, при закрытых переломах кожа над областью перелома остается неповрежденной. В большинстве случаев рана возникает при повреждении кожи острым краем сместившегося отломка. Если рана появилась в момент травмы, перелом называют первичнооткрытым. В случаях, когда рана образовалась вследствие смещения костных фрагментов при подъеме, переноске или перевозке пострадавшего, перелом относят к категории вторичнооткрытых.
• Переломы от сжатия или сдавления. Образуются при воздействии на кость в поперечном или продольном направлении. Трубчатые кости чаще повреждаются при сдавлении в поперечном направлении, при этом линия излома обычно проходит между диафизом и метафизом, более узкий диафиз внедряется в метафиз, а метафиз и эпифиз сплющиваются. В ряде случаев такие переломы не сопровождаются выраженным смещением, однако возможно и грубое нарушение взаиморасположения отломков вплоть до раздробления и полной утраты конгруэнтности суставных поверхностей.
• Переломы от сгибания. Могут возникать в результате непрямого или прямого воздействия. На выпуклой стороне кости при попытке ее сгибания появляется несколько трещин, идущих в различных направлениях. При превышении предела упругости кость ломается, нередко образуя отломок в форме клина, расположенный между двумя большими костными фрагментами.
• Переломы от скручивания (торзионные). Возникают при фиксации одного из концов кости и одновременном развороте другого конца по оси. Чаще образуются в больших трубчатых костях (большеберцовой, плечевой, бедренной). Подобные повреждения могут стать следствием резкого выкручивания руки («полицейский» перелом диафиза плеча), падения во время катания на лыжах (винтообразный перелом костей голени).
• Отрывные переломы. Иногда возникают при разрывах связок. Сопровождаются отрывом небольших участков кости, к которым крепятся связки и сухожилия. При этом отломок, как правило, удаляется на значительное расстояние, и самостоятельное сращение становится невозможным.
С учетом направления линии излома по отношению к оси кости в травматологии различают переломы:
• Поперечные. Плоскость излома расположена поперечно. Такие повреждения обычно возникают в результате прямой травмы, для них характерна зазубренная, неровная линия излома. Возможно сочетание поперечного перелома с продольной трещиной (Y- или T-образные переломы), такие повреждения обычно образуются в нижних эпифизах большеберцовой, бедренной и плечевой костей.
• Продольные. Плоскость излома совпадает с осью кости. Выявляются редко, иногда являются частью околосуставных или внутрисуставных T-образных повреждений.
• Спиральные или винтообразные. Плоскость излома проходит спирально, на одном отломке образуется заостренный край, на другом - впадина такой же формы. Возникают вследствие скручивания кости вокруг своей оси, например, при выкручивании конечности.
• Косые. Плоскость излома проходит под углом к оси кости. Обычно торец отломка гладкий, без крупных зазубрин. Костные фрагменты имеют острые углы, один фрагмент «заходит» за другой, на рентгеновских снимках в одной проекции кажется, что отломки стоят нормально, а на втором выявляется их выраженное смещение.
С учетом локализации выделяют следующие виды переломов:
• Эпифизарные (внутрисуставные). Обычно возникают в результате непрямого воздействия, например, скручивания конечности в сочетании с одновременным движением в суставе. Часто сопровождаются значительным смещением суставных концов и нарушением конфигурации сустава. Возможно сочетание с вывихом. В ряде случаев наблюдается стойкое ограничение подвижности в отдаленном периоде. Разновидностью эпифизарных переломов является эпифизеолиз - отрыв эпифиза в области хрящевой прослойки (зоны роста) у детей. Нарушение конфигурации суставных поверхностей при эпифизеолизах отсутствует, может наблюдаться угловое смещение.
• Метафизарные (околосуставные). Возникают при сдавлении по оси, сопровождаются внедрением одного отломка в другой. Смещение при таких повреждениях наблюдается крайне редко.
• Диафизарные. Самые распространенные переломы. Могут возникать в результате как прямого, так и непрямого воздействия: удара, падения, скручивания, сдавления В абсолютном большинстве случаев сопровождаются более или менее выраженным смещением, обусловленным механизмом травмы и/или сокращением мышц, которые «тянут» за собой отломки костей, нарушая их правильное взаиморасположение.
Переломы со смещением могут быть открытыми и закрытыми. Открытые переломы сопровождаются нарушением целостности кожных покровов, при закрытых переломах кожа над областью перелома остается неповрежденной. В большинстве случаев рана возникает при повреждении кожи острым краем сместившегося отломка. Если рана появилась в момент травмы, перелом называют первичнооткрытым. В случаях, когда рана образовалась вследствие смещения костных фрагментов при подъеме, переноске или перевозке пострадавшего, перелом относят к категории вторичнооткрытых.
Патогенез
Смещение - один из важнейших признаков большинства переломов. Выраженность смещения может существенно варьировать - от незначительного, не представляющего угрозы для формы и функции конечности, до грубого, сопровождающегося резким искривлением и укорочением сегмента. Смещение может быть вызвано первичными либо вторичными причинами. Первичной причиной является воздействие, вызвавшее перелом. К числу вторичных причин относятся рефлекторное сокращение и эластическая ретракция мышц, изменение положения отломков в результате неправильного подъема, перевозки или переноски пострадавшего.
Различают несколько типов смещения. При угловом смещении в области излома образуется угол. Этот тип смещения встречается при всех видах диафизарных переломов, может быть обусловлен непосредственно травмирующим воздействием, но в большинстве случаев возникает вторично, под действием мышечной тяги. Боковое смещение характеризуется расхождением костных фрагментов в разные стороны, такой тип смещения чаще наблюдается при поперечных переломах.
Смещение по длине встречается наиболее часто и сопровождается скольжением одного отломка относительно другого в направлении оси кости. Возникает при сокращении мышц, сопровождается выраженным укорочением конечности. Смещение по периферии наблюдается реже и происходит в результате поворота одного из фрагментов вокруг своей оси. Чаще «разворачивается» периферический отломок. Нередко несколько типов смещения сочетаются друг с другом, образуя сложные комбинированные варианты.
Чем больше расстояние между сместившимися фрагментами кости, тем хуже они срастаются. При нерепонированных и плохо репонированных переломах часто наблюдается замедленное сращение и образование ложных суставов, формируется грубая костная мозоль, в отдаленном периоде выявляется нарушение оси, длины, формы и функции конечности. Любой тип смещения может сопровождаться ущемлением или повреждением нервов и сосудов. При отсутствии своевременной помощи последствием травмы сосудисто-нервного пучка могут стать нарушения кровообращения, парезы, параличи и нарушения чувствительности. Ущемление мягких тканей (обычно мышц) между отломками может препятствовать нормальному сращению перелома.
Различают несколько типов смещения. При угловом смещении в области излома образуется угол. Этот тип смещения встречается при всех видах диафизарных переломов, может быть обусловлен непосредственно травмирующим воздействием, но в большинстве случаев возникает вторично, под действием мышечной тяги. Боковое смещение характеризуется расхождением костных фрагментов в разные стороны, такой тип смещения чаще наблюдается при поперечных переломах.
Смещение по длине встречается наиболее часто и сопровождается скольжением одного отломка относительно другого в направлении оси кости. Возникает при сокращении мышц, сопровождается выраженным укорочением конечности. Смещение по периферии наблюдается реже и происходит в результате поворота одного из фрагментов вокруг своей оси. Чаще «разворачивается» периферический отломок. Нередко несколько типов смещения сочетаются друг с другом, образуя сложные комбинированные варианты.
Чем больше расстояние между сместившимися фрагментами кости, тем хуже они срастаются. При нерепонированных и плохо репонированных переломах часто наблюдается замедленное сращение и образование ложных суставов, формируется грубая костная мозоль, в отдаленном периоде выявляется нарушение оси, длины, формы и функции конечности. Любой тип смещения может сопровождаться ущемлением или повреждением нервов и сосудов. При отсутствии своевременной помощи последствием травмы сосудисто-нервного пучка могут стать нарушения кровообращения, парезы, параличи и нарушения чувствительности. Ущемление мягких тканей (обычно мышц) между отломками может препятствовать нормальному сращению перелома.
|
|
Лечение
Для постановки диагноза используют данные осмотра и результаты рентгенографии. Обычно назначают снимки в двух проекциях (боковой и прямой). При некоторых переломах со смещением применяют дополнительные проекции (косые, в специальных укладках). Для детального изучения плотных структур назначают КТ кости, для оценки состояния мягких тканей - МРТ. При некоторых внутрисуставных переломах назначают артроскопию. При подозрении на повреждение нервов и сосудов пациентов направляют на консультации к неврологу и сосудистому хирургу.
Лечение переломов предусматривает обязательное устранение смещения - это позволяет обеспечить нормальное сращение костных фрагментов, восстановить внешний вид и функцию пострадавшего сегмента. Восстановление положения отломков может быть одномоментным или постепенным, консервативным или оперативным. Одномоментная репозиция производится под местной анестезией или общим наркозом и включает в себя ряд приемов, перечень которых зависит от локализации перелома и типа смещения. После вправления врач накладывает гипс и назначает контрольную рентгенографию.
Постепенная закрытая репозиция осуществляется с использованием скелетного вытяжения. Через кость дистального сегмента конечности проводят спицу, к ней прикрепляют скобу, к скобе подвешивают груз. Вес груза рассчитывают с учетом вида перелома, веса и состояния мускулатуры пострадавшего. При переломах бедра спицу проводят через бугристость большеберцовой кости, при переломах голени - через пяточную кость, при переломах плеча - через локтевой отросток. В процессе вытяжения делают контрольные снимки и при необходимости корректируют положение отломков, уменьшая или увеличивая груз, переводя конечность в другое положение (например, отводя в сторону) или добавляя боковую тягу. Вытяжение сохраняют до образования первичной мозоли, а затем заменяют гипсом.
Абсолютным показанием к оперативному лечению переломов со смещением является интерпозиция мягких тканей, сдавление сосудов и нервов, неудачная одномоментная репозиция и невозможность сопоставления отломков с использованием скелетного вытяжения. Список относительных показаний к хирургическому вмешательству при переломах со смещением достаточно широк, поскольку этот метод лечения позволяет обеспечить раннюю активизацию больных, предотвратить развитие посттравматических контрактур и осложнений, связанных с длительной малоподвижностью.
Операции обычно выполняют под общим наркозом или проводниковой анестезией. Возможно проведение очагового или внеочагового остеосинтеза. При очаговом остеосинтезе врач делает разрез в зоне перелома, отодвигает в стороны мягкие ткани, сопоставляет отломки руками или при помощи специальных приспособлений и устанавливает металлоконструкцию на кость или в кость. Для накостного остеосинтеза используют пластины, для внутрикостного - штифты, винты и спицы.
При внеочаговом остеосинтезе место перелома обычно не вскрывают. Травматолог проводит спицы и монтирует несколько колец или полуколец, соединяя их между собой при помощи стержней. Увеличивая или уменьшая расстояние между кольцами, врач может корректировать положение отломков как во время операции, так и после ее окончания. Самым популярным и многофункциональным вариантом внеочагового остеосинтеза является аппарат Илизарова.
Лечение переломов предусматривает обязательное устранение смещения - это позволяет обеспечить нормальное сращение костных фрагментов, восстановить внешний вид и функцию пострадавшего сегмента. Восстановление положения отломков может быть одномоментным или постепенным, консервативным или оперативным. Одномоментная репозиция производится под местной анестезией или общим наркозом и включает в себя ряд приемов, перечень которых зависит от локализации перелома и типа смещения. После вправления врач накладывает гипс и назначает контрольную рентгенографию.
Постепенная закрытая репозиция осуществляется с использованием скелетного вытяжения. Через кость дистального сегмента конечности проводят спицу, к ней прикрепляют скобу, к скобе подвешивают груз. Вес груза рассчитывают с учетом вида перелома, веса и состояния мускулатуры пострадавшего. При переломах бедра спицу проводят через бугристость большеберцовой кости, при переломах голени - через пяточную кость, при переломах плеча - через локтевой отросток. В процессе вытяжения делают контрольные снимки и при необходимости корректируют положение отломков, уменьшая или увеличивая груз, переводя конечность в другое положение (например, отводя в сторону) или добавляя боковую тягу. Вытяжение сохраняют до образования первичной мозоли, а затем заменяют гипсом.
Абсолютным показанием к оперативному лечению переломов со смещением является интерпозиция мягких тканей, сдавление сосудов и нервов, неудачная одномоментная репозиция и невозможность сопоставления отломков с использованием скелетного вытяжения. Список относительных показаний к хирургическому вмешательству при переломах со смещением достаточно широк, поскольку этот метод лечения позволяет обеспечить раннюю активизацию больных, предотвратить развитие посттравматических контрактур и осложнений, связанных с длительной малоподвижностью.
Операции обычно выполняют под общим наркозом или проводниковой анестезией. Возможно проведение очагового или внеочагового остеосинтеза. При очаговом остеосинтезе врач делает разрез в зоне перелома, отодвигает в стороны мягкие ткани, сопоставляет отломки руками или при помощи специальных приспособлений и устанавливает металлоконструкцию на кость или в кость. Для накостного остеосинтеза используют пластины, для внутрикостного - штифты, винты и спицы.
При внеочаговом остеосинтезе место перелома обычно не вскрывают. Травматолог проводит спицы и монтирует несколько колец или полуколец, соединяя их между собой при помощи стержней. Увеличивая или уменьшая расстояние между кольцами, врач может корректировать положение отломков как во время операции, так и после ее окончания. Самым популярным и многофункциональным вариантом внеочагового остеосинтеза является аппарат Илизарова.
Диагностика
Как при консервативном, так и при оперативном лечении переломов со смещением назначают ЛФК, массаж и физиотерапию. В восстановительном периоде проводят реабилитационные мероприятия, направленные на восстановление функции конечности. При отсутствии сращения или неправильном сращении осуществляют хирургические вмешательства, выбирая оперативную методику с учетом типа перелома и характера вторичных патологических изменений.