Другие названия и синонимы
Enchondroma.
МКБ-10 коды
|
|
Описание
Энхондрома. Доброкачественное новообразование, состоящее из хрящевой ткани. Локализуется внутрикостно, обычно - в зоне диафизов и метадиафизов трубчатых костей. Чаще поражает мелкие трубчатые кости кистей и стоп, может быть как одиночной, так и множественной. Как правило, протекает бессимптомно, крупные энхондромы могут вызывать деформацию сегмента конечности. Иногда энхондрома осложняется патологическим переломом. Перерождение в злокачественную опухоль наблюдается редко. Диагноз подтверждают при помощи рентгенографии, КТ и биопсии. Лечение оперативное.
Дополнительные факты
Энхондрома - доброкачественная опухоль, представляет собой участок зрелого гиалинового хряща гетеротопической локализации (расположенный в анатомических зонах, где в норме хрящевая ткань отсутствует). Обычно локализуется в костях, однако описаны случаи, когда энхондромы обнаруживали в легких, подкожной жировой клетчатке, яичниках, молочных железах, тканях мозга Энхондромы составляют около 10% от общего количества новообразований костной и хрящевой ткани.
Более чем в половине случаев энхондромы диагностируются у лиц моложе 40 лет. Пик заболеваемости приходится на возраст 11-16 лет. Энхондромы могут быть одиночными или множественными. Множественные энхондромы наблюдаются при болезни Олье и синдроме Маффуччи. По своей структуре множественные образования практически аналогичны одиночным хондромам, но отличаются от них большей упорядоченностью структуры. Несмотря на медленный рост и невысокую склонность к малигнизации, энхондромы рассматриваются как потенциально злокачественные новообразования, поэтому онкологи и травматологи обычно рекомендуют их хирургическое удаление.
Причина развития болезни Олье в настоящее время остается неизвестной. При вовлечении в процесс длинных трубчатых костей страдают преимущественно метафизы, при этом нижние конечности, как правило, поражаются сильнее верхних. В коротких трубчатых костях стоп и кистей энхондромы могут появляться не только в области метафизов, но и в зоне диафиза. Выраженные изменения могут обнаруживаться в тазовых костях, реже - в ребрах и лопатках. В отдельных случаях энхондромы формируются в губчатых костях. При этом ключицы, позвонки и кости черепа всегда остаются неизмененными. Возможно сочетание множественных энхондром с гемангиомами (синдром Маффуччи), реже - с фибромами, липомами, хрящевыми экзостозами и другими опухолями, возникшими вследствие нарушений онтогенеза.
Заболевание проявляется отставанием роста и деформацией пораженных сегментов. Часто наблюдаются патологические переломы. На рентгенограммах длинных трубчатых костей выявляются колбовидные увеличения метафизов при неизмененных диафизах. Нормальный костный рисунок в зоне метафизов отсутствует, вместо него определяется неравномерно исчерченное просветление. Корковый слой истончен. На рентгенографии кистей и стоп видны укорочение и деформация фаланг. Просветления локализуются в центральных отделах, корковый слой, как правило, не изменен, при энхондромах больших размеров наблюдается вздутие кортикальной пластинки.
При подозрении на болезнь Олье проводят расширенное рентгенологическое обследование, включающее в себя рентгенографию всех сегментов, в которых могут образовываться энхондромы. В настоящее время не существует методов, способных устранить проявления данного заболевания в период роста ребенка. При удалении измененных участков быстро возникают рецидивы. Коррекция деформаций неэффективна из-за неполноценной структуры костей. Поэтому детям рекомендуют ношение ортопедической обуви и проводят регулярные осмотры. По окончании роста скелета выполняют резекцию пораженных участков с последующим замещением дефектов. Для устранения деформаций накладывают аппараты Илизарова.
Более чем в половине случаев энхондромы диагностируются у лиц моложе 40 лет. Пик заболеваемости приходится на возраст 11-16 лет. Энхондромы могут быть одиночными или множественными. Множественные энхондромы наблюдаются при болезни Олье и синдроме Маффуччи. По своей структуре множественные образования практически аналогичны одиночным хондромам, но отличаются от них большей упорядоченностью структуры. Несмотря на медленный рост и невысокую склонность к малигнизации, энхондромы рассматриваются как потенциально злокачественные новообразования, поэтому онкологи и травматологи обычно рекомендуют их хирургическое удаление.
Болезнь Олье.
Болезнь Олье была описана французским хирургом Олье в конце 19 века. Долгое время считалась чрезвычайно редким заболеванием (в конце 20 века в специализированной литературе упоминалось всего о 30 случаях болезни Олье), однако некоторые современные исследователи утверждают, что данная патология встречается гораздо чаще, но зачастую остается не диагностированной. Является врожденным заболеванием, но первые признаки появляются не сразу после рождения, а в периоды интенсивного роста (в детстве или в подростковом возрасте). Описаны случаи, когда первые симптомы болезни Олье выявлялись в возрасте 20-40 лет. Женщины страдают вдвое чаще мужчин.Причина развития болезни Олье в настоящее время остается неизвестной. При вовлечении в процесс длинных трубчатых костей страдают преимущественно метафизы, при этом нижние конечности, как правило, поражаются сильнее верхних. В коротких трубчатых костях стоп и кистей энхондромы могут появляться не только в области метафизов, но и в зоне диафиза. Выраженные изменения могут обнаруживаться в тазовых костях, реже - в ребрах и лопатках. В отдельных случаях энхондромы формируются в губчатых костях. При этом ключицы, позвонки и кости черепа всегда остаются неизмененными. Возможно сочетание множественных энхондром с гемангиомами (синдром Маффуччи), реже - с фибромами, липомами, хрящевыми экзостозами и другими опухолями, возникшими вследствие нарушений онтогенеза.
Заболевание проявляется отставанием роста и деформацией пораженных сегментов. Часто наблюдаются патологические переломы. На рентгенограммах длинных трубчатых костей выявляются колбовидные увеличения метафизов при неизмененных диафизах. Нормальный костный рисунок в зоне метафизов отсутствует, вместо него определяется неравномерно исчерченное просветление. Корковый слой истончен. На рентгенографии кистей и стоп видны укорочение и деформация фаланг. Просветления локализуются в центральных отделах, корковый слой, как правило, не изменен, при энхондромах больших размеров наблюдается вздутие кортикальной пластинки.
При подозрении на болезнь Олье проводят расширенное рентгенологическое обследование, включающее в себя рентгенографию всех сегментов, в которых могут образовываться энхондромы. В настоящее время не существует методов, способных устранить проявления данного заболевания в период роста ребенка. При удалении измененных участков быстро возникают рецидивы. Коррекция деформаций неэффективна из-за неполноценной структуры костей. Поэтому детям рекомендуют ношение ортопедической обуви и проводят регулярные осмотры. По окончании роста скелета выполняют резекцию пораженных участков с последующим замещением дефектов. Для устранения деформаций накладывают аппараты Илизарова.
Патогенез
Энхондромы развиваются из участков хряща, расположенных в местах, где в норме хрящевая ткань отсутствует. Исследователи выяснили, что гетеротопическая локализация хряща является следствием нарушения процесса окостенения во внутриутробном периоде и в первые годы жизни ребенка. Непосредственная причина нарушения окостенения пока не выяснена, однако установлено, что эта патология не связана с воздействием вредных веществ или радиации. Предполагается, что рост энхондромы из гетеротопически расположенного участка хряща провоцируется рахитом, травматическими поражениями и воспалительными процессами в костной ткани.
Опухоль представляет собой зрелый гиалиновый хрящ с утраченной структурой. В отличие от нормального хряща клетки энхондромы расположены хаотично, их размер и форма могут сильно различаться. Опухоль покрыта надхрящницей и имеет дольчатое строение. Внутри обычно образуются небольшие очаги окостенения. Характерны дистрофические изменения ткани, проявляющиеся разжижением межклеточного вещества и формированием кист. При малигнизации клетки опухоли становятся более крупными, увеличивается количество клеток с двумя ядрами.
«Излюбленная» локализация энхондром - короткие трубчатые кости стоп и кистей. Возможно также поражение плечевой и бедренной кости. В области других длинных костей единичные энхондромы встречаются редко. Иногда поражаются плоские кости: кости таза, лопатка При множественном хондроматозе (болезни Олье) опухоли могут выявляться в области одной половины тела (правой или левой) или в области одной конечности. Реже патологический процесс распространяется на обе нижние конечности.
Опухоль представляет собой зрелый гиалиновый хрящ с утраченной структурой. В отличие от нормального хряща клетки энхондромы расположены хаотично, их размер и форма могут сильно различаться. Опухоль покрыта надхрящницей и имеет дольчатое строение. Внутри обычно образуются небольшие очаги окостенения. Характерны дистрофические изменения ткани, проявляющиеся разжижением межклеточного вещества и формированием кист. При малигнизации клетки опухоли становятся более крупными, увеличивается количество клеток с двумя ядрами.
«Излюбленная» локализация энхондром - короткие трубчатые кости стоп и кистей. Возможно также поражение плечевой и бедренной кости. В области других длинных костей единичные энхондромы встречаются редко. Иногда поражаются плоские кости: кости таза, лопатка При множественном хондроматозе (болезни Олье) опухоли могут выявляться в области одной половины тела (правой или левой) или в области одной конечности. Реже патологический процесс распространяется на обе нижние конечности.
Клиническая картина
Клиническая симптоматика энхондромы обычно скудна. Небольшие опухоли протекают бессимптомно и становятся случайной находкой при проведении рентгенологического обследования по другим поводам. При крупных энхондромах возникают деформации пораженного сегмента. Пальпаторно опухоль определяется как плотное безболезненное образование. Неприятные симптомы появляются при сдавлении энхондромой соседних анатомических образований (сосудов, нервов). Крупные опухоли, расположенные недалеко от суставов, могут провоцировать артралгии, ограничение движений и синовиты.
Хрящевая ткань не такая плотная и прочная, как кость. Она не приспособлена к высоким статическим и динамическим нагрузкам. Если энхондрома занимает весь поперечник кости или его значительную часть, прочность кости в этом месте резко снижается. В таких условиях даже небольшой травмы становится достаточно для возникновения перелома. Переломы сопровождаются болью, патологической подвижностью, крепитацией и деформацией конечности. В отличие от обычных переломов данные об интенсивном травматическом воздействии в анамнезе отсутствуют.
Хрящевая ткань не такая плотная и прочная, как кость. Она не приспособлена к высоким статическим и динамическим нагрузкам. Если энхондрома занимает весь поперечник кости или его значительную часть, прочность кости в этом месте резко снижается. В таких условиях даже небольшой травмы становится достаточно для возникновения перелома. Переломы сопровождаются болью, патологической подвижностью, крепитацией и деформацией конечности. В отличие от обычных переломов данные об интенсивном травматическом воздействии в анамнезе отсутствуют.
|
|
Диагностика
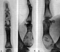
Диагностика энхондром, как правило, несложна. На рентгенограммах длинных трубчатых костей выявляется центрально расположенное облаковидное просветление. В зоне просветления могут обнаруживаться более темные участки - очаги кальцификации. Опухоли в области коротких трубчатых костей обычно выглядят однородными и занимают большую часть поперечника или весь поперечник кости. Кортикальный слой не нарушен. На КТ кости определяется аналогичная картина, преимуществом компьютерной томографии является возможность более подробно рассмотреть структуру энхондромы.
Дифференциальная диагностика
Дифференциальный диагноз энхондромы проводят с гигантоклеточной костной опухолью, фиброзной дисплазией, костной кистой и хондросаркомой.
Лечение
Тактика лечения зависит от локализации энхондромы. Опухоли коротких трубчатых костей не склонны к малигнизации, поэтому при таком расположении энхондромы возможно динамическое наблюдение, включающее в себя регулярные осмотры и повторную рентгенографию пораженного сегмента. Из-за потенциальной опасности озлокачествления энхондром длинных трубчатых и плоских костей специалисты в области онкологии, травматологии и ортопедии обычно предлагают пациентам удалять опухоль сразу после постановки диагноза.
Растущие энхондромы коротких трубчатых костей иссекают в пределах здоровых тканей. При образовании крупных дефектов используют гомо- или аллотрансплантаты. При опухолях плоских и длинных трубчатых костей необходимо расширенное хирургическое вмешательство - сегментарная резекция кости с последующим замещением дефекта. Рецидивные энхондромы заслуживают особого внимания из-за высокой вероятности малигнизации. В подобных случаях проводятся абластичные (расширенные) резекции.
Растущие энхондромы коротких трубчатых костей иссекают в пределах здоровых тканей. При образовании крупных дефектов используют гомо- или аллотрансплантаты. При опухолях плоских и длинных трубчатых костей необходимо расширенное хирургическое вмешательство - сегментарная резекция кости с последующим замещением дефекта. Рецидивные энхондромы заслуживают особого внимания из-за высокой вероятности малигнизации. В подобных случаях проводятся абластичные (расширенные) резекции.