Другие названия и синонимы
Hyperostosis.
МКБ-10 коды
- МКБ-10
- M85.2 Гиперостоз черепа
|
|
Описание
Гиперостоз. Избыточное (патологическое) разрастание неизмененной костной ткани. Может протекать, как самостоятельный процесс или являться симптомом других заболеваний. Причиной возникновения гиперостоза становится повышенная нагрузка на кость (например, при ампутации второй конечности), остеомиелит, радиационные поражения, отравления, интоксикации, некоторые хронические инфекции, эндокринопатии, нейрофиброматоз и радиационные поражения. Существуют наследственные гиперостозы и синдромы с неустановленной причиной возникновения. Симптомы определяются конкретным заболеванием. При этом гиперостоз клинически часто никак не проявляется и обнаруживается только при проведении специальных исследований (рентгенографии, МРТ, радионуклидного исследования). Тактика лечения гиперостоза зависит от основного заболевания.
Дополнительные факты
Гиперостоз - избыточное разрастание кости, при котором определяется увеличение массы костной ткани на единицу объема. Может возникать компенсаторно (при повышенной нагрузке на конечность) или являться симптомом целого ряда заболеваний. Сам по себе гиперостоз не представляет опасности для больного, однако может сигнализировать о патологических процессах, требующих серьезной терапии. В зависимости от основного заболевания, при котором наблюдается гиперостоз, лечением данной патологии могут заниматься онкологи, фтизиатры, эндокринологи, пульмонологи, гастроэнтерологи, венерологи, ортопеды, ревматологи и другие специалисты.
Гиперостоз при синдроме Мари-Бембергера развивается вторично, как реакция костной ткани на нарушение кислотно-щелочного баланса и хронический недостаток кислорода. Причиной возникновения синдрома являются злокачественные опухоли легких и плевры, хронические воспалительные заболевания легких (пневмокониоз, туберкулез, хроническая пневмония, хронический обструктивный бронхит ), болезни кишечника и почек, а также врожденные пороки сердца. Реже наблюдается при циррозе печени, лимфогранулематозе и эхинококкозе. В ряде случаев гиперостоз возникает спонтанно, без связи с каким-то заболеванием.
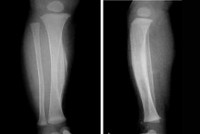
На рентгенографии голеней, предплечий и других пораженных сегментов выявляется симметричное утолщение диафизов вследствие образования гладких, ровных периостальных наслоений. На начальных стадиях плотность наслоений меньше, чем у кортикального слоя. В последующем наслоения становятся более плотными и сливаются с кортикальным слоем. При успешном лечении основного заболевания проявления синдрома Мари-Бембергера уменьшаются и даже могут полностью исчезать. Для уменьшения болей в период обострения применяются НПВС.
В последующем увеличивается масса тела, возникает ожирение, нередко сопровождающееся усиленным ростом волос на лице и в области туловища. К числу других проявлений фронтального гиперостоза относится сахарный диабет II типа, колебания АД с тенденцией к повышению, сердцебиения, одышка и нарушения менструального цикла, которые, в отличие от обычного климакса, не сопровождаются приливами. Со временем отмечается усугубление нервных расстройств, иногда наблюдаются депрессии.
Диагноз фронтальный гиперостоз выставляют на основании характерных симптомов и данных рентгенографии черепа. На рентгенограммах выявляются костные разрастания в области лобной кости и турецкого седла. Внутренняя пластинка лобной кости утолщена. При проведении рентгенографии позвоночника нередко тоже обнаруживаются костные разрастания. При исследовании уровня гормонов в крови больных гиперостозом определяется повышенное количество гормонов коры надпочечников, адренокортикотропина и соматостатина.
Лечение фронтального гиперостоза осуществляют эндокринологи. Назначается низкокалорийная диета, пациенткам рекомендуют поддерживать режим достаточной двигательной активности. При стойком повышении АД показаны гипотензивные средства, при сахарном диабете - препараты для коррекции уровня сахара в крови.
По данным рентгенографии ключиц, коротких и длинных трубчатых костей, а также нижней челюсти выявляются пластинчатые периостальные наслоения. Губчатое вещество склерозировано, компактное утолщено. По результатам рентгенографии голени может определяться дугообразное искривление большеберцовой кости. Назначается общеукрепляющая терапия. Прогноз при инфантильном кортикальном гиперостозе благоприятный, все симптомы спонтанно исчезают в течение нескольких месяцев.
Синдром Мари-Бамбергера.
Синдром Мари-Бамбергера (системный оссифицирующий периостоз, гипертрофическая остеоартропатия) - избыточное разрастание костной ткани, описанное австрийским терапевтом Бамбергером и французским неврологом Мари. Проявляется множественными, как правило, симметричными гиперостозами, возникающими в области предплечий, голеней, плюсневых и пястных костей. Сопровождается характерной деформацией пальцев: фаланги утолщаются в виде «барабанных палочек», ногти приобретают вид «часовых стекол». Пациента с гиперостозом беспокоят боли в костях и суставах. Также наблюдаются вегетативные расстройства (покраснение и бледность кожи, потливость) и рецидивирующие артриты пястнофаланговых, локтевых, голеностопных, лучезапястных и коленных суставов со стертой клинической картиной. Возможно увеличение носа и утолщение кожи на лбу.Гиперостоз при синдроме Мари-Бембергера развивается вторично, как реакция костной ткани на нарушение кислотно-щелочного баланса и хронический недостаток кислорода. Причиной возникновения синдрома являются злокачественные опухоли легких и плевры, хронические воспалительные заболевания легких (пневмокониоз, туберкулез, хроническая пневмония, хронический обструктивный бронхит ), болезни кишечника и почек, а также врожденные пороки сердца. Реже наблюдается при циррозе печени, лимфогранулематозе и эхинококкозе. В ряде случаев гиперостоз возникает спонтанно, без связи с каким-то заболеванием.
На рентгенографии голеней, предплечий и других пораженных сегментов выявляется симметричное утолщение диафизов вследствие образования гладких, ровных периостальных наслоений. На начальных стадиях плотность наслоений меньше, чем у кортикального слоя. В последующем наслоения становятся более плотными и сливаются с кортикальным слоем. При успешном лечении основного заболевания проявления синдрома Мари-Бембергера уменьшаются и даже могут полностью исчезать. Для уменьшения болей в период обострения применяются НПВС.
Фронтальный гиперостоз (синдром Морганьи-Стюарта-Мореля).
Фронтальным гиперостозом страдают женщины климактерического и постклимактерического возраста. Гиперостоз проявляется утолщением внутренней пластинки лобной кости, ожирением и появлением мужских половых признаков. Причина возникновения не выяснена, предполагается, что гиперостоз провоцируется гормональными изменениями в период климакса. Заболевание развивается постепенно. Вначале больных беспокоят упорные сжимающие головные боли. Боль локализуется в области лба или затылка и не зависит от перемены положения головы. Из-за постоянных болей пациентки с гиперостозом нередко становятся раздражительными и страдают от бессонницы.В последующем увеличивается масса тела, возникает ожирение, нередко сопровождающееся усиленным ростом волос на лице и в области туловища. К числу других проявлений фронтального гиперостоза относится сахарный диабет II типа, колебания АД с тенденцией к повышению, сердцебиения, одышка и нарушения менструального цикла, которые, в отличие от обычного климакса, не сопровождаются приливами. Со временем отмечается усугубление нервных расстройств, иногда наблюдаются депрессии.
Диагноз фронтальный гиперостоз выставляют на основании характерных симптомов и данных рентгенографии черепа. На рентгенограммах выявляются костные разрастания в области лобной кости и турецкого седла. Внутренняя пластинка лобной кости утолщена. При проведении рентгенографии позвоночника нередко тоже обнаруживаются костные разрастания. При исследовании уровня гормонов в крови больных гиперостозом определяется повышенное количество гормонов коры надпочечников, адренокортикотропина и соматостатина.
Лечение фронтального гиперостоза осуществляют эндокринологи. Назначается низкокалорийная диета, пациенткам рекомендуют поддерживать режим достаточной двигательной активности. При стойком повышении АД показаны гипотензивные средства, при сахарном диабете - препараты для коррекции уровня сахара в крови.
Инфантильный кортикальный гиперостоз (синдром Каффи-Силвермена).
Впервые этот гиперостоз описал Роске в 1930 году, однако, более подробное описание болезни было выполнено Силверменом и Каффи в 1945 году. Причины развития точно не выяснены, существуют теории относительно наследственного и вирусного происхождения, а также о связи болезни с нарушениями гормонального баланса. Гиперостоз возникает только у грудных детей. Начало напоминает острое инфекционное заболевание: возникает повышение температуры, ребенок теряет аппетит, становится беспокойным. В крови выявляется ускорение СОЭ и лейкоцитоз. На лице и конечностях пациентов с гиперостозом появляются плотные припухлости без признаков воспаления, резко болезненные при пальпации. Характерным признаком инфантильного гиперостоза является «лунообразное лицо», обусловленное припухлостью в области нижней челюсти.По данным рентгенографии ключиц, коротких и длинных трубчатых костей, а также нижней челюсти выявляются пластинчатые периостальные наслоения. Губчатое вещество склерозировано, компактное утолщено. По результатам рентгенографии голени может определяться дугообразное искривление большеберцовой кости. Назначается общеукрепляющая терапия. Прогноз при инфантильном кортикальном гиперостозе благоприятный, все симптомы спонтанно исчезают в течение нескольких месяцев.
Кортикальный генерализованный гиперостоз.
Гиперостоз носит наследственный характер, наследование происходит по аутосомно-рецессивному типу. Проявляется поражением лицевого нерва, экзофтальмом, ухудшением зрения и слуха, утолщением ключиц и увеличением подбородка. Симптомы возникают по достижении подросткового возраста. На рентгенограммах выявляются кортикальные гиперостозы и остеофиты.Системный диафизарный врожденный гиперостоз (болезнь Камурати-Энгельманна).
Этот гиперостоз описан в начале XX века австрийским хирургом Эгельманном и итальянским врачом Камурати. Относится к числу генетических болезней, наследование происходит по аутосомно-доминантному типу. Гиперостоз развивается в области диафизов большеберцовых, плечевых и бедренных костей. Реже поражаются другие кости. Отмечается тугоподвижность суставов и уменьшение объема мышц.|
|
Клиническая картина
Ассоциированные симптомы: Гиперфосфатемия. Лейкоцитоз. Одышка. Потливость. Приливы жара. Хромота.
Классификация
С учетом распространенности выделяют локальные и генерализованные гиперостозы. Локальный гиперостоз в пределах одной кости может развиваться при постоянных физических перегрузках определенного сегмента конечности. Эта форма гиперостоза также возникает при некоторых злокачественных опухолях и системных болезнях. Кроме того, локальный гиперостоз наблюдается при синдроме Морганьи-Мореля-Стюарда - заболевании, которое может наблюдаться у женщин климактерического возраста.
К группе генерализованных гиперостозов относится кортикальный детский гиперостоз (синдром Каффи-Силвермена) - болезнь с неустановленным патогенезом, развивающееся у детей младшего возраста, и кортикальный генерализованный гиперостоз - наследственное заболевание, которое передается по аутосомно-рециссивному типу и проявляется в период полового созревания. Еще один генерализованный гиперостоз - болезнь Камурати-Энгельманна, передающаяся по аутосомно-доминантному типу.
К группе генерализованных гиперостозов относится кортикальный детский гиперостоз (синдром Каффи-Силвермена) - болезнь с неустановленным патогенезом, развивающееся у детей младшего возраста, и кортикальный генерализованный гиперостоз - наследственное заболевание, которое передается по аутосомно-рециссивному типу и проявляется в период полового созревания. Еще один генерализованный гиперостоз - болезнь Камурати-Энгельманна, передающаяся по аутосомно-доминантному типу.
Анатомия и патанатомия
Обычно при гиперостозе поражаются трубчатые кости. Костная ткань уплотняется и разрастается в периостальном и эндостальном направлении. При этом в зависимости от характера основной патологии может наблюдаться два варианта. Первый - поражение всех элементов костной ткани: надкостница, губчатое и корковое вещество уплотняются и утолщаются, количество незрелых клеточных элементов увеличивается, архитектоника кости нарушается, костный мозг атрофируется и замещается костными разрастаниями или соединительной тканью. Второй - ограниченное поражение губчатого вещества с образованием очагов склероза.