Другие названия и синонимы
Ileopsoite, Илиопсоит.
МКБ-10 коды
- МКБ-10
- M60.0 Инфекционные миозиты
|
|
Описание
Илеопсоит. Воспаление подвздошно - поясничной мышцы (m. iliopsoas). Проявляется болями в паховой и подвздошной области, усиливающимися при ходьбе, иррадиирующими в бедро и поясницу, реже - в область ягодицы или коленного сустава. Сопровождается симптомами общей интоксикации: повышением температуры тела до фебрильных цифр, слабостью, разбитостью, ознобами, тахикардией. Диагностируется на основании клинических проявлений, данных рентгенографии, УЗИ, КТ, МРТ, лабораторных исследований. В процессе дифференциальной диагностики может назначаться экскреторная урография. Лечение - вскрытие, дренирование гнойника на фоне антибиотикотерапии.
Дополнительные факты
Илеопсоит (илиопсоит) - редко встречающаяся патология. Распространенность заболевания составляет 1 случай на 10 000 пациентов хирургического профиля. Обычно носит односторонний характер, чаще обнаруживается справа. Преимущественно диагностируется у больных детского и юношеского возраста. Из-за значительной глубины залегания подвздошно-поясничной мышцы, ее близости к внутренним органам, позвоночнику, сосудам и поясничному нервному сплетению диагностика илеопсоита нередко сопряжена со значительными затруднениями. По данным специалистов, почти трети пациентов после комплексного обследования выставляют другой диагноз, а воспаление мышцы выявляют только во время операции.
Причины
Подвздошно-поясничной мышцей называют анатомическую структуру, которая располагается в подвздошной ямке, включает в себя большую подвздошную мышцу, поясничную мышцу и окружающую их фасцию. Воспалительный процесс в этой структуре развивается при лимфогенном, реже гематогенном или контактном проникновении инфекционных агентов в толщу мышцы. В качестве возбудителя обычно выступает золотистый стафилококк, реже - стрептококк, энтерококк, синегнойная или кишечная палочка. Основными причинами илеопсоита считаются:
• Воспаление органов малого таза. Патология провоцируется аднекситом, параметритом, другими заболеваниями внутренних женских половых органов, нижних отделов мочевыводящей системы и ЖКТ. Бактерии проникают в мышцу по лимфатическим сосудам, анастомозирующим с сосудами малого таза.
• Воспаление нижних конечностей. Заболевание может возникать при флегмонах, абсцессах, гнойных ранах, особенно сопровождающихся паховым лимфаденитом. Как и в предыдущем случае, путь проникновения инфекции - лимфогенный, миграция патогенных микробов объясняется связью паховых лимфоузлов с узлами, расположенными по задней поверхности подвздошно-поясничной мышцы.
• Сепсис, отдаленные гнойные очаги. Илеопсоит развивается в результате гематогенного распространения инфекции при наличии генерализованного септического воспаления или бактериемии, обусловленной проникновением патогенов в кровь из локальных очагов.
• Воспаление соседних структур. Патология становится следствием контактного распространения бактериальных агентов при остром аппендиците, ретроцекальном абсцессе, параколите, паранефрите, остеомиелите позвонков и костей таза. В отдельных случаях болезнь возникает в результате прорыва абсцесса легкого в забрюшинное пространство и формирования затеков в непосредственной близости от m. iliopsoas.
Вероятность гематогенного и лимфогенного процесса повышается при травматических повреждениях мышцы или ее перенапряжении с кровоизлиянием в ткани. Фактором риска также считаются нарушения свертываемости крови, при которых в мышечной ткани чаще образуются гематомы. Излившаяся кровь во всех перечисленных случаях становится субстратом для размножения патогенных микроорганизмов. Развитию илеопсоита способствует переохлаждение и состояния, сопровождающиеся снижением иммунитета: истощение организма, алкоголизм, наркомания, СПИД, почечная недостаточность, сахарный диабет, продолжительный прием глюкокортикостероидных препаратов.
• Воспаление органов малого таза. Патология провоцируется аднекситом, параметритом, другими заболеваниями внутренних женских половых органов, нижних отделов мочевыводящей системы и ЖКТ. Бактерии проникают в мышцу по лимфатическим сосудам, анастомозирующим с сосудами малого таза.
• Воспаление нижних конечностей. Заболевание может возникать при флегмонах, абсцессах, гнойных ранах, особенно сопровождающихся паховым лимфаденитом. Как и в предыдущем случае, путь проникновения инфекции - лимфогенный, миграция патогенных микробов объясняется связью паховых лимфоузлов с узлами, расположенными по задней поверхности подвздошно-поясничной мышцы.
• Сепсис, отдаленные гнойные очаги. Илеопсоит развивается в результате гематогенного распространения инфекции при наличии генерализованного септического воспаления или бактериемии, обусловленной проникновением патогенов в кровь из локальных очагов.
• Воспаление соседних структур. Патология становится следствием контактного распространения бактериальных агентов при остром аппендиците, ретроцекальном абсцессе, параколите, паранефрите, остеомиелите позвонков и костей таза. В отдельных случаях болезнь возникает в результате прорыва абсцесса легкого в забрюшинное пространство и формирования затеков в непосредственной близости от m. iliopsoas.
Вероятность гематогенного и лимфогенного процесса повышается при травматических повреждениях мышцы или ее перенапряжении с кровоизлиянием в ткани. Фактором риска также считаются нарушения свертываемости крови, при которых в мышечной ткани чаще образуются гематомы. Излившаяся кровь во всех перечисленных случаях становится субстратом для размножения патогенных микроорганизмов. Развитию илеопсоита способствует переохлаждение и состояния, сопровождающиеся снижением иммунитета: истощение организма, алкоголизм, наркомания, СПИД, почечная недостаточность, сахарный диабет, продолжительный прием глюкокортикостероидных препаратов.
Патогенез
При гематогенном и лимфогенном путях инфицирования илеопсоиту обычно предшествует аденофлегмона - воспаление клетчатки и лимфоузлов, располагающихся в области подвздошно-поясничной мышцы. При контактном пути инфицирования образование гнойника происходит на фоне затеков из очагов другой локализации. При попадании инфекционных агентов и их токсинов в зоне поражения увеличивается количество медиаторов воспаления. Мелкие кровеносные сосуды расширяются, проницаемость их стенок увеличивается, что приводит к выходу жидкой части крови в окружающие ткани. Вначале образуется серозный экссудат. В последующем воспаление становится гнойным вследствие скопления микробов, продуктов их жизнедеятельности и погибших клеток организма. Сдавление нервных окончаний и местные реакции являются причиной развития болевого синдрома. При попадании токсинов в кровеносное русло возникают явления общей интоксикации.
Классификация
В зависимости от этиопатогенетических особенностей различают два варианта илеопсоита: первичный и вторичный. Первичный очаг образуется при гематогенном либо лимфогенном инфицировании. О вторичном процессе говорят при контактном распространении гноя путем образования затеков. С учетом характера воспаления гнойные хирурги выделяют три формы илеопсоита:
• Серозный. Возникает на начальном этапе заболевания. Обычно носит реактивный характер. Проявляется набуханием мышцы вследствие скопления экссудата без формирования гнойного очага.
• Серозно. Гнойный. Мышечная ткань пропитывается серозно-гнойным отделяемым, в толще мышцы появляются мелкие абсцессы. Через некоторое время воспаление распространяется на окружающую жировую клетчатку с развитием парапсоита.
• Гнойный. Экссудат приобретает гнойный характер, мышечная ткань расплавляется, формируется крупный абсцесс, ограниченный фасциальным футляром. При свежих процессах гной жидкий, светлый, в последующем - густой, желтоватый. Количество гноя существенно варьируется и иногда достигает нескольких литров.
• Серозный. Возникает на начальном этапе заболевания. Обычно носит реактивный характер. Проявляется набуханием мышцы вследствие скопления экссудата без формирования гнойного очага.
• Серозно. Гнойный. Мышечная ткань пропитывается серозно-гнойным отделяемым, в толще мышцы появляются мелкие абсцессы. Через некоторое время воспаление распространяется на окружающую жировую клетчатку с развитием парапсоита.
• Гнойный. Экссудат приобретает гнойный характер, мышечная ткань расплавляется, формируется крупный абсцесс, ограниченный фасциальным футляром. При свежих процессах гной жидкий, светлый, в последующем - густой, желтоватый. Количество гноя существенно варьируется и иногда достигает нескольких литров.
Клиническая картина
Клиническая картина включает местную и общую симптоматику. Местными признаками воспаления являются боли в проекции мышцы, отдающие в бедро, поясничную область. Реже наблюдается иррадиация в коленный сустав и ягодицу. Боли усиливаются при ходьбе, пациент щадит больную ногу, возникает хромота. По мере развития воспаления все более выраженным становится вынужденное положение конечности. Нога на стороне поражения согнута в коленном суставе, приведена и развернута кнаружи, попытка активного или пассивного разгибания влечет за собой усиление болевого синдрома. В положении стоя наблюдается наклон туловища в больную сторону.
Ассоциированные симптомы: Высокая температура тела. Головная боль. Лейкоцитоз. Озноб. Разбитость. Хромота.
Ассоциированные симптомы: Высокая температура тела. Головная боль. Лейкоцитоз. Озноб. Разбитость. Хромота.
|
|
Возможные осложнения
Илеопсоит часто осложняется расплавлением мышечной фасции и прорывом гноя в соседние области с формированием затеков и образованием обширных флегмон. Типичными локализациями вторичных гнойных процессов являются область подвздошной ямки, забрюшинное пространство, полость малого таза. Характерной особенностью при поражении забрюшинного пространства считается наличие тонких каналов между абсцессом m. iliopsoas и затеком, которые бывает трудно обнаружить в процессе хирургического вмешательства. Иногда гной распространяется по передней поверхности бедра. В тяжелых случаях возможно развитие сепсиса.
Диагностика
Из-за глубокого расположения гнойника и сходства клинической картины илеопсоита с некоторыми другими заболеваниями (особенно - на начальных стадиях) диагностика патологии нередко вызывает значительные затруднения. Пациенты часто обращаются к терапевту или неврологу, при первичном обследовании превалируют неврологические диагнозы: радикулит, сакроилеит, люмбоишиалгия и пр. При прогрессировании симптоматики и появлении признаков общей интоксикации больных направляют к специалистам в области гнойной хирургии. Решающее значение в постановке окончательного диагноза имеют инструментальные методы, позволяющие дифференцировать илеопсоит от гнойных процессов других локализаций. План обследования может включать:
• Обзорную рентгенографию. На рентгенограммах обнаруживаются изменения пораженной мышцы, соответствующие стадии воспалительного процесса. Вначале тень m. iliopsoas усилена, уплотнена, деформирована. При расплавлении контуры мышцы смазываются, ее тень становится трудноразличимой.
• УЗИ забрюшинного пространства. О гнойном воспалении свидетельствует увеличение мышцы, неравномерность ее структуры, наличие полостей, гипоэхогенных и анэхогенных включений. Методика также применяется для исключения паранефрита, гнойного пиелонефрита, новообразования почки и ряда других заболеваний.
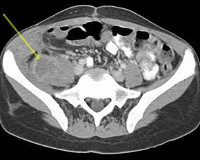
• Томографические методы. На МРТ и КТ выявляются утолщение и нарушение структуры мышцы. При сформировавшемся абсцессе просматривается полость, при прорыве гноя за пределы мышечной фасции определяются затеки.
• Лабораторные исследования. В общем анализе крови регистрируются изменения, характерные для острого воспалительного процесса: лейкоцитоз с преобладанием юных форм, повышение СОЭ. В биохимическом анализе крови обнаруживается С-реактивный белок, антистрептолизин-О, ревматоидный фактор. После вскрытия гнойника содержимое направляют на бак. исследование для уточнения вида возбудителя и его чувствительности к антибактериальным препаратам.
Для дифференциации с гнойным паранефритом производят экскреторную урографию. Для исключения остеомиелита подвздошной кости, туберкулезного спондилита и артрита тазобедренного сустава выполняют рентгенографию соответствующих костных структур.
• Обзорную рентгенографию. На рентгенограммах обнаруживаются изменения пораженной мышцы, соответствующие стадии воспалительного процесса. Вначале тень m. iliopsoas усилена, уплотнена, деформирована. При расплавлении контуры мышцы смазываются, ее тень становится трудноразличимой.
• УЗИ забрюшинного пространства. О гнойном воспалении свидетельствует увеличение мышцы, неравномерность ее структуры, наличие полостей, гипоэхогенных и анэхогенных включений. Методика также применяется для исключения паранефрита, гнойного пиелонефрита, новообразования почки и ряда других заболеваний.
• Томографические методы. На МРТ и КТ выявляются утолщение и нарушение структуры мышцы. При сформировавшемся абсцессе просматривается полость, при прорыве гноя за пределы мышечной фасции определяются затеки.
• Лабораторные исследования. В общем анализе крови регистрируются изменения, характерные для острого воспалительного процесса: лейкоцитоз с преобладанием юных форм, повышение СОЭ. В биохимическом анализе крови обнаруживается С-реактивный белок, антистрептолизин-О, ревматоидный фактор. После вскрытия гнойника содержимое направляют на бак. исследование для уточнения вида возбудителя и его чувствительности к антибактериальным препаратам.
Для дифференциации с гнойным паранефритом производят экскреторную урографию. Для исключения остеомиелита подвздошной кости, туберкулезного спондилита и артрита тазобедренного сустава выполняют рентгенографию соответствующих костных структур.
Дифференциальная диагностика
Дифференциальную диагностику с абсцессом брюшной полости и аппендикулярным инфильтратом осуществляют с учетом симптоматики (отсутствия сгибательной контрактуры конечности, локализации процесса). При различении илеопсоита с патологиями почек обращают внимание на характер гипертермии (постоянный или интермиттирующий). По показаниям назначают консультации нефролога, абдоминального хирурга и других специалистов.
Лечение
Лечебная тактика определяется стадией процесса. При серозном воспалении назначают массивную антибиотикотерапию. При формировании абсцесса лечение только хирургическое - вскрытие и дренирование. Производят срочное вскрытие с использованием люмботомического или внебрюшинного косого разреза (по Пирогову). После удаления гноя полость тщательно исследуют пальцем для обнаружения затеков. При необходимости выполняют дополнительные разрезы в поясничной области или на бедре. В рану устанавливают резиновую трубку, иногда осуществляют аспирационное дренирование. В послеоперационном периоде применяют антибиотики и общеукрепляющие средства, проводят дезинтоксикационную терапию.
Прогноз
При ранней диагностике илеопсоита прогноз благоприятный. Серозное воспаление зачастую удается устранить без использования оперативных методов лечения. При вскрытии ограниченного абсцесса у большинства пациентов наблюдается полное излечение с удовлетворительным функциональным результатом. При позднем обращении, значительном расплавлении мышцы, образовании затеков повышается вероятность развития сепсиса, возможен летальный исход, после устранения гнойного процесса наблюдаются рубцовые деформации, существенные ограничения функции мышц.
Профилактика
Профилактика включает своевременное лечение воспалительных процессов различных локализаций, меры по поддержанию иммунитета.