Другие названия и синонимы
Osteochondroma.
МКБ-10 коды
|
|
Описание
Остеохондрома. Доброкачественное опухолевидное образование, представляющее собой костный выступ, снаружи покрытый шапочкой из хрящевой ткани, а изнутри заполненный костно - мозговым содержимым. Является самым распространенным доброкачественным заболеванием костей скелета. Чаще выявляется в детском и подростковом возрасте. Обычно обнаруживается в области метафизов длинных трубчатых костей, но по мере роста кости смещается ближе к ее средней части. Остеохондрома может быть как одиночной, так и множественной. В последнем случае заболевание носит наследственный характер либо возникает вследствие воздействия ионизирующего излучения. Опухолевидные образования небольшого размера не сопровождаются никакими симптомами. Крупные остеохондромы могут вызывать боли и нарушения функции конечности. Лечение только хирургическое. Прогноз благоприятный.
Дополнительные факты
Остеохондромой называется доброкачественное образование, представляющее собой дефект, возникший в процессе развития кости. Обычно располагается на длинных трубчатых костях поблизости от суставов, но по мере роста ребенка смещается в сторону диафиза. Реже обнаруживается на ребрах, костях таза, лопатке, позвонках и суставных костях ключицы. Как правило, заболевание протекает бессимптомно, однако при достижении большого размера может становиться причиной возникновения болевого синдрома и вызывать ряд осложнений.
Остеохондрома - самое распространенное доброкачественное поражение скелета, составляющее около 20% от общего числа первичных опухолей костей. Обычно выявляется в возрасте 10-25 лет. По окончании роста скелета рост образования чаще тоже прекращается, однако описаны и исключения.
Под хрящом находится компактная костная ткань, под ней - губчатая кость. В центре располагается костно-мозговое вещество, связанное с костно-мозговым каналом «материнской» кости. В массе губчатой кости встречаются участки остеоида, обезыствленного хряща и аморфные массы. В некоторых случаях над костной опухолью формируется сумка, заполненная обезыствленными хрящевыми тельцами или «рисовыми тельцами», а также отложениями фибрина. Размер остеохондромы может значительно варьироваться и в большинстве случаев колеблется от 2 до 12 тд При этом в литературе описаны и образования большего диаметра.
Существуют типичные места локализации остеохондромы. Так, у 50% пациентов эти опухолевидные образования обнаруживаются в области дистального конца бедренной кости, а также проксимальных отделах большеберцовой и плечевой костей. В других случаях могут поражаться все остальные отделы скелета за исключением костей лицевого черепа - в этой области остеохондрома не возникает никогда. Сравнительно редко выявляется поражение костей стоп, кистей рук и позвоночника.
Остеохондрома - самое распространенное доброкачественное поражение скелета, составляющее около 20% от общего числа первичных опухолей костей. Обычно выявляется в возрасте 10-25 лет. По окончании роста скелета рост образования чаще тоже прекращается, однако описаны и исключения.
Что представляет из себя остеохондрома.
Остеохондрома - плотное опухолевидное образование с блестящей и гладкой поверхностью. По своей структуре она одновременно напоминает диафизарную и суставную части нормальной кости. Сверху расположена хрящевая шапочка, покрытая тонким фиброзным слоем. Толщина шапочки может достигать 1 У детей эта шапочка толще. По мере роста она истончается, а во взрослом возрасте может отсутствовать или представлять собой очень тонкую пластинку.Под хрящом находится компактная костная ткань, под ней - губчатая кость. В центре располагается костно-мозговое вещество, связанное с костно-мозговым каналом «материнской» кости. В массе губчатой кости встречаются участки остеоида, обезыствленного хряща и аморфные массы. В некоторых случаях над костной опухолью формируется сумка, заполненная обезыствленными хрящевыми тельцами или «рисовыми тельцами», а также отложениями фибрина. Размер остеохондромы может значительно варьироваться и в большинстве случаев колеблется от 2 до 12 тд При этом в литературе описаны и образования большего диаметра.
Существуют типичные места локализации остеохондромы. Так, у 50% пациентов эти опухолевидные образования обнаруживаются в области дистального конца бедренной кости, а также проксимальных отделах большеберцовой и плечевой костей. В других случаях могут поражаться все остальные отделы скелета за исключением костей лицевого черепа - в этой области остеохондрома не возникает никогда. Сравнительно редко выявляется поражение костей стоп, кистей рук и позвоночника.
Клиническая картина
Ассоциированные симптомы: Боль в гениталиях у женщин. Боль в голени. Боль в ключице. Боль в колене. Боль в костях таза. Боль в области лобка у женщин. Боль в области лобка у мужчин. Боль в плече. Боль в плечевом суставе. Изменение аппетита. Ломота в суставах.
Причины
Причины возникновения одиночных остеохондром до конца не выяснены. Многие специалисты в области травматологии и ортопедии полагают, что это - порок развития кости, который растет параллельно с костями скелета. Кроме того, выделяют пострадиационные остеохондромы, которые образуются у больных, в детстве получавших лучевую терапию. Такие образования обычно являются множественными, обнаруживаются у 12% пациентов, подвергавшихся облучению в дозе 1000-6000 рад. и могут образовываться не только в длинных трубчатых костях, но и в костях таза и позвоночника.
И, наконец, еще одной причиной образования множественных остеохондром является остеохондроматоз (другое название - множественная экзостозная хондродисплазия). Это заболевание носит наследственный характер, передается по аутосомно-доминантному типу и выявляется у молодых людей в возрасте до 20 лет.
И, наконец, еще одной причиной образования множественных остеохондром является остеохондроматоз (другое название - множественная экзостозная хондродисплазия). Это заболевание носит наследственный характер, передается по аутосомно-доминантному типу и выявляется у молодых людей в возрасте до 20 лет.
Диагностика
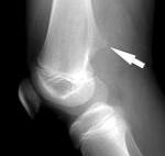
Диагноз выставляется на основании совокупности клинических и рентгенологических признаков. При этом решающую роль в постановке окончательного диагноза обычно играет рентгенография. Иногда в качестве дополнительных методов исследования также используется магнитно-резонансная томография и компьютерная томография.
На рентгенограммах выявляется изменение контуров кости, обусловленное наличием опухолевидного образования, связанного с основной костью широкой и толстой ножкой. Поверхностные отделы образования имеют неровные контуры и по своей форме могут напоминать цветную капусту. В отдельных случаях ножка отсутствует, и остеохондрома прилегает к «материнской» кости. Контуры остеохондромы четкие, непрерывные, непосредственно переходящие в контуры основной кости.
Хрящевая шапочка на рентгеновских снимках обычно не определяется за исключением случаев, когда в ней есть очаги кальцификации. Поэтому не следует забывать, что реальный диаметр остеохондромы может на 1-2 см превышать диаметр, определяемый по данным рентгенографии. При подозрении на увеличение размеров хрящевой шапочки необходимо проведение магнитно-резонансной томографии.
Постановка диагноза обычно не вызывает затруднений, однако в отдельных случаях заболевание бывает необходимо дифференцировать с остеомой, параостальной остеосаркомой, пароостальной костно-хрящевой пролиферацией и хондросаркомой, возникшей в результате озлокачествления остеохондромы.
На рентгенограммах выявляется изменение контуров кости, обусловленное наличием опухолевидного образования, связанного с основной костью широкой и толстой ножкой. Поверхностные отделы образования имеют неровные контуры и по своей форме могут напоминать цветную капусту. В отдельных случаях ножка отсутствует, и остеохондрома прилегает к «материнской» кости. Контуры остеохондромы четкие, непрерывные, непосредственно переходящие в контуры основной кости.
Хрящевая шапочка на рентгеновских снимках обычно не определяется за исключением случаев, когда в ней есть очаги кальцификации. Поэтому не следует забывать, что реальный диаметр остеохондромы может на 1-2 см превышать диаметр, определяемый по данным рентгенографии. При подозрении на увеличение размеров хрящевой шапочки необходимо проведение магнитно-резонансной томографии.
Постановка диагноза обычно не вызывает затруднений, однако в отдельных случаях заболевание бывает необходимо дифференцировать с остеомой, параостальной остеосаркомой, пароостальной костно-хрящевой пролиферацией и хондросаркомой, возникшей в результате озлокачествления остеохондромы.
Лечение
Лечением остеохондромы обычно занимаются ортопеды. Единственный метод лечения - хирургическое удаление опухолевидного образования в пределах здоровых тканей. Показанием к удалению как одиночных, так и множественных образований является нарушение функции конечности, выраженная деформация скелета, а также быстрый рост опухоли. Если показания к оперативному лечению отсутствуют, необходимо осуществлять наблюдение за пациентом и периодически повторять рентгенологическое исследование для оценки динамики процесса (наличие или отсутствие роста, изменение структуры).
Операция проводится под общим наркозом в условиях стационара. Врач делает разрез над пораженной областью и выполняет краевую резекцию, удаляя опухоль вместе с основанием ножки. Костная пластика не требуется.
Прогноз благоприятный, особенно - в случае одиночных образований. После хирургического лечения наступает стойкое выздоровление. Озлокачествление одиночных остеохондром наблюдается у 1-2% пациентов. При множественных образованиях риск малигнизации повышается до 5-10%.
Неблагоприятными в прогностическом плане считаются увеличение толщины хрящевой шапочки более 1 увеличение диаметра остеохондромы более 5 см и внезапный быстрый рост опухолевидного образования, поэтому во всех перечисленных случаях пациентам предлагается хирургическое лечение.
Операция проводится под общим наркозом в условиях стационара. Врач делает разрез над пораженной областью и выполняет краевую резекцию, удаляя опухоль вместе с основанием ножки. Костная пластика не требуется.
Прогноз благоприятный, особенно - в случае одиночных образований. После хирургического лечения наступает стойкое выздоровление. Озлокачествление одиночных остеохондром наблюдается у 1-2% пациентов. При множественных образованиях риск малигнизации повышается до 5-10%.
Неблагоприятными в прогностическом плане считаются увеличение толщины хрящевой шапочки более 1 увеличение диаметра остеохондромы более 5 см и внезапный быстрый рост опухолевидного образования, поэтому во всех перечисленных случаях пациентам предлагается хирургическое лечение.
|
|
Связанные клинические рекомендации
Связанные стандарты мед. помощи
- Стандарт медицинской помощи больным злокачественными новообразованиями костей, суставов и суставных хрящей конечностей, других и неуточненных локализаций (при оказании специализированной помощи)
- Стандарт специализированной медицинской помощи при злокачественных новообразованиях костей II-IV стадии (неоадьювантная, адьювантная, самостоятельная химиотерапия)
- Стандарт медицинской помощи больным со злокачественным новообразованием костей, суставов и суставных хрящей конечностей, других и неуточненных локализаций
- Стандарт специализированной медицинской помощи при злокачественных новообразованиях костей I-IV стадии (самостоятельная дистанционная лучевая терапия)
- Стандарт специализированной медицинской помощи при злокачественных новообразованиях костей I-IV стадии (самостоятельная лучевая терапия)
- Стандарт первичной медико-санитарной помощи при злокачественных новообразованиях костей и суставных хрящей I-IV стадии (обследование в целях установления диагноза заболевания и подготовки к противоопухолевому лечению)
- Стандарт специализированной медицинской помощи при злокачественных новообразованиях костей I-IV стадии (предоперационная лучевая терапия)
- Стандарт специализированной медицинской помощи при злокачественных новообразованиях костей I-IV стадии (предоперационная дистанционная лучевая терапия)