Другие названия и синонимы
Purulent periostitis.
МКБ-10 коды
|
|
Описание
Гнойный периостит. Воспаление надкостницы, вызываемое гноеродными микробами. Причиной развития является проникновение болезнетворных микроорганизмов из соседнего с надкостницей инфекционного очага (например, из инфицированной раны мягких тканей, из кости при остеомиелите или из больного зуба при кариесе). Возможно также гематогенное распространение инфекции (например, метастатический периостит при пиемии). В некоторых случаях причину развития заболевания установить не удается. Проявляется сильными, иногда пульсирующими болями, отеком и повышением температуры. В последующем возможен переход инфекции на соседние органы и ткани. При контактном периостите чаще поражаются челюсти, при гематогенном - длинные трубчатые кости. Лечение на ранних стадиях консервативное, при скоплении гноя показано вскрытие и дренирование.
Дополнительные факты
Гнойный периостит - воспалительный процесс, возникающий в надкостнице в результате жизнедеятельности гноеродных бактерий. Обычно сочетается с поражением других отделов кости (остеопериостит). Может быть первичным (воспаление сначала возникает в надкостнице, а потом распространяется на соседние ткани) и вторичным (гнойный процесс переходит на надкостницу с кости или близлежащих мягких тканей). Возможно контактное и гематогенное распространение инфекции. Лечением периостита челюстей занимаются стоматологи, лечение периостита глазницы осуществляют офтальмологи, лечение периоститов другой локализации (трубчатых костей, таза, ребер ) находится в ведении травматологов.
Клиническая картина
Ассоциированные симптомы: Боль в голени. Боль в ключице. Боль в пальцах ног. Боль в плече. Высокая температура тела. Головная боль. Зубная боль. Озноб. Опухание щеки. Потеря веса. Разбитость.
Причины
Чаще всего гнойный периостит вызывается стафилококками и стрептококками. Кроме того, причиной развития гнойного воспаления надкостницы могут стать псевдомонады, клебсиеллы, протей, кишечная палочка, менингококки, гонококки, а также клостридии, вызывающие особый вид гнилостной инфекции. Реже заболевание возникает в результате попадания в надкостницу других микробов: кандид, микобактерий, пневмококков, бруцелл, шигелл, сальмонелл Иногда возбудителя инфекции не удается установить вследствие лизиса (разрушения) микробов.
Гнойный периостит челюсти обычно является осложнением кариеса, альвеолита, периодонтита и одонтогенного гайморита; возможно также поражение надкостницы при ранениях лица, слизистой оболочки полости рта и открытых переломах челюстей. Воспаление надкостницы длинных трубчатых костей (чаще всего плечевой, большеберцовой и бедренной) возникает при случайных ранах, открытых переломах (особенно огнестрельных) и гематогенном распространении инфекции; кроме того, в качестве обязательного компонента гнойного процесса присутствует при остеомиелите.
Короткие и плоские кости (лопатка, ключица, подвздошная кость ) поражаются реже, причины - те же, что и при воспалении периоста длинных трубчатых костей. Гнойный периостит лобкового симфиза может развиться после грыжесечения, гинекологических и урологических операций. Причиной возникновения периостита глазницы могут стать инфекционные заболевания (скарлатина, корь, ангина, грипп), воспаление околоносовых пазух (синусит), кариес и тупая травма близлежащих мягких тканей.
Гнойный периостит челюсти обычно является осложнением кариеса, альвеолита, периодонтита и одонтогенного гайморита; возможно также поражение надкостницы при ранениях лица, слизистой оболочки полости рта и открытых переломах челюстей. Воспаление надкостницы длинных трубчатых костей (чаще всего плечевой, большеберцовой и бедренной) возникает при случайных ранах, открытых переломах (особенно огнестрельных) и гематогенном распространении инфекции; кроме того, в качестве обязательного компонента гнойного процесса присутствует при остеомиелите.
Короткие и плоские кости (лопатка, ключица, подвздошная кость ) поражаются реже, причины - те же, что и при воспалении периоста длинных трубчатых костей. Гнойный периостит лобкового симфиза может развиться после грыжесечения, гинекологических и урологических операций. Причиной возникновения периостита глазницы могут стать инфекционные заболевания (скарлатина, корь, ангина, грипп), воспаление околоносовых пазух (синусит), кариес и тупая травма близлежащих мягких тканей.
Анатомия и патанатомия
Вначале в надкостнице возникают очаги гиперемии, появляется серозный или фибринозный экссудат. Затем образуется гной, пропитывающий надкостницу. В близлежащих мягких тканях также обнаруживается отек и признаки гнойной инфильтрации. При пропитывании рыхлого внутреннего слоя надкостницы формируется скопление гноя между костью и периостом. Из-за давления гноя надкостница легко отслаивается от подлежащей кости, вследствие чего образуются субпериостальные абсцессы.
При отслаивании периоста на значительном протяжении питание кости нарушается, возникает ее поверхностный некроз. По ходу сосудов гаверсовых каналов гной проникает в кость, заполняя эти каналы и костномозговые полости. В последующем воспалительный процесс может либо завершиться прорывом гноя через кожу, либо распространиться на кость и окружающие мягкие ткани. В мягких тканях при этом возникает воспаление по типу флегмоны, в кости развивается остеомиелит.
При отслаивании периоста на значительном протяжении питание кости нарушается, возникает ее поверхностный некроз. По ходу сосудов гаверсовых каналов гной проникает в кость, заполняя эти каналы и костномозговые полости. В последующем воспалительный процесс может либо завершиться прорывом гноя через кожу, либо распространиться на кость и окружающие мягкие ткани. В мягких тканях при этом возникает воспаление по типу флегмоны, в кости развивается остеомиелит.
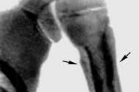
Диагностика
Основанием для постановки диагноза гнойный периостит являются характерные симптомы и данные дополнительных исследований. По анализам крови определяется острое воспаление. Рентгенологическая картина на ранних стадиях может быть нормальной. В последующем выявляется тень обызвествленных периостальных наложений, отделенных от коркового вещества прозрачной полоской. Через некоторое время участки обызвествления сливаются с костью, образуя картину асимметричного утолщения кости. При корковых абсцессах обнаруживаются деструктивные очаги.
При необходимости дополнительно назначаются МРТ кости и КТ кости. В зависимости от локализации и предполагаемой причины развития воспалительного процесса могут потребоваться консультации различных специалистов: отоларинголога (при ангине и синуситах), стоматолога (при остеопериостите глазницы, вызванном кариесом), хирурга, уролога или гинеколога (при периостите лобкового симфиза после оперативных вмешательств).
При необходимости дополнительно назначаются МРТ кости и КТ кости. В зависимости от локализации и предполагаемой причины развития воспалительного процесса могут потребоваться консультации различных специалистов: отоларинголога (при ангине и синуситах), стоматолога (при остеопериостите глазницы, вызванном кариесом), хирурга, уролога или гинеколога (при периостите лобкового симфиза после оперативных вмешательств).
Лечение
Лечение заключается в немедленной санации гнойного очага, вскрытии надкостницы с гнойным содержимым и последующем дренировании под прикрытием антибиотиков. Затем проводятся перевязки, после стихания воспалительных явлений назначается физиотерапия (УВЧ, лазер). Исключением из общего правила, предусматривающего вскрытие гнойного очага, является задний гнойный периостит глазницы, при котором вскрытие невозможно произвести в силу анатомических особенностей этой области. Больным с периоститом данной локализации назначают антибиотики, сульфаниламидные, противоотечные и антигистаминные препараты и проводят дезинтоксикационную терапию. При распространении процесса на соседние пазухи осуществляют их вскрытие.