Продолжая работу с сайтом, вы разрешаете использование сookies и соглашаетесь с политикой конфиденциальности.
.,о.,р..и.:г,.и.,н.;н.,а;,л.. .,н.:а,.х.,о.,д.;и.,т..с.:я,, ..н.;а., .,k;,i..b.:e,;r.,i.,s.,.;.r.:u,

Вывихи кисти

ДобавьАналогиСравни
Используемые препараты: ... скрыть
 
Препаратов не найдено
Лечат в 4807 клиниках 163 городов
X
X
Нужен: терапевт, 3 услуги
Нижний Новгород, ул. Таллинская, д. 8В, корп. 2 +7(831..показать+7(495) 104-88-01, +7(831) 248-53-86 от 1355₽
Троицк, Октябрьский пр-т, д. 5 +7(495..показать+7(495) 104-88-01, +7(495) 851-06-01, +7(499) 638-34-32, +7(495) 851-02-76, +7(495) 122-02-21 от 1750₽
Уфа, ул. Карла Маркса, д. 69 +7(347..показать+7(495) 104-88-01, +7(347) 292-70-07 от 1920₽
Уфа, ул. Правды, д. 19 +7(347..показать+7(495) 104-88-01, +7(347) 292-70-07 от 1920₽
Уфа, ул. Союзная, д. 35 +7(347..показать+7(495) 104-88-01, +7(347) 292-70-07 от 1920₽
Казань, ул. Пушкина, д. 1/55 +7(843..показать+7(495) 104-88-01, +7(843) 500-57-86 от 2020₽
Екатеринбург, ул. Надеждинская, д. 9А +7(343..показать+7(495) 104-88-01, +7(343) 204-95-05, +7(343) 310-93-56, +7(343) 310-95-30 от 2022₽
Уфа, ул. 50-летия СССР, д. 46 +7(800..показать+7(495) 104-88-01, +7(800) 234-70-70, +7(347) 216-33-33 от 2080₽
Ростов-на-Дону, Театральная площадь, д. 4 +7(863..показать+7(495) 104-88-01, +7(863) 306-77-50 от 2090₽
Екатеринбург, ул. Инженерная, д. 45 +7(343..показать+7(495) 104-88-01, +7(343) 287-11-77 от 2250₽
Ещё 4797 клиник
  1. МКБ-10 коды
  2. Описание
  3. Дополнительные факты
  4. Клиническая картина
  5. Лечение
  6. Похожие заболевания
  7. Связанные стандарты мед. помощи
  8. Основные медицинские услуги
  9. Клиники для лечения

Другие названия и синонимы

Dislocations of the hand.
Вывихи кисти

МКБ-10 коды

Описание

 Вывихи костей кисти составляют 5% от общего числа вывихов. Причиной травмы обычно становится падение с упором на кисть или прямой удар в область лучезапястного сустава. Особенности вывиха кисти определяются анатомическим строением сустава, положением кисти и направлением действия сил, вызывающих травму. Вывихи костей кисти классифицируют на истинные, перилунарные, периладьевидно-лунарные, перитрехгранно-лунарные, чрезладьевидно-перилунарные, чрезладьевидно-чрезполулунные, вывихи пястных костей и фаланг пальцев. Клиника вывиха кисти складывается из отечности и боли в области вывиха, при осмотре выявляется наличие деформации. Диагноз подтверждается с помощью рентгенографии.

Дополнительные факты

 Вывихи костей кисти составляют 5% от общего числа вывихов. Причиной травмы обычно становится падение с упором на кисть или прямой удар в область лучезапястного сустава. Особенности вывиха кисти определяются анатомическим строением сустава, положением кисти и направлением действия сил, вызывающих травму.
 В образовании лучезапястного сустава участвуют сверху - суставные поверхности лучевой и локтевой костей, снизу - восемь мелких костей запястья. Кости запястья расположены в два ряда. Определенные анатомические особенности лучезапястного сустава обуславливают вывихи полулунной и ладьевидной костей, расположенных в верхнем ряду запястья. Остальные кости запястья вывихиваются редко.

Вывихи пястных костей.

 Пястные кости - короткие трубчатые кости, соединяющие запястье с костями пальцев. Пястные кости крепко удерживаются связками, поэтому вывихиваются очень редко. Вывихи пястных костей практически всегда сочетаются с их переломами.
 Вправление пястных костей производится под местной анестезией. При невозможности консервативного вправления используют хирургические методики, при нестабильности - фиксацию спицами Киршнера.

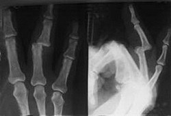
Вывихи пальцев кисти.

 Возможны вывихи в межфаланговых суставах и вывихи в суставе между пястной костью и костью основной фаланги пальца. Чаще всего встречается вывих первого пальца. Причиной травмы становится чрезмерное разгибание, реже - чрезмерное сгибание пальца. Вывих пальца сопровождается деформацией, отеком и резкой болью. Движения в травмированном суставе невозможны.
 Вывих вправляют путем тяги за палец. Невозможность вправления обычно обусловлена ущемлением мягких тканей. В этом случае проводится оперативное вправление.

Клиническая картина

 Пациенты предъявляют жалобы на резкую боль в области повреждения. Лучезапястный сустав и проксимальная часть кисти отечны, резко болезненны. Движения в суставе невозможны или резко ограничены. При истинном вывихе кисти определяется пружинящее сопротивление пассивным движениям.
 Ассоциированные симптомы: Боль в запястье. Боль в кисти. Деформация суставов. Ограничение амплитуды движений.

Лечение

 Пациентам с подозрением на вывих кисти следует, не откладывая, обратиться в отделение травматологии или травмопункт. Вправление свежих вывихов производится травматологом под наркозом, местной или проводниковой анестезией. Руку пациента сгибают в локтевом суставе под прямым углом. Ассистент держит конечность в нижней трети плеча. Травматолог тянет предплечье по оси, а после растягивания сустава давит на область выбухания, расположенную на тыльной поверхности кисти.
 После вправления кисть сгибают под углом 40°. Пациенту накладывают гипсовую лонгету от локтевого сустава до основания пальцев. Через две недели кисть переводят в нейтральную позицию и снова фиксируют на две недели. Если после вправления определяется нестабильность в суставе, производят фиксацию спицами Киршнера. При невозможности закрытого вправления и застарелых вывихах кисти накладывают специальный дистракционный аппарат.
 Сдавление срединного нерва является показанием для срочного оперативного лечения. Послеоперационный срок фиксации при чрезладьевидно-перилунарных вывихах составляет 3-4 месяца, при остальных вывихах кисти - 4-6 недель. Сразу после вправления вывиха больному рекомендуют двигать суставами пальцев. После снятия гипсовой лонгеты назначают физиотерапию, массаж и лечебную гимнастику для разработки лучезапястного сустава.

Похожие заболевания

Связанные стандарты мед. помощи

42a96bb5c8a2acfb07fc866444b97bf1
Доступно только при использовании PRO аккаунта
Модератор контента: Васин А.С.


  1. Киберис НЕ является интернет-магазином и НЕ осуществляет закупку, хранение, продажу и доставку препаратов. Ресурс выступает лишь в роли посредника между вами и производителем препаратов или аптечными пунктами, которые и осуществляют поставку.
  2. На Киберис размещены описания препаратов, часть из которых предназначена только для врачей. Данная информация не может быть использована пациентами для принятия решения об использовании препаратов, их отмене или коррекции дозировок.
  3. Ничто в представленной информации не должно быть истолковано как призыв использовать данные препараты.
  4. К Киберис не могут быть обращены претензии по поводу любого ущерба или вреда, понесенного в результате использования размещенной на сайте информации.