Другие названия и синонимы
Kirle 's disease.
МКБ-10 коды
|
|
Описание
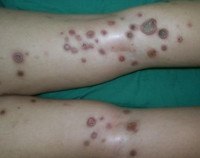
Болезнь Кирле. Дерматоз неясной этиологии, характеризующийся рецидивирующим течением с образованием в дерме околофолликулярных очагов гиперкератоза. Клинически проявляется высыпанием на разгибательных поверхностях рук и ног мелких папул грязно-красного цвета, покрытых роговыми чешуйками, способных к диссеминации. Снятие роговых чешуек открывает мокнущие поверхности с последующим исходом в неглубокий пигментированный рубчик. Диагноз ставится на основании анамнеза, клинической картины, наличия сопутствующей патологии, клинико-лабораторного обследования. Морфология неспецифична. Лечение направлено на радикальное удаление очагов гиперкератоза.
Дополнительные факты
Болезнь Кирле (проникающий гиперкератоз) - редкое дерматологическое заболевание, относящееся к группе хронических гиперкератозов, в основе которых лежит нарушение нормального механизма ороговения клеток эпидермиса с последующим проникновением очагов кератоза в дерму. Впервые описал клинические проявления заболевания австрийский дерматолог Йозеф Кирле в 1916 году. Заслуга автора, имя которого с тех пор носит гиперкератоз, состоит в том, что он выделил данную патологию в качестве самостоятельной нозологической единицы, тогда как до него проникающий гиперкератоз рассматривали только как симптом многих кожных заболеваний. Интересно, что поспособствовал этому характер его работы. Й. Кирле занимался гистопатологией в венской кожной клинике, основным трудом его жизни стал двухтомник по гистобиологии кожи. На основании сравнительных морфологических характеристик многих кератозов учёному удалось доказать уникальность этой патологии (проникающий характер гиперкератоза). Актуальность заболевания определяется наличием системных нарушений, способных привести к летальному исходу.
Причины
Этиология заболевания неизвестна. Болезнь Кирле может возникнуть спонтанно, как результат обменных нарушений (синтеза витамина А, липидов), иметь генетическую составляющую (семейная история заболевания). В подавляющем большинстве случаев болезнь Кирле связывают с системными нарушениями (хроническая почечная и сердечно-сосудистая недостаточность, сахарный диабет, цирроз печени).
Единого мнения о патогенезе заболевания в дерматологии не существует. Одни исследователи считают заболевание кожными проявлениями почечной недостаточности, другие - папулёзной крапивницы. Приоритет принадлежит теории патологического ороговения. В норме клетки эпидермиса синтезируют белок кератин, регулирующий физиологический процесс ороговения. При болезни Кирле клетки эпидермиса начинают активно размножаться, продуцируя избыток кератина и ороговевая раньше срока. Граница между обычными и ороговевшими клетками под тяжестью «лишнего» кератина сползает в базальный слой эпидермиса. Возникает воспаление, нарушается целостность базальной мембраны, роговые массы проникают в дерму, замещая собой часть её клеток, которые вместе с кератином «всплывают» наружу, создавая гиперкератоз на поверхности кожи.
Единого мнения о патогенезе заболевания в дерматологии не существует. Одни исследователи считают заболевание кожными проявлениями почечной недостаточности, другие - папулёзной крапивницы. Приоритет принадлежит теории патологического ороговения. В норме клетки эпидермиса синтезируют белок кератин, регулирующий физиологический процесс ороговения. При болезни Кирле клетки эпидермиса начинают активно размножаться, продуцируя избыток кератина и ороговевая раньше срока. Граница между обычными и ороговевшими клетками под тяжестью «лишнего» кератина сползает в базальный слой эпидермиса. Возникает воспаление, нарушается целостность базальной мембраны, роговые массы проникают в дерму, замещая собой часть её клеток, которые вместе с кератином «всплывают» наружу, создавая гиперкератоз на поверхности кожи.
Клиническая картина
Первичным элементом является бурая папула (фолликулярный узелок) величиной с просо, желтовато-серебристого оттенка в центре (кератин). Локализуется сыпь чаще на конечностях, в локтевых и подколенных сгибах. Папулы трансформируются в бляшки, которые, сливаясь между собой, образуют эффлоресценции (локальные очаги высыпаний) с очагами некроза либо гиперкератоза в центре. Дерматоз обладает тенденцией к генерализации процесса (за исключением ладоней и подошв). При удалении роговых наслоений обнажается эрозия в форме неглубокой воронки, мокнущая, незначительно кровоточащая, оставляющая после себя пигментированный поверхностный рубчик. Исход самостоятельной инволюции элементов - атрофическое рубцевание.
Субъективные ощущения, связанные с кожными проявлениями, отсутствуют. В редких случаях пациента беспокоит зуд. Объективное состояние зависит от наличия сопутствующей патологии. Некоторые практикующие врачи-дерматологи считают, что возникновение проникающего кератоза - основной симптом грядущего системного заболевания. Дерматоз имеет хроническое течение, не исключены рецидивы. Возрастная и гендерная составляющие отсутствуют.
Субъективные ощущения, связанные с кожными проявлениями, отсутствуют. В редких случаях пациента беспокоит зуд. Объективное состояние зависит от наличия сопутствующей патологии. Некоторые практикующие врачи-дерматологи считают, что возникновение проникающего кератоза - основной симптом грядущего системного заболевания. Дерматоз имеет хроническое течение, не исключены рецидивы. Возрастная и гендерная составляющие отсутствуют.
Диагностика
Из-за отсутствия специфической морфологии диагностика болезни Кирле проводится методом сравнения данной патологии с другими заболеваниями, симптомом которых является гиперкератоз. Клинически к болезни Кирле близка болезнь Дарье, но в её симптоматике отсутствуют поверхностные «воронки» на коже после удаления кератиновых наслоений, а в биоптате присутствует дискератоз, отсутствующий в гистологии болезни Кирле.
От бородавчатой формы красного плоского лишая болезнь Кирле отличается отсутствием зуда и первичными элементами: папулы с кератиновым «беретом» в центре (в отличие от папул с центральным вдавлением при красном плоском лишае). Красный волосяной лишай отличается от болезни Кирле наличием конусов Бенье - чёрных точечных папул - на тыле пальцев рук, бессимптомным снятием роговых корочек. Парапсориаз Муха‐Габермана различается морфологически (воспалительные изменения в эндотелии сосудистой стенки), а аллергический ангиит - симптомом пальпируемой пурпуры (геморрагическая, а не папулёзная сыпь).
Основное внимание при диагностике дерматоза уделяют наличию сопутствующей системной патологии. Проводят консилиум врачей в составе дерматолога, эндокринолога, нефролога, невролога, гастроэнтеролога, кардиолога; полное клинико-лабораторное обследование (ОАК, ОАМ, биохимия, специальные нагрузочные пробы с целью установления сохранности функций органа).
От бородавчатой формы красного плоского лишая болезнь Кирле отличается отсутствием зуда и первичными элементами: папулы с кератиновым «беретом» в центре (в отличие от папул с центральным вдавлением при красном плоском лишае). Красный волосяной лишай отличается от болезни Кирле наличием конусов Бенье - чёрных точечных папул - на тыле пальцев рук, бессимптомным снятием роговых корочек. Парапсориаз Муха‐Габермана различается морфологически (воспалительные изменения в эндотелии сосудистой стенки), а аллергический ангиит - симптомом пальпируемой пурпуры (геморрагическая, а не папулёзная сыпь).
Основное внимание при диагностике дерматоза уделяют наличию сопутствующей системной патологии. Проводят консилиум врачей в составе дерматолога, эндокринолога, нефролога, невролога, гастроэнтеролога, кардиолога; полное клинико-лабораторное обследование (ОАК, ОАМ, биохимия, специальные нагрузочные пробы с целью установления сохранности функций органа).
Лечение
Солитарные, ограниченные очаги высыпаний удаляют радикально: мелкие папулы - лазером, радиоволновой терапией, крупные - хирургически. Показана консультация дерматокосметолога с целью проведения электрокоагуляции или криодеструкции очагов локального кератоза, фототерапии. Консервативная терапия включает коррекцию углеводного, липидного обмена, патологии почек, заболеваний сердечно-сосудистой системы, другой сопутствующей патологии. Фоновая терапия предполагает проведение длительных курсов витамина А, Е в капсулах, при резистентности процесса показано назначение глюкокортикоидов (бетаметазон). Наружно применяют кератолитические мази, УФО, ванны с отрубями, грязелечение. Прогноз с точки зрения дерматологической патологии благоприятен. Соматическая патология требует к себе постоянного внимания.