Другие названия и синонимы
Pseudosiryngomyelitic acropathy.
МКБ-10 коды
|
|
Описание
Псевдосирингомиелитическая акропатия. Редкое хроническое системное заболевание неясной этиологии, в основе кожных проявлений которого лежат дистрофические изменения. Обычно поражает нижние конечности. Клинически проявляется образованием язв на подошвенной поверхности стоп на фоне потери температурной чувствительности, гипергидроза, ониходистрофии, анкилозирования суставов и мутиляции. Болевая и тактильная чувствительность сохраняются. Заболевание диагностируется на основании анамнеза и полного клинико-лабораторного обследования пациента. Применяют вазоактивные препараты, назначают местные средства, используют гипербарическую оксигенацию и глубокую рентгенотерапию, осуществляют симпатэктомию. Отмечается низкая эффективность лечебных мероприятий.
Дополнительные факты
Псевдосирингомиелитическая акропатия - редко встречающийся патологический процесс системного характера, сопровождающийся образованием трофических язв на коже конечностей. Заболевание существует в двух формах: наследственной семейной патологии (синдром Перона-Дроке-Кулона), впервые описанной в 1942 году, и приобретённой несемейной патологии (акропатии Бюро-Барриера-Тома), первое описание которой было составлено в 1953 году. С клинической точки зрения язвенные дефекты семейной и несемейной акропатии протекают идентично.
Псевдосирингомиелитическая акропатия имеет яркую гендерную окраску, обычно страдают мужчины старше 40 лет. Болезнь возникает в любое время года, но обостряется в зимний период, не обладает эндемичностью. Данные о доле в структуре дерматологических заболеваний отсутствуют (вероятно - из-за редкости патологии). Актуальность проблемы определяется осложнениями псевдосирингомиелитической акропатии, которые существенно снижают качество жизни пациентов, высокой частотой диагностических ошибок, обусловленных спорадичным характером патологии, а также возможностью перерождения в плоскоклеточный рак кожи при длительном отсутствии терапии.
Псевдосирингомиелитическая акропатия имеет яркую гендерную окраску, обычно страдают мужчины старше 40 лет. Болезнь возникает в любое время года, но обостряется в зимний период, не обладает эндемичностью. Данные о доле в структуре дерматологических заболеваний отсутствуют (вероятно - из-за редкости патологии). Актуальность проблемы определяется осложнениями псевдосирингомиелитической акропатии, которые существенно снижают качество жизни пациентов, высокой частотой диагностических ошибок, обусловленных спорадичным характером патологии, а также возможностью перерождения в плоскоклеточный рак кожи при длительном отсутствии терапии.
Причины
В современной дерматологии существует разделение псевдосирингомиелитической акропатии на два варианта. Различают:
• Врождённую семейную форму. Генодерматоз, который характеризуется расстройством всех видов чувствительности на ногах и трофическими нарушениями, обусловленными недоразвитием задних и боковых столбов нижней части спинного мозга.
• Приобретённую несемейную форму, проявляющуюся трофическими язвами кожи нижних конечностей на фоне хронической алкогольной полиневропатии.
Этиология семейной формы заболевания ясна - это генодерматоз, наследуемый по рецессивному или доминантному типу и сочетающийся с другими врождёнными аномалиями. Причина развития и патогенез приобретённой формы заболевания до конца не выяснены. Большинство дерматологов, отдавая приоритет в развитии патологического процесса изменениям в вегетативной нервной системе и хронической алкогольной интоксикации нервных клеток, считают, что триггерами кожного процесса при данной патологии являются экзогенные факторы (переохлаждение кожи, травмы, ношение неудобной тесной обуви) на фоне постоянно существующих эндогенных причин (токсические заболевания печени, авитаминоз, нарушение метаболических процессов).
Механизм развития заключается в нарушении трофики кожных покровов в результате алкогольной полиневропатии. У пациентов, страдающих хроническим алкоголизмом, в результате токсического действия алкоголя на нервные окончания возникают обменные расстройства в периферической и центральной нервной системе, что приводит к сбоям в работе вегетативной нервной системы. При алкогольной нейропатии нарушается сенсорная функция периферических нервов, в результате пациент начинает извращённо ощущать температуру окружающей среды, травмы, потёртости на ногах от неудобной обуви.
• Врождённую семейную форму. Генодерматоз, который характеризуется расстройством всех видов чувствительности на ногах и трофическими нарушениями, обусловленными недоразвитием задних и боковых столбов нижней части спинного мозга.
• Приобретённую несемейную форму, проявляющуюся трофическими язвами кожи нижних конечностей на фоне хронической алкогольной полиневропатии.
Этиология семейной формы заболевания ясна - это генодерматоз, наследуемый по рецессивному или доминантному типу и сочетающийся с другими врождёнными аномалиями. Причина развития и патогенез приобретённой формы заболевания до конца не выяснены. Большинство дерматологов, отдавая приоритет в развитии патологического процесса изменениям в вегетативной нервной системе и хронической алкогольной интоксикации нервных клеток, считают, что триггерами кожного процесса при данной патологии являются экзогенные факторы (переохлаждение кожи, травмы, ношение неудобной тесной обуви) на фоне постоянно существующих эндогенных причин (токсические заболевания печени, авитаминоз, нарушение метаболических процессов).
Механизм развития заключается в нарушении трофики кожных покровов в результате алкогольной полиневропатии. У пациентов, страдающих хроническим алкоголизмом, в результате токсического действия алкоголя на нервные окончания возникают обменные расстройства в периферической и центральной нервной системе, что приводит к сбоям в работе вегетативной нервной системы. При алкогольной нейропатии нарушается сенсорная функция периферических нервов, в результате пациент начинает извращённо ощущать температуру окружающей среды, травмы, потёртости на ногах от неудобной обуви.
Классификация
Процесс усугубляет недостаток витамина В1, обусловленный патологическими изменениями в пищеварительном тракте. Поскольку В1 является антиоксидантом, участвующим в передаче нервных импульсов, его низкие показатели приводят к необратимым трофическим изменениям. Параллельно в организме пациентов, часто имеющих неблагоприятную наследственность по ряду ферментов, происходит накопление ацетальдегида - промежуточного продукта распада этанола, который окончательно разрушает нервные окончания.
Клиническая картина
При врождённой патологии преобладают уродства в виде деформации костей, уменьшения размера стопы и дефектов позвоночника. Возможна висцеральная патология при отсутствии вегетативных нарушений. Неврологически отмечается сохранение только глубокой чувствительности. Кожные и костные проявления врождённой и приобретённой патологии идентичны.
Псевдосирингомиелитическая несемейная акропатия начинается с появления на обеих ногах очагов подошвенного гиперкератоза в точках опоры стопы на фоне гипергидроза. Очаг гиперкератоза с течением времени становится диффузным, на границе между здоровой и пораженной кожей появляется красноватый ободок. Возникают веррукозные разрастания. Тыл стопы никогда не вовлекается в процесс. Пальцы на ноге становятся похожими на «барабанные палочки», ногти приобретают вид «часовых стёкол».
Из-за трофических нарушений и бактериальных поражений, обусловленных повышенной потливостью, на подошвах образуются эллипсовидные безболезненные глубокие изъязвления синюшного оттенка с плотными ровными краями и некротизированным дном. Отделяемое язв гнойное, при глубоком проникновении в кожу (до кости) - с костными секвестрами. Со временем к изъязвлению присоединяются отёк стопы в результате нарушения симпатической иннервации, цианоз и остеолиз дистальных отделов.
Стопа деформируется, движения в суставах ограничиваются. Нарушается корешковая чувствительность, исчезают ахилловы рефлексы. Температурная и болевая чувствительность сохранены, тонус мышц снижен. Таким образом, формируется характерная для псевдосирингомиелитической акропатии триада симптомов: вялое акроизъязвление, остеопороз и деструкция костей стоп, полинейропатия с частичной или полной потерей температурной чувствительности.
Ассоциированные симптомы: Пальцы - барабанные палочки. Потливость.
Псевдосирингомиелитическая несемейная акропатия начинается с появления на обеих ногах очагов подошвенного гиперкератоза в точках опоры стопы на фоне гипергидроза. Очаг гиперкератоза с течением времени становится диффузным, на границе между здоровой и пораженной кожей появляется красноватый ободок. Возникают веррукозные разрастания. Тыл стопы никогда не вовлекается в процесс. Пальцы на ноге становятся похожими на «барабанные палочки», ногти приобретают вид «часовых стёкол».
Из-за трофических нарушений и бактериальных поражений, обусловленных повышенной потливостью, на подошвах образуются эллипсовидные безболезненные глубокие изъязвления синюшного оттенка с плотными ровными краями и некротизированным дном. Отделяемое язв гнойное, при глубоком проникновении в кожу (до кости) - с костными секвестрами. Со временем к изъязвлению присоединяются отёк стопы в результате нарушения симпатической иннервации, цианоз и остеолиз дистальных отделов.
Стопа деформируется, движения в суставах ограничиваются. Нарушается корешковая чувствительность, исчезают ахилловы рефлексы. Температурная и болевая чувствительность сохранены, тонус мышц снижен. Таким образом, формируется характерная для псевдосирингомиелитической акропатии триада симптомов: вялое акроизъязвление, остеопороз и деструкция костей стоп, полинейропатия с частичной или полной потерей температурной чувствительности.
Ассоциированные симптомы: Пальцы - барабанные палочки. Потливость.
Диагностика
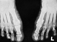
Клинический диагноз выставляет дерматолог на основании анамнеза, характерных симптомов псевдосирингомиелитической акропатии, результатов морфологических исследований и данных рентгеновского обследования, при проведении которого обнаруживаются явления прогрессирующего артрита, «наползание» костей друг на друга, вывихи, переломы и участки деструкции костей стоп. Гистологически отмечается развитие фиброза в симпатических узлах поясничного отдела позвоночника и нарушения в задних отделах спинного мозга.
Дифференциальная диагностика
Дифференцируют псевдосирингомиелитическую акропатию с сирингомиелией, спинной сухоткой, диабетической макроангиопатией и полинейропатией, лепрой, облитерирующим эндартериитом, акросклеротической формой склеродермии и невральной амиотрофией.
Лечение
Пациентов с псевдосирингомиелитической акропатией нужно лечить коллегиально, с участием не только дерматолога, но и невролога, хирурга, ортопеда, гастроэнтеролога, реабилитолога, физиотерапевта и радиолога. К сожалению, достаточно эффективных методов терапии на современном этапе не существует, патологический процесс отличается высокой резистентностью к проводимой симптоматической терапии. При обострениях показана госпитализация с иммобилизацией поражённой конечности.
В процессе терапии псевдосирингомиелитической акропатии используют антигипертензивные и антибактериальные средства, ганглиоблокаторы, симпатолитики, эндотелиопротекторы, антиоксиданты, препараты для улучшения микроциркуляции крови, адаптогены, витамины группы В, А и Е. Показаны новокаиновые паравертебральные блокады пояснично-крестцового отдела позвоночника, при необходимости - симпатэктомия, удаление секвестров. Отмечается положительный эффект гипербарической оксигенации.
Местно применяют антисептические повязки, растворы анилиновых красителей и противовоспалительные мази. Длительно незаживающие язвы с мутиляцией дистальных фаланг пальцев стоп подлежат хирургической ампутации. Неэффективность комплексной терапии является показанием к применению глубокой рентгенотерапии на область поясничных симпатических узлов. Многим пациентам рекомендуется пользоваться ортопедической обувью.
В процессе терапии псевдосирингомиелитической акропатии используют антигипертензивные и антибактериальные средства, ганглиоблокаторы, симпатолитики, эндотелиопротекторы, антиоксиданты, препараты для улучшения микроциркуляции крови, адаптогены, витамины группы В, А и Е. Показаны новокаиновые паравертебральные блокады пояснично-крестцового отдела позвоночника, при необходимости - симпатэктомия, удаление секвестров. Отмечается положительный эффект гипербарической оксигенации.
Местно применяют антисептические повязки, растворы анилиновых красителей и противовоспалительные мази. Длительно незаживающие язвы с мутиляцией дистальных фаланг пальцев стоп подлежат хирургической ампутации. Неэффективность комплексной терапии является показанием к применению глубокой рентгенотерапии на область поясничных симпатических узлов. Многим пациентам рекомендуется пользоваться ортопедической обувью.
|
|