Другие названия и синонимы
Hormone-inactive adrenal tumors.
МКБ-10 коды
|
|
Описание
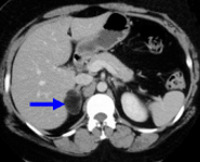
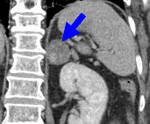
Гормонально. Неактивные опухоли надпочечников (инциденталомы) - различные новообразования надпочечников, не секретирующие гормоны и не приводящие к гормональным нарушениям. Доброкачественные инциденталомы протекают бессимптомно; злокачественные новообразования проявляются интоксикационным синдромом, увеличением объема живота. Диагностика опухолей надпочечников проводится с помощью УЗИ, КТ желез, селективной ангиографии, тонкоигольной аспирационной биопсии, сцинтиграфии. При инциденталомах малого размера может осуществляться динамическое наблюдение; получение данных за злокачественный характер опухоли служит основанием для адреналэктомии.
Дополнительные факты
Гормонально-неактивные опухоли надпочечников чаще всего являются случайными находками в эндокринологии. Частота выявления инциденталом составляет 1,5-8,7% от всех опухолей надпочечников. Инциденталомы обычно диагностируются в возрасте 30-60 лет, преимущественно у женщин. В 60 % наблюдений опухоли обнаруживаются в левом надпочечнике, в 3-4% случаев имеют двустороннюю локализацию. На долю рака коры надпочечников приходится 0,02-0,04% случаев всех злокачественных опухолей.
В отличие от гормонопродуцирующих опухолей (альдостеромы, кортикостеромы, феохромоцитомы, феминизирующих или вирилизирующих опухолей), инциденталомы не приводят к развитию специфических клинических проявлений (гиперальдостеронизма, гиперкортицизма, вегетативных кризов, эстроген-генитального и андроген-генитального синдромов).
В отличие от гормонопродуцирующих опухолей (альдостеромы, кортикостеромы, феохромоцитомы, феминизирующих или вирилизирующих опухолей), инциденталомы не приводят к развитию специфических клинических проявлений (гиперальдостеронизма, гиперкортицизма, вегетативных кризов, эстроген-генитального и андроген-генитального синдромов).
Классификация
Гормонально-неактивные опухоли надпочечников могут быть доброкачественными и злокачественными, иметь первичное или вторичное (метастатическое) происхождение. С учетом гистогенеза выделяют первичные эпителиальные инциденталомы коркового вещества (аденомы, карциномы), мезенхимальные новообразования (липомы, миелолипомы, фибромы, гамартромы, ангиомы), опухоли мозгового слоя надпочечника (ганглиомы, нейробластомы, ганглионевромы, симпатогониомы и тд ). Среди сравнительно редких гормонально-неактивных опухолей надпочечников встречаются псевдокисты, ретенционные и паразитические кисты надпочечников.
Первичный рак коры надпочечников классифицируется в соответствии со стадиями TNM.
• Т1 - опухоль относительно малых размеров - до 5 см.
• Т2 - опухоль относительно больших размеров - более 5 см.
• ТЗ - опухоль любого размера с прорастанием в окружающие ткани.
• Т4 - опухоль любого размера с инвазией в органы брюшной полости и забрюшинного пространства (печень, поджелудочную железу, почки, нижнюю полую вену и тд ).
• N0 - отсутствуют увеличенные лимфатические узлы.
• N1 - обнаруживаются метастазы в паракавальные и парааоротальные лимфоузлы.
• МО - отсутствуют отдаленные метастазов М1 - выявляются отдаленные метастазы в легкие, головной мозг, костную систему, ЖКТ, почки, матку, печень.
Вторичные злокачественные опухоли надпочечников чаще всего являются метастазами рака легких, щитовидной железы, молочной железы, почек, толстой кишки, меланомы, лимфомы и тд и встречаются в 8-13% случаев.
Первичный рак коры надпочечников классифицируется в соответствии со стадиями TNM.
• Т1 - опухоль относительно малых размеров - до 5 см.
• Т2 - опухоль относительно больших размеров - более 5 см.
• ТЗ - опухоль любого размера с прорастанием в окружающие ткани.
• Т4 - опухоль любого размера с инвазией в органы брюшной полости и забрюшинного пространства (печень, поджелудочную железу, почки, нижнюю полую вену и тд ).
• N0 - отсутствуют увеличенные лимфатические узлы.
• N1 - обнаруживаются метастазы в паракавальные и парааоротальные лимфоузлы.
• МО - отсутствуют отдаленные метастазов М1 - выявляются отдаленные метастазы в легкие, головной мозг, костную систему, ЖКТ, почки, матку, печень.
Вторичные злокачественные опухоли надпочечников чаще всего являются метастазами рака легких, щитовидной железы, молочной железы, почек, толстой кишки, меланомы, лимфомы и тд и встречаются в 8-13% случаев.
Клиническая картина
Инциденталомы, имеющие малые размеры, обычно являются «клинически немыми», не дают клинической симптоматики и не нарушают функцию надпочечников. Некоторые из этих опухолей секретируют незначительное количество гормонов, недостаточное для развития клинических синдромов. Инциденталомы часто сопутствуют таким заболеваниям, как сахарный диабет, ожирение, артериальная гипертензия.
Ассоциированные симптомы: Гематурия.
Ассоциированные симптомы: Гематурия.
Диагностика
Чаще всего инциденталомы диагностируются в процессе визуализирующих исследований брюшной полости и забрюшинного пространства (УЗИ, КТ, МРТ), выполняемых по поводу других заболеваний.
При выявлении того или иного опухолевого образования надпочечников на следующем этапе уточняется его гормональная активность и гистологическая структура. С этой целью выполняется определение базального уровня гормонов надпочечников (кортизола, альдостерона, эстрогенов, андрогенов, катехоламинов) и их содержания в крови в ответ на стимулирующие пробы. Кроме гормональных тестов, при выявлении инциденталом проводится исследование уровня калия крови (для исключения гиперальдостеронизма), дегидроэпиандростерон сульфата - маркера секреции андрогенов.
В рамках диагностики инциденталом выполняется селективная ангиография (артериография, флебография), доплерография надпочечников, радионуклидная сцинтиграфия, экскреторная урография. Вопрос о тактике лечения при случайных инциденталомах решается по результатам тонкоигольной аспирационной биопсии надпочечника. Несмотря на высокую информативность биопсии, применение ее ограничено в связи с высокой вероятностью развития осложнений (гемоторакса, пневмоторакса, кровотечения, гематурии, гематомы почечной или печеночной паренхимы, панкреатита, инфекции ).
При выявлении того или иного опухолевого образования надпочечников на следующем этапе уточняется его гормональная активность и гистологическая структура. С этой целью выполняется определение базального уровня гормонов надпочечников (кортизола, альдостерона, эстрогенов, андрогенов, катехоламинов) и их содержания в крови в ответ на стимулирующие пробы. Кроме гормональных тестов, при выявлении инциденталом проводится исследование уровня калия крови (для исключения гиперальдостеронизма), дегидроэпиандростерон сульфата - маркера секреции андрогенов.
В рамках диагностики инциденталом выполняется селективная ангиография (артериография, флебография), доплерография надпочечников, радионуклидная сцинтиграфия, экскреторная урография. Вопрос о тактике лечения при случайных инциденталомах решается по результатам тонкоигольной аспирационной биопсии надпочечника. Несмотря на высокую информативность биопсии, применение ее ограничено в связи с высокой вероятностью развития осложнений (гемоторакса, пневмоторакса, кровотечения, гематурии, гематомы почечной или печеночной паренхимы, панкреатита, инфекции ).
Лечение
Лечебная тактика в отношении инциденталом определяется дифференцированно. При доказанном доброкачественном характере новообразования, нормальном уровне гормонов, отсутствии субклинических проявлений и малых размерах опухоли (менее 3 см) за пациентом может устанавливаться динамическое наблюдение эндокринолога.
Хирургическому удалению подлежат доброкачественные инциденталомы надпочечников диаметром свыше 3 даже при отсутствии их гормональной активности. Опухоли с признаками злокачественного роста (быстрое увеличение размеров, неровность контуров, неоднородность ткани, микрокальцинаты, обильная васкуляризация, наличие атипичных клеток в аспирате и тд ) также являются показанием к оперативному лечению. При гормонально-неактивных опухолях надпочечников может выполняться односторонняя адреналэктомия ( лапароскопическая), при поражении обеих желез - двустороннее удаление надпочечников.
При неоперабельных злокачественных опухолях надпочечников показано химиолучевое лечение.
Хирургическому удалению подлежат доброкачественные инциденталомы надпочечников диаметром свыше 3 даже при отсутствии их гормональной активности. Опухоли с признаками злокачественного роста (быстрое увеличение размеров, неровность контуров, неоднородность ткани, микрокальцинаты, обильная васкуляризация, наличие атипичных клеток в аспирате и тд ) также являются показанием к оперативному лечению. При гормонально-неактивных опухолях надпочечников может выполняться односторонняя адреналэктомия ( лапароскопическая), при поражении обеих желез - двустороннее удаление надпочечников.
При неоперабельных злокачественных опухолях надпочечников показано химиолучевое лечение.
Связанные клинические рекомендации
Связанные стандарты мед. помощи
- Стандарт специализированной медицинской помощи при новообразованиях гипофиза
- Стандарт специализированной медицинской помощи детям при нарушениях формирования пола
- Стандарт специализированной медицинской помощи детям при преждевременном половом созревании
- Стандарт первичной медико-санитарной помощи детям при преждевременном половом созревании, в том числе вторичного генеза