Другие названия и синонимы
Empyema of the gallbladder.
МКБ-10 коды
- МКБ-10
- K81.0 Острый холецистит
|
|
Описание
Эмпиема желчного пузыря. Накопление в полости желчного пузыря большого количества гнойного содержимого, происходящее при участии бактериальной инфекции на фоне обтурации пузырного протока. Проявляется сильными болями, повышением температуры до высоких цифр, симптомами интоксикации. Диагноз устанавливают на основе физикальных данных, УЗИ печени и желчного пузыря, показателей лабораторных исследований (общего и биохимического анализа крови, посевов крови и содержимого желчного пузыря). Лечение эмпиемы желчного пузыря хирургическое с обязательным назначением антибактериальных препаратов до и после оперативного вмешательства.
Дополнительные факты
Эмпиема желчного пузыря - это одно из осложнений острого холецистита, характеризующееся накоплением в полости желчного пузыря большого количества гнойного экссудата; часто сопровождается непроходимостью желчевыводящих путей. В отличие от гнойного холецистита, при котором гнойно-воспалительный процесс развивается на фоне ишемии стенки желчного пузыря без обтурации протока, эмпиема формируется при нарушенном оттоке желчи. Приблизительно 5-15% случаев острого холецистита могут заканчиваться таким грозным осложнением. Чаще всего данное состояние возникает у пациентов с желчнокаменной болезнью, опухолями желчного пузыря и холедоха. Болеют преимущественно женщины среднего возраста с избытком массы тела, сопутствующими заболеваниями. Поскольку калькулезный холецистит достаточно широко распространен, то и эмпиема желчного пузыря, как его осложнение, является актуальной проблемой, тем более что без немедленной хирургической помощи возможен летальный исход.
Причины
Главной причиной эмпиемы желчного пузыря является калькулезный или некалькулезный холецистит. Иногда патология возникает при злокачественных опухолях, которые полностью или частично перекрывают холедох, а также при раке желчного пузыря. Важным фактором развития эмпиемы является бактериальная инфекция. Чаще всего ее вызывают такие возбудители, как кишечная палочка, клостридии, стафилококк, синегнойная палочка, клебсиелла.
Существует несколько групп пациентов, которые больше предрасположены к развитию эмпиемы желчного пузыря, чем другие. Это пациенты с сахарным диабетом, люди со значительным избытком массы тела, врожденными гемоглобинопатиями и разного рода иммунодефицитами.
Механизм развития эмпиемы желчного пузыря состоит из нескольких этапов. В норме продуцируемая печенью желчь попадает в желчный пузырь, затем часть ее выводится в двенадцатиперстную кишку и принимает участие в процессе пищеварения. Остальная часть резорбируется стенками желчного пузыря. При формировании воспаления в полости желчного пузыря появляется экссудат, а поглощающие способности его стенок резко снижаются. Кроме того, камни либо опухоли могут перекрывать выход в холедох или его просвет. В результате в желчном пузыре накапливается жидкость, стенки его растягиваются, из просвета кишечника в пузырь попадают бактерии. Воспалительный процесс из серозной стадии переходит в гнойную, а обтурация холедоха препятствует выведению накопившейся желчи и экссудата. Дальнейшее растяжение желчного пузыря может привести к атрофии его стенок, разрывам, развитию гангрены.
Существует несколько групп пациентов, которые больше предрасположены к развитию эмпиемы желчного пузыря, чем другие. Это пациенты с сахарным диабетом, люди со значительным избытком массы тела, врожденными гемоглобинопатиями и разного рода иммунодефицитами.
Механизм развития эмпиемы желчного пузыря состоит из нескольких этапов. В норме продуцируемая печенью желчь попадает в желчный пузырь, затем часть ее выводится в двенадцатиперстную кишку и принимает участие в процессе пищеварения. Остальная часть резорбируется стенками желчного пузыря. При формировании воспаления в полости желчного пузыря появляется экссудат, а поглощающие способности его стенок резко снижаются. Кроме того, камни либо опухоли могут перекрывать выход в холедох или его просвет. В результате в желчном пузыре накапливается жидкость, стенки его растягиваются, из просвета кишечника в пузырь попадают бактерии. Воспалительный процесс из серозной стадии переходит в гнойную, а обтурация холедоха препятствует выведению накопившейся желчи и экссудата. Дальнейшее растяжение желчного пузыря может привести к атрофии его стенок, разрывам, развитию гангрены.
Клиническая картина
Основными клиническими проявлениями эмпиемы желчного пузыря являются интенсивная резкая боль в области правого подреберья, значительное повышение температуры, интоксикация. Они могут развиваться на фоне менее выраженных симптомов острого холецистита. О том, что холецистит осложнился эмпиемой, может свидетельствовать значительное усиление боли, повышение температуры до 39-40 градусов, иногда появление или увеличение желтушности склер и слизистых, резкая общая слабость, тошнота, рвота.
Дифференциальная диагностика
Дифференцировать эмпиему желчного пузыря нужно с холангитом и другими формами острого холецистита (гангренозной, гнойной ).
При пальпации живота в правом подреберье можно легко определить увеличенный в размерах и напряженный желчный пузырь, не имеющий склонности к уменьшению. Сама пальпация очень болезненная. Следует заметить, что у пациентов с сахарным диабетом симптомы заболевания могут быть стертыми. Поэтому при малейших признаках острого или обострениях хронического холецистита таких больных следует направить в хирургическое отделение для наблюдения, детального обследования и определения тактики лечения.
Эмпиема желчного пузыря опасна из-за многих осложнений. Значительное растяжение и атрофия стенок ведут к прободению желчного пузыря. Перфорация может быть прикрытой или полной. При полной перфорации быстро формируется перитонит. При попадании инфекции в кровяное русло развивается генерализированный сепсис с очень неблагоприятным исходом. К послеоперационным осложнениям эмпиемы желчного пузыря относятся раневая инфекция, разного рода кровотечения, повреждение холедоха, подпеченочный абсцесс.
При пальпации живота в правом подреберье можно легко определить увеличенный в размерах и напряженный желчный пузырь, не имеющий склонности к уменьшению. Сама пальпация очень болезненная. Следует заметить, что у пациентов с сахарным диабетом симптомы заболевания могут быть стертыми. Поэтому при малейших признаках острого или обострениях хронического холецистита таких больных следует направить в хирургическое отделение для наблюдения, детального обследования и определения тактики лечения.
Эмпиема желчного пузыря опасна из-за многих осложнений. Значительное растяжение и атрофия стенок ведут к прободению желчного пузыря. Перфорация может быть прикрытой или полной. При полной перфорации быстро формируется перитонит. При попадании инфекции в кровяное русло развивается генерализированный сепсис с очень неблагоприятным исходом. К послеоперационным осложнениям эмпиемы желчного пузыря относятся раневая инфекция, разного рода кровотечения, повреждение холедоха, подпеченочный абсцесс.
Диагностика
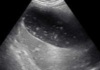
Для подтверждения диагноза в первую очередь осуществляют УЗИ желчного пузыря. Эхогенная картина не слишком специфична и достаточно изменчива. На мониторе можно увидеть изменение структуры, толщины стенок, значительное увеличение объема пузыря. Внутри органа визуализируется скопление желчи, возможно с газовыми пузырьками, неоднородным осадком, хлопьями. В перипузырном пространстве обнаруживается выпот и скопление жидкости.
Также необходимо провести лабораторную диагностику. В общем анализе крови можно обнаружить значительное увеличение СОЭ, повышение числа лейкоцитов, сдвиг лейкоцитарной формулы влево. Биохимические пробы печени при эмпиеме желчного пузыря часто остаются в пределах нормы, за исключением тех случаев, когда заболевание сопровождается значительной обструкцией. Тогда в крови повышается уровень билирубина, иногда щелочной фосфатазы.
Для того чтобы скорректировать антибактериальную терапию, после проведенной операции выполняют бактериологическое исследование содержимого желчного пузыря. Часто в крови больных выявляется бактериемия, которая может быть признаком сепсиса или угрозы его возникновения.
Также необходимо провести лабораторную диагностику. В общем анализе крови можно обнаружить значительное увеличение СОЭ, повышение числа лейкоцитов, сдвиг лейкоцитарной формулы влево. Биохимические пробы печени при эмпиеме желчного пузыря часто остаются в пределах нормы, за исключением тех случаев, когда заболевание сопровождается значительной обструкцией. Тогда в крови повышается уровень билирубина, иногда щелочной фосфатазы.
Для того чтобы скорректировать антибактериальную терапию, после проведенной операции выполняют бактериологическое исследование содержимого желчного пузыря. Часто в крови больных выявляется бактериемия, которая может быть признаком сепсиса или угрозы его возникновения.
Лечение
Основная цель лечения эмпиемы желчного пузыря - предотвращение возможных осложнений и удаление пораженного органа. При этой патологии показана холецистэктомия. Перед операцией желательно стабилизировать гемодинамические показатели больного, провести дезинтоксикационную терапию. Обязательно внутривенно назначают антибиотики. Если состояние пациента тяжелое, и операцию в ближайшие часы провести не удается, осуществляют декомпрессию желчного пузыря путем постановки чреспеченочного дренажа под четким рентгенологическим контролем.
В послеоперационном периоде продолжают антибиотикотерапию с учетом чувствительности патогенной флоры до полной нормализации уровня лейкоцитов в крови. Сначала препараты вводят внутривенно, затем можно перевести больного на пероральный прием. При необходимости антибактериальную терапию продолжают и после выписки пациента из стационара.
Основа профилактики эмпиемы желчного пузыря - своевременное выявление и лечение желчнокаменной болезни, хронического холецистита. Пациентам с сахарным диабетом, гемоглобинопатиями, иммунодефицитами нужно периодически проходить плановые медицинские осмотры, которые включают УЗИ органов брюшной полости, УЗИ печени и желчного пузыря.
В послеоперационном периоде продолжают антибиотикотерапию с учетом чувствительности патогенной флоры до полной нормализации уровня лейкоцитов в крови. Сначала препараты вводят внутривенно, затем можно перевести больного на пероральный прием. При необходимости антибактериальную терапию продолжают и после выписки пациента из стационара.
Основа профилактики эмпиемы желчного пузыря - своевременное выявление и лечение желчнокаменной болезни, хронического холецистита. Пациентам с сахарным диабетом, гемоглобинопатиями, иммунодефицитами нужно периодически проходить плановые медицинские осмотры, которые включают УЗИ органов брюшной полости, УЗИ печени и желчного пузыря.
|
|