Другие названия и синонимы
Dropsy of the gallbladder.
МКБ-10 коды
|
|
Описание
Водянка желчного пузыря. Невоспалительное заболевание, вызванное частичной или полной непроходимостью пузырного протока, вследствие чего в желчном пузыре накапливается слизь и экссудат. Водянка желчного пузыря формируется длительно, симптомы долгое время могут отсутствовать. Скопление большого количества содержимого вызывает увеличение пузыря в размерах, растяжение и истончение его стенок, болевой синдром, осложненное течение (кровотечение, перитонит). Для диагностики проводится рентгенологическое, ультразвуковое исследование, КТ органов брюшной полости, ЭРХПГ и лапароскопия. Лечение хирургическое - холецистэктомия.
Дополнительные факты
Водянка желчного пузыря - вторичное заболевание гепатобилиарной системы, характеризующееся скоплением невоспалительного жидкостного содержимого в желчном пузыре. При миграции камня желчного пузыря в его проток, сдавлении дуктальных путей опухолью, рубцовой тканью или спайками, врожденном искривлении протока желчный пузырь исключается из путей оттока желчи, перестает выполнять свою функцию. Иногда возникновению водянки может предшествовать приступ холецистита, но чаще всего эта патология развивается вне воспалительной фазы заболеваний желчного пузыря. Опасность водянки желчного пузыря заключается в том, что она формируется постепенно, исподволь, не вызывая у пациента выраженного дискомфорта. Однако значительное перерастяжение пузыря может привести к его разрыву с последующим развитием перитонита. При своевременной диагностике и лечении прогноз заболевания благоприятный, после операции наступает полное излечение.
Клиническая картина
Ассоциированные симптомы: Боль в желчном пузыре.
Причины
Основная причина, по которой формируется водянка желчного пузыря, это прекращение пассажа желчи из пузыря в общий желчный проток. Нарушение оттока желчи может наступить по разным причинам - при закупорке пузырного протока камнем у больного ЖКБ, врожденных особенностях его строения (патологической извитости, изгибах), формировании рубцовых стриктур, сдавлении извне. Основной предпосылкой к нарушению пассажа желчи по протоку является его строение - он расположен в толще печеночно-дуоденальной связки, со всех сторон окружен рыхлой соединительной тканью. Сам проток очень тонкий, диаметр его не более 3 а длина может колебаться от трех до семи сантиметров. Такое строение предусматривает достаточно быструю обструкцию просвета при любых патологических состояниях.
Мнения исследователей по поводу инфекционного начала заболевания расходятся. Так, при исследовании патологического содержимого желчного пузыря признаков инфекции обычно не обнаруживается. В то же время, эксперименты ряда специалистов по перевязке пузырного протока приводили лишь к атрофии желчного пузыря и никогда - к водянке. Таким образом, нельзя говорить о том, что для формирования водянки желчного пузыря решающее значение имеет обструкция протока, определенную роль играет и предшествующая хроническая инфекция (холецистит).
Если водянка желчного пузыря сформировалась после первого приступа желчной колики, процесс поступления желчи в пузырь и его опорожнения нарушается. Желчь, оставшаяся в полости пузыря после обтурации протока, постепенно всасывается, а пузырный эпителий начинает активно продуцировать слизь и экссудат, которые накапливаются и растягивают желчный пузырь. Стенки его значительно истончаются, однако серозная оболочка при этом не изменяется. Из-за большого количества экссудата пузырь растягивается в длину, сначала приобретая форму огурца, затем он начинает расширяться в области дна, принимая грушевидную форму. После неоднократных приступов холецистита стенки водяночного пузыря утолщаются, складки слизистой становятся плотными, а слои рыхлыми.
Мнения исследователей по поводу инфекционного начала заболевания расходятся. Так, при исследовании патологического содержимого желчного пузыря признаков инфекции обычно не обнаруживается. В то же время, эксперименты ряда специалистов по перевязке пузырного протока приводили лишь к атрофии желчного пузыря и никогда - к водянке. Таким образом, нельзя говорить о том, что для формирования водянки желчного пузыря решающее значение имеет обструкция протока, определенную роль играет и предшествующая хроническая инфекция (холецистит).
Если водянка желчного пузыря сформировалась после первого приступа желчной колики, процесс поступления желчи в пузырь и его опорожнения нарушается. Желчь, оставшаяся в полости пузыря после обтурации протока, постепенно всасывается, а пузырный эпителий начинает активно продуцировать слизь и экссудат, которые накапливаются и растягивают желчный пузырь. Стенки его значительно истончаются, однако серозная оболочка при этом не изменяется. Из-за большого количества экссудата пузырь растягивается в длину, сначала приобретая форму огурца, затем он начинает расширяться в области дна, принимая грушевидную форму. После неоднократных приступов холецистита стенки водяночного пузыря утолщаются, складки слизистой становятся плотными, а слои рыхлыми.
Диагностика
Установить правильный диагноз, подтвердить наличие водянки желчного пузыря и исключить другую патологию гепатобилиарной системы позволяет консультация гастроэнтеролога и дополнительное обследование. В общих и биохимических анализах крови при неосложненном течении заболевания изменений обычно нет. Для выявления водянки желчного пузыря наиболее информативны инструментальные методы.
Обзорная рентгенография органов брюшной полости может выявить округлую тень увеличенного желчного пузыря, однако дифференцировать водянку желчного пузыря от конкрементов достаточно сложно. Характерным для водянки является образование углублений на ободочной и двенадцатиперстной кишке, вызванное их сдавлением увеличенным пузырем. При введении контрастного вещества в желчные пути (холецистография, ретроградная холангиопанкреатография) заполняется общий желчный и печеночный протоки, но сам пузырь при этом не контрастируется. Холедохоскопия позволяет обнаружить конкременты в желчных путях, нарушение оттока желчи по пузырному протоку.
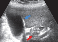
Для выявления водянки желчного пузыря в гастроэнтерологии применяются УЗИ желчного пузыря, магнитно-резонансная панкреатохолангиография, МРТ печени и желчевыводящих путей, КТ желчевыводящих путей, МСКТ органов брюшной полости. При проведении этих методик исследования обнаруживается увеличенный в размерах желчный пузырь с истонченными стенками, неоднородное содержимое в его полости; могут быть конкременты, как в пузыре, так и в желчных путях. Также могут выявляться другие причины обструкции выхода из желчного пузыря: опухоли, спайки, рубцовые стриктуры.
Наиболее информативным методом диагностики водянки желчного пузыря является диагностическая лапароскопия - введенный в брюшную полость лапароскоп позволяет увидеть желчный пузырь, стенки которого истончены, не воспалены, через них просматривается белесоватое содержимое. При обнаружении водянки больших размеров во время исследования производится удаление измененного желчного пузыря.
Обзорная рентгенография органов брюшной полости может выявить округлую тень увеличенного желчного пузыря, однако дифференцировать водянку желчного пузыря от конкрементов достаточно сложно. Характерным для водянки является образование углублений на ободочной и двенадцатиперстной кишке, вызванное их сдавлением увеличенным пузырем. При введении контрастного вещества в желчные пути (холецистография, ретроградная холангиопанкреатография) заполняется общий желчный и печеночный протоки, но сам пузырь при этом не контрастируется. Холедохоскопия позволяет обнаружить конкременты в желчных путях, нарушение оттока желчи по пузырному протоку.
Для выявления водянки желчного пузыря в гастроэнтерологии применяются УЗИ желчного пузыря, магнитно-резонансная панкреатохолангиография, МРТ печени и желчевыводящих путей, КТ желчевыводящих путей, МСКТ органов брюшной полости. При проведении этих методик исследования обнаруживается увеличенный в размерах желчный пузырь с истонченными стенками, неоднородное содержимое в его полости; могут быть конкременты, как в пузыре, так и в желчных путях. Также могут выявляться другие причины обструкции выхода из желчного пузыря: опухоли, спайки, рубцовые стриктуры.
Наиболее информативным методом диагностики водянки желчного пузыря является диагностическая лапароскопия - введенный в брюшную полость лапароскоп позволяет увидеть желчный пузырь, стенки которого истончены, не воспалены, через них просматривается белесоватое содержимое. При обнаружении водянки больших размеров во время исследования производится удаление измененного желчного пузыря.
Лечение
Если до выявления водянки желчного пузыря у пациента имелся хронический холецистит, требуется повторная консультация гастроэнтеролога для определения новых симптомов и составления плана лечения. При выявлении водянки желчного пузыря небольших размеров может практиковаться консервативное лечение, во время которого проводится регулярный контроль размеров и состояния желчного пузыря. При больших размерах водянки, отсутствии динамики от консервативного лечения показана операция.
Консультация врача-эндоскописта и хирурга позволяет определиться с тактикой оперативного лечения водянки желчного пузыря: может быть произведена открытая холецистэктомия (в последние годы этот доступ для лечения водянки используется редко) или холецистэктомия из мини-доступа. В настоящее время в большинстве случаев осуществляется лапароскопическая холецистэктомия. После операции удаленный желчный пузырь подвергается гистологическому исследованию. Чаще всего бактериальный посев неинформативен, так как содержимое водяночного мешка обычно стерильно. Морфологическое исследование стенки пузыря зачастую не выявляет воспалительных изменений.
Консультация врача-эндоскописта и хирурга позволяет определиться с тактикой оперативного лечения водянки желчного пузыря: может быть произведена открытая холецистэктомия (в последние годы этот доступ для лечения водянки используется редко) или холецистэктомия из мини-доступа. В настоящее время в большинстве случаев осуществляется лапароскопическая холецистэктомия. После операции удаленный желчный пузырь подвергается гистологическому исследованию. Чаще всего бактериальный посев неинформативен, так как содержимое водяночного мешка обычно стерильно. Морфологическое исследование стенки пузыря зачастую не выявляет воспалительных изменений.
Профилактика
Прогноз заболевания благоприятный при своевременной диагностике и оперативном лечении. Профилактика водянки желчного пузыря заключается в лечении воспалительных заболеваний желчевыводящих путей и пузыря, которые являются первопричиной данной патологии. Рациональная диетотерапия, соблюдение всех рекомендаций гастроэнтеролога позволят свести риск водянки желчного пузыря к минимуму.