Другие названия и синонимы
Echinococcosis of the pancreas.
МКБ-10 коды
|
|
Описание
Эхинококкоз поджелудочной железы. Одна из форм гельминтоза, которая вызывается личинками цепня эхинококка и приводит к образованию паразитарных кист в поджелудочной железе. Заболевание проявляется дискомфортом и болью в эпигастрии, тошнотой, нарушением стула. При сдавлении панкреатических протоков и желчного пузыря возникает иктеричность кожи и склер, обесцвечивание кала, темная окраска мочи. Диагностика основывается на данных серологических тестов, физикального осмотра, УЗИ, КТ, эндосонографии поджелудочной железы. В лечении, наряду с противопаразитарными препаратами, применяют частичное удаление железы с эхинококковым пузырем, закрытую эхинококкэктомию и марсупиализацию кисты.
Дополнительные факты
Эхинококкоз поджелудочной железы - заболевание, обусловленное проникновением и паразитированием ленточного червя Echinococcus с формированием в паренхиме органа одной или нескольких кистозных полостей. Изолированное поражение железы встречается редко, чаще оно сочетается с паразитарной инвазией других органов. Распространённость эхинококкоза панкреас составляет 0,25-2 % среди всех заболеваний, вызванных эхинококком. Патология чаще встречается в странах с пастбищным скотоводством, особенно там, где используют собак для охраны животных (Уругвай, Аргентина, Ливия, Австралия). В РФ эхинококкоз регистрируется преимущественно в районах овцеводства (Урал, Поволжье, Северный Кавказ и тд ).
Причины
Передача инфекции человеку происходит от окончательного хозяина (собак, волков, шакалов и тд ). Личинки эхинококка (лавроцисты), находящиеся в тонком кишечнике животных, с испражнениями попадают в окружающую среду. Инфицирование людей происходит алиментарным (при использовании в пищу плохо обработанных фруктов, овощей, воды) или контактным способом (во время сбора грибов, ягод, разделки туш или при контакте с зараженными животными). Яйца биогельминта попадают в ЖКТ человека, где теряют свои оболочки, превращаются в зародышей и всасываются в кровь. При этом человек выступает промежуточным хозяином личиночной стадии паразита, не выделяет лавроцисты эхинококка и не является источником инфекции. В группу повышенного риска заболеваемости эхинококкозом входят люди, чьи профессии и занятия связаны со скотоводством и животноводством (охотники, пастухи, мясники и тд ). Известны случаи передачи заболевания от матери плоду плацентарным путем.
Патогенез
Зародыши эхинококка, попав в сосудистое русло, по системе портальной вены проникают в печень. Преодолев печеночный барьер, они направляются по малому кругу кровообращения к легким. Из лёгочных вен паразиты поступают в левое предсердие и затем по большому кругу проникают в поджелудочную железу. Осев в железе, биогельминт видоизменяется и принимает форму двухслойного однокамерного пузыря, полость которого заполнена прозрачной жидкостью со свободно плавающими дочерними пузырьками. Паразитарное образование постепенно растет и может увеличиваться до огромных размеров (20-30 см).
Патогенез эхинококкоза обусловлен сенсибилизирующим и механическим воздействием растущей личинки. Паразитарная киста, увеличиваясь в размерах, сдавливает окружающие ткани, вызывая нарушение кровоснабжения поджелудочной железы, дисфункцию и постепенную атрофию органа. Сенсибилизирующее влияние характеризуется накоплением в организме продуктов жизнедеятельности эхинококка и развитием аллергической реакции немедленного или замедленного типа, которая может проявляться зудом, сыпью или анафилактическим шоком.
Патогенез эхинококкоза обусловлен сенсибилизирующим и механическим воздействием растущей личинки. Паразитарная киста, увеличиваясь в размерах, сдавливает окружающие ткани, вызывая нарушение кровоснабжения поджелудочной железы, дисфункцию и постепенную атрофию органа. Сенсибилизирующее влияние характеризуется накоплением в организме продуктов жизнедеятельности эхинококка и развитием аллергической реакции немедленного или замедленного типа, которая может проявляться зудом, сыпью или анафилактическим шоком.
Классификация
Кисты эхинококка могут быть одиночными или множественными. По величине различают мелкие (до 5 см), средние (до 10 см) и крупные (более 10 см) паразитарные пузыри. По характеру течения патологического процесса в гастроэнтерологии выделяют 2 варианта эхинококкоза поджелудочной железы:
• Гидатидный (пузырный). Возбудителем данной формы является E. granulosus. Гидатидная киста имеет однокамерное строение. Растет быстро, сдавливая ткани поджелудочной железы и вызывая ее дистрофические изменения. Данная форма характерна для стран Средиземноморья, Центральной Азии, Северного Кавказа, Латинской Америки.
• Альвеолярный (альвеококкоз). Вызывается E. multiocularis. Альвеококковые кисты увеличиваются медленно, имеют многокамерное строение, толстостенную оболочку. Заболевание характеризуется злокачественным течением и склонностью к инфильтрирующему прорастанию в ткани и кровеносные сосуды железы. Данная форма эхинококкоза чаще регистрируется в Сибири и на Дальнем Востоке.
• Гидатидный (пузырный). Возбудителем данной формы является E. granulosus. Гидатидная киста имеет однокамерное строение. Растет быстро, сдавливая ткани поджелудочной железы и вызывая ее дистрофические изменения. Данная форма характерна для стран Средиземноморья, Центральной Азии, Северного Кавказа, Латинской Америки.
• Альвеолярный (альвеококкоз). Вызывается E. multiocularis. Альвеококковые кисты увеличиваются медленно, имеют многокамерное строение, толстостенную оболочку. Заболевание характеризуется злокачественным течением и склонностью к инфильтрирующему прорастанию в ткани и кровеносные сосуды железы. Данная форма эхинококкоза чаще регистрируется в Сибири и на Дальнем Востоке.
Клиническая картина
Клинические проявления заболевания зависят от размеров, расположения паразитарной кисты и степени компрессии тканей органа. Наиболее частой локализацией эхинококкоза является головка железы. В этом случае возникает сдавление главного панкреатического или общего желчного протоков с развитием механической желтухи. Пациенты предъявляют жалобы на интенсивные боли в верхней части живота, тошноту, рвоту, желтушность кожных покровов и слизистых оболочек, обесцвечивание кала и темный цвет мочи. При частичной обструкции протоков развивается хронический панкреатит, который протекает с периодами обострения и клинической ремиссии.
Ассоциированные симптомы: Боль в левом подреберье. Кал серовато-белого цвета. Лейкоцитоз. Недомогание. Озноб. Потеря веса. Рвота. Тошнота. Эозинофилия.
Ассоциированные симптомы: Боль в левом подреберье. Кал серовато-белого цвета. Лейкоцитоз. Недомогание. Озноб. Потеря веса. Рвота. Тошнота. Эозинофилия.
Возможные осложнения
Одним из частых осложнений эхинококкоза поджелудочной железы является инфицирование паразитарного пузыря с образованием абсцесса. Прорыв абсцесса поджелудочной железы приводит к проникновению содержимого нагноившейся кисты в полость живота с развитием перитонита. Спонтанный разрыв эхинококкового пузыря в результате удара, падения, резкой физической нагрузки сопровождается распространением личинок в другие органы с образованием множественных очагов эхинококкоза. Помимо этого, при разрыве кисты возникает тяжелая аллергическая реакция вплоть до анафилаксии. Обструкция панкреатического и желчного протоков может привести к холангиту, а длительное сдавление структур железы - к развитию панкреонекроза.
Диагностика
Эхинококкоз панкреас является редким и трудно диагностируемым заболеванием, которое вызывает интерес у врачей различных специальностей (эпидемиологов, хирургов, гастроэнтерологов и тд ). Для верификации диагноза проводятся следующие обследования:
• Осмотр гастроэнтеролога. При сборе анамнеза специалист отмечает нетипичное течение панкреатита, обращает внимание на обострения, не связанные с погрешностями в диете и злоупотреблением алкоголем. При расспросе важную роль играет эпидемиологический анамнез и пребывание больного в эндемичных районах.
• УЗИ поджелудочной железы. Позволяет определить наличие и локализацию кисты, кальцификацию ее стенок. Для дифференциальной диагностики при отсутствии четкой визуализации образования, повышенном газообразовании в кишечнике и большой толщине жировой прослойки проводят эндоскопическую ультрасонографию (ЭУС). Данный метод дает высокую четкость изображения и позволяет увидеть самые недоступные участки органа.
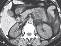
• КТ поджелудочной железы. С помощью томографии определяют точные размеры эхинококкового пузыря, его расположение по отношению к смежным анатомическим структурам. В ходе исследования визуализируется плотная кальцинированная оболочка и мембраны дочерних пузырьков.
• Лабораторные исследования. В ОАК определяется стойкая эозинофилия, лейкоцитоз, ускорение СОЭ. Отмечается положительная реакция Каццони. Серологические реакции (РНГА, ИФА) позволяют выявить в крови антитела к эхинококку.
Тонкоигольная биопсия кисты с цитологическим исследованием проводится редко ввиду высокого риска распространения инфекции по пункционному каналу. Эхинококкоз следует дифференцировать с абсцессом, доброкачественными и злокачественными опухолями поджелудочной железы, кистами непаразитарной этиологии.
• Осмотр гастроэнтеролога. При сборе анамнеза специалист отмечает нетипичное течение панкреатита, обращает внимание на обострения, не связанные с погрешностями в диете и злоупотреблением алкоголем. При расспросе важную роль играет эпидемиологический анамнез и пребывание больного в эндемичных районах.
• УЗИ поджелудочной железы. Позволяет определить наличие и локализацию кисты, кальцификацию ее стенок. Для дифференциальной диагностики при отсутствии четкой визуализации образования, повышенном газообразовании в кишечнике и большой толщине жировой прослойки проводят эндоскопическую ультрасонографию (ЭУС). Данный метод дает высокую четкость изображения и позволяет увидеть самые недоступные участки органа.
• КТ поджелудочной железы. С помощью томографии определяют точные размеры эхинококкового пузыря, его расположение по отношению к смежным анатомическим структурам. В ходе исследования визуализируется плотная кальцинированная оболочка и мембраны дочерних пузырьков.
• Лабораторные исследования. В ОАК определяется стойкая эозинофилия, лейкоцитоз, ускорение СОЭ. Отмечается положительная реакция Каццони. Серологические реакции (РНГА, ИФА) позволяют выявить в крови антитела к эхинококку.
Тонкоигольная биопсия кисты с цитологическим исследованием проводится редко ввиду высокого риска распространения инфекции по пункционному каналу. Эхинококкоз следует дифференцировать с абсцессом, доброкачественными и злокачественными опухолями поджелудочной железы, кистами непаразитарной этиологии.
|
|
Лечение
Наиболее эффективным методом лечения является оперативное вмешательство. Хирургические манипуляции направлены на удаление всех структур кисты, предупреждение диссеминации эхинококка и развития осложнений. При эхинококкозе хвоста поджелудочной железы проводят дистальную резекцию органа вместе с пузырем. При локализации кисты в хвосте или теле и отсутствии сращений с окружающими тканями выполняют закрытую эхинококкэктомию.
Для предотвращения обсеменения брюшной полости на начальном этапе данной операции осуществляется уничтожение сколексов эхинококка и дренирование содержимого пузыря. Для этого в полость кисты тонкой иглой вводят токсичный для эхинококка раствор. Затем осторожно производят эвакуацию содержимого кисты с последующим промыванием полости пузыря гипертоническим раствором NaCL. После полной аспирации пузырной жидкости интенсивно обрабатывают брюшную полость в зоне вмешательства антисептическими средствами.
В отдельных случаях осуществляют марсупиализацию кисты - частичное удаление одной из стенок пузыря и последующее подшивание ее к париетальной брюшине. Для профилактики рецидивов в послеоперационном периоде, а также при небольших размерах паразитарного образования и невозможности выполнения операции (тяжелое состояние пациента, возраст) назначают противопаразитарную терапию.
Для предотвращения обсеменения брюшной полости на начальном этапе данной операции осуществляется уничтожение сколексов эхинококка и дренирование содержимого пузыря. Для этого в полость кисты тонкой иглой вводят токсичный для эхинококка раствор. Затем осторожно производят эвакуацию содержимого кисты с последующим промыванием полости пузыря гипертоническим раствором NaCL. После полной аспирации пузырной жидкости интенсивно обрабатывают брюшную полость в зоне вмешательства антисептическими средствами.
В отдельных случаях осуществляют марсупиализацию кисты - частичное удаление одной из стенок пузыря и последующее подшивание ее к париетальной брюшине. Для профилактики рецидивов в послеоперационном периоде, а также при небольших размерах паразитарного образования и невозможности выполнения операции (тяжелое состояние пациента, возраст) назначают противопаразитарную терапию.
Прогноз
При своевременном обнаружении и лечении эхинококкоза прогноз благоприятный. Инфильтрирующий рост, большие размеры паразитарной кисты, развившиеся осложнения (разрыв, абсцесс кисты) могут являться причиной жизнеугрожающих состояний (анафилаксия, перитонит) вплоть до смертельного исхода.
Профилактика
С целью предупреждения заражения рекомендуется соблюдать правила индивидуальной гигиены (мыть руки, овощи и фрукты перед приемом пищи), применять средства защиты при работе со шкурами и мясом животных. Программы профилактики эхинококкоза включают дегельминтацию домашних животных и бродячих собак, соблюдение санитарных норм на скотобойнях, регулярное обследование на эхинококкоз лиц, входящих в группу риска (охотники, работники мясокомбинатов и тд ).