Другие названия и синонимы
Obstruction of the fallopian tubes.
МКБ-10 коды
|
|
Описание
Непроходимость маточных труб. Закрытие просвета или дисфункция фаллопиевых труб, обусловливающие невозможность перемещения по ним яйцеклетки и сперматозоидов, отсутствие благоприятной среды для оплодотворения и доимплантационного развития зародыша. Непроходимость маточных труб может проявляться бесплодием, синдромом тазовых болей, альгоменореей, белями или развитием внематочной беременности. Диагноз выставляется, основываясь на данных УЗИ органов малого таза, ЭхоГСГ, ГСГ, гистероскопии, лапароскопии, фертилоскопии. При непроходимости маточных труб применяются медикаментозная терапия, хирургическая коррекция, ЭКО.
Дополнительные факты
Непроходимость маточных труб - анатомо-физиологические изменения яйцеводов, нарушающие их функцию: контакт с яичником, процесс зачатия, транспорт неоплодотворенной или оплодотворенной яйцеклетки в полость матки. Тема женского бесплодия в репродуктологии и гинекологии имеет сегодня особую значимость: его первичная форма часто регистрируется у женщин младше 30 лет. Непроходимость маточных труб у бесплодных пациенток выступает как одна из лидирующих (20-30% случаев) и сложных причин этой патологии. Характеризуется стойким контрацептивным эффектом и зачастую требует коррекции причин с привлечением высокотехнологической медпомощи и методов вспомогательной репродукции (ВРТ).
Маточные трубы (яйцеводы) играют важнейшую роль в процессе зачатия, являясь проводниками сперматозоида к яйцеклетке, а созревающего после овуляции ооцита из брюшной полости в матку, создавая комфортные условия для оплодотворения и первых 7-10 суток развития эмбриона. В случае непроходимости просвета маточных труб яйцеклетка не может встретиться со спермием и в неоплодотворенном состоянии гибнет через короткое время, а при оплодотворении задерживается в канале трубы, имплантируясь в ее слизистую оболочку с развитием внематочной беременности.
Маточные трубы (яйцеводы) играют важнейшую роль в процессе зачатия, являясь проводниками сперматозоида к яйцеклетке, а созревающего после овуляции ооцита из брюшной полости в матку, создавая комфортные условия для оплодотворения и первых 7-10 суток развития эмбриона. В случае непроходимости просвета маточных труб яйцеклетка не может встретиться со спермием и в неоплодотворенном состоянии гибнет через короткое время, а при оплодотворении задерживается в канале трубы, имплантируясь в ее слизистую оболочку с развитием внематочной беременности.
Причины
Непроходимость маточных труб систематизируют по стороне поражения (односторонняя, двухсторонняя), уровню закрытия канала, степени обструкции (полная, частичная) и причине развития. Патология может быть связана со структурным изменением яйцеводов (отсутствием, недоразвитостью органа, сужением или закрытием просвета) или физиологическими нарушениями (гипотонусом, ригидностью мышечного слоя, адинамией ресничек, ворсинок-фимбрий, дискоординацией их действий).
Непроходимость маточных труб в основном развивается как следствие других заболеваний репродуктивной сферы. Причинами непроходимости маточных труб могут выступать распространенные специфические и неспецифические инфекционно-воспалительные процессы гениталий, эндометриоз, механические травмы слизистой матки и маточных труб, гидросальпинкс, врожденные аномалии закладки, эмбрио- и постэмбриогенеза маточных труб изолированно или в сочетании с пороками развития матки и влагалища.
ИППП (гонорея, сифилис, хламидиоз, микоплазмоз и тд ), генитальный туберкулез являются самым распространенными факторами, приводящими к изменениям структуры и развитию непроходимости маточных труб. В острой фазе воспалительного процесса непроходимость возникает из-за сильного отека слизистой оболочки маточных труб, при стихании воспаления или его стертом вялотекущем течении - в результате формирования рубцов и спаек. Вероятность развития непроходимости маточных труб после единичного эпизода воспаления придатков составляет 12%, после 2-х случаев - 35%, после 3-х - до 75%. Растущие в области угла матки крупные миомы и полипы эндометрия также могут перекрывать канал маточной трубы. Медицинские манипуляции (аборты методом кюретажа, РДВ, гистероскопия, попытки ЭКО, внутриматочная контрацепция), сложные роды могут сопровождаться развитием воспаления и спаек (синдрома Ашермана), при котором соединительнотканные тяжи, образующиеся в полости матки, могут закрывать вход в маточную трубу. Непроходимость может быть следствием ранее проведенного оперативного пересечения маточных труб с целью стерилизации и последующей попытки восстановления детородной функции.
Существенная роль отводится перитонеальному фактору - наличию внешнего сдавления маточных труб новообразованием или спайками в малом тазу. Острые воспалительные процессы в брюшной и тазовой полости (оофорит, энтероколит, проктит, аппендицит, уретерит, перитонит) протекают с осаждением фибрина, очень быстро формирующего массивные и плотные рубцы, деформирующие структуру и нарушающие топографию маточных труб. В этом случае непроходимость маточных труб может быть преходящей, если после терапии в области яйцеводов не остается спаек. Аналогичная реакция брюшины с появлением фибриновых сращений может возникнуть после травм и операций в тазовой области (разрыва кисты яичника и кистэктомии, туботомии при внематочной беременности, миомэктомии, аппендэктомии, ревизии брюшной полости и тд ). Наружные спайки, прикрепляясь непосредственно к стенке маточной трубы, создают ее перекрут, или, проходя близко, сдавливают и блокируют ее просвет (обычно, с одной стороны).
Компрессия маточных труб массивными (размером 3-4 см) опухолями и кистами, гематомами, абсцессами в области малого таза, может вызывать полное закрытие трубного канала. Нарушения функции маточных труб провоцируются дисбалансом гормонов (дисфункцией яичников и надпочечников, поликистозом яичников), расстройствами иннервации при длительном стрессе, травмах живота и поясничного отдела позвоночника, нейродегенративных процессах.
Непроходимость маточных труб в основном развивается как следствие других заболеваний репродуктивной сферы. Причинами непроходимости маточных труб могут выступать распространенные специфические и неспецифические инфекционно-воспалительные процессы гениталий, эндометриоз, механические травмы слизистой матки и маточных труб, гидросальпинкс, врожденные аномалии закладки, эмбрио- и постэмбриогенеза маточных труб изолированно или в сочетании с пороками развития матки и влагалища.
ИППП (гонорея, сифилис, хламидиоз, микоплазмоз и тд ), генитальный туберкулез являются самым распространенными факторами, приводящими к изменениям структуры и развитию непроходимости маточных труб. В острой фазе воспалительного процесса непроходимость возникает из-за сильного отека слизистой оболочки маточных труб, при стихании воспаления или его стертом вялотекущем течении - в результате формирования рубцов и спаек. Вероятность развития непроходимости маточных труб после единичного эпизода воспаления придатков составляет 12%, после 2-х случаев - 35%, после 3-х - до 75%. Растущие в области угла матки крупные миомы и полипы эндометрия также могут перекрывать канал маточной трубы. Медицинские манипуляции (аборты методом кюретажа, РДВ, гистероскопия, попытки ЭКО, внутриматочная контрацепция), сложные роды могут сопровождаться развитием воспаления и спаек (синдрома Ашермана), при котором соединительнотканные тяжи, образующиеся в полости матки, могут закрывать вход в маточную трубу. Непроходимость может быть следствием ранее проведенного оперативного пересечения маточных труб с целью стерилизации и последующей попытки восстановления детородной функции.
Существенная роль отводится перитонеальному фактору - наличию внешнего сдавления маточных труб новообразованием или спайками в малом тазу. Острые воспалительные процессы в брюшной и тазовой полости (оофорит, энтероколит, проктит, аппендицит, уретерит, перитонит) протекают с осаждением фибрина, очень быстро формирующего массивные и плотные рубцы, деформирующие структуру и нарушающие топографию маточных труб. В этом случае непроходимость маточных труб может быть преходящей, если после терапии в области яйцеводов не остается спаек. Аналогичная реакция брюшины с появлением фибриновых сращений может возникнуть после травм и операций в тазовой области (разрыва кисты яичника и кистэктомии, туботомии при внематочной беременности, миомэктомии, аппендэктомии, ревизии брюшной полости и тд ). Наружные спайки, прикрепляясь непосредственно к стенке маточной трубы, создают ее перекрут, или, проходя близко, сдавливают и блокируют ее просвет (обычно, с одной стороны).
Компрессия маточных труб массивными (размером 3-4 см) опухолями и кистами, гематомами, абсцессами в области малого таза, может вызывать полное закрытие трубного канала. Нарушения функции маточных труб провоцируются дисбалансом гормонов (дисфункцией яичников и надпочечников, поликистозом яичников), расстройствами иннервации при длительном стрессе, травмах живота и поясничного отдела позвоночника, нейродегенративных процессах.
Клиническая картина
Непроходимость маточных труб часто никак не проявляется и не влияет на самочувствие пациентки, а выявляется только при обследовании по поводу отсутствия желанной беременности. Непроходимость маточных труб не имеет характерных признаков, а может сопровождаться симптомами основного, вызвавшего ее заболевания, или развивающегося осложнения.
При односторонней непроходимости вероятность зачатия существует, но понижается наполовину; при двухсторонней - как правило, имеет место трубное бесплодие. При частичной непроходимости (сужении маточной трубы на определенном участке или функциональной недостаточности) зачатие не исключено. При изолированной полной трубной непроходимости из-за закрытия просвета зачатие невозможно, у супружеской пары при отсутствии беременности после 1 года регулярных половых отношений без контрацепции диагностируется бесплодие.
При непроходимости маточных труб на фоне острого или хронического рецидивирующего воспалительного процесса, помимо факта бесплодия у женщины присутствуют умеренные или сильные боли в нижней части живота, обостряющиеся при нагрузке, резких движениях и половом акте. Может быть лихорадка, слизистые или с примесью гноя бели. При вялотекущей инфекции периодически беспокоит синдром тазовых болей, альгоменорея, обильные выделения. О наличии спаечного процесса могут свидетельствовать боли по низу живота, обостряющиеся при механическом раздражении, в отсутствие температурной реакции.
При односторонней непроходимости вероятность зачатия существует, но понижается наполовину; при двухсторонней - как правило, имеет место трубное бесплодие. При частичной непроходимости (сужении маточной трубы на определенном участке или функциональной недостаточности) зачатие не исключено. При изолированной полной трубной непроходимости из-за закрытия просвета зачатие невозможно, у супружеской пары при отсутствии беременности после 1 года регулярных половых отношений без контрацепции диагностируется бесплодие.
При непроходимости маточных труб на фоне острого или хронического рецидивирующего воспалительного процесса, помимо факта бесплодия у женщины присутствуют умеренные или сильные боли в нижней части живота, обостряющиеся при нагрузке, резких движениях и половом акте. Может быть лихорадка, слизистые или с примесью гноя бели. При вялотекущей инфекции периодически беспокоит синдром тазовых болей, альгоменорея, обильные выделения. О наличии спаечного процесса могут свидетельствовать боли по низу живота, обостряющиеся при механическом раздражении, в отсутствие температурной реакции.
Диагностика
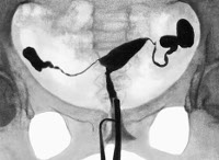
Установить факт непроходимости маточных труб возможно с помощью ультразвуковых, рентгенконтрастных и эндоскопических методов исследования - УЗГСС, гистеросальпингографии (ГСГ), гистероскопии, лапароскопии с хромогидротубацией, трансвагинальной гидролапароскопи (фертилоскопии).
С помощью УЗИ органов малого таза определяется строение половых органов, наличие у пациентки регулярной овуляции, признаков возможного воспаления, спаек, гидросальпинкса, новообразований. На ЭхоГСГ при полной непроходимости маточных труб можно увидеть растяжение стенок матки и расширение ее полости введенным стерильным физраствором; при частичной форме и спаечном процессе данные не показательны. На контрастных рентгенограммах маточных труб, полученных в ходе ГСГ, по форме просвета определяют факт и степень непроходимости каждого отдела труб и локализацию преграды (без уточнения ее характера).
Диагностическая лапароскопия с одновременным контрастированием маточных труб дает возможность непосредственно оценить их размер и форму, дефекты развития, перекруты, наличие суженных и расширенных участков трубных каналов; ригидность стенки, а также состояние матки и яичников, брюшины и других органов, присутствие и выраженность спаечного процесса и наружного эндометриоза. В рамках данного исследования можно скорректировать различные имеющиеся отклонения. Трансвагинальная гидролапароскопия (фертилоскопия) также информативна и менее травматична из-за более физиологичного доступа.
Дополнительно выполняется анализ крови и мочи, мазок из влагалища на флору, определение гормонов, серодиагностика (ИФА на хламидии, уреаплазмы и микоплазмы). Половому партнеру назначается спермограмма. Проводятся консультации гинеколога-эндокринолога, репродуктолога.
С помощью УЗИ органов малого таза определяется строение половых органов, наличие у пациентки регулярной овуляции, признаков возможного воспаления, спаек, гидросальпинкса, новообразований. На ЭхоГСГ при полной непроходимости маточных труб можно увидеть растяжение стенок матки и расширение ее полости введенным стерильным физраствором; при частичной форме и спаечном процессе данные не показательны. На контрастных рентгенограммах маточных труб, полученных в ходе ГСГ, по форме просвета определяют факт и степень непроходимости каждого отдела труб и локализацию преграды (без уточнения ее характера).
Диагностическая лапароскопия с одновременным контрастированием маточных труб дает возможность непосредственно оценить их размер и форму, дефекты развития, перекруты, наличие суженных и расширенных участков трубных каналов; ригидность стенки, а также состояние матки и яичников, брюшины и других органов, присутствие и выраженность спаечного процесса и наружного эндометриоза. В рамках данного исследования можно скорректировать различные имеющиеся отклонения. Трансвагинальная гидролапароскопия (фертилоскопия) также информативна и менее травматична из-за более физиологичного доступа.
Дополнительно выполняется анализ крови и мочи, мазок из влагалища на флору, определение гормонов, серодиагностика (ИФА на хламидии, уреаплазмы и микоплазмы). Половому партнеру назначается спермограмма. Проводятся консультации гинеколога-эндокринолога, репродуктолога.
|
|
Лечение
Лечение непроходимости маточных труб нацелено на устранение причин, ее вызвавших, и назначается после детального обследования пациентки. Лечебная тактика зависит от состояния репродуктивной функции семейной пары. В случае острых воспалительных заболеваний половой сферы проводится медикаментозная терапия в ранние сроки во избежание развития дегенеративных процессов слизистой матки и труб. Применяются противовоспалительные и антимикробные препараты, жаропонижающие и анальгетики, при сочетании с нарушениями менструального цикла - гормональные средства. Могут использоваться витамины, препараты сa, иммунотерапия, физиопроцедуры (УЗ-терапия, лазеротерапия, лекарственный электрофорез с сa и Mg, электростимуляция матки и придатков, гинекологический массаж, бальнеотерапия). Показан половой покой на время лечения.
Основными направлениями в лечении непроходимости маточных труб органического генеза являются оперативные вмешательства и методы вспомогательной репродукции (ЭКО). Хирургическая коррекция рекомендуется пациенткам до 35 лет в случае большой вероятности наступления самопроизвольной беременности (высокой фертильности партнеров, регулярной овуляции, частичной непроходимости труб). Выполняется удаление новообразований ОМТ, спаечного процесса и очагов гнойного воспаления, тубэктомия, лапароскопия с целью восстановления просвета маточных труб, реконструктивная пластика. Так как операция по восстановлению проходимости маточных труб увеличивает риск развития внематочной беременности, то при установлении факта беременности после оперативного лечения на ранних сроках необходимо проведение УЗИ-контроля.
При отсутствии беременности в течение 1-1,5 лет после операции у женщин 40 лет и старше, а также полной непроходимости маточных труб целесообразно применение методов ЭКО. Профилактика развития непроходимости маточных труб заключается в мерах предохранения от нежелательной беременности и заражения ИППП, своевременном лечении воспалительных процессов гениталий, эндометриоза.
Основными направлениями в лечении непроходимости маточных труб органического генеза являются оперативные вмешательства и методы вспомогательной репродукции (ЭКО). Хирургическая коррекция рекомендуется пациенткам до 35 лет в случае большой вероятности наступления самопроизвольной беременности (высокой фертильности партнеров, регулярной овуляции, частичной непроходимости труб). Выполняется удаление новообразований ОМТ, спаечного процесса и очагов гнойного воспаления, тубэктомия, лапароскопия с целью восстановления просвета маточных труб, реконструктивная пластика. Так как операция по восстановлению проходимости маточных труб увеличивает риск развития внематочной беременности, то при установлении факта беременности после оперативного лечения на ранних сроках необходимо проведение УЗИ-контроля.
При отсутствии беременности в течение 1-1,5 лет после операции у женщин 40 лет и старше, а также полной непроходимости маточных труб целесообразно применение методов ЭКО. Профилактика развития непроходимости маточных труб заключается в мерах предохранения от нежелательной беременности и заражения ИППП, своевременном лечении воспалительных процессов гениталий, эндометриоза.
Связанные клинические рекомендации
Связанные стандарты мед. помощи
- Стандарт санаторно-курортной помощи больным с болезнями женских тазовых органов, невоспалительными болезнями женских половых органов
- Стандарт медицинской помощи больным, нуждающимся в экстракорпоральном оплодотворении, культивировании и внутриматочном введении эмбриона при бесплодии трубного происхождения (при оказании высокотехнологичной помощи)