Другие названия и синонимы
Stromal ovarian tecomatosis.
МКБ-10 коды
|
|
Описание
Стромальный текоматоз яичников. Доброкачественная гормонально - активная гиперплазия овариальной стромы, сопровождающаяся повышенным синтезом андрогенов и усиленной периферической продукцией эстрогенов. Проявляется признаками вирилизации (гирсутизмом, огрубением голоса, гипертрофией клитора), олигоменореей, аменорей, бесплодием, висцеральным ожирением. Для диагностики исследуют содержание андрогенов, эстрогенов, ЛГ, ФСГ, выполняют УЗИ органов таза, КТ, МРТ яичников, диагностическую лапароскопию с гистологическим анализом биоптата. Лечение комбинированное с резекцией или двухсторонним удалением яичников и назначением гормональных препаратов.
Дополнительные факты
Стромальный текоматоз (овариальный гипертекоз, стромальная гиперплазия яичников, синдром Френкеля) - редкое гинекологическое заболевание, обычно диагностируемое в перименопаузе или постменопаузе. Патологическое разрастание овариальной стромы также выявляют при гистологическом исследовании материала у 0,45% молодых пациенток, перенесших операцию на яичниках. Хотя причины возникновения текоматоза остаются неустановленными, риск развития стромальной гиперплазии возрастает при неблагоприятном преморбидном фоне (экстрагенитальной соматической, эндокринной патологии) и нарушенном становлении менструального цикла (у 67,8% больных женщин отмечалось раннее или позднее менархе). Актуальность своевременной диагностики гипертекоза обусловлена высокой вероятностью развития ассоциированных эстроген-чувствительных опухолей и первичного бесплодия, которое выявляют у 65% пациенток репродуктивного возраста.
Причины
Этиология синдрома Френкеля на сегодняшний день не установлена. Предположительно, превращение межуточных овариальных клеток в эпителиоидные тека-клеточные элементы с последующим формированием очагов текоматоза обусловлено сбоем гормональной регуляции у предрасположенных к заболеванию женщин. Специалисты в сфере гинекологии и эндокринологии предлагают две основные теории возникновения стромальной гиперплазии яичников:
• Наследственная предрасположенность. В части случаев овариальный гипертекоз выявляется у близких родственниц, что может свидетельствовать о его связи с дефектом X-хромосомы. Также не исключены генетические аномалии, вызывающие повышенную активность ферментов, которые отвечают за конвертацию холестерола в стероиды, в том числе андрогены, и 5α-редуктазы, трансформирующей тестостерон в его связанную форму (дигидротестостерон).
• Гипоталамо. Гипофизарные нарушения. По мнению ряда авторов, стромальный текоматоз возникает из-за гиперстимуляции стромы яичников гонадотропными гормонами, в первую очередь лютеинизирующим, и связывают расстройство с нарушением регуляции менструального цикла в перименопаузе. Однако уровень ЛГ и ФСГ при гипертекозе повышен не всегда. В качестве дополнительного фактора рассматривается влияние опухолевых продуктов белкового катаболизма.
• Наследственная предрасположенность. В части случаев овариальный гипертекоз выявляется у близких родственниц, что может свидетельствовать о его связи с дефектом X-хромосомы. Также не исключены генетические аномалии, вызывающие повышенную активность ферментов, которые отвечают за конвертацию холестерола в стероиды, в том числе андрогены, и 5α-редуктазы, трансформирующей тестостерон в его связанную форму (дигидротестостерон).
• Гипоталамо. Гипофизарные нарушения. По мнению ряда авторов, стромальный текоматоз возникает из-за гиперстимуляции стромы яичников гонадотропными гормонами, в первую очередь лютеинизирующим, и связывают расстройство с нарушением регуляции менструального цикла в перименопаузе. Однако уровень ЛГ и ФСГ при гипертекозе повышен не всегда. В качестве дополнительного фактора рассматривается влияние опухолевых продуктов белкового катаболизма.
Патогенез
Ключевым звеном развития патологических расстройств при стромальном гипертекозе является гормональная активность гиперплазированных эпителиоидных тека-клеток, секретирующих половые стероидные гормоны. Капсула яичников и «дремлющие» примордиальные фолликулы в процесс не вовлечены. Текоматозные очаги не отграничены от нормальной ткани, не растут инфильтративно и не распадаются. Секреторная активность тека-клеток приводит к повышению уровня андрогенов, под влиянием которых происходит вирилизация организма, и относительной гиперэстрогении за счет периферической конверсии андростендиона в эстрон в жировой ткани. Одновременно с увеличением продукции эстрогенов повышается чувствительность к гормональной стимуляции функциональных тканей в органах-мишенях, что проявляется соответствующей симптоматикой.
Классификация
При систематизации клинических форм стромального текоматоза учитывают степень вовлеченности в патологический процесс овариальной ткани и особенности распределения секретирующих тека-клеток. Вариант гипертекоза учитывают при прогнозировании течения заболевания и выборе оптимальной схемы лечения. Различают следующие формы стромальной гиперплазии:
• Фокусная. Считается наиболее легким вариантом заболевания. Патологические изменения локализованы в части органа. Форма яичника изменена неравномерно.
• Диффузная. Наиболее распространенная форма гипертекоза. Корковый слой яичников утолщен равномерно, возможно частичное вовлечение в процесс мозгового вещества.
• Узловая. Тека-клетки объединены в узловые скопления, которые не отграничены капсулой от здоровой ткани яичников. Отдельные очаги текоматоза сливаются между собой.
• Фокусная. Считается наиболее легким вариантом заболевания. Патологические изменения локализованы в части органа. Форма яичника изменена неравномерно.
• Диффузная. Наиболее распространенная форма гипертекоза. Корковый слой яичников утолщен равномерно, возможно частичное вовлечение в процесс мозгового вещества.
• Узловая. Тека-клетки объединены в узловые скопления, которые не отграничены капсулой от здоровой ткани яичников. Отдельные очаги текоматоза сливаются между собой.
Клиническая картина
Наиболее заметным клиническим проявлением синдрома Френкеля является вирилизация, вызванная гиперандрогенией. Женщины жалуются на появление упорной, медленно прогрессирующей угревой сыпи. Отмечаются признаки гирсутизма - избыточного оволосения по мужскому типу с ростом волос над верхней губой, на подбородке, щеках, в ареолярной области, по белой линии живота, на конечностях, спине, внутренней поверхности бедер. У пациенток со стромальной гиперплазией увеличивается клитор, снижается тембр голоса, возможно облысение мужского типа. Как правило, такие женщины по телосложению напоминают мужчин - имеют узкий таз, широкие плечи, маленькую грудь. Часто развивается висцеральное ожирение с увеличением объема живота, на коже могут появляться стрии и черный акантоз - гиперпигментация симметричных кожных складок.
Ассоциированные симптомы: Кровянистые выделения из влагалища. Нагрубание молочных желез. Редкие месячные. Скудные месячные.
Ассоциированные симптомы: Кровянистые выделения из влагалища. Нагрубание молочных желез. Редкие месячные. Скудные месячные.
Возможные осложнения
Гормональный дисбаланс, возникающий при стромальном текоматозе, приводит к развитию ряда серьезных соматических заболеваний. Практически у всех пациенток выявляется инсулинонезависимый сахарный диабет с высокой инсулинорезистентностью, ожирение II-III степени. Возрастает риск возникновения артериальной гипертензии, аутоиммунного тиреоидита, диффузного токсического и пролиферирующего коллоидного зоба, гипотиреоза, интраселлярной аденомы гипофиза. На фоне повышенного содержания эстрогенов возникают рецидивирующие маточные кровотечения, чаще развиваются ассоциированные фиброзно-кистозная мастопатия и рак эндометрия.
Диагностика
Диагностический поиск при подозрении на стромальный текоматоз яичников направлен на выявление признаков секреторной активности тека-клеток и характерных морфологических изменений овариальной ткани. Осмотр и классические физикальные исследования позволяют предположить наличие гипертекоза, однако для верификации диагноза требуются данные лабораторных и инструментальных исследований. План обследования обычно включает:
• Осмотр на кресле. В ходе бимануальной пальпации определяются увеличенные безболезненные придатки тугоэластичной консистенции. При осмотре в зеркалах у пациенток в менопаузе и постменопаузе мало выражены или отсутствуют характерные признаки возрастной инволюции слизистой влагалища и экзоцервикса.
• Лабораторные анализы. Диагностически значимым критерием является повышение содержания общего тестостерона в сыворотке крови более 5,2 нмоль/л. Обычно увеличена концентрация эстрадиола и ЛГ (при нормальном уровне ФСГ). Содержание ДЭА-сульфата в крови в пределах нормы, уровень 17-КС может повышаться.
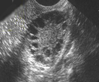
• Трансвагинальное УЗИ тазовых органов. Оба яичника обычно увеличены в размерах, имеют овальную или круглую форму. Их ткань уплотнена, выражена гиперплазия стромы. В пременопаузе фолликулы обычно смещены к периферии органа, могут отмечаться единичные кистозные изменения.
• КТ и МРТ яичников. Определяется двустороннее увеличение объема яичников в 3-8 раз, при этом овариальная строма выглядит однородной. Томографическое исследование позволяет точно оценить структуру органа и дифференцировать текоматоз от возможных объемных новообразований.
• Диагностическая лапароскопия. В ходе эндоскопического обследования можно получить биоптат для гистологического анализа. Выявление в материале лютеинизированных клеток стромы с липофильной светлой цитоплазмой служит одним из наиболее достоверных признаков заболевания.
В качестве дополнительных методов рекомендованы определение индекса инсулинорезистентности (HOMA-IR), оценка содержания гормонов щитовидной железы, гистероскопия с биопсией или раздельное диагностическое выскабливание для выявления гиперпластических процессов в эндометрии, УЗИ грудных желез, маммография. Заболевание дифференцируют с синдромом Иценко-Кушинга, адреногенитальным синдромом, поликистозом яичников, текомой, андробластомой яичника, опухолями гипофиза. К обследованию пациентки при необходимости привлекают эндокринолога, онколога, невропатолога, нейрохирурга.
• Осмотр на кресле. В ходе бимануальной пальпации определяются увеличенные безболезненные придатки тугоэластичной консистенции. При осмотре в зеркалах у пациенток в менопаузе и постменопаузе мало выражены или отсутствуют характерные признаки возрастной инволюции слизистой влагалища и экзоцервикса.
• Лабораторные анализы. Диагностически значимым критерием является повышение содержания общего тестостерона в сыворотке крови более 5,2 нмоль/л. Обычно увеличена концентрация эстрадиола и ЛГ (при нормальном уровне ФСГ). Содержание ДЭА-сульфата в крови в пределах нормы, уровень 17-КС может повышаться.
• Трансвагинальное УЗИ тазовых органов. Оба яичника обычно увеличены в размерах, имеют овальную или круглую форму. Их ткань уплотнена, выражена гиперплазия стромы. В пременопаузе фолликулы обычно смещены к периферии органа, могут отмечаться единичные кистозные изменения.
• КТ и МРТ яичников. Определяется двустороннее увеличение объема яичников в 3-8 раз, при этом овариальная строма выглядит однородной. Томографическое исследование позволяет точно оценить структуру органа и дифференцировать текоматоз от возможных объемных новообразований.
• Диагностическая лапароскопия. В ходе эндоскопического обследования можно получить биоптат для гистологического анализа. Выявление в материале лютеинизированных клеток стромы с липофильной светлой цитоплазмой служит одним из наиболее достоверных признаков заболевания.
В качестве дополнительных методов рекомендованы определение индекса инсулинорезистентности (HOMA-IR), оценка содержания гормонов щитовидной железы, гистероскопия с биопсией или раздельное диагностическое выскабливание для выявления гиперпластических процессов в эндометрии, УЗИ грудных желез, маммография. Заболевание дифференцируют с синдромом Иценко-Кушинга, адреногенитальным синдромом, поликистозом яичников, текомой, андробластомой яичника, опухолями гипофиза. К обследованию пациентки при необходимости привлекают эндокринолога, онколога, невропатолога, нейрохирурга.
|
|
Лечение
Выбирая терапевтическую тактику при гипертекозе, учитывают возраст пациентки, ее репродуктивные планы, выраженность гиперплазии в эстроген-чувствительных органах-мишенях. Наиболее эффективно комбинированное лечение, сочетающее хирургический подход с патогенетической и симптоматической медикаментозной терапией. Основной целью является устранение избыточной секреции тестостерона. Оптимальными вариантами лечения считаются:
• При отсутствии репродуктивных планов. В период перименопаузы и постменопаузы обычно выполняется билатеральная овариэктомия. В качестве альтернативы пациенткам с противопоказаниями к оперативному лечению и при отказе от удаления яичников может быть предложен длительный прием агонистов гонадотропных рилизинг-факторов. Терапевтический эффект агонистов ГнРГ обычно достигается не ранее чем через 6 месяцев от начала применения.
• При наличии планов по деторождению. Схема лечения аналогична терапии поликистоза яичников и включает пероральные контрацептивы, антиандрогенные препараты, агонисты ГнРГ, которые позволяют восстановить чувствительность овариальной ткани к гонадотропинам и стимулировать овуляцию. Для уменьшения признаков гирсутизма используют различные эпиляционные техники. В ряде случаев эффективна клиновидная резекция яичников.
Важным условием повышения результативности лечения стромального текоматоза является коррекция веса и применение препаратов, снижающих резистентность клеток к глюкозе. Это позволяет уменьшить риск гиперплазии и неоплазии эндометрия, миометрия, альвеолярной ткани молочных желез. Согласно наблюдениям, улучшению состояния пациенток способствует дополнительное назначение назального электрофореза витаминов В1, В6.
• При отсутствии репродуктивных планов. В период перименопаузы и постменопаузы обычно выполняется билатеральная овариэктомия. В качестве альтернативы пациенткам с противопоказаниями к оперативному лечению и при отказе от удаления яичников может быть предложен длительный прием агонистов гонадотропных рилизинг-факторов. Терапевтический эффект агонистов ГнРГ обычно достигается не ранее чем через 6 месяцев от начала применения.
• При наличии планов по деторождению. Схема лечения аналогична терапии поликистоза яичников и включает пероральные контрацептивы, антиандрогенные препараты, агонисты ГнРГ, которые позволяют восстановить чувствительность овариальной ткани к гонадотропинам и стимулировать овуляцию. Для уменьшения признаков гирсутизма используют различные эпиляционные техники. В ряде случаев эффективна клиновидная резекция яичников.
Важным условием повышения результативности лечения стромального текоматоза является коррекция веса и применение препаратов, снижающих резистентность клеток к глюкозе. Это позволяет уменьшить риск гиперплазии и неоплазии эндометрия, миометрия, альвеолярной ткани молочных желез. Согласно наблюдениям, улучшению состояния пациенток способствует дополнительное назначение назального электрофореза витаминов В1, В6.
Профилактика
Хотя тека-клетки не малигнизируются, а текоматоз яичников не является опасным для жизни заболеванием, он существенно ухудшает качество жизни пациентки и повышает вероятность развития злокачественных опухолей матки и молочных желез. Радикальное оперативное лечение позволяет полностью избавиться от клинических признаков заболевания. Органосохраняющие операции в комбинации с гормональной терапией обеспечивают снижение уровня андрогенов, избавление от признаков вирилизации, однако репродуктивную функцию удается восстановить лишь небольшому числу пациенток. Мероприятия первичной профилактики не разработаны. Целью вторичной профилактики является раннее выявление заболевания при плановом осмотре у гинеколога и УЗИ-скрининге. Третичная профилактика предполагает своевременное адекватное лечение, минимизирующее вероятность возникновения осложнений (рецидивирующих маточных кровотечений в постменопаузе, новообразований груди и репродуктивных органов).
Связанные стандарты мед. помощи
- Стандарт специализированной медицинской помощи при доброкачественных новообразованиях яичников
- Стандарт специализированной медицинской помощи детям при нарушениях формирования пола
- Стандарт специализированной медицинской помощи детям при преждевременном половом созревании
- Стандарт медицинской помощи беременным с доброкачественными новообразованиями яичника
- Стандарт первичной медико-санитарной помощи детям при преждевременном половом созревании, в том числе вторичного генеза