Другие названия и синонимы
Sactosalpinx.
МКБ-10 коды
|
|
Описание
Сактосальпинкс. Мешотчатое образование, возникшее в результате скопления жидкости в просвете маточной трубы. При остром течении характеризуется повышением температуры и болью в паховой области, при хроническом - бесплодием и ощущением тяжести в нижней части живота. В некоторых случаях при вялотекущем процессе возможны умеренные тазовые боли и периодические водянистые влагалищные выделения. Для диагностики используют гинекологический осмотр, гистеросальпингографию и ультразвуковую гистеросальпингоскопию, лапароскопию и фертилоскопию. Лечение чаще всего хирургическое с предварительным назначением антибиотиков. Рекомендована трубная пластика или тубэктомия.
Дополнительные факты
По данным различных исследований в сфере акушерства и гинекологии, распространенность сактосальпинкса у пациенток, которые не могут забеременеть, составляет от 7,3 до 28%. Зачастую заболевание становится случайной находкой во время комплексного обследования по поводу бесплодия. Скопление серозного экссудата или гноя в одной или обеих фаллопиевых трубах обычно выявляют у женщин молодого возраста (до 30 лет), что связано с особенностями их сексуального поведения. Сактосальпинкс практически никогда не бывает первичным, обычно осложняет течение другой гинекологической патологии, в первую очередь - воспалительных заболеваний, вызванных специфическими и неспецифическими инфекциями.
Причины
Серозная жидкость или гной накапливаются в просвете маточных труб при наличии препятствий к ее оттоку в условиях нормальной или повышенной секреции. Основными причинами развития сактосальпинкса являются:
• Воспалительные процессы. При хронических сальпингитах и сальпингоофоритах внутри труб образуются спайки, способные перекрывать ампуллярную часть, просвет и выход в полость матки. Обычно спаечный процесс развивается при хронических воспалениях, хотя может стать и результатом острого процесса. Спайки возникают при неспецифических инфекциях и ЗППП (хламидиозе, гонорее, микоплазмозе, сифилисе, генитальном герпесе и тд ).
• Инвазивные манипуляции. Толчком к формированию синехий становятся инвазивные диагностические и лечебные манипуляции на женских половых органах. Соединительнотканные сращения в интрамуральной части образуются после абортов и диагностических выскабливаний. Формированию синехий во всех отделах трубы способствует гистеросальпингография, кимопертубация, гидротубация, реконструктивные операции при трубном бесплодии.
• Эндометриоз фаллопиевых труб. При циклическом функционировании эндометриоидных разрастаний в трубах поддерживается асептическое воспаление. В результате происходит как формирование спаек, так и повышенное образование секрета слизистой. Кроме того, в просвет трубы периодически попадают отторгающиеся ткани и кровь.
• Рак трубы или матки. Выход в маточную полость может перекрываться механически за счет роста объемного новообразования. В зависимости от гистологического состава и локализации опухоли иногда процесс усугубляется повышенным образованием трубного секрета.
Факторами, предрасполагающими к развитию сактосальпинкса, являются частая смена партнеров и незащищенный секс. К группе риска также принадлежат женщины, которые занимаются тяжелым физическим трудом и работают в условиях постоянного переохлаждения.
• Воспалительные процессы. При хронических сальпингитах и сальпингоофоритах внутри труб образуются спайки, способные перекрывать ампуллярную часть, просвет и выход в полость матки. Обычно спаечный процесс развивается при хронических воспалениях, хотя может стать и результатом острого процесса. Спайки возникают при неспецифических инфекциях и ЗППП (хламидиозе, гонорее, микоплазмозе, сифилисе, генитальном герпесе и тд ).
• Инвазивные манипуляции. Толчком к формированию синехий становятся инвазивные диагностические и лечебные манипуляции на женских половых органах. Соединительнотканные сращения в интрамуральной части образуются после абортов и диагностических выскабливаний. Формированию синехий во всех отделах трубы способствует гистеросальпингография, кимопертубация, гидротубация, реконструктивные операции при трубном бесплодии.
• Эндометриоз фаллопиевых труб. При циклическом функционировании эндометриоидных разрастаний в трубах поддерживается асептическое воспаление. В результате происходит как формирование спаек, так и повышенное образование секрета слизистой. Кроме того, в просвет трубы периодически попадают отторгающиеся ткани и кровь.
• Рак трубы или матки. Выход в маточную полость может перекрываться механически за счет роста объемного новообразования. В зависимости от гистологического состава и локализации опухоли иногда процесс усугубляется повышенным образованием трубного секрета.
Факторами, предрасполагающими к развитию сактосальпинкса, являются частая смена партнеров и незащищенный секс. К группе риска также принадлежат женщины, которые занимаются тяжелым физическим трудом и работают в условиях постоянного переохлаждения.
Патогенез
Механизм формирования сактосальпинкса основан на дисбалансе между секрецией и оттоком жидкости из фаллопиевых труб. В норме слизистая оболочка производит небольшое количество экссудата, который благодаря сокращению мышечных волокон беспрепятственно выводится в матку. При наличии синехий или обтурации опухолью отток серозной жидкости сначала нарушается, а по мере прогрессирования сактосальпинкса полностью прекращается. Дополнительным звеном патогенеза становится усиление секреции эпителием слизистой при воспалительных заболеваниях, эндометриозе и неоплазиях. Присоединение инфекции часто сопровождается накоплением гнойного секрета.
Классификация
При систематизации заболевания учитывают такие критерии, как тип секрета, локализация, особенности строения, характер течения и возможность оттока экссудата. Различают следующие виды сактосальпинкса:
По типу секрета.
• Серозный (гидросальпинкс). Накопление серозной жидкости происходит при нарушенном оттоке и отсутствии воспаления, его асептическом характере и в начале инфекционного процесса.
• Гнойный (пиосальпинкс). Гной в фаллопиевой трубе скапливается при осложнении сактосальпинкса неспецифическим или специфическим воспалением.
По локализации.
• Односторонний. Проявляется задержкой экссудата в одной из труб. Может быть право- или левосторонним.
• Двусторонний. В патологический процесс вовлечены обе фаллопиевы трубы.
По особенностям строения.
• Простой. Представлен одной полостью с экссудатом.
• Фолликулярный. Состоит из нескольких полостей, разделенных сращениями.
По течению.
• Острый (активный). Отличается бурным течением, выраженной симптоматикой и быстрым формированием полости с жидкостью.
• Хронический (вялотекущий). Развивается постепенно, протекает бессимптомно или с минимальными жалобами.
По возможностям оттока жидкости.
• Постоянный. Самостоятельный отток экссудата невозможен.
• Вентилируемый. Жидкость периодически самопроизвольно изливается в матку.
По типу секрета.
• Серозный (гидросальпинкс). Накопление серозной жидкости происходит при нарушенном оттоке и отсутствии воспаления, его асептическом характере и в начале инфекционного процесса.
• Гнойный (пиосальпинкс). Гной в фаллопиевой трубе скапливается при осложнении сактосальпинкса неспецифическим или специфическим воспалением.
По локализации.
• Односторонний. Проявляется задержкой экссудата в одной из труб. Может быть право- или левосторонним.
• Двусторонний. В патологический процесс вовлечены обе фаллопиевы трубы.
По особенностям строения.
• Простой. Представлен одной полостью с экссудатом.
• Фолликулярный. Состоит из нескольких полостей, разделенных сращениями.
По течению.
• Острый (активный). Отличается бурным течением, выраженной симптоматикой и быстрым формированием полости с жидкостью.
• Хронический (вялотекущий). Развивается постепенно, протекает бессимптомно или с минимальными жалобами.
По возможностям оттока жидкости.
• Постоянный. Самостоятельный отток экссудата невозможен.
• Вентилируемый. Жидкость периодически самопроизвольно изливается в матку.
Клиническая картина
Клиника заболевания определяется особенностями течения. Острый сактосальпинкс возникает редко, проявляется гипертермией и болевым синдромом. Выраженность гипертермии зависит от характера экссудата. При серозном воспалении температура повышается до субфебрильных цифр, при серозно-гнойном - до +38° С, при гнойном - до +39° С и выше. Боль локализуется в области паха с одной или двух сторон, ощущается как распирающая или пульсирующая. Пациентка может испытывать слабость, разбитость, учащенное сердцебиение. Иногда отмечается повышенная потливость и лихорадочный румянец на щеках.
Хронический сактосальпинкс протекает преимущественно бессимптомно. Нередко его единственным признаком становится бесплодие. При больших по объему образованиях у женщины возникает ощущение тяжести и распирания внизу живота. Если заболевание сочетается со спайками малого таза, характерен синдром хронической тазовой боли, усиливающейся при нагрузках, переохлаждении, во время полового акта. Температура повышается только при обострении воспалительного процесса и редко достигает высоких цифр. При распространении воспаления на ткань яичников возможно нарушение менструального цикла (олигоменорея, альгодисменорея, нерегулярные месячные). Типичным признаком вентилируемого сактосальпинкса являются периодические обильные водянистые выделения из влагалища.
Ассоциированные симптомы: Боль в придатках. Потливость. Разбитость. Редкие месячные.
Хронический сактосальпинкс протекает преимущественно бессимптомно. Нередко его единственным признаком становится бесплодие. При больших по объему образованиях у женщины возникает ощущение тяжести и распирания внизу живота. Если заболевание сочетается со спайками малого таза, характерен синдром хронической тазовой боли, усиливающейся при нагрузках, переохлаждении, во время полового акта. Температура повышается только при обострении воспалительного процесса и редко достигает высоких цифр. При распространении воспаления на ткань яичников возможно нарушение менструального цикла (олигоменорея, альгодисменорея, нерегулярные месячные). Типичным признаком вентилируемого сактосальпинкса являются периодические обильные водянистые выделения из влагалища.
Ассоциированные симптомы: Боль в придатках. Потливость. Разбитость. Редкие месячные.
|
|
Возможные осложнения
Основное осложнение двустороннего сактосальпинкса - трубное бесплодие. Поскольку накопление жидкости обычно происходит при полной непроходимости труб, яйцеклетка не может попасть в ампуллярную часть и далее в матку, оплодотворение и имплантация становятся невозможными. В 5-7% случаев (чаще при вентилируемом сактосальпинксе) беременность может наступить, однако повышается риск ее эктопической трубной локализации. Грозным осложнением заболевания является разрыв трубы и попадание ее содержимого на брюшину. В таких случаях обычно развиваются пельвиоперитонит и перитонит, которые особенно тяжело протекают при разорвавшемся пиосальпинксе. Иногда гной прорывается во влагалище, мочевой пузырь, прямую кишку или накапливается в виде изолированного абсцесса дугласова пространства.
Диагностика
Поскольку симптоматика сактосальпинкса не является патогномоничной, для постановки диагноза назначают исследования, позволяющие выявить скопление жидкости в маточной трубе. Наиболее информативны следующие методы диагностики:
• Осмотр на кресле. При бимануальном обследовании в области придатков с одной либо двух сторон пальпируется объемное тугоэластичное безболезненное образование с гладкой поверхностью.
• УЗИ тазовых органов. Между яичниками и маткой определяется объемная жидкостная структура. Складки маточных труб сглажены или отсутствуют.
• Ультразвуковая гистеросальпингоскопия. О вероятном сактосальпинксе свидетельствует накопление жидкости в матке и расширение ее полости.
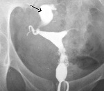
• Гистеросальпингография. При постоянном варианте болезни контрастное вещество не поступает в одну или обе трубы и скапливается в матке. При вентильном сактосальпинксе пораженная труба определяется как расширенная, колбообразная.
• Эндоскопические методы. Традиционная лапароскопия и фертилоскопия с введением эндоскопа через микроразрез во влагалище позволяют увидеть расширенную трубу со скопившейся в ней жидкостью, выявить спайки и очаги эндометриоза в полости таза.
В дополнение к инструментальным исследованиям применяют методы лабораторной диагностики. Особо показательны результаты ПЦР, позволяющей обнаружить гонококков, спирохет, хламидий, уреаплазм, микоплазм, трихомонад и других возможных возбудителей урогенительных инфекций, на фоне которых возник сактосальпинкс.
• Осмотр на кресле. При бимануальном обследовании в области придатков с одной либо двух сторон пальпируется объемное тугоэластичное безболезненное образование с гладкой поверхностью.
• УЗИ тазовых органов. Между яичниками и маткой определяется объемная жидкостная структура. Складки маточных труб сглажены или отсутствуют.
• Ультразвуковая гистеросальпингоскопия. О вероятном сактосальпинксе свидетельствует накопление жидкости в матке и расширение ее полости.
• Гистеросальпингография. При постоянном варианте болезни контрастное вещество не поступает в одну или обе трубы и скапливается в матке. При вентильном сактосальпинксе пораженная труба определяется как расширенная, колбообразная.
• Эндоскопические методы. Традиционная лапароскопия и фертилоскопия с введением эндоскопа через микроразрез во влагалище позволяют увидеть расширенную трубу со скопившейся в ней жидкостью, выявить спайки и очаги эндометриоза в полости таза.
В дополнение к инструментальным исследованиям применяют методы лабораторной диагностики. Особо показательны результаты ПЦР, позволяющей обнаружить гонококков, спирохет, хламидий, уреаплазм, микоплазм, трихомонад и других возможных возбудителей урогенительных инфекций, на фоне которых возник сактосальпинкс.
Дифференциальная диагностика
Дифференциальная диагностика проводится с другими заболеваниями женских половых органов - сальпингитом, оофоритом, сальпингоофоритом, эндометритом, эндометриозом, спаечной болезнью таза, туберкулезом и новообразованиями яичников, труб, матки и других тазовых органов, аппендикулярным абсцессом В сложных случаях к постановке диагноза привлекают онкогинеколога, урогинеколога, хирурга, фтизиатра.
Лечение
Выбор врачебной тактики определяется клинической фазой заболевания, объемом и структурой полостного образования, возрастом и репродуктивными планами пациентки. Поскольку в большинстве случаев сактосальпинкс формируется на фоне воспаления, первым этапом лечения является консервативная терапия антибактериальными препаратами. При выборе антибиотика учитывают вид и чувствительность инфекционного агента. Антибиотикотерапию дополняют назначением десенсибилизирующих, иммуномодулирующих, рассасывающих средств, витамино-минеральных комплексов, физиотерапевтических методик. При болевом синдроме показано назначение нестероидных противовоспалительных препаратов.
После купирования воспаления определяют тактику хирургического вмешательства. С учетом степени облитерации трубы, склонности сактосальпинкса к рецидивированию и планов женщины по рождению ребенка рекомендованы следующие операции:
• Лапароскопическая реокклюзия. Выполнение сальпингостомии и сальпингонеостомии с созданием альтернативного отверстия, наложение сальпинго-сальпингоанастомоза, пересадка трубы в другой участок матки в ряде случаев позволяют восстановить эвакуацию экссудата и ликвидировать сактосальпинкс.
• Лапаротомическая или лапароскопическая тубэктомия. Если образование имеет большие размеры, пластика оказалась неэффективной, возник рецидив заболевания или возраст женщины превышает 35 лет, показано удаление трубы (тубэктомия). При желании пациентки забеременеть в последующем применяют один из методов ЭКО.
После купирования воспаления определяют тактику хирургического вмешательства. С учетом степени облитерации трубы, склонности сактосальпинкса к рецидивированию и планов женщины по рождению ребенка рекомендованы следующие операции:
• Лапароскопическая реокклюзия. Выполнение сальпингостомии и сальпингонеостомии с созданием альтернативного отверстия, наложение сальпинго-сальпингоанастомоза, пересадка трубы в другой участок матки в ряде случаев позволяют восстановить эвакуацию экссудата и ликвидировать сактосальпинкс.
• Лапаротомическая или лапароскопическая тубэктомия. Если образование имеет большие размеры, пластика оказалась неэффективной, возник рецидив заболевания или возраст женщины превышает 35 лет, показано удаление трубы (тубэктомия). При желании пациентки забеременеть в последующем применяют один из методов ЭКО.
Прогноз
Прогноз при неосложненном течении и своевременном адекватном лечении благоприятный. Определенный риск для жизни возникает лишь при разрыве мешотчатого образования. Однако репродуктивную функцию при сактосальпинксе удается восстановить менее чем у половины пациенток. По разным данным, результативность пластических операций составляет от 20 до 60%, при этом существенно возрастает риск развития трубной внематочной беременности.
Профилактика
В профилактических целях рекомендованы периодические осмотры гинеколога для своевременного выявления и лечения заболеваний женской половой сферы. Важен ответственный подход к планированию беременности с ограничением случайных интимных связей и использованием барьерной контрацепции, отказ от необоснованных инвазивных вмешательств.
Связанные клинические рекомендации
Связанные стандарты мед. помощи
- Стандарт первичной медико-санитарной помощи при воспалительных заболеваниях половых органов
- Стандарт санаторно-курортной помощи больным с болезнями женских тазовых органов, невоспалительными болезнями женских половых органов
- Стандарт первичной медико-санитарной помощи детям при сальпингите и оофорите
- Стандарт специализированной медицинской помощи детям при сальпингите и оофорите