Другие названия и синонимы
Intra-flow papilloma of the breast.
МКБ-10 коды
|
|
Описание
Внутрипротоковая папиллома молочной железы. Интрадуктальная папиллярная опухоль, развивающаяся в млечном протоке. Наличие внутрипротоковой папилломы сопровождается обильными выделениям из соска молочного, желтовато-зеленоватого или коричневатого цвета. Диагностика внутрипротоковой папилломы молочной железы включает проведение дуктографии, маммографии, УЗИ, цитологического исследование выделений. Лечения внутрипротоковой папилломы молочной железы - оперативное, включает секторальную резекцию молочной железы.
Дополнительные факты
Внутрипротоковые папилломы (папиллярные цистаденомы, цистаденопапилломы) представляют собой доброкачественные сосочковидные выросты, возникающие из эпителия протоков молочной железы. Они могут развиваться в любом возрасте - от пубертатного периода до постменопаузы. Частота обнаружения цистаденопапиллом в маммологии составляет около 10% среди общего числа опухолеподобных заболеваний молочной железы.
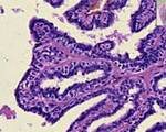
Макроскопически внутрипротоковая папиллома молочной железы напоминает кистозное образование с сосчковидными разрастаниями. Папилломы легко травмируются, а выделяющаяся при этом кровянистая жидкость попадает в выводные протоки и выделяется наружу из соска. В области опухоли возможны кровоизлияния и некрозы; озлокачествлению чаще подвергаются множественные внутрипротоковые папилломы молочной железы.
Макроскопически внутрипротоковая папиллома молочной железы напоминает кистозное образование с сосчковидными разрастаниями. Папилломы легко травмируются, а выделяющаяся при этом кровянистая жидкость попадает в выводные протоки и выделяется наружу из соска. В области опухоли возможны кровоизлияния и некрозы; озлокачествлению чаще подвергаются множественные внутрипротоковые папилломы молочной железы.
Классификация
Папиллярные цистаденомы молочной железы могут развиваться в любом отделе протоковой системы - от соска до терминальных протоково-дольковых структурных единиц. На основании локализации выделяют центральные папилломы, расположенные в области ареолы, и периферические.
Интрадуктальные папилломы могут быть одиночными (солитарными) и множественными; их размеры варьируют от нескольких миллиметров до 1-2 см в диаметре. Солитарные папиллярные опухоли чаще локализуется в субареолярной области; множественные - ближе к периферии железы.
Множественным внутрипротоковым папилломам молочной железы свойственна высокая потенциальная возможность малигнизации. Как правило, из них возникает внутрикистозный или внутрипротоковый папиллярный рак молочной железы.
Интрадуктальные папилломы могут быть одиночными (солитарными) и множественными; их размеры варьируют от нескольких миллиметров до 1-2 см в диаметре. Солитарные папиллярные опухоли чаще локализуется в субареолярной области; множественные - ближе к периферии железы.
Множественным внутрипротоковым папилломам молочной железы свойственна высокая потенциальная возможность малигнизации. Как правило, из них возникает внутрикистозный или внутрипротоковый папиллярный рак молочной железы.
Причины
Определяющим фактором, ведущим к развитию внутрипротоковых папиллом, считается гормональный дисбаланс. Развитие внутрипротоковой папилломы молочной железы может провоцироваться любыми изменениями гормонального гомеостаза: дисфункцией яичников, оофоритами, аднекситами, абортами, ожирением, стрессами В группе риска по развитию внутрипротоковой папилломы молочной железы находятся нерожавшие, курящие женщины. В меньшей степени развитию новообразований груди подвержены пациентки, имеющие детей, кормившие грудью, использующие гормональную контрацепцию.
Как правило, папиллярные цистаденомы развиваются на фоне имеющейся фиброзно-кистозной (узловой или диффузной) мастопатии. В результате мастопатии происходит локальное расширение протоков молочной железы, в которых и возникают сосочковые разрастания. У пациенток с внутрипротоковой папилломой молочной железы нередко прослеживается семейная история опухолевых поражений молочных желез злокачественной или доброкачественной природы.
Как правило, папиллярные цистаденомы развиваются на фоне имеющейся фиброзно-кистозной (узловой или диффузной) мастопатии. В результате мастопатии происходит локальное расширение протоков молочной железы, в которых и возникают сосочковые разрастания. У пациенток с внутрипротоковой папилломой молочной железы нередко прослеживается семейная история опухолевых поражений молочных желез злокачественной или доброкачественной природы.
Клиническая картина
К первым клиническим признакам внутрипротоковой папилломы молочной железы относится появление обильных выделений из соска различного характера. Выделения могут быть прозрачного, беловатого, зеленоватого, бурого или кровянистого характера.
Ассоциированные симптомы: Боль в грудной клетке. Боль в молочной железе. Втяжение соска. Выделения из сосков. Гнойные выделения из сосков. Зеленые выделения из сосков. Кровянистые выделения из сосков. Молозивоподобные выделения из сосков. Уплотнение в груди.
Ассоциированные симптомы: Боль в грудной клетке. Боль в молочной железе. Втяжение соска. Выделения из сосков. Гнойные выделения из сосков. Зеленые выделения из сосков. Кровянистые выделения из сосков. Молозивоподобные выделения из сосков. Уплотнение в груди.
Диагностика
Распознавание внутрипротоковой папилломы молочной железы основано на клинико-рентгено-цитологических данных. Опытный маммолог может заподозрить наличие папиллярной цистаденомы уже при проведении пальпации молочных желез. Обязательным этапом диагностики служит цитологическое исследование мазка из соска молочной железы. При выявлении в анализе клеточной атипии показано более углубленное обследование и консультация маммолога-онколога. Для исключения онкопатологии выполняется исследование онкомаркера рака молочной железы СA 15 - 3.
Среди методов инструментальной верификации при внутрипротоковой папилломе применяется дуктография, УЗИ молочных желез, маммография, МРТ. С помощью дуктографии (галактографии) - рентгеноконтрастного исследования протоков папиллома определяется как дефект заполнения млечного протока. Дуктография дает точное представление о локализации и размере папиллярных разрастаний, что чрезвычайно важно при планировании оперативного лечения. Перед проведением дуктографии категорически воспрещается массировать и сдавливать грудь, сцеживать молоко.
Проведение УЗИ, маммографии и МРТ молочной железы не позволяет рассмотреть млечные протоки, но помогает дифференцировать внутрипротоковую папиллому от рака груди. Также в процессе диагностики необходимо исключить галакторею, возникающую при пролактиноме.
Среди методов инструментальной верификации при внутрипротоковой папилломе применяется дуктография, УЗИ молочных желез, маммография, МРТ. С помощью дуктографии (галактографии) - рентгеноконтрастного исследования протоков папиллома определяется как дефект заполнения млечного протока. Дуктография дает точное представление о локализации и размере папиллярных разрастаний, что чрезвычайно важно при планировании оперативного лечения. Перед проведением дуктографии категорически воспрещается массировать и сдавливать грудь, сцеживать молоко.
Проведение УЗИ, маммографии и МРТ молочной железы не позволяет рассмотреть млечные протоки, но помогает дифференцировать внутрипротоковую папиллому от рака груди. Также в процессе диагностики необходимо исключить галакторею, возникающую при пролактиноме.
Лечение
Поскольку внутрипротоковая папиллома относится к предраковым поражениям молочной железы, в отношении нее показана исключительно хирургическая тактика. При папиллярной цистаденоме выполняется секторальная резекция молочной железы, в ходе которой удаляются ткани с измененными протоками. Обычно операция выполняется через периареолярный разрез, что в дальнейшем не влияет на размер и форму груди и исключает необходимость проведения маммопластики. При выявлении внутрипротокового папиллярного рака показана радикальная мастэктомия.
Предупредить развитие внутрипротоковой папилломы молочной железы позволяет регулярное маммологическое обследование, своевременная терапия мастопатии, воспалительных и дисгормональных нарушений женской половой сферы. Для раннего обнаружения опухолевых изменений рекомендуется систематический самоконтроль, включающий пальпаторное обследование молочных желез.
Предупредить развитие внутрипротоковой папилломы молочной железы позволяет регулярное маммологическое обследование, своевременная терапия мастопатии, воспалительных и дисгормональных нарушений женской половой сферы. Для раннего обнаружения опухолевых изменений рекомендуется систематический самоконтроль, включающий пальпаторное обследование молочных желез.