Другие названия и синонимы
Colloidal cyst of the III ventricle.
МКБ-10 коды
|
|
Описание
Коллоидная киста III желудочка. Новообразование округлой формы, которое располагается в полости III желудочка головного мозга. Не является раковой опухолью, не метастазирует, но способно к росту. Опасность для пациента заключается в перекрытии путей циркуляции ликвора с развитием гидроцефального синдрома. При малых размерах ничем себя не проявляет. При прогрессивном росте характеризуется внезапными приступами головных болей со рвотой, шумом в ушах, нарушением зрения, ослаблением памяти. Диагностируется по снимкам КТ и МРТ. Лечение преимущественно оперативное - удаление всей кисты и восстановление тока цереброспинальной жидкости.
Дополнительные факты
Коллоидная киста III желудочка - это доброкачественное новообразование, которое располагается в передне-верхней части III желудочка головного мозга. Она имеет шарообразную форму, окружена плотной капсулой из соединительной ткани, содержимое представлено желеобразной массой зелено-серого цвета, которая является продуктом секреции клеток стенки кисты. Размеры новообразования зависят от длительности течения патологического процесса, в некоторых случаях киста может занимать практически всю полость желудочка мозга.
Патология не относится к разряду злокачественных опухолей, то есть не дает метастазов, однако новообразование способно к прогрессивному росту, в связи с чем представляет опасность для жизни пациента. Эта разновидность кист встречается довольно редко и составляет примерно 1% от всех опухолей мозга. Коллоидные кисты головного мозга могут быть обнаружены у больных в любом возрасте, а также с одинаковой частотой встречаются у мужчин и женщин.
Патология не относится к разряду злокачественных опухолей, то есть не дает метастазов, однако новообразование способно к прогрессивному росту, в связи с чем представляет опасность для жизни пациента. Эта разновидность кист встречается довольно редко и составляет примерно 1% от всех опухолей мозга. Коллоидные кисты головного мозга могут быть обнаружены у больных в любом возрасте, а также с одинаковой частотой встречаются у мужчин и женщин.
Причины
Причины возникновения коллоидных кист III желудочка медицине до сих пор неизвестны. Некоторые исследователи предполагают, что их образование является результатом нарушения развития нервной системы во внутриутробном периоде. У человеческого эмбриона до момента формирования полушарий головного мозга имеется особый вырост (зачаток) нервной ткани, который рассасывается в ходе индивидуального развития и к моменту рождения у плода отсутствует. Процесс нормального роста головного мозга нарушается при негативном влиянии различных внешних факторов в период беременности: экологии, вредных привычек, стрессов; развитии тяжелого токсикоза; возникновении внутриутробной инфекции или резус-конфликта на ранних сроках беременности. Участок зародышевой ткани остается, его клетки начинают продуцировать желеобразную жидкость, которая отграничивается плотной соединительнотканной оболочкой - так формируется коллоидная киста III желудочка.
Первоначально размер новообразования не превышает нескольких миллиметров. При воздействии провоцирующих факторов коллоидная киста III желудочка начинает стремительно увеличиваться. Что является истинной причиной роста кисты пока не выяснено. Есть предположения, что этому способствуют стрессы, недосыпание, ожирение, вредные привычки.
Первоначально размер новообразования не превышает нескольких миллиметров. При воздействии провоцирующих факторов коллоидная киста III желудочка начинает стремительно увеличиваться. Что является истинной причиной роста кисты пока не выяснено. Есть предположения, что этому способствуют стрессы, недосыпание, ожирение, вредные привычки.
Патогенез
Головной мозг не является сплошной массой нервных клеток, в его полости располагаются несколько пустот, которые называются желудочками. В них циркулирует ликвор - цереброспинальная жидкость. Существует 4 желудочка мозга: I и II (они же называются боковыми), III, IV. Все они составляют пути циркуляции ликвора и соединены между собой отверстиями. Цереброспинальная жидкость вырабатывается особыми скоплениями тончайших кровеносных сосудов, расположенных на стенках желудочков мозга. У здорового человека ликвор свободно перетекает из одного желудочка в другой. При росте коллоидной кисты происходит закрытие каналов его циркуляции, и он не может попасть из III желудочка в IV. Происходит скопление жидкости и повышение внутричерепного давления.
Если рост кистозного образования идет не в сторону соединения каналов, то повышение внутричерепного давления происходит постепенно, и симптомы болезни проявляют себя в течение длительного времени (до 10 лет). При быстром же росте новообразования в области анатомических отверстий циркуляции ликвора или же при внезапном сдвиге кисты развиваются симптомы острой закупорки ликворных путей.
Особенность расположения коллоидной кисты в полости III желудочка приводит к тому, что при увеличении размеров последней происходит давление на свод головного мозга и ядра гипоталамуса, это ведет к нарушению процесса запоминания недавних событий (кратковременной памяти), нарушению регуляции температуры тела, режима сна и бодрствования, полной потере чувства голода (анорексия) или, наоборот, насыщения (булимия), изменению эмоциональной сферы.
Если рост кистозного образования идет не в сторону соединения каналов, то повышение внутричерепного давления происходит постепенно, и симптомы болезни проявляют себя в течение длительного времени (до 10 лет). При быстром же росте новообразования в области анатомических отверстий циркуляции ликвора или же при внезапном сдвиге кисты развиваются симптомы острой закупорки ликворных путей.
Особенность расположения коллоидной кисты в полости III желудочка приводит к тому, что при увеличении размеров последней происходит давление на свод головного мозга и ядра гипоталамуса, это ведет к нарушению процесса запоминания недавних событий (кратковременной памяти), нарушению регуляции температуры тела, режима сна и бодрствования, полной потере чувства голода (анорексия) или, наоборот, насыщения (булимия), изменению эмоциональной сферы.
Клиническая картина
Коллоидная киста III желудочка сама по себе опасности для здоровья пациента не представляет. Клинические проявления зависят исключительно от ее размеров. Этим объясняется тот факт, что мелкие кисты, имеющиеся у человека с рождения, на состоянии здоровья не сказываются. Опасность новообразований заключается в их прогрессивном росте.
Все клинические проявления патологического процесса можно разделить на 3 группы: симптомы острой закупорки путей циркуляции цереброспинальной жидкости; симптомы постепенного нарастания внутричерепного давления - гидроцефальный синдром; нарушения высших мозговых функций - кратковременной памяти, умственных способностей, а также развитие расстройства обмена веществ.
Симптомы острой закупорки ликворных путей представлены острым повышением внутричерепного давления. Оно характеризуется резко возникшей нестерпимой головной болью, шумом в ушах, потерей сознания, судорогами, в некоторых случаях больной может впасть в кому.
Для постепенного повышения внутричерепного давления характерны следующие симптомы: головная боль, рвота, нарушение зрения, судороги.
Головная боль при гидроцефальном синдроме имеет следующие особенности: усиливается в положении лежа, после сна к утру, не снимается популярными обезболивающими препаратами, сопровождается тошнотой, рвотой, а также реже угнетением сознания (сонливостью).
Рвота при повышенном внутричерепном давлении, как правило, носит неудержимый характер, не приносит облегчения, что отличает ее от рвоты, например, при пищевом отравлении; часто возникает на высоте приступа головной боли.
Отек дисков зрительного нерва развивается как результат давления ликвора, скопившегося в подпаутинном пространстве. Это приводит к нарушению зрения: больной жалуется на тени (мушки) перед глазами, мелькание вспышек света. Острота зрения на начальных этапах болезни не изменена, но, если повышение внутричерепного давления носит хронический характер, то развивается постепенная атрофия зрительного нерва, проявляющаяся прогрессирующим падением остроты зрения вплоть до слепоты.
Судороги могут быть как генерализованными, когда трясет все тело больного, так и парциальными, когда подергивания наблюдаются в отдельных мышцах, например, изолированные судороги руки или ноги. Длительное повышение внутричерепного давления оказывает негативное воздействие на корковое вещество головного мозга, что приводит к нарушению высших мозговых функций: снижению интеллекта, утрате кратковременной памяти.
Ассоциированные симптомы: Боль в висках. Боль во всей голове. Головная боль. Мелькание мушек перед глазами. Озноб. Пульсация в висках. Рвота. Скандированная речь. Судороги. Судороги в ногах. Тошнота. Шум в ушах.
Все клинические проявления патологического процесса можно разделить на 3 группы: симптомы острой закупорки путей циркуляции цереброспинальной жидкости; симптомы постепенного нарастания внутричерепного давления - гидроцефальный синдром; нарушения высших мозговых функций - кратковременной памяти, умственных способностей, а также развитие расстройства обмена веществ.
Симптомы острой закупорки ликворных путей представлены острым повышением внутричерепного давления. Оно характеризуется резко возникшей нестерпимой головной болью, шумом в ушах, потерей сознания, судорогами, в некоторых случаях больной может впасть в кому.
Для постепенного повышения внутричерепного давления характерны следующие симптомы: головная боль, рвота, нарушение зрения, судороги.
Головная боль при гидроцефальном синдроме имеет следующие особенности: усиливается в положении лежа, после сна к утру, не снимается популярными обезболивающими препаратами, сопровождается тошнотой, рвотой, а также реже угнетением сознания (сонливостью).
Рвота при повышенном внутричерепном давлении, как правило, носит неудержимый характер, не приносит облегчения, что отличает ее от рвоты, например, при пищевом отравлении; часто возникает на высоте приступа головной боли.
Отек дисков зрительного нерва развивается как результат давления ликвора, скопившегося в подпаутинном пространстве. Это приводит к нарушению зрения: больной жалуется на тени (мушки) перед глазами, мелькание вспышек света. Острота зрения на начальных этапах болезни не изменена, но, если повышение внутричерепного давления носит хронический характер, то развивается постепенная атрофия зрительного нерва, проявляющаяся прогрессирующим падением остроты зрения вплоть до слепоты.
Судороги могут быть как генерализованными, когда трясет все тело больного, так и парциальными, когда подергивания наблюдаются в отдельных мышцах, например, изолированные судороги руки или ноги. Длительное повышение внутричерепного давления оказывает негативное воздействие на корковое вещество головного мозга, что приводит к нарушению высших мозговых функций: снижению интеллекта, утрате кратковременной памяти.
Ассоциированные симптомы: Боль в висках. Боль во всей голове. Головная боль. Мелькание мушек перед глазами. Озноб. Пульсация в висках. Рвота. Скандированная речь. Судороги. Судороги в ногах. Тошнота. Шум в ушах.
|
|
Диагностика
При подозрении на коллоидную кисту головного мозга невролог должен направить больного на следующие обследования: МРТ головного мозга с контрастом, КТ головного мозга, консультацию офтальмолога. Обычно этих методов бывает достаточно для того, чтобы установить правильный диагноз.
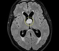
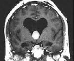
На снимках компьютерной томографии коллоидная киста выглядит круглым образованием белесого цвета, которое располагается в полости III желудочка мозга, имеющего на рентгенограмме черный цвет. Окраска ткани кисты намного интенсивнее соседней ткани головного мозга, которая имеет на снимках сероватый оттенок.
Консультация окулиста необходима для проведения офтальмоскопии с целью оценки состояния глазного дна - имеет ли место отек дисков зрительного нерва, и определения состояния сетчатки. В ходе диагностики коллоидную кисту III желудочка необходимо отдифференцировать от аденомы гипофиза, герминомы, краниофарингиомы, глиомы хиазмы, опухоли шишковидного тела и метастатических процессов данной локализации.
На снимках компьютерной томографии коллоидная киста выглядит круглым образованием белесого цвета, которое располагается в полости III желудочка мозга, имеющего на рентгенограмме черный цвет. Окраска ткани кисты намного интенсивнее соседней ткани головного мозга, которая имеет на снимках сероватый оттенок.
Консультация окулиста необходима для проведения офтальмоскопии с целью оценки состояния глазного дна - имеет ли место отек дисков зрительного нерва, и определения состояния сетчатки. В ходе диагностики коллоидную кисту III желудочка необходимо отдифференцировать от аденомы гипофиза, герминомы, краниофарингиомы, глиомы хиазмы, опухоли шишковидного тела и метастатических процессов данной локализации.
Лечение
В отделениях неврологии при лечении коллоидных кист III желудочка врачи придерживаются следующей тактики: образования малых размеров без наличия симптомов заболевания не лечатся, больного направляют на ежегодный снимок МРТ или КТ, по которому оценивают размер образования и склонность его к росту. При новообразованиях больших размеров с клиническими проявлениями или при прогрессирующем увеличении кисты показана консультация нейрохирурга для решения вопроса о хирургическом лечении.
Главными целями оперативного вмешательства являются: полное удаление кисты, освобождение ликворных путей и устранение тем самым синдрома повышенного внутричерепного давления. Применяются следующие хирургические методики: краниотомия и эндоскопическое удаление. Краниотомия - вскрытие черепной коробки и операция на открытом мозге, она позволяет полностью убрать новообразование, осмотреть полость III желудочка, восстановить ликворные пути. Ее недостатками являются большая травматичность и косметический дефект после операции. Эндоскопическое удаление коллоидной кисты проводится через небольшое отверстие в костях черепа с помощью специального аппарата, который позволяет как осмотреть полость III желудочка, так и удалить новообразование.
После операции по удалению кистозного образования и восстановлению тока цереброспинальной жидкости современными методами отмечается практически полное выздоровление больных. В редких случаях происходит рецидивирование патологического процесса, тогда возникает необходимость повторной операции.
Поскольку коллоидная киста III желудочка предположительно возникает как результат нарушения внутриутробного развития, то для предотвращения ее появления необходимо во время беременности избегать самолечения любыми лекарственными препаратами, отказаться от вредных привычек, соблюдать режим сна, употреблять мультивитаминные комплексы. Для профилактики начала роста коллоидной кисты у взрослых необходимо вести здоровый образ жизни.
Главными целями оперативного вмешательства являются: полное удаление кисты, освобождение ликворных путей и устранение тем самым синдрома повышенного внутричерепного давления. Применяются следующие хирургические методики: краниотомия и эндоскопическое удаление. Краниотомия - вскрытие черепной коробки и операция на открытом мозге, она позволяет полностью убрать новообразование, осмотреть полость III желудочка, восстановить ликворные пути. Ее недостатками являются большая травматичность и косметический дефект после операции. Эндоскопическое удаление коллоидной кисты проводится через небольшое отверстие в костях черепа с помощью специального аппарата, который позволяет как осмотреть полость III желудочка, так и удалить новообразование.
После операции по удалению кистозного образования и восстановлению тока цереброспинальной жидкости современными методами отмечается практически полное выздоровление больных. В редких случаях происходит рецидивирование патологического процесса, тогда возникает необходимость повторной операции.
Поскольку коллоидная киста III желудочка предположительно возникает как результат нарушения внутриутробного развития, то для предотвращения ее появления необходимо во время беременности избегать самолечения любыми лекарственными препаратами, отказаться от вредных привычек, соблюдать режим сна, употреблять мультивитаминные комплексы. Для профилактики начала роста коллоидной кисты у взрослых необходимо вести здоровый образ жизни.