Другие названия и синонимы
Neuroacanthocytosis.
МКБ-10 коды
|
|
Описание
Нейроакантоцитоз. Генетически детерминированное дегенеративное поражение головного мозга, сочетающееся с изменением формы эритроцитов (акантоцитозом). В клинике преобладают экстрапирамидные нарушения двигательной сферы (гиперкинезы, паркинсонизм), психические, когнитивные отклонения, аксональная полиневропатия. Нейроакантоцитоз диагностируется по данным неврологического, офтальмологического, нейропсихологического, генетического обследования при выявлении акантоцитов в анализе крови. Лечение симптоматическое: нейролептики, бензодиазепины, леводопа, психотропные средства.
Дополнительные факты
Впервые нейроакантоцитоз был описан в 1960 году американским врачом И. Левином, затем - в 1968 году английским неврологом М. Критчли. В честь исследователей заболевание получило название синдром Левина-Критчли. В последующем была определена генетическая основа патологии, однако этиопатогенетические механизмы остаются мало изученными. Нейроакантоцитоз - редкая болезнь, распространённость составляет 1-5 случаев на 1 млн. населения. Известны варианты заболевания в возрастном диапазоне от 8 до 62 лет. Наиболее часто нейроакантоцитоз манифестирует в период 10-39 лет. Заболеваемость не зависит от пола за исключением форм с х-сцепленным наследованием.
Причины
Синдром Левина-Критчли представляет собой генетически детерминированное мультисистемное заболевание с преимущественным поражением подкорковых ганглиев мозга и аномалией эритропоэза. Дефектный ген расположен в локусе 9q21 девятой хромосомы. Обычно прослеживается аутосомно-рецессивный путь передачи наследственного дефекта. Соответственно, нейроакантоцитоз проявляется вследствие передачи патологического гена от обоих родителей. Вероятность рождения больного ребёнка у семейной пары гетерозиготных носителей составляет 25%. У отдельных пациентов выявлено аутосомно-доминантное, рецессивное Х-сцепленное наследование, имеются спорадические случаи заболевания.
Патогенез
Патогенетические механизмы изучены недостаточно. Обнаружен детерминированный генетическим дефектом синтез аномального белка хореина. Многие исследователи считают, что данный белок влияет на нейросинаптическую передачу, участвуя в функционировании ионных каналов клеточной мембраны. Предположительно причиной повреждения нейронов является чрезмерная активация постсинаптической мембраны. Процессы затрагивают преимущественно нейроны стриарных и паллидарных структур. Морфологически определяется уменьшение количества нейронов, реактивная пролиферация глиальных элементов (астроцитов). Изменения распространяются на ретикулярную формацию, таламус, реже - церебральную кору, не затрагивают мозжечок, льюисово тело.
Клиническая картина
Ядро клинической картины синдрома Левина-Критчли составляет сочетание гиперкинезов с психическими расстройствами. Типичен дебют симптоматики во 2-4 декаде жизни. Исподволь возникает лёгкая дискинезия мышц орбитальной области, лица, перерастающая в орофациальный гиперкинез. Характерны появляющиеся помимо воли больного стереотипные гримасы, причмокивания, жевательные движения, облизывания, высовывания языка. Возможен зубной скрежет (бруксизм), спазм жевательных мышц (тризм). Дистония мышц языка приводит к непроизвольному выталкиванию помещённой в рот пищи. В неврологии симптом носит называние «дистония еды».
Типичной особенностью гиперкинеза выступает аутоагрессия: пациенты прикусывают внутреннюю поверхность щёк, обкусывают язык и губы. Насильственные сокращения мышц глотки и гортани обуславливают расстройство глотания (поперхивание едой, затруднение проглатывания даже жидкостей), нарушения работы артикуляционного аппарата с развитием дизартрии - неразборчивой, прерывистой речи. В последующем появляются вокальные тики, провоцирующие непроизвольное произношение отдельных звуков. Моторные тики бульбарной группы мышц обуславливают насильственную икоту, хрюканье, сопение.
С течением времени гиперкинез распространяется на мышцы конечностей, туловища, принимает характер хореического. В начальной стадии пациенты способны произвольно контролировать насильственные двигательные акты, постепенно способность к контролю ослабевает. Нейроакантоцитоз отличается сочетанием быстрых некоординированных размашистых движений генерализованного хореического гиперкинеза с тиками, дистоническими феноменами. Последние возникают вследствие тонического мышечного сокращения, проявляются застыванием больного в вычурной позе. По мере прогрессирования болезни гиперкинетический синдром сменяется гипокинезией - синдромом паркинсонизма. Случаи ранней манифестации синдрома Левина-Критчли отличаются возникновением брадикинезии и скованности на начальном этапе клинических проявлений, их сочетанием с тиками, отсутствием хореи.
Ассоциированные симптомы: Замедленность движений (брадикинезия). Икота. Онемение пальцев рук. Паретическая походка. Тремор.
Типичной особенностью гиперкинеза выступает аутоагрессия: пациенты прикусывают внутреннюю поверхность щёк, обкусывают язык и губы. Насильственные сокращения мышц глотки и гортани обуславливают расстройство глотания (поперхивание едой, затруднение проглатывания даже жидкостей), нарушения работы артикуляционного аппарата с развитием дизартрии - неразборчивой, прерывистой речи. В последующем появляются вокальные тики, провоцирующие непроизвольное произношение отдельных звуков. Моторные тики бульбарной группы мышц обуславливают насильственную икоту, хрюканье, сопение.
С течением времени гиперкинез распространяется на мышцы конечностей, туловища, принимает характер хореического. В начальной стадии пациенты способны произвольно контролировать насильственные двигательные акты, постепенно способность к контролю ослабевает. Нейроакантоцитоз отличается сочетанием быстрых некоординированных размашистых движений генерализованного хореического гиперкинеза с тиками, дистоническими феноменами. Последние возникают вследствие тонического мышечного сокращения, проявляются застыванием больного в вычурной позе. По мере прогрессирования болезни гиперкинетический синдром сменяется гипокинезией - синдромом паркинсонизма. Случаи ранней манифестации синдрома Левина-Критчли отличаются возникновением брадикинезии и скованности на начальном этапе клинических проявлений, их сочетанием с тиками, отсутствием хореи.
Ассоциированные симптомы: Замедленность движений (брадикинезия). Икота. Онемение пальцев рук. Паретическая походка. Тремор.
Возможные осложнения
Неуклонно прогрессируя, нейроакантоцитоз приводит к глубокой инвалидности. Больные утрачивают способность самообслуживания, самостоятельного передвижения. Усугубление когнитивного дефицита приводит к деменции. Серьезные осложнения связаны с постоянным прикусыванием слизистой ротовой полости, обуславливающим её хроническое травмирование. Образовавшиеся раны кровоточат, возможно их инфицирование с возникновением стоматита, гингивита, хейлита. Расстройство глотания может осложниться аспирацией пищи в дыхательные пути с развитием пневмонии. У ряда пациентов наблюдается кардиомиопатия, приводящая к сердечной недостаточности.
Диагностика
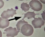
Заподозрить нейроакантоцитоз позволяет наследственный анамнез, типичная клиническая картина с сочетанием экстрапирамидных симптомов (хорея, тики, паркинсонизм), нарушений психической и когнитивной сферы, признаков полиневропатии. Определяющее значение имеет обнаружение акантоцитов, составляющих более 15% всех эритроцитов. Обследование пациента включает:
• Осмотр невролога. Выявляются гиперкинезы или паркинсонический синдром (брадикинезия, скованность, тремор), гипестезия конечностей по типу «перчаток и носков», мышечная дистония, дистальные парезы, снижение ахилловых, коленных рефлексов, Данные неврологического статуса свидетельствуют о поражении экстрапирамидных структур, сочетающихся с нейрогенной амиотрофией.
• Офтальмологическое обследование. При офтальмоскопии офтальмолог выявляет признаки пигментного ретинита, часто сопровождающего нейродистрофические процессы. В половине случаев нейроакантоцитоз протекает с пигментным ретинитом.
• Нейропсихологическое тестирование. Осуществляется нейропсихологом или психиатром. Позволяет провести комплексное психологическое обследование, определить состояние когнитивной сферы.
• Лабораторные исследования. Клинический анализ крови должен включать микроскопию мазка крови, которая обнаруживает акантоциты - аномальные эритроциты, имеющие шиповидные выросты. В биохимическом анализе крови отмечается повышение концентрации КФК, уровень липопротеидов соответствует норме.
• Электрофизиологические исследования. Электронейромиография диагностирует аксональную полинейропатию. Электроэнцефалография выявляет эпилептиформную активность мозга.
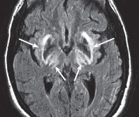
• Нейровизуализация. КТ, МРТ головного мозга визуализируют неспецифичные атрофические изменения, наиболее выраженные в хвостатом ядре, полосатом теле. ПЭТ головного мозга определяет гипометаболизм стриатума, снижение числа дофаминовых рецепторов.
• Генетическую диагностику. Проводится консультация генетика с составлением генеалогического древа для определения наследственного характера болезни, типа наследования. Возможно кариотипирование с целью выявления аномального гена.
• Осмотр невролога. Выявляются гиперкинезы или паркинсонический синдром (брадикинезия, скованность, тремор), гипестезия конечностей по типу «перчаток и носков», мышечная дистония, дистальные парезы, снижение ахилловых, коленных рефлексов, Данные неврологического статуса свидетельствуют о поражении экстрапирамидных структур, сочетающихся с нейрогенной амиотрофией.
• Офтальмологическое обследование. При офтальмоскопии офтальмолог выявляет признаки пигментного ретинита, часто сопровождающего нейродистрофические процессы. В половине случаев нейроакантоцитоз протекает с пигментным ретинитом.
• Нейропсихологическое тестирование. Осуществляется нейропсихологом или психиатром. Позволяет провести комплексное психологическое обследование, определить состояние когнитивной сферы.
• Лабораторные исследования. Клинический анализ крови должен включать микроскопию мазка крови, которая обнаруживает акантоциты - аномальные эритроциты, имеющие шиповидные выросты. В биохимическом анализе крови отмечается повышение концентрации КФК, уровень липопротеидов соответствует норме.
• Электрофизиологические исследования. Электронейромиография диагностирует аксональную полинейропатию. Электроэнцефалография выявляет эпилептиформную активность мозга.
• Нейровизуализация. КТ, МРТ головного мозга визуализируют неспецифичные атрофические изменения, наиболее выраженные в хвостатом ядре, полосатом теле. ПЭТ головного мозга определяет гипометаболизм стриатума, снижение числа дофаминовых рецепторов.
• Генетическую диагностику. Проводится консультация генетика с составлением генеалогического древа для определения наследственного характера болезни, типа наследования. Возможно кариотипирование с целью выявления аномального гена.
|
|
Дифференциальная диагностика
Дифференцировать нейроакантоцитоз следует от хореи Гентингтона, болезни Фара, малой хореи, синдрома Ретта, дисметаболических, медикаментозно-индуцированных хореических гиперкинезов. Хорея Гентингтона отличается неспособностью пациентов сдерживать гиперкинезы, отсутствием аутоагрессии. Болезнь Фара сопровождается образованием в головном мозге очагов кальциноза, визуализируемых при помощи церебральной КТ. Особенностью малой хореи является наличие ревматического заболевания, положительные ревмапробы крови. Синдром Ретта манифестирует в более раннем возрасте, чем нейроакантоцитоз.
Лечение
Специфическая терапия синдрома Левина-Критчли отсутствует. Проводится симптоматическое лечение. Гиперкинетический синдром купируется нейролептиками (галоперидол). При сочетании гиперкинезов с эпилептическими приступами назначаются бензодиазепины (клоназепам). Паркинсонизм служит показанием к терапии препаратами леводопы, агонистами дофаминовых рецепторов (пирибедил). Психические расстройства требуют назначения снотворных, седативных фармпрепаратов, нейролептиков, антидепрессантов.
Из-за прогрессирования заболевания пациенты со временем все больше нуждаются в постороннем уходе. С учётом дисфагии важным моментом является обеспечение полноценного питания больных. Для защиты слизистой от накусывания применяются специальные прокладки. Ранки ротовой полости обрабатываются антисептиками для предупреждения инфицирования.
Из-за прогрессирования заболевания пациенты со временем все больше нуждаются в постороннем уходе. С учётом дисфагии важным моментом является обеспечение полноценного питания больных. Для защиты слизистой от накусывания применяются специальные прокладки. Ранки ротовой полости обрабатываются антисептиками для предупреждения инфицирования.
Профилактика
Нейроакантоцитоз - неуклонно прогрессирующая патология ЦНС, приводящая к утрате возможности передвигаться, общаться, самостоятельно обслуживать себя. Пациенты погибают от осложнений в среднем спустя 14 лет от времени дебюта клинической симптоматики. Специфические профилактические мероприятия не разработаны. Предупреждению болезни способствует генетическое консультирование планирующих беременность пар.