Другие названия и синонимы
Viral encephalitis.
МКБ-10 коды
|
|
Описание
Вирусный энцефалит. Диффузные или очаговые воспалительные изменения в структурах головного мозга, обусловленные проникновением в них вирусных агентов. Клиническая картина вариабельна, зависит от вида вируса и состояния иммунной системы заболевшего; складывается из общеинфекционных, общемозговых и очаговых проявлений. Диагностический алгоритм включает ЭЭГ, Эхо-ЭГ, КТ или МРТ головного мозга, люмбальную пункцию и анализ ликвора, ПЦР-исследования с целью идентификации возбудителя. Лечение комбинированное: противовирусное, противоотечное, антиконвульсантное, антигипоксантное, нейропротекторное, психотропное.
Дополнительные факты
Вирусный энцефалит - воспалительное поражение вещества головного мозга вирусной этиологии. При вовлечении в процесс церебральных оболочек говорят о менингоэнцефалите, при распространении воспаления на спинной мозг - об энцефаломиелите. В зависимости от генеза различают первичный и вторичный вирусный энцефалит. Первый вызван прямым проникновением вируса в церебральные ткани, второй - вторичным поражением мозга на фоне острого инфекционного заболевания (гриппа, кори, краснухи, опоясывающего герпеса) или в результате поствакцинальных осложнений.
Распространенность вирусного энцефалита различной этиологии значительно варьирует климатически и географически. Так, японский комариный энцефалит наиболее часто встречается в Японии и странах Азии, энцефалит Сент-Луис наблюдается преимущественно в США, летаргический энцефалит Экономо - в Западной Европе, клещевой энцефалит - в лесных областях Восточной Европы. Учитывая сложности диагностики и идентификации возбудителя, риск развития грозных осложнений, проблема вирусного энцефалита продолжает оставаться актуальным вопросом практической неврологии.
Распространенность вирусного энцефалита различной этиологии значительно варьирует климатически и географически. Так, японский комариный энцефалит наиболее часто встречается в Японии и странах Азии, энцефалит Сент-Луис наблюдается преимущественно в США, летаргический энцефалит Экономо - в Западной Европе, клещевой энцефалит - в лесных областях Восточной Европы. Учитывая сложности диагностики и идентификации возбудителя, риск развития грозных осложнений, проблема вирусного энцефалита продолжает оставаться актуальным вопросом практической неврологии.
Причины
Среди нейротропных вирусов, обуславливающих возникновение энцефалита, наиболее распространен вирус простого герпеса. Причиной поражения церебрального вещества могут стать и другие герпес-вирусы: цитомегаловирус, вирус ветряной оспы, возбудитель инфекционного мононуклеоза (вирус Эпштейна-Барр). Этиофакторами вирусного энцефалита выступают также энтеровирусы ( вирус полиомиелита), аденовирусы, вирус эпидемического паротита, гриппа А, краснухи, кори, бешенства, арбовирусы, реовирусы, арена- и буньявирусы.
Передача инфекции происходит непосредственно от больного воздушно-капельным, контактным, фекально-оральным путями или трансмиссивно - при укусе переносчика (комара, клеща). В последнем случае резервуаром инфекции могут являться птицы и животные. Попадание нейротропного вируса в организм может быть следствием вакцинации живой ослабленной вакциной (например, антирабической, противополиомиелитной, противооспенной).
Немаловажное значение в развитии инфекционного процесса при поступлении вирусов в организм человека имеет состояние его иммунной системы, реактивность на момент инфицирования. В связи с этим к факторам, увеличивающим вероятность развития энцефалита и обуславливающим тяжесть его течения, относят младенческий и пожилой возраст, наличие иммунодефицитных заболеваний или состояний иммуносупрессии. Так, сам ВИЧ обычно не выступает прямой причиной заболевания, но обуславливает иммунодефицитное состояние, при котором увеличивается вероятность возникновения вирусного энцефалита.
Передача инфекции происходит непосредственно от больного воздушно-капельным, контактным, фекально-оральным путями или трансмиссивно - при укусе переносчика (комара, клеща). В последнем случае резервуаром инфекции могут являться птицы и животные. Попадание нейротропного вируса в организм может быть следствием вакцинации живой ослабленной вакциной (например, антирабической, противополиомиелитной, противооспенной).
Немаловажное значение в развитии инфекционного процесса при поступлении вирусов в организм человека имеет состояние его иммунной системы, реактивность на момент инфицирования. В связи с этим к факторам, увеличивающим вероятность развития энцефалита и обуславливающим тяжесть его течения, относят младенческий и пожилой возраст, наличие иммунодефицитных заболеваний или состояний иммуносупрессии. Так, сам ВИЧ обычно не выступает прямой причиной заболевания, но обуславливает иммунодефицитное состояние, при котором увеличивается вероятность возникновения вирусного энцефалита.
Классификация
По этиологии первичные вирусные энцефалиты подразделяют на сезонные, полисезонные и обусловленные неизвестным вирусом. Сезонные энцефалиты являются трансмиссивными, заболеваемость ими наблюдается строго в определенное время года. К этой группе относятся клещевой энцефалит, японский энцефалит, энцефалит Сент-Луис и энцефалит долины Муррея (австралийский). Полисезонные энцефалиты не имеют четкой сезонности (например, гриппозный, энтеровирусный, герпетический энцефалиты и энцефалит при бешенстве). К энцефалитам предположительно вирусной этиологии с невыделенным возбудителем относятся лейкоэнцефалиты, летаргический энцефалит. Вторичные вирусные энцефалиты классифицируют на связанные с общей вирусной инфекцией (при ветряной оспе, кори ) и поствакцинальные.
По преимущественной локализации воспалительных изменений выделяют лейкоэнцефалиты с преобладанием воспаления белого мозгового вещества, полиоэнцефалиты с преимущественным воспалением серого вещества (летаргический энцефалит) и панэнцефалиты с диффузным вовлечением церебральных структур (японский, клещевой, Сент-Луис, австралийский).
По преимущественной локализации воспалительных изменений выделяют лейкоэнцефалиты с преобладанием воспаления белого мозгового вещества, полиоэнцефалиты с преимущественным воспалением серого вещества (летаргический энцефалит) и панэнцефалиты с диффузным вовлечением церебральных структур (японский, клещевой, Сент-Луис, австралийский).
Клиническая картина
Клиническая картина зависит от вида энцефалита и особенностей его протекания. Дебют, как правило, характеризуется общеинфекционными проявлениями: лихорадкой, недомоганием, миалгией, першением/болью в горле или послаблением стула и дискомфортом в животе. Затем на их фоне проявляются общемозговые симптомы: цефалгия (головная боль), тошнота без связи с едой, рвота, повышенная чувствительность к свету, головокружение, эпилептические пароксизмы Цефалгия обычно затрагивает лобную области и глазницы. Возможны психосенсорные нарушения, менингеальный синдром, различные виды расстройств сознания (заторможенность, сопор, кома), психомоторное возбуждение, делирий, аменция.
Параллельно с нарастанием выше указанных проявлений возникает очаговый неврологический дефицит. Могут наблюдаться сочетающиеся с гипестезией спастические парезы, атаксия, афазия, признаки поражения черепно-мозговых нервов (снижение слуха, нарушение остроты зрения и изменение зрительных полей, глазодвигательные расстройства, бульбарный паралич), мозжечковый синдром (дискоординация, раскачивающаяся походка, размашистость, мышечная гипотония, интенционный тремор, дизартрия).
Указанные выше проявления могут отмечаться при энцефалите любой этиологии. Однако отдельные вирусные энцефалиты имеют специфические клинические симптомы или характерное сочетание признаков, позволяющие отличить их среди множества других подобных заболеваний. Так, для летаргического энцефалита типична гиперсомния, для японского энцефалита - тяжелые нарушения сознания, для коревого энцефалита - галлюцинации и психомоторное возбуждение, для ветряночного - мозжечковая атаксия, для энцефалита Сент-Луис - умеренные расстройства сознания и менингеальный синдром.
Ассоциированные симптомы: Боль в шейном отделе позвоночника. Боль во всей голове. Галлюцинации. Головная боль. Замедленность движений (брадикинезия). Икота. Маскообразное лицо (гипомимия). Недомогание. Першение в горле. Рвота. Тонико-клонические судороги. Тошнота. Тремор. Тремор при движении.
Параллельно с нарастанием выше указанных проявлений возникает очаговый неврологический дефицит. Могут наблюдаться сочетающиеся с гипестезией спастические парезы, атаксия, афазия, признаки поражения черепно-мозговых нервов (снижение слуха, нарушение остроты зрения и изменение зрительных полей, глазодвигательные расстройства, бульбарный паралич), мозжечковый синдром (дискоординация, раскачивающаяся походка, размашистость, мышечная гипотония, интенционный тремор, дизартрия).
Указанные выше проявления могут отмечаться при энцефалите любой этиологии. Однако отдельные вирусные энцефалиты имеют специфические клинические симптомы или характерное сочетание признаков, позволяющие отличить их среди множества других подобных заболеваний. Так, для летаргического энцефалита типична гиперсомния, для японского энцефалита - тяжелые нарушения сознания, для коревого энцефалита - галлюцинации и психомоторное возбуждение, для ветряночного - мозжечковая атаксия, для энцефалита Сент-Луис - умеренные расстройства сознания и менингеальный синдром.
Ассоциированные симптомы: Боль в шейном отделе позвоночника. Боль во всей голове. Галлюцинации. Головная боль. Замедленность движений (брадикинезия). Икота. Маскообразное лицо (гипомимия). Недомогание. Першение в горле. Рвота. Тонико-клонические судороги. Тошнота. Тремор. Тремор при движении.
Диагностика
Отсутствие специфической клинической симптоматики и сходство с другими поражениями ЦНС (острой энцефалопатией, острым рассеянным энцефаломиелитом, бактериальным энцефалитом и пр. ) делает диагностику вирусного энцефалита непростой задачей. В ходе ее решения неврологу следует опираться на анамнестические и эпидемиологические данные, особенности клиники и результаты дополнительных исследований.
Эхо-энцефалография обычно определяет ликворную гипертензию, ЭЭГ - диффузные изменения с доминированием медленноволновой активности, в ряде случаев с наличием эпиактивности. Офтальмоскопия выявляет изменения дисков зрительных нервов. При выполнении люмбальной пункции наблюдается повышенное давление цереброспинальной жидкости (ликвора), ее цвет не изменен. Отличительной особенностью энцефалитов вирусного генеза является выявление лимфоцитарного плеоцитоза при исследовании цереброспинальной жидкости. Однако первоначально подобные изменения могут отсутствовать, поэтому через сутки необходимо повторно взять ликвор на анализ.
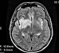
Подтвердить наличие энцефалита, определить распространенность и преимущественную локализацию воспалительных изменений позволяют КТ и МРТ головного мозга. КТ головного мозга визуализирует зону поражения церебральных тканей как имеющую пониженную плотность, МРТ в Т1-режиме - как гипоинтенсивную, МРТ в Т2-режиме - как гиперинтенсивную. МРТ обладает большей чувствительностью, что особенно важно на начальных стадиях заболевания.
Верификация возбудителя зачастую является сложной, а иногда и невыполнимой задачей. Серологические методы предполагают исследование парных сывороток с интервалом 3-4 недели и поэтому имеют лишь ретроспективное значение. На практике для ранней идентификации возбудителя используется выявление ДНК или РНК вируса при помощи ПЦР-исследования цереброспинальной жидкости. Однако этот метод способен выявлять не все вирусы.
Эхо-энцефалография обычно определяет ликворную гипертензию, ЭЭГ - диффузные изменения с доминированием медленноволновой активности, в ряде случаев с наличием эпиактивности. Офтальмоскопия выявляет изменения дисков зрительных нервов. При выполнении люмбальной пункции наблюдается повышенное давление цереброспинальной жидкости (ликвора), ее цвет не изменен. Отличительной особенностью энцефалитов вирусного генеза является выявление лимфоцитарного плеоцитоза при исследовании цереброспинальной жидкости. Однако первоначально подобные изменения могут отсутствовать, поэтому через сутки необходимо повторно взять ликвор на анализ.
Подтвердить наличие энцефалита, определить распространенность и преимущественную локализацию воспалительных изменений позволяют КТ и МРТ головного мозга. КТ головного мозга визуализирует зону поражения церебральных тканей как имеющую пониженную плотность, МРТ в Т1-режиме - как гипоинтенсивную, МРТ в Т2-режиме - как гиперинтенсивную. МРТ обладает большей чувствительностью, что особенно важно на начальных стадиях заболевания.
Верификация возбудителя зачастую является сложной, а иногда и невыполнимой задачей. Серологические методы предполагают исследование парных сывороток с интервалом 3-4 недели и поэтому имеют лишь ретроспективное значение. На практике для ранней идентификации возбудителя используется выявление ДНК или РНК вируса при помощи ПЦР-исследования цереброспинальной жидкости. Однако этот метод способен выявлять не все вирусы.
|
|
Лечение
Терапия комплексная и складывается из этиотропного, патогенетического, симптоматического и реабилитационного лечения. Этиотропная составляющая предполагает назначение противовирусных фармпрепаратов: при герпетическом энцефалите ацикловира и ганцикловира, при арбовирусах - рибавирина. Параллельно осуществляется терапия интерфероном и его аналогами. Возможно использование специфического иммуноглобулина.
Патогенетическая составляющая заключается в коррекции жизненно важных функций (по показаниям - сердечные гликозиды, вазоактивные препараты, оксигенотерапия, ИВЛ), применении противоотечных средств (маннитола, фуросемида, ацетазоламида), антигипоксантов (этилметилгидроксипиридина сукцината, мельдония), нейропротекторов (оксиметилэтилпиридина сукцината, пирацетама, глицина, скополамина). Зачастую возникает необходимость в назначении глюкокортикоидов, обладающих выраженным противовоспалительным и противоотечным действием. Симптоматическая терапия подразумевает использование по мере необходимости антиконвульсантов (карбамазепина, вальпроатов, диазепама), противорвотных препаратов (метоклопрамида), психотропных средств (нейролептиков, транквилизаторов).
Восстановительное лечение предусматривает сосудистую и нейропротекторную терапию с целью скорейшего и как можно более полного восстановления церебральных структур и их функций. При наличии парезов обязательными компонентами реабилитации являются массаж и ЛФК; возможно использование физиотерапии - электрофореза, электромиостимуляции, рефлексотерапии. При нарушениях психики необходима консультация психиатра с осуществлением коррекционной терапии, психотерапии, социальной адаптации.
Мерами профилактики трансмиссивных энцефалитов являются защита от насекомых-переносчиков, специфическая вакцинация населения эндемических очагов и людей, собирающихся их посетить. Профилактикой развития вторичного энцефалита на фоне вирусного заболевания служит своевременное и адекватное лечение инфекции, поддержание высокого уровня функционирования иммунной системы. Предупреждение поствакцинальных энцефалитов заключается в адекватном отборе лиц для вакцинации, правильном дозировании и введении вакцин.
Патогенетическая составляющая заключается в коррекции жизненно важных функций (по показаниям - сердечные гликозиды, вазоактивные препараты, оксигенотерапия, ИВЛ), применении противоотечных средств (маннитола, фуросемида, ацетазоламида), антигипоксантов (этилметилгидроксипиридина сукцината, мельдония), нейропротекторов (оксиметилэтилпиридина сукцината, пирацетама, глицина, скополамина). Зачастую возникает необходимость в назначении глюкокортикоидов, обладающих выраженным противовоспалительным и противоотечным действием. Симптоматическая терапия подразумевает использование по мере необходимости антиконвульсантов (карбамазепина, вальпроатов, диазепама), противорвотных препаратов (метоклопрамида), психотропных средств (нейролептиков, транквилизаторов).
Восстановительное лечение предусматривает сосудистую и нейропротекторную терапию с целью скорейшего и как можно более полного восстановления церебральных структур и их функций. При наличии парезов обязательными компонентами реабилитации являются массаж и ЛФК; возможно использование физиотерапии - электрофореза, электромиостимуляции, рефлексотерапии. При нарушениях психики необходима консультация психиатра с осуществлением коррекционной терапии, психотерапии, социальной адаптации.
Мерами профилактики трансмиссивных энцефалитов являются защита от насекомых-переносчиков, специфическая вакцинация населения эндемических очагов и людей, собирающихся их посетить. Профилактикой развития вторичного энцефалита на фоне вирусного заболевания служит своевременное и адекватное лечение инфекции, поддержание высокого уровня функционирования иммунной системы. Предупреждение поствакцинальных энцефалитов заключается в адекватном отборе лиц для вакцинации, правильном дозировании и введении вакцин.