Другие названия и синонимы
Acute proctitis.
МКБ-10 коды
- МКБ-10
- K62.8.1* Проктит
|
|
Описание
Острый проктит. Острое воспаление слизистой прямой кишки. Характерно внезапное начало. Заболевание проявляется острыми болями, запорами в сочетании с частыми ложными позывами, жжением и ощущением тяжести в прямой кишке, патологическими выделениями из заднего прохода, нарушением общего состояния, ознобами и гипертермией. Острый проктит может заканчиваться выздоровлением или переходить в хроническую форму. Диагностируется на основании жалоб, анамнеза, данных ректального осмотра и ректоскопии. Лечение - диета, антибиотикотерапия, местные противовоспалительные средства, клизмы, сидячие ванны, иногда - гормональные препараты.
Дополнительные факты
Острый проктит - острый воспалительный процесс в зоне слизистой оболочки прямой кишки, возникающий в результате инфицирования, наличия паразитов, механического, химического либо лучевого воздействия. Нередко сочетается с сигмоидитом. Иногда распространяется на подкожную жировую клетчатку в области ануса с развитием парапроктита. Встречаются также изолированные формы острого проктита с поражением нижних отделов кишки. Проявления болезни сохраняются в течение нескольких дней или недель (в зависимости от формы и распространенности воспалительного процесса). Исходом может стать выздоровление или развитие хронического проктита. Данные о распространенности острого проктита отсутствуют. Заболевание одинаково часто выявляется у пациентов обоих полов. Лечение осуществляют специалисты в сфере проктологии.
Причины
Данное заболевание может провоцироваться особенностями диеты, гельминтами, запорами, инфекциями, химическими и механическими воздействиями, а также облучением зоны малого таза. Развитию острого проктита способствует привычка к употреблению острой пищи и склонность к злоупотреблению алкогольными напитками. Существенную роль играет застой фекальных масс в прямой кишке, сопровождающийся нарушениями венозного оттока и механическими повреждениями слизистой кишечника.
Острый проктит может возникать на фоне гельминтозов (амебиаза, аскаридоза ), неспецифических и специфических инфекционных процессов. В числе специфических инфекций, способных спровоцировать острый проктит, исследователи указывают гонорею. При незащищенных анальных сексуальных контактах с партнером, инфицированным бледной трепонемой, на слизистой прямой кишки может образовываться первичный сифилитический шанкр. Острый лучевой проктит может выявляться у онкологических больных, проходивших лучевую терапию по поводу злокачественных опухолей органов малого таза.
Причиной острого проктита иногда становятся инородные тела в заднем проходе, слишком горячие и слишком холодные очистительные клизмы либо клизмы с раздражающими веществами, вызывающими воспаление слизистой. Развитию острого проктита могут способствовать некоторые заболевания области ануса, близлежащих органов и тканей (парапроктит, анальная трещина, геморрой, вульвовагинит, цистит), а также иммунные нарушения различного генеза и ослабление организма, обусловленное переохлаждением, физическим и эмоциональным перенапряжением.
Острый проктит может возникать на фоне гельминтозов (амебиаза, аскаридоза ), неспецифических и специфических инфекционных процессов. В числе специфических инфекций, способных спровоцировать острый проктит, исследователи указывают гонорею. При незащищенных анальных сексуальных контактах с партнером, инфицированным бледной трепонемой, на слизистой прямой кишки может образовываться первичный сифилитический шанкр. Острый лучевой проктит может выявляться у онкологических больных, проходивших лучевую терапию по поводу злокачественных опухолей органов малого таза.
Причиной острого проктита иногда становятся инородные тела в заднем проходе, слишком горячие и слишком холодные очистительные клизмы либо клизмы с раздражающими веществами, вызывающими воспаление слизистой. Развитию острого проктита могут способствовать некоторые заболевания области ануса, близлежащих органов и тканей (парапроктит, анальная трещина, геморрой, вульвовагинит, цистит), а также иммунные нарушения различного генеза и ослабление организма, обусловленное переохлаждением, физическим и эмоциональным перенапряжением.
Классификация
С учетом характера поражения слизистой прямой кишки выделяют следующие виды острого проктита:
• Катарально. Слизистый - сопровождается гиперемией зоны поражения и выделением слизи.
• Катарально. Геморрагический - наблюдаются отек, гиперемия и образование множественных мелких кровоизлияний в зоне поражения.
• Катарально. Гнойный - сопровождается отеком слизистой оболочки и образованием гноя.
• Гнойно. Фибринозный - напоминает катарально - гнойный острый проктит, но отличается от него консистенцией гноя, в котором присутствуют большие количества фибрина. Сопровождается образованием гнойно-фибринозных пленок на поверхности слизистой.
• Эрозивный. Проявляется формированием поверхностных дефектов слизистой.
• Язвенный. Сопровождается образованием глубоких дефектов слизистой.
• Язвенно. Некротический - представляет собой тяжелый вариант острого язвенного проктита, при котором на слизистой оболочке прямой кишки, наряду с язвами, образуются участки некроза.
• Полипозный. Проявляется образованием выростов, по внешнему виду напоминающих полипы кишечника.
• Катарально. Слизистый - сопровождается гиперемией зоны поражения и выделением слизи.
• Катарально. Геморрагический - наблюдаются отек, гиперемия и образование множественных мелких кровоизлияний в зоне поражения.
• Катарально. Гнойный - сопровождается отеком слизистой оболочки и образованием гноя.
• Гнойно. Фибринозный - напоминает катарально - гнойный острый проктит, но отличается от него консистенцией гноя, в котором присутствуют большие количества фибрина. Сопровождается образованием гнойно-фибринозных пленок на поверхности слизистой.
• Эрозивный. Проявляется формированием поверхностных дефектов слизистой.
• Язвенный. Сопровождается образованием глубоких дефектов слизистой.
• Язвенно. Некротический - представляет собой тяжелый вариант острого язвенного проктита, при котором на слизистой оболочке прямой кишки, наряду с язвами, образуются участки некроза.
• Полипозный. Проявляется образованием выростов, по внешнему виду напоминающих полипы кишечника.
Клиническая картина
Для данного заболевания характерно внезапное начало с ухудшением общего состояния, гипертермией, ознобами и запорами в сочетании с тенезмами. Пациентов с острым проктитом беспокоят интенсивные боли в зоне поражения, усиливающиеся в момент дефекации. Боли могут иррадиировать в промежность и половые органы. Реже отмечается иррадиация в поясничную область. Многие больные острым проктитом жалуются на жжение и тяжесть в области прямой кишки. Возможны патологические выделения из заднего прохода.
Выраженность и время появления симптомов могут различаться в зависимости от типа и причины развития болезни. Острый проктит, вызванный механическим, химическим или термическим повреждением прямой кишки, возникает через несколько часов или дней после неблагоприятного воздействия. Для лучевого проктита характерно отсроченное появление симптоматики (обычно - через несколько недель или месяцев после завершения лучевой терапии). Острый проктит, обусловленный алиментарными факторами, постоянными запорами или хроническими воспалительными процессами, может возникать на фоне обычного состояния, в период обострения или после особенно грубого нарушения диеты.
Температура тела пациентов с острым проктитом чаще субфебрильная. Выраженная гипертермия с сильными ознобами обычно выявляется при гнойных и язвенных формах заболевания. При слизистом остром проктите наблюдается выделение слизи, при гнойном - выделение гноя. При язвенной и язвенно-некротической формах в кале обнаруживаются примеси свежей крови либо кровяные сгустки. Развитие лучевого проктита сопровождается появлением кровянистых выделений, тяжести и жжения в пораженной области.
Ассоциированные симптомы: Боль в кишечнике. Жжение в заднем проходе. Запор. Кишечные тенезмы. Озноб. Ощущение инородного тела в заднем проходе.
Выраженность и время появления симптомов могут различаться в зависимости от типа и причины развития болезни. Острый проктит, вызванный механическим, химическим или термическим повреждением прямой кишки, возникает через несколько часов или дней после неблагоприятного воздействия. Для лучевого проктита характерно отсроченное появление симптоматики (обычно - через несколько недель или месяцев после завершения лучевой терапии). Острый проктит, обусловленный алиментарными факторами, постоянными запорами или хроническими воспалительными процессами, может возникать на фоне обычного состояния, в период обострения или после особенно грубого нарушения диеты.
Температура тела пациентов с острым проктитом чаще субфебрильная. Выраженная гипертермия с сильными ознобами обычно выявляется при гнойных и язвенных формах заболевания. При слизистом остром проктите наблюдается выделение слизи, при гнойном - выделение гноя. При язвенной и язвенно-некротической формах в кале обнаруживаются примеси свежей крови либо кровяные сгустки. Развитие лучевого проктита сопровождается появлением кровянистых выделений, тяжести и жжения в пораженной области.
Ассоциированные симптомы: Боль в кишечнике. Жжение в заднем проходе. Запор. Кишечные тенезмы. Озноб. Ощущение инородного тела в заднем проходе.
Диагностика
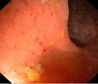
Заболевание диагностируется на основании клинических симптомов, данных пальцевого исследования прямой кишки и дополнительных диагностических процедур. При проведении пальцевого исследования у больных острым проктитом выявляются спазматическое сокращение либо расслабление сфинктера, отечность и инфильтрация слизистой. После извлечения пальца на перчатке обнаруживаются следы крови и слизи. При ректоскопии визуализируются отечность и гиперемия слизистой, эрозии, язвы, кровоизлияния.
При проведении эндоскопии врач осуществляет эндоскопическую биопсию для последующего гистологического исследования материала. Кроме перечисленных исследований, в процессе диагностики острого проктита используют анализы кала на бакпосев и на наличие яиц глистов (для определения причины развития болезни и выбора наиболее эффективной лечебной тактики).
При проведении эндоскопии врач осуществляет эндоскопическую биопсию для последующего гистологического исследования материала. Кроме перечисленных исследований, в процессе диагностики острого проктита используют анализы кала на бакпосев и на наличие яиц глистов (для определения причины развития болезни и выбора наиболее эффективной лечебной тактики).
|
|
Дифференциальная диагностика
Дифференциальный диагноз проводят со злокачественными опухолями прямой кишки и абсцедирующим фурункулом промежности.
Лечение
Лечение консервативное. Пациентам советуют отказаться от употребления жирной, соленой, острой, кислой и сладкой пищи и продуктов с высоким содержанием грубой клетчатки. Назначают щадящую диету, предусматривающую употребление нежирного протертого мяса, постных жидких и полужидких блюд. На начальных стадиях острого проктита проктолог рекомендует покой, в последующем - умеренную физическую активность, которая способствует предотвращению застоя каловых масс в прямой кишке. Указывают на необходимость исключить длительное пребывание в сидячем положении.
Осуществляют антибиотикотерапию с учетом чувствительности флоры, выделенной при посеве кишечного содержимого. При остром проктите, обусловленном специфическими инфекциями, проводят соответствующую терапию, при гельминтозах назначают антигельминтные средства. Применяют антигистаминные и спазмолитические препараты, устраняющие спазм прямой кишки. Используют свечи с противовоспалительными средствами и компонентами, способствующими восстановлению слизистой, а также очистительные клизмы с ромашкой и сидячие ванночки с раствором перманганата калия. При язвенных формах острого проктита вводят гормональные препараты местного действия.
Осуществляют антибиотикотерапию с учетом чувствительности флоры, выделенной при посеве кишечного содержимого. При остром проктите, обусловленном специфическими инфекциями, проводят соответствующую терапию, при гельминтозах назначают антигельминтные средства. Применяют антигистаминные и спазмолитические препараты, устраняющие спазм прямой кишки. Используют свечи с противовоспалительными средствами и компонентами, способствующими восстановлению слизистой, а также очистительные клизмы с ромашкой и сидячие ванночки с раствором перманганата калия. При язвенных формах острого проктита вводят гормональные препараты местного действия.