Другие названия и синонимы
Perforation of the colon, Прободение толстой кишки.
МКБ-10 коды
|
|
Описание
Перфорация толстой кишки. Сквозное повреждение стенки толстого кишечника, при котором содержимое органа попадает в брюшную полость. Проявляется интенсивным болевым синдромом, напряжением мышц брюшной стенки, вздутием живота, тошнотой, рвотой, отсутствием аппетита, тахикардией и гипертермией. Является неотложным состоянием, требующим проведения экстренной операции. При отсутствии лечения осложняется перитонитом. Существует высокая вероятность летального исхода. Диагностируется на основании симптомов и данных обзорной рентгенографии. Лечение - ушивание перфорационного отверстия, резекция кишки с созданием прямого анастомоза либо наложение колостомы.
Дополнительные факты
Перфорация толстой кишки - нарушение целостности стенки кишечника, сопровождающееся выходом кишечного содержимого в брюшную полость. По данным исследователей, перфорация толстой кишки является второй по распространенности причиной появления свободного газа в брюшной полости после прободения желудка и двенадцатиперстной кишки. Чаще возникает в области слепой кишки, реже выявляется в других отделах толстого кишечника. Мужчины страдают чаще женщин. Из-за большого количества бактерий в толстом кишечнике перфорация толстой кишки быстро осложняется развитием бактериального перитонита. Уровень смертности при прободениях данного анатомического отдела кишечника достигает 50%. Особенно часто неблагоприятный прогноз отмечается при развитии перфорации у лиц пожилого возраста. Лечение осуществляют специалисты в области проктологии и абдоминальной хирургии.
Причины
Выделяют прободения толстого кишечника травматического и нетравматического генеза. Первое место по распространенности среди причин развития нетравматических перфораций занимают острые дивертикулиты (45-50% от общего количества случаев), обычно осложняющиеся формированием абсцессов. Реже встречается перфорация толстой кишки при колоректальном раке. Нарушение целостности стенки кишечника при онкологическом заболевании может становиться следствием распада опухоли либо возникать в результате обтурации просвета кишечника, давления каловых масс на стенку кишки, нарушения ее кровоснабжения и последующего некроза.
Кроме того, перфорация толстой кишки может наблюдаться при обтурации кишечника неонкологической природы, болезни Крона, язвенном колите и токсическом мегаколоне. В отдельных случаях причиной прободения становятся медицинские процедуры, например, колоноскопия или ректороманоскопия. Частота подобных осложнений, по данным исследователей, составляет примерно 0,2%. Фактором, увеличивающим вероятность нетравматической перфорации толстой кишки любого генеза, является прием иммунодепрессантов и некоторых гормональных препаратов. Травматические прободения толстой кишки возникают при колотых, резаных, рубленых и рваных ранах, а также при закрытых повреждениях зоны живота и рассматриваются в статье «Травмы живота».
Кроме того, перфорация толстой кишки может наблюдаться при обтурации кишечника неонкологической природы, болезни Крона, язвенном колите и токсическом мегаколоне. В отдельных случаях причиной прободения становятся медицинские процедуры, например, колоноскопия или ректороманоскопия. Частота подобных осложнений, по данным исследователей, составляет примерно 0,2%. Фактором, увеличивающим вероятность нетравматической перфорации толстой кишки любого генеза, является прием иммунодепрессантов и некоторых гормональных препаратов. Травматические прободения толстой кишки возникают при колотых, резаных, рубленых и рваных ранах, а также при закрытых повреждениях зоны живота и рассматриваются в статье «Травмы живота».
Клиническая картина
Характерна клиническая симптоматика острого живота. Пациенты жалуются на интенсивные боли, придерживают живот руками, щадят его при дыхании, стараются сохранять неподвижность, принимая вынужденное положение на боку или на спине с согнутыми ногами. Температура тела больных с перфорацией толстой кишки повышена сначала до субфебрильных, а затем до фебрильных цифр. Отмечаются слабость, бледность кожи, тошнота, рвота, уменьшение количества мочи, тахикардия и нарушения дыхания. Живот вздут, передняя брюшная стенка напряжена. Боли усиливаются при пальпации, особенно сильная болезненность выявляется в зоне прободения.
Через некоторое время после перфорации толстой кишки интенсивность болевого синдрома уменьшается, поскольку рецепторы брюшины адаптируются к патологическим изменениям в брюшной полости. При развитии перитонита боли и напряжение брюшной стенки усиливаются, становятся разлитыми, распространяющимися на все отделы живота. При перкуссии печени у пациентов с перфорацией толстой кишки определяется исчезновение печеночной тупости, свидетельствующее о наличии газа в брюшной полости. В отлогих местах живота может выявляться притупление звука, обусловленное наличием жидкости. При аускультации определяется ослабление либо исчезновение кишечных шумов вследствие нарушений перистальтики.
При наличии дивертикулита, осложнившегося абсцессом с последующей перфорацией толстой кишки, во время пальцевого исследования прямой кишки или пальпации области живота может выявляться инфильтрат. В некоторых случаях (обычно - при злокачественных опухолях или образовании спаек) перфорация толстой кишки происходит не в брюшную полость, а в близлежащий орган, например, во влагалище либо мочевой пузырь. В подобных случаях образуется кишечно-влагалищный или кишечно-пузырный свищ, сопровождающийся выделением газов и кишечного содержимого из уретры или влагалища.
Особенности клинической картины перфорации толстой кишки зависят от уровня прободения, размера перфорационного отверстия, наличия или отсутствия обструкции толстого кишечника. Как правило, проксимальное поражение толстой кишки протекает тяжелее из-за быстрой диссеминации жидкого кишечного содержимого по брюшной полости. Исключением являются случаи, когда причиной перфорации толстой кишки становится обструкция кишечника. В подобных случаях периоды ложного благополучия, обусловленные уменьшением давления содержимого на кишечную стенку, выражены ярче, чем обычно. Иногда перфорация толстой кишки протекает с нечетко выраженной симптоматикой из-за небольшого размера перфорационного отверстия либо близости сальника, препятствующего выходу содержимого в брюшную полость.
Ассоциированные симптомы: Боль в кишечнике. Лейкоцитоз. Отсутствие аппетита. Рвота. Тошнота. Холодный пот.
Через некоторое время после перфорации толстой кишки интенсивность болевого синдрома уменьшается, поскольку рецепторы брюшины адаптируются к патологическим изменениям в брюшной полости. При развитии перитонита боли и напряжение брюшной стенки усиливаются, становятся разлитыми, распространяющимися на все отделы живота. При перкуссии печени у пациентов с перфорацией толстой кишки определяется исчезновение печеночной тупости, свидетельствующее о наличии газа в брюшной полости. В отлогих местах живота может выявляться притупление звука, обусловленное наличием жидкости. При аускультации определяется ослабление либо исчезновение кишечных шумов вследствие нарушений перистальтики.
При наличии дивертикулита, осложнившегося абсцессом с последующей перфорацией толстой кишки, во время пальцевого исследования прямой кишки или пальпации области живота может выявляться инфильтрат. В некоторых случаях (обычно - при злокачественных опухолях или образовании спаек) перфорация толстой кишки происходит не в брюшную полость, а в близлежащий орган, например, во влагалище либо мочевой пузырь. В подобных случаях образуется кишечно-влагалищный или кишечно-пузырный свищ, сопровождающийся выделением газов и кишечного содержимого из уретры или влагалища.
Особенности клинической картины перфорации толстой кишки зависят от уровня прободения, размера перфорационного отверстия, наличия или отсутствия обструкции толстого кишечника. Как правило, проксимальное поражение толстой кишки протекает тяжелее из-за быстрой диссеминации жидкого кишечного содержимого по брюшной полости. Исключением являются случаи, когда причиной перфорации толстой кишки становится обструкция кишечника. В подобных случаях периоды ложного благополучия, обусловленные уменьшением давления содержимого на кишечную стенку, выражены ярче, чем обычно. Иногда перфорация толстой кишки протекает с нечетко выраженной симптоматикой из-за небольшого размера перфорационного отверстия либо близости сальника, препятствующего выходу содержимого в брюшную полость.
Ассоциированные симптомы: Боль в кишечнике. Лейкоцитоз. Отсутствие аппетита. Рвота. Тошнота. Холодный пот.
Диагностика
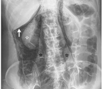
Прободение толстого кишечника диагностируется проктологом на основании жалоб, данных физикального осмотра, инструментальных и лабораторных исследований. Постановка диагноза «перфорация толстой кишки», как правило, не вызывает затруднений. Симптомы острой абдоминальной катастрофы дополняются данными рентгенологических исследований, свидетельствующих о наличии свободного газа в брюшной полости. На обзорных рентгенограммах, выполненных в положении стоя, газ обычно хорошо просматривается под диафрагмой. При невозможности выполнить рентгенографию в положении стоя пациента с подозрением на перфорацию толстой кишки укладывают на бок и оставляют на несколько минут, чтобы газ успел переместиться и лучше просматривался на снимках.
При перфорации толстой кишки, возникшей вследствие кишечной непроходимости, на снимках могут обнаруживаться чаши Клойбера (затемнения в виде перевернутых чаш с горизонтальным уровнем жидкости под раздутыми газом участками кишечника). В сомнительных случаях осуществляют перитонеальный лаваж с последующим исследованием жидкости на содержание крови, кишечного содержимого, бактерий и лейкоцитов. Лабораторные анализы в первые часы после перфорации толстой кишки обычно малоинформативны. Отмечается лейкоцитоз со сдвигом влево. При развитии перитонита выявляются электролитные расстройства. При нарушении функций печени и развитии острой почечной недостаточности обнаруживаются соответствующие изменения со стороны крови и мочи.
При перфорации толстой кишки, возникшей вследствие кишечной непроходимости, на снимках могут обнаруживаться чаши Клойбера (затемнения в виде перевернутых чаш с горизонтальным уровнем жидкости под раздутыми газом участками кишечника). В сомнительных случаях осуществляют перитонеальный лаваж с последующим исследованием жидкости на содержание крови, кишечного содержимого, бактерий и лейкоцитов. Лабораторные анализы в первые часы после перфорации толстой кишки обычно малоинформативны. Отмечается лейкоцитоз со сдвигом влево. При развитии перитонита выявляются электролитные расстройства. При нарушении функций печени и развитии острой почечной недостаточности обнаруживаются соответствующие изменения со стороны крови и мочи.
|
|
Лечение
При перфорации толстой кишки показано экстренное хирургическое вмешательство (за исключением случаев прободения в другой орган). Из-за увеличения риска развития летального исхода при задержке операции средняя продолжительность предоперационной подготовки в подобных случаях составляет всего 2-4 часа. Лечебную тактику определяют с учетом причины возникновения и локализации перфорации толстой кишки, выраженности перитонита и некоторых других факторов. Обычно выполняют промывание брюшной полости и наложение колостомы. При отсутствии признаков перитонита и небольшом перфорационном отверстии, ограниченном сальником, в отдельных случаях допустимо ушивание перфорационного отверстия или резекция толстой кишки.
Операцию по поводу перфорации толстой кишки проводят под эндотрахеальным наркозом, на фоне внутривенного переливания растворов электролитов. Брюшную полость дренируют. В послеоперационном периоде осуществляют контроль пульса, давления и почасового диуреза. При выраженной кровопотере пациентам с перфорацией толстой кишки производят переливания крови и кровезаменителей. Внутривенно вводят антибиотики широкого спектра действия. Продолжают инфузии растворов электролитов для восстановления водно-солевого и кислотно-щелочного баланса. При повторном появлении симптомов перитонита больным с перфорацией толстой кишки выполняют релапаротомию. При образовании кишечных свищей экстренная операция не требуется, допустимо плановое обследование. Лечебную тактику определяют с учетом причин развития свищевых ходов.
Прогноз при перфорации толстой кишки в целом неблагоприятный, более половины больных с данной патологией погибает от перитонита. Наиболее значимым фактором является период с момента появления первых симптомов до момента проведения оперативного вмешательства. Чем длиннее этот временной отрезок, тем ниже шансы на благополучный исход. В числе других обстоятельств, влияющих на прогноз при перфорации толстой кишки - возраст больного (чем старше пациент, тем ниже вероятность благоприятного исхода) и наличие или отсутствие тяжелой соматической патологии.
Операцию по поводу перфорации толстой кишки проводят под эндотрахеальным наркозом, на фоне внутривенного переливания растворов электролитов. Брюшную полость дренируют. В послеоперационном периоде осуществляют контроль пульса, давления и почасового диуреза. При выраженной кровопотере пациентам с перфорацией толстой кишки производят переливания крови и кровезаменителей. Внутривенно вводят антибиотики широкого спектра действия. Продолжают инфузии растворов электролитов для восстановления водно-солевого и кислотно-щелочного баланса. При повторном появлении симптомов перитонита больным с перфорацией толстой кишки выполняют релапаротомию. При образовании кишечных свищей экстренная операция не требуется, допустимо плановое обследование. Лечебную тактику определяют с учетом причин развития свищевых ходов.
Прогноз при перфорации толстой кишки в целом неблагоприятный, более половины больных с данной патологией погибает от перитонита. Наиболее значимым фактором является период с момента появления первых симптомов до момента проведения оперативного вмешательства. Чем длиннее этот временной отрезок, тем ниже шансы на благополучный исход. В числе других обстоятельств, влияющих на прогноз при перфорации толстой кишки - возраст больного (чем старше пациент, тем ниже вероятность благоприятного исхода) и наличие или отсутствие тяжелой соматической патологии.