Другие названия и синонимы
Pseudopolyposis of the colon.
МКБ-10 коды
|
|
Описание
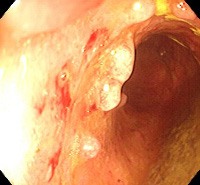
Псевдополипоз ободочной кишки. Вторичное патологическое состояние, при котором на слизистой оболочке ободочной кишки образуются множественные выпячивания, по внешнему виду напоминающие полипы. Возникает при воспалительных заболеваниях кишечника и некоторых инфекциях ЖКТ. Клиническая картина псевдополипоза ободочной кишки определяется основным заболеванием, у пациентов могут наблюдаться диарея, боли в животе, тенезмы, метеоризм, похудание и патологические примеси в кале. Диагноз выставляется на основании данных эндоскопического исследования и биопсии. В некоторых случаях используются КТ и рентгенография с контрастированием. Требуется лечение основной патологии.
Дополнительные факты
Псевдополипоз ободочной кишки - состояние, при котором на стенке ободочной кишки появляются выросты, которые имитируют полипы кишечника, но являются участками сохранившейся слизистой оболочки либо островками избыточной регенерации железистого эпителия, возникшими на фоне воспалительного или инфекционного процесса в ободочной кишке. Чаще всего причиной развития псевдополипоза ободочной кишки становится неспецифический язвенный колит. По различным данным, псевдополипы выявляются у 22-64% пациентов, страдающих этим заболеванием.
Иногда псевдополипоз ободочной кишки обнаруживается при болезни Крона и дизентерии. Заболевание обычно развивается в возрасте 40-65 лет. Исследователи отмечают, что псевдополипы не склонны к озлокачествлению, при этом в отдельных случаях в процессе регенерации железистого эпителия сигмовидной кишки могут возникать участки дисплазии, в последующем трансформирующиеся в колоректальный рак. Лечение осуществляют специалисты в сфере проктологии.
Иногда псевдополипоз ободочной кишки обнаруживается при болезни Крона и дизентерии. Заболевание обычно развивается в возрасте 40-65 лет. Исследователи отмечают, что псевдополипы не склонны к озлокачествлению, при этом в отдельных случаях в процессе регенерации железистого эпителия сигмовидной кишки могут возникать участки дисплазии, в последующем трансформирующиеся в колоректальный рак. Лечение осуществляют специалисты в сфере проктологии.
Причины
Псевдополипы представляют собой бляшки различного размера и формы, выступающие над поверхностью стенки в просвет кишечника. Причиной образования таких бляшек становятся повреждения слизистой сигмовидной кишки при воспалительных заболеваниях кишечника (неспецифическом язвенном колите, болезни Крона) и некоторых инфекционных поражениях ЖКТ (чаще всего при дизентерии). При болезни Крона псевдополипоз ободочной кишки выявляется гораздо реже, чем при неспецифическом язвенном колите, что обусловлено различиями в течении и преимущественной локализации воспалительного процесса при этих двух заболеваниях.
Узлы при псевдополипозе ободочной кишки могут представлять собой сохранившиеся участки нормальной слизистой оболочки, окруженные язвами и очагами поверхностного некроза. Такие выросты также могут образовываться в результате разрастания железистого эпителия при восстановлении слизистой. Под разрастаниями иногда обнаруживаются островки соединительной ткани. В некоторых случаях псевдополипоз ободочной кишки возникает в результате образования избыточных грануляций. В формировании узлов могут играть роль не только изъязвления слизистой, но и растяжения стенки кишечника при перистальтических движениях, травмы воспаленной слизистой твердыми каловыми массами.
Количество и размеры псевдополипов при псевдополипозе ободочной кишки существенно варьируют. У одних больных выявляются единичные узлы, у других - множественные образования, покрывающие значительную часть слизистой оболочки сигмовидной кишки. Средний диаметр узла при псевдополипозе ободочной кишки составляет 5-10 миллиметров, при этом отдельные псевдополипы могут достигать 5 и более сантиметров. С учетом внешнего вида узлов различают обычные псевдополипы, образования в форме шапочки и глубокий кистозно-полипозный колит.
Узлы при псевдополипозе ободочной кишки могут представлять собой сохранившиеся участки нормальной слизистой оболочки, окруженные язвами и очагами поверхностного некроза. Такие выросты также могут образовываться в результате разрастания железистого эпителия при восстановлении слизистой. Под разрастаниями иногда обнаруживаются островки соединительной ткани. В некоторых случаях псевдополипоз ободочной кишки возникает в результате образования избыточных грануляций. В формировании узлов могут играть роль не только изъязвления слизистой, но и растяжения стенки кишечника при перистальтических движениях, травмы воспаленной слизистой твердыми каловыми массами.
Количество и размеры псевдополипов при псевдополипозе ободочной кишки существенно варьируют. У одних больных выявляются единичные узлы, у других - множественные образования, покрывающие значительную часть слизистой оболочки сигмовидной кишки. Средний диаметр узла при псевдополипозе ободочной кишки составляет 5-10 миллиметров, при этом отдельные псевдополипы могут достигать 5 и более сантиметров. С учетом внешнего вида узлов различают обычные псевдополипы, образования в форме шапочки и глубокий кистозно-полипозный колит.
Клиническая картина
Специфическая симптоматика отсутствует. Пациенты предъявляют жалобы, характерные для основного заболевания. При неспецифическом язвенном колите наблюдаются поносы. Возможен кашицеобразный стул с примесями слизи, крови и гноя. Больных псевдополипозом ободочной кишки беспокоят частые ложные позывы и боли в левой половине живота. Отмечаются слабость, нарушения аппетита и потеря веса. Выраженность гипертермии зависит от тяжести патологии, температура тела может колебаться от 37 до 39 градусов. Иногда выявляются внекишечные симптомы: боли в суставах, анкилозирующий спондилит (болезнь Бехтерева), афтозный стоматит, увеит, узловатая эритема и пр.
Ассоциированные симптомы: Боль в кишечнике. Кишечные тенезмы. Метеоризм. Отсутствие аппетита. Понос (диарея). Потеря веса.
Ассоциированные симптомы: Боль в кишечнике. Кишечные тенезмы. Метеоризм. Отсутствие аппетита. Понос (диарея). Потеря веса.
Диагностика
Диагноз устанавливается на основании эндоскопических исследований. В процессе ректороманоскопии или колоноскопии врач изучает состояние слизистой, выявляет изъязвления и другие изменения, характерные для неспецифического язвенного колита и других заболеваний, способных спровоцировать псевдополипоз ободочной кишки. Эндоскопист оценивает количество, размер и форму псевдополипов, берет образцы ткани узлов и соседних участков слизистой оболочки для морфологического исследования.
В процессе изучения морфологической структуры образований, возникающих у больных псевдополипозом ободочной кишки, определяется неизмененный эпителий, разрастания эпителия или грануляционная ткань. При исследовании слизистой оболочки, пораженной язвенным колитом выявляются расширенные капилляры, кровоизлияния, язвы и крипт-абсцессы. Подслизистый слой обычно изменен незначительно. Слизистая оболочка кишечника у пациентов с болезнью Крона грубая, бугристая, по внешнему виду напоминает «булыжную мостовую».
Ирригоскопия при псевдополипозе ободочной кишки малоинформативна, поскольку позволяет обнаруживать только достаточно крупные псевдополипы и при этом не дает возможности оценивать форму узлов, состояние и общий вид слизистой оболочки. Компьютерная томография обеспечивает более точные результаты, но, как и контрастная рентгенография, не предоставляет врачу достаточно информации для дифференцировки псевдополипоза ободочной кишки и других заболеваний, сопровождающихся появлением дефектов наполнения на рентгенограммах. Обе методики применяют только при недоступности эндоскопических исследований или наличии противопоказаний к проведению ректороманоскопии и колоноскопии.
В процессе изучения морфологической структуры образований, возникающих у больных псевдополипозом ободочной кишки, определяется неизмененный эпителий, разрастания эпителия или грануляционная ткань. При исследовании слизистой оболочки, пораженной язвенным колитом выявляются расширенные капилляры, кровоизлияния, язвы и крипт-абсцессы. Подслизистый слой обычно изменен незначительно. Слизистая оболочка кишечника у пациентов с болезнью Крона грубая, бугристая, по внешнему виду напоминает «булыжную мостовую».
Ирригоскопия при псевдополипозе ободочной кишки малоинформативна, поскольку позволяет обнаруживать только достаточно крупные псевдополипы и при этом не дает возможности оценивать форму узлов, состояние и общий вид слизистой оболочки. Компьютерная томография обеспечивает более точные результаты, но, как и контрастная рентгенография, не предоставляет врачу достаточно информации для дифференцировки псевдополипоза ободочной кишки и других заболеваний, сопровождающихся появлением дефектов наполнения на рентгенограммах. Обе методики применяют только при недоступности эндоскопических исследований или наличии противопоказаний к проведению ректороманоскопии и колоноскопии.
Дифференциальная диагностика
Дифференциальную диагностику псевдополипоза ободочной кишки осуществляют с множественными полипами, диффузным семейным полипозом, колоректальным раком, липомами и карциноидами ободочной кишки. Окончательный диагноз выставляют на основании данных микроскопического исследования.
Лечение
Тактику лечения определяют в зависимости от вида и степени тяжести основной патологии. При неспецифическом язвенном колите рекомендуют полноценное сбалансированное питание, в периоды обострения назначают иммуносупрессоры, глюкокортикоидные средства и препараты 5-аминосалициловой кислоты. При псевдополипозе ободочной кишки с выраженными нарушениями водно-электролитного обмена проводят инфузионную терапию. По показаниям применяют антибиотики. При неэффективности консервативной терапии, дисплазии слизистой оболочки, ярко выраженных внекишечных проявлениях и осложнениях неспецифического язвенного колита (мегаколоне, перфорации сигмовидной кишки, кишечном кровотечении, озлокачествлении участка измененной слизистой оболочки) осуществляют хирургические вмешательства.
Терапия псевдополипоза ободочной кишки при болезни Крона также предусматривает использование глюкокортикоидов, иммуносупрессоров, препаратов 5-аминосалициловой кислоты и антибиотиков. Дополнительно назначают блокаторы фактора некроза опухоли, блокаторы интегриновых рецепторов, витамин D и гипербарическую оксигенацию. При осложнениях проводят операции. Неспецифический язвенный колит и болезнь Крона являются хроническими заболеваниями с рецидивирующим течением. Пациентам необходимы регулярные осмотры и поддерживающая терапия в период ремиссии.
При псевдополипозе ободочной кишки, обусловленном дизентерией и другими кишечными инфекциями, назначают специальную диету, проводят этиотропную терапию с использованием противомикробных препаратов, осуществляют дезинтоксикационные мероприятия. Прогноз при данной патологии определяется типом и особенностями течения основного заболевания. Больные с псевдополипозом ободочной кишки находятся под наблюдением проктолога и гастроэнтеролога.
Терапия псевдополипоза ободочной кишки при болезни Крона также предусматривает использование глюкокортикоидов, иммуносупрессоров, препаратов 5-аминосалициловой кислоты и антибиотиков. Дополнительно назначают блокаторы фактора некроза опухоли, блокаторы интегриновых рецепторов, витамин D и гипербарическую оксигенацию. При осложнениях проводят операции. Неспецифический язвенный колит и болезнь Крона являются хроническими заболеваниями с рецидивирующим течением. Пациентам необходимы регулярные осмотры и поддерживающая терапия в период ремиссии.
При псевдополипозе ободочной кишки, обусловленном дизентерией и другими кишечными инфекциями, назначают специальную диету, проводят этиотропную терапию с использованием противомикробных препаратов, осуществляют дезинтоксикационные мероприятия. Прогноз при данной патологии определяется типом и особенностями течения основного заболевания. Больные с псевдополипозом ободочной кишки находятся под наблюдением проктолога и гастроэнтеролога.
|
|