Другие названия и синонимы
Alveolar microlithiasis, Легочный микролитиаз.
МКБ-10 коды
|
|
Описание
Альвеолярный микролитиаз. Это редкое заболевание лёгких, характеризующееся образованием протеиново - минеральных комплексов в просвете альвеол. Клинически проявляется нарастающей одышкой, общей слабостью, кашлем, тяжестью и давлением в груди. По мере прогрессирования патологии присоединяются симптомы дыхательно-сердечной недостаточности. Диагностические мероприятия включают в себя лучевые методы исследования органов грудной клетки, лабораторные анализы, ЭКГ, спирометрию, биопсию лёгкого. Этиотропного лечения данной патологии не существует. Назначается симптоматическая терапия.
Дополнительные факты
Альвеолярный (лёгочный) микролитиаз является болезнью накопления. Возникает в результате отложения в альвеолах белка, который впоследствии пропитывается солями металлов, преимущественно соединениями кальция, в меньшей степени - магния. Заболевание встречается редко. На сегодняшний день в специальной литературе описано всего около 400 случаев. Одинаково часто болеют лица мужского и женского пола из разных возрастных групп. Нередко патология носит врождённый характер, иногда сочетается с другими пороками развития. Приблизительно 25% всех случаев болезни диагностируются в детском возрасте. Около 50% больных являются кровными родственниками.
Причины
Причины возникновения лёгочного микролитиаза до конца не изучены. Предполагается генетическая этиология с наследованием заболевания по аутосомно-рецессивному типу. Эта теория подтверждается семейными случаями болезни, а также выявлением данной патологии у детей, чьи родители были близкими родственниками. Дополнительной предпосылкой к развитию и прогрессированию микролитиаза служит продолжительное вдыхание пыли, содержащей соединения кальция, магния и некоторых других металлов. Такая пыль попадает в организм при производстве и использовании цемента, сельскохозяйственных удобрений, утилизации стали, употреблении нюхательного табака.
Патогенез
Предположительно, генетический дефект приводит к нарушению обменных процессов и снижению синтеза альвеолярной жидкости, гиперпродукции и накоплению белка в лёгочных альвеолах и бронхиолах. Этот белок пропитывается солями кальция и образует микролит (конкремент размером 0,3-2мм). Альвеолярный просвет наполовину и более заполняется микроконкрементом. Процесс постепенно поражает всю лёгочную паренхиму. Лёгкие становятся каменисто-плотными и тяжёлыми. Нарушается альвеолярный кровоток и газообмен. Развивается дыхательная недостаточность.
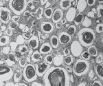
При патоморфологическом исследовании выявляется повышение плотности лёгочной ткани в базальных и средних отделах. Иногда вес лёгких может достигать 4-х килограммов. В просветах альвеол и бронхиол обнаруживаются микролиты сложного концентрического строения. В составе мельчайших конкрементов выявляются карбонаты и фосфаты кальция, а также магний, цинк, натрий, медь и другие микроэлементы. В интерстициальной ткани лёгких определяются признаки фиброза.
При патоморфологическом исследовании выявляется повышение плотности лёгочной ткани в базальных и средних отделах. Иногда вес лёгких может достигать 4-х килограммов. В просветах альвеол и бронхиол обнаруживаются микролиты сложного концентрического строения. В составе мельчайших конкрементов выявляются карбонаты и фосфаты кальция, а также магний, цинк, натрий, медь и другие микроэлементы. В интерстициальной ткани лёгких определяются признаки фиброза.
Классификация
Альвеолярный микролитиаз характеризуется хроническим, неуклонно прогрессирующим течением. Симптомы болезни появляются и утяжеляются по мере накопления микролитов в лёгочных альвеолах и истощения компенсаторных возможностей организма пациента. Патологический процесс протекает поэтапно. Различают следующие стадии болезни:
• I стадия. Происходит формирование микролитов. На этом этапе микролитиаз протекает бессимптомно. Рентгенологические признаки можно обнаружить при профилактическом рентгеновском исследовании лёгких.
• II стадия. Появляются дыхательные нарушения, частично компенсируемые за счёт резервов организма.
• III стадия. Формируется лёгочное сердце, наступает лёгочно-сердечная декомпенсация.
• I стадия. Происходит формирование микролитов. На этом этапе микролитиаз протекает бессимптомно. Рентгенологические признаки можно обнаружить при профилактическом рентгеновском исследовании лёгких.
• II стадия. Появляются дыхательные нарушения, частично компенсируемые за счёт резервов организма.
• III стадия. Формируется лёгочное сердце, наступает лёгочно-сердечная декомпенсация.
Клиническая картина
В течение длительного периода времени легочный микролитиаз протекает скрыто. Сначала признаки заболевания выражены слабо. Одним из первых клинических проявлений лёгочной патологии является одышка. На начальных этапах микролитиаза этот симптом появляется только при существенной физической нагрузке - беге, быстром подъёме по лестнице. В процессе прогрессирования заболевания одышка нарастает, возникает при ходьбе, малейшем движении.
Кашель при лёгочном микролитиазе умеренный, малопродуктивный. Отделяется небольшое количество светлой слизистой мокроты. При присоединении бактериальной инфекции бронхиальный секрет становится жёлто-зелёным. Иногда наблюдается кровохарканье. Болевой синдром не является специфичным признаком заболевания. Пациент жалуется на дискомфорт, чувство тяжести, давления в грудной клетке. Болевые ощущения могут локализоваться с одной или двух сторон, бывают разной степени интенсивности.
Ассоциированные симптомы: Боль в грудной клетке. Кашель. Кровохарканье. Одышка. Пальцы - барабанные палочки.
Кашель при лёгочном микролитиазе умеренный, малопродуктивный. Отделяется небольшое количество светлой слизистой мокроты. При присоединении бактериальной инфекции бронхиальный секрет становится жёлто-зелёным. Иногда наблюдается кровохарканье. Болевой синдром не является специфичным признаком заболевания. Пациент жалуется на дискомфорт, чувство тяжести, давления в грудной клетке. Болевые ощущения могут локализоваться с одной или двух сторон, бывают разной степени интенсивности.
Ассоциированные симптомы: Боль в грудной клетке. Кашель. Кровохарканье. Одышка. Пальцы - барабанные палочки.
Возможные осложнения
Осложнения тяжёлого заболевания альвеолярной ткани возникают на II-III стадиях болезни. Присутствие микролитов в бронхиолах и более крупных бронхах провоцирует возникновение воспалительного процесса в стенке дыхательных путей. При присоединении вторичной инфекции бронхит становится гнойным, развивается бронхопневмония. Прогрессирующая гипоксия сказывается на деятельности всех органов и систем. Больные микролитиазом дети отстают в физическом и психическом развитии. Самым тяжёлым, ведущим к смерти пациента осложнением является лёгочно-сердечная недостаточность.
Диагностика
Альвеолярный микролитиаз относится к одному из самых труднодиагностируемых заболеваний в пульмонологии. При осмотре больного с развёрнутой клинической симптоматикой выявляются признаки хронической, длительно текущей патологии органов дыхания. Наблюдается цианоз кожи, деформация дистальных фаланг пальцев по типу барабанных палочек, отёки, увеличение печени. Перкуторные и аускультативные данные также не являются специфичными. В нижних отделах лёгких могут выслушиваться влажные мелкопузырчатые и крепитирующие хрипы. Подтвердить диагноз помогают следующие методы исследования:
• Лабораторные анализы. В клиническом анализе крови определяется характерная для лёгочно-сердечной недостаточности полицитемия. При биохимическом исследовании выявляется повышенное содержание кальция и фосфатов. В мокроте и промывной жидкости бронхов нередко обнаруживаются концентрические микролиты.
• Методы лучевой диагностики. На рентгенограммах грудной клетки определяется мелкая диссеминация, локализованная в нижних и средних отделах лёгких и напоминающая россыпь песка - симптом «песчаной бури». На КТ лёгких выявляются многочисленные мелкие диффузные кальцинаты. Накопление изотопа при проведении перфузионой сцинтиграфии легких подтверждает кальцификацию лёгочной ткани.
• Функциональные исследования. Динамическое исследование функции внешнего дыхания выявляет прогрессирующие рестриктивные нарушения. Постепенно нарастает снижение показателей ЖЕЛ. На электрокардиограмме определяются признаки гипертрофии миокарда правых отделов сердца, тахикардия, экстрасистолия.
• Биопсия лёгкого. Основной метод верификации диагноза. Выполняется при проведении бронхоскопии или трансторакально. В биопсийном материале обнаруживаются концентрические микроконкременты, расположенные в альвеолах, просветах бронхиол и мелких бронхах. В стенках бронхов определяется избыточное отложение гранул гликогена.
Врачу-пульмонологу необходимо дифференцировать альвеолярный микролитиаз от лёгочного туберкулёза. Для ранней стадии заболевания характерны скудные клинические проявления на фоне значительных рентгенологических изменений. Нередко болезнь ошибочно принимают за диссеминированный туберкулёз органов дыхания и безуспешно лечат противотуберкулёзными препаратами. Для исключения специфического процесса назначается консультация фтизиатра и исследование мокроты на бациллы Коха.
• Лабораторные анализы. В клиническом анализе крови определяется характерная для лёгочно-сердечной недостаточности полицитемия. При биохимическом исследовании выявляется повышенное содержание кальция и фосфатов. В мокроте и промывной жидкости бронхов нередко обнаруживаются концентрические микролиты.
• Методы лучевой диагностики. На рентгенограммах грудной клетки определяется мелкая диссеминация, локализованная в нижних и средних отделах лёгких и напоминающая россыпь песка - симптом «песчаной бури». На КТ лёгких выявляются многочисленные мелкие диффузные кальцинаты. Накопление изотопа при проведении перфузионой сцинтиграфии легких подтверждает кальцификацию лёгочной ткани.
• Функциональные исследования. Динамическое исследование функции внешнего дыхания выявляет прогрессирующие рестриктивные нарушения. Постепенно нарастает снижение показателей ЖЕЛ. На электрокардиограмме определяются признаки гипертрофии миокарда правых отделов сердца, тахикардия, экстрасистолия.
• Биопсия лёгкого. Основной метод верификации диагноза. Выполняется при проведении бронхоскопии или трансторакально. В биопсийном материале обнаруживаются концентрические микроконкременты, расположенные в альвеолах, просветах бронхиол и мелких бронхах. В стенках бронхов определяется избыточное отложение гранул гликогена.
Врачу-пульмонологу необходимо дифференцировать альвеолярный микролитиаз от лёгочного туберкулёза. Для ранней стадии заболевания характерны скудные клинические проявления на фоне значительных рентгенологических изменений. Нередко болезнь ошибочно принимают за диссеминированный туберкулёз органов дыхания и безуспешно лечат противотуберкулёзными препаратами. Для исключения специфического процесса назначается консультация фтизиатра и исследование мокроты на бациллы Коха.
|
|
Лечение
Методов лечения, позволяющих прекратить образование микролитов в альвеолярной ткани, пока не существует. Ведётся экспериментальный поиск. Назначается симптоматическое консервативное лечение, направленное на уменьшение выраженности клинических проявлений, улучшение качества жизни, купирование инфекционных осложнений. Применяются бронхолитики, отхаркивающие средства, антибактериальные и кардиотропные препараты. На последней стадии патологического процесса выполняется длительная оксигенотерапия.
Прогноз
Прогноз при микролитиазе альвеолярной ткани неблагоприятный. Респираторно-сердечная недостаточность постепенно приводит к инвалидности и гибели пациента. Однако заболевание обычно прогрессирует медленно.
Профилактика
Лечебно-профилактические мероприятия помогают несколько отсрочить развитие лёгочного сердца. Пациентам с установленным диагнозом рекомендуется здоровый образ жизни, отказ от курения, рациональное трудоустройство, вакцинация против респираторных инфекций. Запрещается работа, связанная с запылением, загазованностью, тяжёлыми физическими нагрузками.