Другие названия и синонимы
Pneumococcal pneumonia.
МКБ-10 коды
|
|
Описание
Пневмококковая пневмония. Этиологическая разновидность бактериальной пневмонии, вызываемая Streptococcus pneumoniae (пневмококком). В клинике пневмококковой пневмонии доминируют лихорадочно-интоксикационный (выраженная слабость, анорексия, фебрильная температура, ознобы) и бронхолегочный (кашель с мокротой, одышка, боль в боку) синдромы. Установлению диагноза способствует всесторонняя оценка физикальных, рентгенологических, лабораторных данных. Антибиотиками первого ряда для лечения пневмококковой пневмонии служат пенициллины, цефалоспорины, макролиды; дополнительно проводится дезинтоксикация, оксигенотерапия, иммунокоррекция, физиотерапия.
Дополнительные факты
Пневмококковая пневмония - форма пневмококковой инфекции, протекающая в виде очаговой бронхопневмонии или крупозной плевропневмонии. Пневмонии пневмококковой этиологии лидируют в структуре бактериальных пневмоний. Считается, что S. Pneumoniae вызывает около 30% внегоспитальных и 5% внутрибольничных пневмоний. Наибольшая заболеваемость отмечается среди детей до 5 лет и взрослых старше 60 лет. Примерно в четверти случаев пневмококковые пневмонии протекают с тяжелыми легочными (плеврит, абсцесс легких, эмпиема плевры) и внелегочными (перикардит, артрит, сепсис) осложнениями.
До начала эры пенициллина летальность от пневмококковой пневмонии превышала 80%, в настоящее время благодаря вакцинации и антибиотикотерапии этот показатель существенно снизился. Тем не менее, уровни заболеваемости, осложненного течения и смертности остаются высокими, что обусловливает повышенную настороженность специалистов в области педиатрии и пульмонологии в отношении пневмококковой пневмонии.
До начала эры пенициллина летальность от пневмококковой пневмонии превышала 80%, в настоящее время благодаря вакцинации и антибиотикотерапии этот показатель существенно снизился. Тем не менее, уровни заболеваемости, осложненного течения и смертности остаются высокими, что обусловливает повышенную настороженность специалистов в области педиатрии и пульмонологии в отношении пневмококковой пневмонии.
Причины
Streptococcus pneumoniae, возбудитель пневмококковой пневмонии, относится к грамположительным диплококкам. Бактерия окружена полисахаридной капсулой, которая служит фактором, определяющим вирулентность и патогенность пневмококка, его способность формировать антибиотикорезистентность. Учитывая строение и антигенные свойства полисахаридной капсулы, выделяют свыше 90 серотипов S. pneumoniae, 20 из которых вызывают наиболее тяжелые, инвазивные формы пневмококковой инфекции (менингит, пневмонию, септицемию).
Пневмококк является представителем условно-патогенной носоглоточной микрофлоры человека. Бактерионосительство S. pneumoniae встречается у 10-25% здоровых людей. Резервуаром и распространителем возбудителя служит бактерионоситель или больной пневмококковой инфекцией. Заражение может происходить несколькими путями:
• воздушно-капельным - при вдыхании распыленных в воздухе частиц слизи, содержащих возбудителя.
• аспирационным - при попадании секрета носоглотки в нижние дыхательные пути.
• гематогенным - из внелегочных очагов пневмококковой инфекции.
Категорию риска, наиболее восприимчивую к пневмококковой пневмонии, составляют дети до 2-х лет, пожилые люди в возрасте старше 65 лет, иммунокомпрометированные пациенты, лица с аспленией, страдающие алкоголизмом и табачной зависимостью. Факторами, повышающими вероятность заболеваемости, служат переохлаждение, дефицит питания, гиповитаминозы, частые ОРВИ, пребывание и тесные контакты в коллективе (в детском саду, стационаре, доме престарелых ). До 50% пневмококковых пневмоний возникает во время пандемии гриппа, поскольку гриппозный вирус облегчает адгезию и колонизацию пневмококком слизистой бронхов.
Развитие пневмококковой пневмонии протекает со сменой четырех патоморфологических фаз. В первую (фазу микробного отека) длительностью 12-72 часа наблюдается усиление кровенаполнения сосудов с выходом экссудата в просвет альвеол. В серозной жидкости определяются пневмококки. Вторая фаза пневмонии (красного опеченения) характеризуется появлением в экссудате фибриногена и эритроцитов. Пораженная ткань легкого становится плотной, безвоздушной, напоминающей по консистенции и цвету ткань печени. Этот период длится 1-3 суток. Следующая фаза (серого опеченения) продолжительностью 2-6 суток протекает с преобладанием в экссудате лейкоцитов, за счет чего легкое приобретает серовато-желтый цвет. В последний период (фазу разрешения) начинается обратное развитие изменений: рассасывание экссудата, растворение фибрина, восстановление воздушности легкого. Длительность этого периода определяется выраженностью воспалительного процесса, реактивностью макроорганизма, правильностью терапии.
Пневмококк является представителем условно-патогенной носоглоточной микрофлоры человека. Бактерионосительство S. pneumoniae встречается у 10-25% здоровых людей. Резервуаром и распространителем возбудителя служит бактерионоситель или больной пневмококковой инфекцией. Заражение может происходить несколькими путями:
• воздушно-капельным - при вдыхании распыленных в воздухе частиц слизи, содержащих возбудителя.
• аспирационным - при попадании секрета носоглотки в нижние дыхательные пути.
• гематогенным - из внелегочных очагов пневмококковой инфекции.
Категорию риска, наиболее восприимчивую к пневмококковой пневмонии, составляют дети до 2-х лет, пожилые люди в возрасте старше 65 лет, иммунокомпрометированные пациенты, лица с аспленией, страдающие алкоголизмом и табачной зависимостью. Факторами, повышающими вероятность заболеваемости, служат переохлаждение, дефицит питания, гиповитаминозы, частые ОРВИ, пребывание и тесные контакты в коллективе (в детском саду, стационаре, доме престарелых ). До 50% пневмококковых пневмоний возникает во время пандемии гриппа, поскольку гриппозный вирус облегчает адгезию и колонизацию пневмококком слизистой бронхов.
Развитие пневмококковой пневмонии протекает со сменой четырех патоморфологических фаз. В первую (фазу микробного отека) длительностью 12-72 часа наблюдается усиление кровенаполнения сосудов с выходом экссудата в просвет альвеол. В серозной жидкости определяются пневмококки. Вторая фаза пневмонии (красного опеченения) характеризуется появлением в экссудате фибриногена и эритроцитов. Пораженная ткань легкого становится плотной, безвоздушной, напоминающей по консистенции и цвету ткань печени. Этот период длится 1-3 суток. Следующая фаза (серого опеченения) продолжительностью 2-6 суток протекает с преобладанием в экссудате лейкоцитов, за счет чего легкое приобретает серовато-желтый цвет. В последний период (фазу разрешения) начинается обратное развитие изменений: рассасывание экссудата, растворение фибрина, восстановление воздушности легкого. Длительность этого периода определяется выраженностью воспалительного процесса, реактивностью макроорганизма, правильностью терапии.
Клиническая картина
Клиническая картина пневмококковой пневмонии складывается из ряда синдромов, присущих острой пневмонии в целом: интоксикационного, общевоспалительного, бронхолегочного и плеврального. Воспаление легких, обусловленное пневмококковой инфекцией, обычно протекает в одном из двух вариантов: в виде крупозной пневмонии (лобарной пневмонии, плевропневмонии) или очаговой пневмонии (дольковой пневмонии, бронхопневмонии).
Крупозная пневмония манифестирует остро, с внезапного подъема температуры до 38-40°С, потрясающего озноба, лихорадочного румянца на щеках. Значительно выражены признаки интоксикации: слабость, головная боль, миалгии, потеря аппетита. Появляются одышка и тахикардия. Больные отмечают боль в груди на стороне поражения при дыхании и кашле. Сухой, болезненный вначале, кашель вскоре становится влажным, с отделением коричневатой («ржавой») мокроты. Течение крупозной пневмококковой пневмонии тяжелое. Часто встречаются осложнения в виде острой дыхательной недостаточности, плеврита, абсцесса легкого, эмпиемы плевры. Реже развиваются экстрапульмональные и генерализованные осложнения: менингит, эндокардит, нефрит, сепсис.
Ассоциированные симптомы: Боль в груди слева. Боль в груди справа. Боль в грудной клетке. Влажный кашель. Высокая температура тела. Вязкая мокрота. Головная боль. Изменение аппетита. Кашель. Кровохарканье. Лейкоцитоз. Ломота в теле. Мокрота. Ночная потливость у мужчин. Одышка. Озноб. Отсутствие аппетита. Потливость. Фебрильная температура тела.
Крупозная пневмония манифестирует остро, с внезапного подъема температуры до 38-40°С, потрясающего озноба, лихорадочного румянца на щеках. Значительно выражены признаки интоксикации: слабость, головная боль, миалгии, потеря аппетита. Появляются одышка и тахикардия. Больные отмечают боль в груди на стороне поражения при дыхании и кашле. Сухой, болезненный вначале, кашель вскоре становится влажным, с отделением коричневатой («ржавой») мокроты. Течение крупозной пневмококковой пневмонии тяжелое. Часто встречаются осложнения в виде острой дыхательной недостаточности, плеврита, абсцесса легкого, эмпиемы плевры. Реже развиваются экстрапульмональные и генерализованные осложнения: менингит, эндокардит, нефрит, сепсис.
Ассоциированные симптомы: Боль в груди слева. Боль в груди справа. Боль в грудной клетке. Влажный кашель. Высокая температура тела. Вязкая мокрота. Головная боль. Изменение аппетита. Кашель. Кровохарканье. Лейкоцитоз. Ломота в теле. Мокрота. Ночная потливость у мужчин. Одышка. Озноб. Отсутствие аппетита. Потливость. Фебрильная температура тела.
Диагностика
Для пневмококковой пневмонии характерны определенные физикальные данные, которые изменяются в соответствии с патоморфологической фазой заболевания. На стадии экссудации определяется притупление перкуторного звука, жесткое дыхание, сухие хрипы, начальная крепитация. В стадии опеченения появляется бронхофония, выслушивается шум трения плевры. Для стадии разрешения типичны разнокалиберные влажные хрипы, звучная крепитация, жесткое дыхание, переходящее в везикулярное.
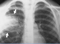
Рентгенологическое исследование (рентгенография легких в двух проекциях) позволяет визуализировать пневмоническую инфильтрацию легочной ткани (в виде интенсивного затемнения доли или очаговой тени), определить наличие плеврального выпота. С целью дифференциальной диагностики с раком легкого, туберкулезом, ателектазом применяется линейная и компьютерная томография (КТ легких).
При пневмококковой пневмонии ярко выражены изменения в анализах периферической крови. Типичен нейтрофильный лейкоцитоз, резкий сдвиг формулы влево, повышение СОЭ. При биохимическом исследовании крови на активность воспалительной реакции указывает положительный СРБ, повышение сиаловых кислот, фибриногена, гаптоглобина, γ-глобулинов.
Этиологическая верификация пневмококковой пневмонии осуществляется с помощью микроскопического исследования мокроты: в препаратах, окрашенных по Грамму, определяются скопления пневмококков. Также проводится бактериологический посев мокроты, серологические реакции (титры противопневмококковых Ат в парных сыворотках крови нарастают на 10-14 день заболевания).
Рентгенологическое исследование (рентгенография легких в двух проекциях) позволяет визуализировать пневмоническую инфильтрацию легочной ткани (в виде интенсивного затемнения доли или очаговой тени), определить наличие плеврального выпота. С целью дифференциальной диагностики с раком легкого, туберкулезом, ателектазом применяется линейная и компьютерная томография (КТ легких).
При пневмококковой пневмонии ярко выражены изменения в анализах периферической крови. Типичен нейтрофильный лейкоцитоз, резкий сдвиг формулы влево, повышение СОЭ. При биохимическом исследовании крови на активность воспалительной реакции указывает положительный СРБ, повышение сиаловых кислот, фибриногена, гаптоглобина, γ-глобулинов.
Этиологическая верификация пневмококковой пневмонии осуществляется с помощью микроскопического исследования мокроты: в препаратах, окрашенных по Грамму, определяются скопления пневмококков. Также проводится бактериологический посев мокроты, серологические реакции (титры противопневмококковых Ат в парных сыворотках крови нарастают на 10-14 день заболевания).
|
|
Лечение
Современный подход к лечению пневмококковой пневмонии складывается из базисной, этиотропной, патогенетической и симптоматической терапии. Госпитализация в стационар осуществляется по клиническим показаниям (дети первого года жизни, пожилые пациенты, лица с хроническими сопутствующими заболеваниями). На период лихорадки назначается постельный режим, рекомендуется полноценная, сбалансированная по калоражу диета, употребление достаточного количества жидкости.
Этиотропная терапия пневмококковой пневмонии заключается в применении антибактериальных препаратов, обладающих наибольшей активностью в отношении S. pneumoniae. Прежде всего, это ингибиторозащищенные пенициллины (амоксициллин, ампициллин), цефалоспорины второго-третьего поколения (цефтриаксон, цефотаксим), макролиды (джозамицин, спирамицин), карбапенемы (имипенем, меропенем). Для воздействия на антибиотикорезистентные штаммы пневмококка применяется ванкомицин.
Патогенетический подход к лечению пневмококковой пневмонии основан на проведении дезинтоксикационной терапии, использовании бронхолитиков, кардиопротекторов, противовоспалительных и мочегонных средства. Симптоматическая терапия подразумевает прием жаропонижающих, противокашлевых, отхаркивающих препаратов, проведение отвлекающей и местной терапии (ингаляции, орошение зева антисептическими растворами). В фазе разрешения к медикаментозному лечению добавляются реабилитационные мероприятия: дыхательная гимнастика, физиотерапия, массаж грудной клетки, витаминотерапия. Общая продолжительность лечения пневмококковой пневмонии должна составлять не менее 3-х недель с динамическим рентген-контролем.
Этиотропная терапия пневмококковой пневмонии заключается в применении антибактериальных препаратов, обладающих наибольшей активностью в отношении S. pneumoniae. Прежде всего, это ингибиторозащищенные пенициллины (амоксициллин, ампициллин), цефалоспорины второго-третьего поколения (цефтриаксон, цефотаксим), макролиды (джозамицин, спирамицин), карбапенемы (имипенем, меропенем). Для воздействия на антибиотикорезистентные штаммы пневмококка применяется ванкомицин.
Патогенетический подход к лечению пневмококковой пневмонии основан на проведении дезинтоксикационной терапии, использовании бронхолитиков, кардиопротекторов, противовоспалительных и мочегонных средства. Симптоматическая терапия подразумевает прием жаропонижающих, противокашлевых, отхаркивающих препаратов, проведение отвлекающей и местной терапии (ингаляции, орошение зева антисептическими растворами). В фазе разрешения к медикаментозному лечению добавляются реабилитационные мероприятия: дыхательная гимнастика, физиотерапия, массаж грудной клетки, витаминотерапия. Общая продолжительность лечения пневмококковой пневмонии должна составлять не менее 3-х недель с динамическим рентген-контролем.
Прогноз
Пневмококковые пневмонии средней тяжести, как правило, протекают благоприятно и разрешаются в сроки от двух до четырех недель. Тяжелые формы инфекции наблюдаются у детей младшего возраста, лиц с тяжелыми интеркуррентными заболеваниями и могут закончиться летально в связи с присоединением различных легочных и внелегочных осложнений.
Профилактика
В целях снижения уровня заболеваемости и неблагоприятных исходов в национальный календарь профилактических прививок с 2014 года включена обязательная вакцинация против пневмококковой инфекции. Кроме выработки специфического иммунитета, вакцинация позволяет санировать верхние дыхательные пути от колонизации пневмококком и снизить число бактерионосителей. Неспецифическая профилактика пневмококковой пневмонии складывается из изоляции больных, повышения общей сопротивляемости инфекциям, своевременного лечения ОРВИ.