Другие названия и синонимы
Spontaneous pneumothorax.
МКБ-10 коды
|
|
Описание
Спонтанный пневмоторакс. Патологическое состояние, характеризующееся внезапным нарушением целостности висцеральной плевры и поступлением воздуха из легочной ткани в плевральную полость. Развитие спонтанного пневмоторакса сопровождается остро возникающей болью в грудной клетке, одышкой, тахикардией, бледностью кожных покровов, акроцианозом, подкожной эмфиземой, стремлением пациента принять вынужденное положение. С целью первичной диагностики спонтанного пневмоторакса проводится рентгенография легких и диагностическая плевральная пункция; для установления причин заболевания требуется углубленное обследование (КТ, МРТ, торакоскопия). Лечение спонтанного пневмоторакса включает дренирование плевральной полости с активной или пассивной эвакуацией воздуха, видеоторакоскопические или открытые вмешательства (плевродез, удаление булл, резекцию легкого, пульмонэктомию и тд ).
Дополнительные факты
Под спонтанным пневмотораксом в пульмонологии понимают идиопатический, самопроизвольный пневмоторакс, не связанный с травмой или ятрогенными лечебно-диагностическими вмешательствами. Спонтанный пневмоторакс статистически чаще развивается у мужчин и преобладает среди лиц трудоспособного возраста (20-40 лет), что предопределяет не только медицинскую, но и социальную значимость проблемы. Если при травматическом и ятрогенном пневмотораксе четко прослеживается причинно-следственная связь между заболеванием и внешним воздействием (травмой грудной клетки, пункцией плевральной полости, катетеризацией центральных вен, торакоцентезом, биопсией плевры, баротравмой и тд ), то в случае спонтанного пневмоторакса такая обусловленность отсутствует. Поэтому выбор адекватной диагностической и лечебной тактики является предметом повышенного внимания пульмонологов, торакальных хирургов, фтизиатров.
Классификация
По этиологическому принципу различают первичный и вторичный спонтанный пневмоторакс. О первичном спонтанном пневмотораксе говорят при отсутствии данных за клинически значимую легочную патологию. Возникновение вторичного спонтанного пневмоторакса происходит на фоне сопутствующих легочных заболеваний.
В зависимости от степени коллабирования легкого выделяют частичный (малый, средний) и тотальный спонтанный пневмоторакс. При малом спонтанном пневмотораксе происходит спадение легкого на 1/3 от первоначального объема, при среднем - на 1/2, при тотальном - более чем на половину.
По степени компенсации дыхательных и гемодинамических расстройств, сопровождающих спонтанный пневмоторакс, определены три фазы патологических изменений: фаза стойкой компенсации, фаза неустойчивой компенсации и фаза декомпенсации (недостаточной компенсации). Фаза стойкой компенсации наблюдается при спонтанном пневмотораксе малого и среднего объема; она характеризуется отсутствием признаков дыхательной и сердечно-сосудистой недостаточности, ЖЕЛ и МВЛ снижены до 75% от нормы. Фазе неустойчивой компенсации соответствует коллабирование легкого более чем на 1/2 объема, развитие тахикардии и одышки при физической нагрузке, значительное уменьшение показателей внешнего дыхания. Фаза декомпенсации проявляется одышкой в покое, выраженной тахикардией, микроциркуляторными нарушениями, гипоксемией, уменьшением значений ФВД на 2/3 и более от нормальных значений.
В зависимости от степени коллабирования легкого выделяют частичный (малый, средний) и тотальный спонтанный пневмоторакс. При малом спонтанном пневмотораксе происходит спадение легкого на 1/3 от первоначального объема, при среднем - на 1/2, при тотальном - более чем на половину.
По степени компенсации дыхательных и гемодинамических расстройств, сопровождающих спонтанный пневмоторакс, определены три фазы патологических изменений: фаза стойкой компенсации, фаза неустойчивой компенсации и фаза декомпенсации (недостаточной компенсации). Фаза стойкой компенсации наблюдается при спонтанном пневмотораксе малого и среднего объема; она характеризуется отсутствием признаков дыхательной и сердечно-сосудистой недостаточности, ЖЕЛ и МВЛ снижены до 75% от нормы. Фазе неустойчивой компенсации соответствует коллабирование легкого более чем на 1/2 объема, развитие тахикардии и одышки при физической нагрузке, значительное уменьшение показателей внешнего дыхания. Фаза декомпенсации проявляется одышкой в покое, выраженной тахикардией, микроциркуляторными нарушениями, гипоксемией, уменьшением значений ФВД на 2/3 и более от нормальных значений.
Причины
Первичный спонтанный пневмоторакс развивается у лиц, не имеющих клинически диагностированной патологии легких. Однако при проведении диагностической видеоторакоскопии или торакотомии у данного контингента больных в 75-100% случаев выявляются субплеврально расположенные эмфизематозные буллы. Отмечена взаимосвязь между частотой спонтанного пневмоторакса и конституциональным типом пациентов: заболевание чаще возникает у худых высоких молодых людей. Курение увеличивает риски развития спонтанного пневмоторакса до 20 раз.
Вторичный спонтанный пневмоторакс может развиваться на фоне широкого круга заболеваний легких (ХОБЛ, муковисцидоза, бронхиальной астмы), инфекций дыхательных путей (пневмоцистной пневмонии, абсцедирующей пневмонии, туберкулеза), интерстициальных болезней легких (саркоидоза Бека, пневмосклероза, лимфангиолейомиоматоза, гранулематоза Вегенера), системных болезней (ревматоидного артрита, склеродермии, синдрома Марфана, болезни Бехтерева, дерматомиозита и полимиозита), злокачественных новообразований (саркомы, рака легких). В случае прорыва в плевральную полость абсцесса легкого развивается пиопневмоторакс.
К относительно редким формам спонтанного пневмоторакса относят менструальный и неонатальный пневмоторакс. Менструальный пневмоторакс этиологически связан с грудным эндометриозом и развивается у молодых женщин в первые двое суток от начала менструации. Вероятность рецидива менструального пневмоторакса, даже на фоне консервативной терапии эндометриоза, составляет около 50%, поэтому сразу после установления диагноза с целью предотвращения повторных эпизодов спонтанного пневмоторакса может выполняться плевродез.
Неонатальный пневмоторакс - спонтанный пневмоторакс новорожденных встречается у 1-2% детей, в 2 раза чаще у мальчиков. Патология может быть связана с проблемами расправления легкого, респираторным дистресс-синдромом, разрывом ткани легкого при проведении ИВЛ, пороками развития легких (кистами, буллами).
Вторичный спонтанный пневмоторакс может развиваться на фоне широкого круга заболеваний легких (ХОБЛ, муковисцидоза, бронхиальной астмы), инфекций дыхательных путей (пневмоцистной пневмонии, абсцедирующей пневмонии, туберкулеза), интерстициальных болезней легких (саркоидоза Бека, пневмосклероза, лимфангиолейомиоматоза, гранулематоза Вегенера), системных болезней (ревматоидного артрита, склеродермии, синдрома Марфана, болезни Бехтерева, дерматомиозита и полимиозита), злокачественных новообразований (саркомы, рака легких). В случае прорыва в плевральную полость абсцесса легкого развивается пиопневмоторакс.
К относительно редким формам спонтанного пневмоторакса относят менструальный и неонатальный пневмоторакс. Менструальный пневмоторакс этиологически связан с грудным эндометриозом и развивается у молодых женщин в первые двое суток от начала менструации. Вероятность рецидива менструального пневмоторакса, даже на фоне консервативной терапии эндометриоза, составляет около 50%, поэтому сразу после установления диагноза с целью предотвращения повторных эпизодов спонтанного пневмоторакса может выполняться плевродез.
Неонатальный пневмоторакс - спонтанный пневмоторакс новорожденных встречается у 1-2% детей, в 2 раза чаще у мальчиков. Патология может быть связана с проблемами расправления легкого, респираторным дистресс-синдромом, разрывом ткани легкого при проведении ИВЛ, пороками развития легких (кистами, буллами).
Патогенез
Степень выраженности структурных изменений зависит от времени, прошедшего с момента возникновения спонтанного пневмоторакса, наличия исходных патологических нарушений в легком и висцеральной плевре, динамики воспалительного процесса в плевральной полости.
При спонтанном пневмотораксе имеет место патологическое легочно-плевральное сообщение, обусловливающее попадание и скопление воздуха в плевральной полости; частичный или полный коллапс легкого; смещение и флотация средостения.
Воспалительная реакция развивается в полости плевры через 4-6 часов после эпизода спонтанного пневмоторакса. Она характеризуется гиперемией, инъекцией сосудов плевры, образованием незначительного количества серозного экссудата. В течение 2-5 суток нарастает отечность плевры, особенно на участках ее контакта с проникшим воздухом, увеличивается количество выпота, происходит выпадение фибрина на поверхность плевры. Прогрессирование воспалительного процесса сопровождается разрастанием грануляций, фиброзной трансформацией выпавшего фибрина. Спавшееся легкое фиксируется в поджатом состоянии и становится неспособным к расправлению. В случае присоединения гемоторакса или инфекции со временем развивается эмпиема плевры; возможно образование бронхоплеврального свища, поддерживающего течение хронической эмпиемы плевры.
При спонтанном пневмотораксе имеет место патологическое легочно-плевральное сообщение, обусловливающее попадание и скопление воздуха в плевральной полости; частичный или полный коллапс легкого; смещение и флотация средостения.
Воспалительная реакция развивается в полости плевры через 4-6 часов после эпизода спонтанного пневмоторакса. Она характеризуется гиперемией, инъекцией сосудов плевры, образованием незначительного количества серозного экссудата. В течение 2-5 суток нарастает отечность плевры, особенно на участках ее контакта с проникшим воздухом, увеличивается количество выпота, происходит выпадение фибрина на поверхность плевры. Прогрессирование воспалительного процесса сопровождается разрастанием грануляций, фиброзной трансформацией выпавшего фибрина. Спавшееся легкое фиксируется в поджатом состоянии и становится неспособным к расправлению. В случае присоединения гемоторакса или инфекции со временем развивается эмпиема плевры; возможно образование бронхоплеврального свища, поддерживающего течение хронической эмпиемы плевры.
Клиническая картина
По характеру клинической симптоматики различают типичный вариант спонтанного пневмоторакса и латентный (стертый) вариант. Типичная клиника спонтанного пневмоторакса может сопровождаться умеренными или бурными проявлениями.
В большинстве случаев первичный спонтанный пневмоторакс развивается внезапно, среди полного здоровья. Уже в первые минуты заболевания отмечаются острые колющие или сжимающие боли в соответствующей половине груди, остро возникшая одышка. Выраженность боли варьирует от слабо интенсивной до очень сильной. Усиление болей происходит при попытке глубокого вдоха, кашле. Болевые ощущения распространяются на шею, плечо, руку, область живота или поясницы. В течение 24 часов болевой синдром уменьшается или полностью исчезает, даже в том случае, если спонтанный пневмоторакс не разрешается. Ощущения дыхательного дискомфорта и нехватки воздуха возникают только при физической нагрузке.
При бурных клинических проявлениях спонтанного пневмоторакса болевой приступ и одышка выражены крайне резко. Могут возникать кратковременные обморочные состояния, бледность кожи, акроцианоз, тахикардия, чувство страха и тревоги. Пациенты щадят себя: ограничивают движения, принимают положение полусидя или лежа на больном боку. Нередко развивается и прогрессирующе нарастает подкожная эмфизема, крепитация в области шеи, верхних конечностей, туловища.
Ассоциированные симптомы: Боль в груди слева. Боль в груди справа. Боль в грудной клетке. Боль в сердце. Нехватка воздуха. Одышка. Подкожная эмфизема.
В большинстве случаев первичный спонтанный пневмоторакс развивается внезапно, среди полного здоровья. Уже в первые минуты заболевания отмечаются острые колющие или сжимающие боли в соответствующей половине груди, остро возникшая одышка. Выраженность боли варьирует от слабо интенсивной до очень сильной. Усиление болей происходит при попытке глубокого вдоха, кашле. Болевые ощущения распространяются на шею, плечо, руку, область живота или поясницы. В течение 24 часов болевой синдром уменьшается или полностью исчезает, даже в том случае, если спонтанный пневмоторакс не разрешается. Ощущения дыхательного дискомфорта и нехватки воздуха возникают только при физической нагрузке.
При бурных клинических проявлениях спонтанного пневмоторакса болевой приступ и одышка выражены крайне резко. Могут возникать кратковременные обморочные состояния, бледность кожи, акроцианоз, тахикардия, чувство страха и тревоги. Пациенты щадят себя: ограничивают движения, принимают положение полусидя или лежа на больном боку. Нередко развивается и прогрессирующе нарастает подкожная эмфизема, крепитация в области шеи, верхних конечностей, туловища.
Ассоциированные симптомы: Боль в груди слева. Боль в груди справа. Боль в грудной клетке. Боль в сердце. Нехватка воздуха. Одышка. Подкожная эмфизема.
|
|
Диагностика
Осмотр грудной клетки выявляет сглаженность рельефа межреберий, ограничение дыхательной экскурсии на стороне спонтанного пневмоторакса, подкожную эмфизему, набухание и расширение вен шеи. На стороне коллабированного легкого отмечается ослабление голосового дрожания, тимпанит при перкуссии, при аускультации - отсутствие или резкое ослабление дыхательных шумов.
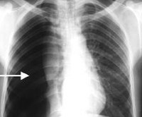
Первостепенное значение в диагностике отводится лучевым методам: рентгенографии и рентгеноскопии грудной клетки, которые позволяют оценить количество воздуха в плевральной полости и степень спадения легкого в зависимости от распространенности спонтанного пневмоторакса. Контрольные рентгеновские исследования проводятся после любых лечебных манипуляций (пункции или дренирования плевральной полости) и позволяют оценить их эффективность. В дальнейшем с помощью КТ высокого разрешения или МРТ легких устанавливается причина спонтанного пневмоторакса.
Высокоинформативным методом, используемым в диагностике спонтанного пневмоторакса, является торакоскопия. В процессе исследования удается выявить субплевральные буллы, опухолевые или туберкулезные изменения на плевре, осуществить биопсию материала для морфологического исследования.
Спонтанный пневмоторакс латентного или стертого течения необходимо дифференцировать от гигантской бронхолегочной кисты и диафрагмальной грыжи. В последнем случае дифдиагностике помогает рентгенография пищевода.
Первостепенное значение в диагностике отводится лучевым методам: рентгенографии и рентгеноскопии грудной клетки, которые позволяют оценить количество воздуха в плевральной полости и степень спадения легкого в зависимости от распространенности спонтанного пневмоторакса. Контрольные рентгеновские исследования проводятся после любых лечебных манипуляций (пункции или дренирования плевральной полости) и позволяют оценить их эффективность. В дальнейшем с помощью КТ высокого разрешения или МРТ легких устанавливается причина спонтанного пневмоторакса.
Высокоинформативным методом, используемым в диагностике спонтанного пневмоторакса, является торакоскопия. В процессе исследования удается выявить субплевральные буллы, опухолевые или туберкулезные изменения на плевре, осуществить биопсию материала для морфологического исследования.
Спонтанный пневмоторакс латентного или стертого течения необходимо дифференцировать от гигантской бронхолегочной кисты и диафрагмальной грыжи. В последнем случае дифдиагностике помогает рентгенография пищевода.
Лечение
Лечение спонтанного пневмоторакса требует как можно более ранней эвакуации скопившегося в полости плевры воздуха и достижения расправления легкого. Общепринятым стандартом является переход от диагностической тактики к лечебной. Таким образом, получение в процессе торакоцентеза воздуха является показанием к дренированию плевральной полости. Плевральный дренаж устанавливается во II межреберье по среднеключичной линии, после чего присоединяется к активной аспирации.
Улучшение проходимости бронхов и эвакуация вязкой мокроты облегчают задачу расправления легкого. С этой целью проводятся лечебные бронхоскопии (бронхоальвеолярный лаваж, трахеальная аспирация), ингаляции с муколитиками и бронхолитиками, дыхательная гимнастика, оксигенотерапия.
Если в течение 4-5 суток не наступает расправления легкого, переходят к хирургической тактике. Она может заключаться в торакоскопической диатермокоагуляции булл и спаек, ликвидации бронхоплевральных свищей, осуществлении химического плевродеза. При рецидивирующем спонтанном пневмотораксе, в зависимости от его причин и также состояния легочной ткани, может быть показана атипичная краевая резекция легкого, лобэктомия или даже пневмонэктомия.
Улучшение проходимости бронхов и эвакуация вязкой мокроты облегчают задачу расправления легкого. С этой целью проводятся лечебные бронхоскопии (бронхоальвеолярный лаваж, трахеальная аспирация), ингаляции с муколитиками и бронхолитиками, дыхательная гимнастика, оксигенотерапия.
Если в течение 4-5 суток не наступает расправления легкого, переходят к хирургической тактике. Она может заключаться в торакоскопической диатермокоагуляции булл и спаек, ликвидации бронхоплевральных свищей, осуществлении химического плевродеза. При рецидивирующем спонтанном пневмотораксе, в зависимости от его причин и также состояния легочной ткани, может быть показана атипичная краевая резекция легкого, лобэктомия или даже пневмонэктомия.
Прогноз
При первичном спонтанном пневмотораксе прогноз благоприятный. Обычно удается достичь расправления легкого минимально инвазивными способами. При вторичном спонтанном пневмотораксе рецидивы заболевания развиваются у 20-50% пациентов, что диктует необходимость устранения первопричины и избрания более активной лечебной тактики. Пациенты, перенесшие спонтанный пневмоторакс, должны находиться под наблюдением торакального хирурга или пульмонолога.