Другие названия и синонимы
Ulcerative necrotic stomatitis of Vincent, Окопный рот, Язвенно-мембранозный стоматит.
МКБ-10 коды
- МКБ-10
- K12.1 Другие формы стоматита
|
|
Описание
Язвенно. Некротический стоматит Венсана - специфическое инфекционное поражение слизистой оболочки полости рта, вызываемое ассоциацией фузобактерий и спирохет. Пациенты указывают на появление во рту болезненных язв, ухудшение общего состояния, повышение температуры, головную боль, ломоту в мышцах. Постановка диагноза базируется на основе собранного анамнеза, результатов физикального осмотра, данных бактериоскопического и цитологического исследований соскобов с язвенных поверхностей. Основу лечения составляет местная этиотропная терапия. При тяжелом течении показано применение антибиотиков, антипротозойных препаратов в таблетированном виде.
Дополнительные факты
Язвенно-некротический стоматит Венсана («окопный рот», язвенно-мембранозный стоматит) - это воспалительно-деструктивное поражение слизистой оболочки полости рта, возникающие вследствие сенсибилизации организма фузоспириллярной ассоциацией. Клинически проявляется участками изъязвлений, некрозом слизистой. В 1895 году инфекционную природу заболевания подтвердил французский эпидемиолог и бактериолог Венсан. Основную группу пациентов составляют мужчины молодого возраста (от 20 до 30 лет). Чаще всего заболевание диагностируют с октября по декабрь. Язвенно-некротический стоматит Венсана является самостоятельной нозологической единицей. Но в стоматологии также встречаются и язвенно-некротические изменения слизистой вторичного, симптоматического характера при болезнях крови, иммунодефицитных состояниях.
Причины
Заболевание возникает при активизации ассоциации, состоящей из сапрофитных бактерий - веретенообразной палочки и боррелии Венсана. Эти микроорганизмы выявляют у здоровых людей в интерпроксимальных (межзубных) промежутках, в толще корневых каналов, в миндалинах. Развивается язвенно-некротический стоматит Венсана на фоне подавленного иммунитета. Перенесенные операции, стрессовые ситуации, частые инфекционные болезни - все эти факторы снижают резистентность организма, открывая ворота для перехода условно-патогенных микробов в патогенную форму.
Неудовлетворительный индекс гигиены также способствует возникновению заболевания, так как зубные отложения являются благоприятной средой для размножения анаэробной микрофлоры. Пусковым механизмом в развитии язвенно-некротического стоматита Венсана стоматологи считают травмирование слизистой острыми стенками разрушенных зубов, несостоятельными реставрациями, ребристыми элементами ортопедических или ортодонтических конструкций. Прорезывание восьмого зуба также может спровоцировать начало воспалительного процесса.
На патогенетическом уровне язвенно-некротический стоматит Венсана протекает по типу феномена Артюса. Подавленный иммунитет, сниженная защитная функция слизистой способствуют активному размножению анаэробных микроорганизмов. Вследствие инвазии бактерий вглубь соединительной ткани проявляются признаки гингивита. При длительном течении воспалительного процесса в патологическом очаге наряду с колониями микроорганизмов выявляют высокую концентрацию факторов иммунной защиты. Плазматические клетки продуцируют IgG и IgM, под воздействием которых происходит активизация системы комплемента. Образование комплекса антиген-антитело дает начало запуску иммуннокомплексной реакции 3 типа: развивается поверхностное повреждение стенок сосудов, снижается скорость кровотока, что создает благоприятные условия для тромбообразования. Блокировка кровяным сгустком просвета кровеносных сосудов приводит к ишемии тканей с последующим развитием некроза.
Неудовлетворительный индекс гигиены также способствует возникновению заболевания, так как зубные отложения являются благоприятной средой для размножения анаэробной микрофлоры. Пусковым механизмом в развитии язвенно-некротического стоматита Венсана стоматологи считают травмирование слизистой острыми стенками разрушенных зубов, несостоятельными реставрациями, ребристыми элементами ортопедических или ортодонтических конструкций. Прорезывание восьмого зуба также может спровоцировать начало воспалительного процесса.
На патогенетическом уровне язвенно-некротический стоматит Венсана протекает по типу феномена Артюса. Подавленный иммунитет, сниженная защитная функция слизистой способствуют активному размножению анаэробных микроорганизмов. Вследствие инвазии бактерий вглубь соединительной ткани проявляются признаки гингивита. При длительном течении воспалительного процесса в патологическом очаге наряду с колониями микроорганизмов выявляют высокую концентрацию факторов иммунной защиты. Плазматические клетки продуцируют IgG и IgM, под воздействием которых происходит активизация системы комплемента. Образование комплекса антиген-антитело дает начало запуску иммуннокомплексной реакции 3 типа: развивается поверхностное повреждение стенок сосудов, снижается скорость кровотока, что создает благоприятные условия для тромбообразования. Блокировка кровяным сгустком просвета кровеносных сосудов приводит к ишемии тканей с последующим развитием некроза.
Клиническая картина
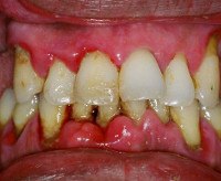
Язвенно-некротический стоматит Венсана разделяют по характеру течения на острый, подострый и хронический. Также выделяют легкую, средней тяжести и тяжелую формы заболевания. Течение язвенно-некротического стоматита Венсана включает начальный период, фазу разгара и стадию разрешения. Все начинается с легкого недомогания. Параллельно в полости рта появляются признаки гингивита: гиперемия, кровоточивость десен. Далее выраженность симптоматики нарастает. Больные жалуются на резкое снижение работоспособности, вялость, потерю аппетита, бессонницу. На слизистой оболочке рта возникают болезненные изъязвления, покрытые сверху наслоениями желтого цвета. В течение последующих 3-4 дней налет приобретает серо-зеленый оттенок.
Некротизированные ткани плотно спаяны с подлежащей поверхностью, при попытке их удаления обнажается кровоточащая рана. Наиболее часто язвенный стоматит выявляют в зоне нижней челюсти позади моляров, на щеках по линии смыкания зубов, на боковых участках языка. У пациентов отмечается гиперсаливация. Легкая форма язвенно-некротического стоматита Венсана характеризуется ограниченным участком поражения. Заболевание протекает без нарушения общего состояния. При средней тяжести снижается работоспособность, повышается температура тела. Местно язвенный стоматит прогрессирует, увеличивается как площадь, так и глубина поражения. Для тяжелой формы характерна выраженная клиника. Дно изъязвлений находится в толще мышечного слоя.
Ассоциированные симптомы: Боль в десне. Общая слабость. Головная боль. Ломота в теле. Недомогание. Неприятный запах изо рта. Опухание щеки. Отек губ. Отсутствие аппетита. Потеря веса. Увеличение подчелюстных лимфоузлов.
Некротизированные ткани плотно спаяны с подлежащей поверхностью, при попытке их удаления обнажается кровоточащая рана. Наиболее часто язвенный стоматит выявляют в зоне нижней челюсти позади моляров, на щеках по линии смыкания зубов, на боковых участках языка. У пациентов отмечается гиперсаливация. Легкая форма язвенно-некротического стоматита Венсана характеризуется ограниченным участком поражения. Заболевание протекает без нарушения общего состояния. При средней тяжести снижается работоспособность, повышается температура тела. Местно язвенный стоматит прогрессирует, увеличивается как площадь, так и глубина поражения. Для тяжелой формы характерна выраженная клиника. Дно изъязвлений находится в толще мышечного слоя.
Ассоциированные симптомы: Боль в десне. Общая слабость. Головная боль. Ломота в теле. Недомогание. Неприятный запах изо рта. Опухание щеки. Отек губ. Отсутствие аппетита. Потеря веса. Увеличение подчелюстных лимфоузлов.
Диагностика
Постановка диагноза «язвенно-некротический стоматит Венсана» базируется на основе данных клинического осмотра и результатов лабораторной диагностики. Во время физикального обследования врач-стоматолог выявляет на слизистой оболочке ротовой полости одиночные или множественные язвенно-некротические поражения. Края изъязвлений неровные, рваные. Дно гиперемированное, отечное, покрыто толстым слоем серо-зеленого налета. При пальпаторном исследовании выявляют увеличенные, болезненные, уплотненные лимфатические узлы, подвижность которых сохранена.
Изменения в анализе крови характерны для воспалительного процесса: повышается число лейкоцитов, растет СОЭ, лейкоцитарная формула смещается влево. С помощью бактериоскопического исследования удается выявить в поверхностном слое слизистой, наряду с резидентными микроорганизмами, увеличенное количество боррелий Венсана, фузобактерий. Глубокий слой содержит только чистую культуру фузоспириллярного симбиоза. В период разрешения заболевания количество анаэробных микроорганизмов падает. Цитологический анализ подтверждает наличие картины неспецифического воспаления. В начальном периоде язвенно-некротического стоматита Венсана в исследуемом материале выявляют увеличенное число нейтрофилов в фазе распада. Позже преобладают гистиоциты, фагоцитирующие нейтрофилы.
Язвенно-некротический стоматит Венсана дифференцируют с медикаментозным стоматитом, распадающейся злокачественной опухолью, стоматитом аллергической природы, а также с вторичными проявлениями в полости рта при сифилисе, заболеваниях крови, СПИДе, отравлении солями тяжелых металлов (висмутом, свинцом, ртутью), нарушении функционирования органов ЖКТ. Для исключения симптоматического стоматита при проведении дифференциальной диагностики может возникнуть необходимость в консультации узких специалистов: гастроэнтеролога, гематолога, инфекциониста, дерматовенеролога.
Изменения в анализе крови характерны для воспалительного процесса: повышается число лейкоцитов, растет СОЭ, лейкоцитарная формула смещается влево. С помощью бактериоскопического исследования удается выявить в поверхностном слое слизистой, наряду с резидентными микроорганизмами, увеличенное количество боррелий Венсана, фузобактерий. Глубокий слой содержит только чистую культуру фузоспириллярного симбиоза. В период разрешения заболевания количество анаэробных микроорганизмов падает. Цитологический анализ подтверждает наличие картины неспецифического воспаления. В начальном периоде язвенно-некротического стоматита Венсана в исследуемом материале выявляют увеличенное число нейтрофилов в фазе распада. Позже преобладают гистиоциты, фагоцитирующие нейтрофилы.
Язвенно-некротический стоматит Венсана дифференцируют с медикаментозным стоматитом, распадающейся злокачественной опухолью, стоматитом аллергической природы, а также с вторичными проявлениями в полости рта при сифилисе, заболеваниях крови, СПИДе, отравлении солями тяжелых металлов (висмутом, свинцом, ртутью), нарушении функционирования органов ЖКТ. Для исключения симптоматического стоматита при проведении дифференциальной диагностики может возникнуть необходимость в консультации узких специалистов: гастроэнтеролога, гематолога, инфекциониста, дерматовенеролога.
|
|
Лечение
Основу лечения язвенно-некротического стоматита Венсана составляет местная терапия. Во время фазы гидратации показано применение местных анестетиков (лидокаин, анестезин). Пролонгированный анальгезирующий эффект достигается и за счет использования аппликаций геля, содержащего холина салицилат и цеталкония хлорид. Для антисептической обработки при язвенно-некротическом стоматите Венсана назначают препараты, обладающие антипротозойным (метронидазол, диоксидин), противомикробным (гентамицин) и протеолитическим (террилитин) действиями.
Очищение язвенных участков проводится с помощью хирургического инструментария под постоянным орошением слизистой антисептическими и некролитическими средствами. Также при язвенно-некротическом стоматите Венсана широко применяют сорбенты. В фазе разрешения показаны кератопластики, действие которых направлено на ускорение восстановительных процессов (например, масло облепихи). На этапе эпителизации проводят санацию полости рта.
Общее этиотропное лечение язвенно-некротического стоматита Венсана включает применение антибиотиков (полусинтетические пенициллины, цефалоспорины), антипротозойных препаратов. В качестве патогенетической терапии используют нестероидные противовоспалительные средства (ибупрофен), антигистаминные препараты. Для симптоматического лечения назначают анальгетики, жаропонижающие и регидратационные медикаментозные средства.
При своевременном выявлении и комплексном лечении язвенно-некротического стоматита Венсана удается полностью купировать воспалительный процесс. Отсутствие квалифицированной терапии приводит к тяжелым последствиям: деструкции кости, ретракции десен, развитию остеомиелита.
Очищение язвенных участков проводится с помощью хирургического инструментария под постоянным орошением слизистой антисептическими и некролитическими средствами. Также при язвенно-некротическом стоматите Венсана широко применяют сорбенты. В фазе разрешения показаны кератопластики, действие которых направлено на ускорение восстановительных процессов (например, масло облепихи). На этапе эпителизации проводят санацию полости рта.
Общее этиотропное лечение язвенно-некротического стоматита Венсана включает применение антибиотиков (полусинтетические пенициллины, цефалоспорины), антипротозойных препаратов. В качестве патогенетической терапии используют нестероидные противовоспалительные средства (ибупрофен), антигистаминные препараты. Для симптоматического лечения назначают анальгетики, жаропонижающие и регидратационные медикаментозные средства.
При своевременном выявлении и комплексном лечении язвенно-некротического стоматита Венсана удается полностью купировать воспалительный процесс. Отсутствие квалифицированной терапии приводит к тяжелым последствиям: деструкции кости, ретракции десен, развитию остеомиелита.