Другие названия и синонимы
Open bite.
МКБ-10 коды
|
|
Описание
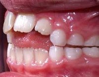
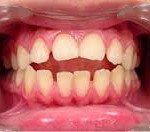
Открытый прикус. Нарушение окклюзионных взаимоотношений зубных рядов, характеризующееся отсутствием контакта в области фронтальных или боковых зубов при смыкании челюстей. Открытый прикус проявляется наличием щели между зубными рядами, несмыканием губ, отчего рот пациента всегда полуоткрыт или открыт. Отмечается нарушение функций жевания, дыхания и речи, сухость слизистой оболочки полости рта. Диагностика открытого прикуса основана на данных ТРГ и рентгеноцефалометрического анализа, ортопантомографии, изучения диагностических моделей челюстей. Для лечения открытого прикуса применяется миогимнастика, съемные аппараты (активатор Кламмта, активатор Андрезена-Гойпля, аппарат Гербста, аппарат Шварца и тд ), брекеты, хирургические методы.
Дополнительные факты
Открытый прикус - разновидность неправильного прикуса, при котором отсутствуют контакты между зубными рядами в переднем или боковом участке с образованием вертикальной щели. В стоматологии открытый прикус диагностируется у 1,3-5,7% пациентов; его удельный вес в структуре зубочелюстных аномалий составляет 2%.
Наряду с глубоким прикусом, открытый прикус относится к вертикальным аномалиям окклюзии. Открытый прикус может представлять самостоятельное нарушение или сочетаться с другими видами дизокклюзии, чаще с мезиальным и дистальным прикусом. Открытый прикус сопровождается рядом эстетических и функциональных нарушений, коррекция которых требует привлечения специалистов в области ортодонтии, хирургической стоматологии, отоларингологии, логопедии.
Наряду с глубоким прикусом, открытый прикус относится к вертикальным аномалиям окклюзии. Открытый прикус может представлять самостоятельное нарушение или сочетаться с другими видами дизокклюзии, чаще с мезиальным и дистальным прикусом. Открытый прикус сопровождается рядом эстетических и функциональных нарушений, коррекция которых требует привлечения специалистов в области ортодонтии, хирургической стоматологии, отоларингологии, логопедии.
Причины
Причины, вызывающие формирование открытого прикуса, достаточно разнообразны. Среди антенатальных факторов наибольшее значение придается неблагоприятной наследственности, инфекционным и соматическим заболеваниям матери во время беременности, токсикозам, вредным экзогенным воздействиям, приводящим к атипичному положению зачатков зубов, расщелинам губы, нёба и альвеолярного отростка, деформациям челюстей.
В постнатальном периоде в числе ведущих причин открытого прикуса выделяют рахит, расстройства минерального обмена, гиповитаминозы, эндокринопатии, нарушение носового дыхания (аллергический ринит, аденоиды, синуситы, полипы носа, искривление носовой перегородки). Довольно часто открытый прикус у детей является прямым следствием таких вредных привычек, как обкусывание ногтей, сосание пальца, губы или игрушек, высовывание языка между зубами и пр.
Определенную роль в формировании открытого прикуса играет ретенция зубов, их позднее прорезывание, адентия, обусловленная ранней потерей временных или постоянных зубов, укороченная уздечка языка, макроглоссия.
В постнатальном периоде в числе ведущих причин открытого прикуса выделяют рахит, расстройства минерального обмена, гиповитаминозы, эндокринопатии, нарушение носового дыхания (аллергический ринит, аденоиды, синуситы, полипы носа, искривление носовой перегородки). Довольно часто открытый прикус у детей является прямым следствием таких вредных привычек, как обкусывание ногтей, сосание пальца, губы или игрушек, высовывание языка между зубами и пр.
Определенную роль в формировании открытого прикуса играет ретенция зубов, их позднее прорезывание, адентия, обусловленная ранней потерей временных или постоянных зубов, укороченная уздечка языка, макроглоссия.
Классификация
В соответствии с этиологией различают рахитический (истинный) открытый прикус, связанный с неполноценностью челюстных костей, и травматический (ложный) открытый прикус, вызванный вредными привычками. С учетом несмыкающихся зубов выделяют фронтальный открытый и боковой открытый прикус (односторонний и двусторонний). О степени выраженности открытого прикуса судят по высоте щели между зубными рядами и количеству несмыкающихся зубов:
I степень. Вертикальная щель до 5 отсутствие контакта в области фронтальных зубов (резцов и клыков);
II степень. Вертикальная щель от 5 до 9 отсутствие контакта в области фронтальных зубов и премоляров;
III степень. Вертикальная щель более 9 отсутствие контакта в области фронтальных зубов, премоляров и первых моляров.
Также выделяют симметричный и асимметричный открытый прикус; верхнечелюстную, нижнечелюстную и комбинированную (смешанную) формы.
I степень. Вертикальная щель до 5 отсутствие контакта в области фронтальных зубов (резцов и клыков);
II степень. Вертикальная щель от 5 до 9 отсутствие контакта в области фронтальных зубов и премоляров;
III степень. Вертикальная щель более 9 отсутствие контакта в области фронтальных зубов, премоляров и первых моляров.
Также выделяют симметричный и асимметричный открытый прикус; верхнечелюстную, нижнечелюстную и комбинированную (смешанную) формы.
Клиническая картина
Открытый прикус характеризуется отличительными лицевыми, внутриротовыми и функциональными признаками. К лицевым симптомам открытого прикуса относятся удлиненная нижняя треть лица, полуоткрытый или открытый рот, сглаженная подбородочная складка, скошенный подбородок. Верхняя губа, как правило, вялая и укороченная, не смыкается с нижней; из-под нее видны нижние края передних зубов и язык, который прикрывает щелевидное отверстие между зубными рядами. В других случаях пациент пытается плотно сжать губы из-за стремления скрыть свой эстетический недостаток.
Основным ротовым признаком открытого прикуса служит отсутствие контакта фронтальных или боковых зубов с зубами-антагонистами и наличие между ними щели различного размера. При травматическом открытом прикусе форма щели повторяет положение предмета, который ребенок привык держать во рту. Передние зубы при открытом прикусе обычно расположены скученно, часто поражаются кариесом, имеют признаки гипоплазии эмали и неровный (волнистый) контур режущего края, большое количество зубных отложений (зубного налета и зубного камня). Нередко отмечается отечность, кровоточивость и разрастание десневых сосочков, свидетельствующие о гипертрофическом гингивите.
Ассоциированные симптомы: Искажение звуков. Ротацизм. Сигматизм.
Основным ротовым признаком открытого прикуса служит отсутствие контакта фронтальных или боковых зубов с зубами-антагонистами и наличие между ними щели различного размера. При травматическом открытом прикусе форма щели повторяет положение предмета, который ребенок привык держать во рту. Передние зубы при открытом прикусе обычно расположены скученно, часто поражаются кариесом, имеют признаки гипоплазии эмали и неровный (волнистый) контур режущего края, большое количество зубных отложений (зубного налета и зубного камня). Нередко отмечается отечность, кровоточивость и разрастание десневых сосочков, свидетельствующие о гипертрофическом гингивите.
Ассоциированные симптомы: Искажение звуков. Ротацизм. Сигматизм.
Диагностика
Диагноз открытого прикуса ставится стоматологом-ортодонтом на основании клинического и инструментального обследования. При первичном осмотре пациента проводится визуальная оценка лицевых и ротовых признаков открытого прикуса, измеряется расстояния между резцами-антагонистами, проводится беседа с пациентом.
В дальнейшем установлению формы и степени открытого прикуса способствует фотометрическое исследование лица, выполнение и изучение результатов ортопантомографии, диагностических моделей челюстей, ТРГ головы с рентгеноцефалометрическим анализом и расчетом телерентгенограмм. Пациенты с дефектами речи нуждаются в консультации логопеда; с нарушениями носового дыхания - отоларинголога.
В дальнейшем установлению формы и степени открытого прикуса способствует фотометрическое исследование лица, выполнение и изучение результатов ортопантомографии, диагностических моделей челюстей, ТРГ головы с рентгеноцефалометрическим анализом и расчетом телерентгенограмм. Пациенты с дефектами речи нуждаются в консультации логопеда; с нарушениями носового дыхания - отоларинголога.
Лечение
Тактика лечения открытого прикуса в различные возрастные периоды имеет свои особенности. В период временного и раннего сменного прикуса для восстановления миодинамического равновесия весьма эффективны миогимнастика, электромиостимуляция, увеличение жевательной нагрузки за счет приема жесткой пищи. Для отучения детей от патологических привычек используются вестибулярные пластинки с упором для языка или окклюзионными накладками на боковые зубы. Ортодонтическое лечение в этом возрасте проводится с помощью съемных аппаратов различных конструкций: активатора Андрезена-Гойпля, активатора Кламмта, аппарата Гербста, аппарата Френкеля, аппарата Шварца, подбородочной пращи и тд Необходима санация носоглотки для нормализации носового дыхания, по показаниям - проведение пластики уздечки языка.
В периоде позднего сменного и постоянного прикуса используются коронки или каппы, повышающие прикус, несъемная аппаратура (аппарат Энгля, брекет-системы). В некоторых случаях (например, при гипоплазии эмали) для одновременного устранения косметического дефекта и восстановления окклюзионного контакта проводится протезирование с помощью металлокерамических коронок. Особо сложные варианты открытого прикуса требуют комбинированного аппаратурно-хирургического лечения. Хирургический этап может включать удаление сверхкомплектных зубов, компактостеотомию.
При речевых нарушениях, сопровождающих открытый прикус, ортодонтическое лечение должно сочетаться с логопедической коррекцией дислалии.
В периоде позднего сменного и постоянного прикуса используются коронки или каппы, повышающие прикус, несъемная аппаратура (аппарат Энгля, брекет-системы). В некоторых случаях (например, при гипоплазии эмали) для одновременного устранения косметического дефекта и восстановления окклюзионного контакта проводится протезирование с помощью металлокерамических коронок. Особо сложные варианты открытого прикуса требуют комбинированного аппаратурно-хирургического лечения. Хирургический этап может включать удаление сверхкомплектных зубов, компактостеотомию.
При речевых нарушениях, сопровождающих открытый прикус, ортодонтическое лечение должно сочетаться с логопедической коррекцией дислалии.