Другие названия и синонимы
Chronic sialadenitis.
МКБ-10 коды
- МКБ-10
- K11.2 Сиаладенит
|
|
Описание
Хронический сиаладенит. Вялотекущее воспаление слюнной железы, для которого характерно чередование периодов обострений и ремиссий. Во время скрытой фазы хронического сиаладенита жалобы отсутствуют. В период манифестной стадии появляется безболезненная припухлость в проекции пораженной железы, снижается саливация, периодически возникает чувство тяжести и болезненности, присутствует неприятный привкус во рту. Диагностика хронического сиаладенита включает сбор жалоб, клинический осмотр, дополнительные методы исследования. Лечение хронического сиаладенита направлено на купирование воспаления, нормализацию саливации, предотвращение развития дегенеративных изменений.
Дополнительные факты
Хронический сиаладенит - воспалительное заболевание слюнной железы, которое протекает со стертой симптоматикой и приводит к необратимым деструктивным изменениям, сопровождается снижением секреторной активности. По локализации патологического очага чаще всего выявляют хронический паротит (у детей хронический сиаладенит приушной слюнной железы диагностируют в 90% случаев), субмаксиллит встречается у 3% пациентов. Паренхиматозной формой хронического сиаладенита болеют преимущественно женщины, тогда как интерстициальный сиаладенит чаще обнаруживают у мужчин. Наиболее высокий процент больных сиалодохитом (протоковым сиаладенитом) выявляют среди людей пожилого возраста. В большинстве случаев причиной хронического сиаладенита является неспецифическая микрофлора полости рта. Туберкулезные и актиномикотические поражения встречаются крайне редко. В 44% случаев диагностируют односторонний хронический сиаладенит, у 56% пациентов обнаруживают признаки двустороннего воспалительного процесса.
Клиническая картина
Ассоциированные симптомы: Боль в шее спереди. Неприятный запах изо рта. Потеря веса. Сухость во рту.
Причины
Паренхиматозный хронический сиаладенит возникает на фоне врожденной патологии протоков слюнной железы. В результате этого развиваются застойные процессы, наблюдается ретенция продуцируемого железой секрета. Таким образом, создаются благоприятные условия для инфицирования клеток паренхимы неспецифической микрофлорой полости рта дуктогенным путем. Этиология интерстициального хронического сиаладенита изучена не до конца. Ученые предполагают, что в основе заболевания лежат нарушения метаболизма. Сиалодохит возникает в результате травм, врожденной эктазии протоков, а также вследствие компрессии устья выводного протока опухолью, увеличенными лимфоузлами. Предрасполагающими факторами в развитии хронического сиаладенита являются общесоматические заболевания (болезни дыхательной системы, органов пищеварения, желез эндокринной секреции).
Микроскопически при паренхиматозной форме хронического сиаладенита обнаруживают отечность и разрастание кровеносных сосудов различного калибра в междольковых зонах. Вокруг расширенных дистальных отделов выводных протоков сосредотачиваются клетки воспалительного инфильтрата. Местами отмечается развитие грубой соединительной ткани в виде узких тяжей. Ацинусы образованы цилиндрическими эпителиальными клетками, цитоплазма которых вакуолизирована, ядра гиперхромные. При интерстициальном хроническом сиаладените выявляют отечную соединительную ткань. В междольковых участках наблюдается разрастание и дилатация кровеносных сосудов. В других отделах железы наряду с тяжами фиброзной ткани обнаруживают скопления лимфоцитов и гистиоцитов. Паренхима представлена лимфоидными клетками.
1. Паренхиматозный хронический сиаладенит. Характеризуется вовлечением в патологический процесс клеток паренхимы. Наиболее часто диагностируют хроническое паренхиматозное воспаление приушной слюнной железы.
2. Интерстициальный хронический сиаладенит. Протекает с поражением междолькового пространства. Чаще всего выявляют интерстициальный субмаксиллит (воспаление поднижнечелюстной железы). Болеют преимущественно мужчины.
3. Протоковый хронический сиаладенит. Возникает в результате травм, врожденной патологии выводных протоков. Заболевание чаще встречается в пожилом возрасте.
При паренхиматозной форме хронического сиаладенита в первые дни развития заболевания пациенты не предъявляют жалоб. При внешнеротовом осмотре лицо у больного симметричное, кожные покровы в цвете не изменены. Открывание рта свободное. Пораженная слюнная железа в размерах не увеличена. Саливация в норме. При прогрессировании патологии пациенты указывают на появление ощущения тяжести, припухание воспаленной железы, наличие неприятного привкуса во рту. При этом количество продуцируемого секрета снижается. При отсутствии должного лечения хронического сиаладенита пораженная железа увеличивается в размерах, поверхность ее становится неровной, бугристой. Основные жалобы сводятся к ощущению сухости во рту. Периодически возникает болезненность.
При интерстициальной форме хронического сиаладенита пациентов беспокоит незначительная болезненность в участке воспаленной железы. При этом в начальной фазе заболевания признаков секреторной недостаточности не наблюдается. При прогрессировании воспалительного процесса железа увеличивается в размерах, ощущение болезненности становится все более выраженным. Иногда при интерстициальном хроническом сиаладените пациенты указывают на снижение слуха. При пальпаторном исследовании обнаруживают увеличенную воспаленную железу тестоватой консистенции с гладкой или бугристой поверхностью. Секреторная функция нарушена.
При протоковом хроническом сиаладените чувство распирания возникает после употребления острых, пряных продуктов. Через некоторое время болезненность проходит. Из протока выделяется застойная слюна, присутствует неприятный солоноватый привкус во рту. При обследовании выявляют валикообразное утолщение по ходу выводного протока воспаленной железы. При надавливании на припухлость из устья выделяется обильное количество мутной слюны с примесью фибринозных включений.
Микроскопически при паренхиматозной форме хронического сиаладенита обнаруживают отечность и разрастание кровеносных сосудов различного калибра в междольковых зонах. Вокруг расширенных дистальных отделов выводных протоков сосредотачиваются клетки воспалительного инфильтрата. Местами отмечается развитие грубой соединительной ткани в виде узких тяжей. Ацинусы образованы цилиндрическими эпителиальными клетками, цитоплазма которых вакуолизирована, ядра гиперхромные. При интерстициальном хроническом сиаладените выявляют отечную соединительную ткань. В междольковых участках наблюдается разрастание и дилатация кровеносных сосудов. В других отделах железы наряду с тяжами фиброзной ткани обнаруживают скопления лимфоцитов и гистиоцитов. Паренхима представлена лимфоидными клетками.
1. Паренхиматозный хронический сиаладенит. Характеризуется вовлечением в патологический процесс клеток паренхимы. Наиболее часто диагностируют хроническое паренхиматозное воспаление приушной слюнной железы.
2. Интерстициальный хронический сиаладенит. Протекает с поражением междолькового пространства. Чаще всего выявляют интерстициальный субмаксиллит (воспаление поднижнечелюстной железы). Болеют преимущественно мужчины.
3. Протоковый хронический сиаладенит. Возникает в результате травм, врожденной патологии выводных протоков. Заболевание чаще встречается в пожилом возрасте.
При паренхиматозной форме хронического сиаладенита в первые дни развития заболевания пациенты не предъявляют жалоб. При внешнеротовом осмотре лицо у больного симметричное, кожные покровы в цвете не изменены. Открывание рта свободное. Пораженная слюнная железа в размерах не увеличена. Саливация в норме. При прогрессировании патологии пациенты указывают на появление ощущения тяжести, припухание воспаленной железы, наличие неприятного привкуса во рту. При этом количество продуцируемого секрета снижается. При отсутствии должного лечения хронического сиаладенита пораженная железа увеличивается в размерах, поверхность ее становится неровной, бугристой. Основные жалобы сводятся к ощущению сухости во рту. Периодически возникает болезненность.
При интерстициальной форме хронического сиаладенита пациентов беспокоит незначительная болезненность в участке воспаленной железы. При этом в начальной фазе заболевания признаков секреторной недостаточности не наблюдается. При прогрессировании воспалительного процесса железа увеличивается в размерах, ощущение болезненности становится все более выраженным. Иногда при интерстициальном хроническом сиаладените пациенты указывают на снижение слуха. При пальпаторном исследовании обнаруживают увеличенную воспаленную железу тестоватой консистенции с гладкой или бугристой поверхностью. Секреторная функция нарушена.
При протоковом хроническом сиаладените чувство распирания возникает после употребления острых, пряных продуктов. Через некоторое время болезненность проходит. Из протока выделяется застойная слюна, присутствует неприятный солоноватый привкус во рту. При обследовании выявляют валикообразное утолщение по ходу выводного протока воспаленной железы. При надавливании на припухлость из устья выделяется обильное количество мутной слюны с примесью фибринозных включений.
Диагностика
Диагностика хронического сиаладенита сводится к сбору жалоб, составлению анамнеза заболевания, клиническому осмотру и проведению дополнительных методов исследования, включающих сиалометрию, сиалографию, цитологический анализ продуцируемого секрета. В начальной фазе развития как паренхиматозной, так и интерстициальной форм хронического сиаладенита внешнеротовые признаки заболевания отсутствуют: лицо у пациентов симметричное, кожные покровы в цвете не изменены, пораженная железа не увеличена в размерах. При внутриротовом обследовании устье выводного протока без признаков патологических изменений, слюна выделяется прозрачная. Секреторная функция не нарушена.
При прогрессировании хронического сиаладенита отмечается появление безболезненной припухлости в участке воспаленной слюнной железы, поверхность которой становится бугристой. Наблюдается гипосаливация. При протоковом хроническом сиаладените врач-стоматолог обнаруживает утолщение по ходу выводного протока. После массирования уплотнения выделяется слюна застойного характера, припухлость исчезает. Для поздней фазы протокового хронического сиаладенита характерно неравномерное утолщение железы. При цитологическом исследовании секрета в стадии начальных проявлений и в период ремиссии заболевания выявляют незначительное количество слизи, присутствуют скопления лимфоцитов, а также клетки плоского и цилиндрического эпителия. Во время обострения хронического сиаладенита в секрете повышается содержание слизи, увеличивается число нейтрофилов, бокаловидных клеток.
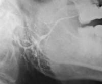
При проведении сиалометрического анализа снижение саливации наблюдается во время фазы выраженных проявлений. При паренхиматозной форме хронического сиаладенита с помощью сиалографии выявляют небольшие полости, заполненные контрастным веществом, просвет протоков сужен, контуры прослеживаются хорошо, паренхима не определяется. В случае интерстициального хронического сиаладенита на сиалограмме обнаруживают суженные протоки с неровными контурами. Паренхима железы не прослеживается. При сиалодохите устанавливается значительное расширение основного протока. В поздней фазе заболевания выявляют увеличенные в диаметре мелкие протоки. Хронический сиаладенит дифференцируют с острым сиаладенитом бактериальной и вирусной этиологии, доброкачественными и злокачественными новообразованиями железистой ткани, псевдопаротитом Герценберга, сиаладенозами. Пациента обследует стоматолог-хирург.
При прогрессировании хронического сиаладенита отмечается появление безболезненной припухлости в участке воспаленной слюнной железы, поверхность которой становится бугристой. Наблюдается гипосаливация. При протоковом хроническом сиаладените врач-стоматолог обнаруживает утолщение по ходу выводного протока. После массирования уплотнения выделяется слюна застойного характера, припухлость исчезает. Для поздней фазы протокового хронического сиаладенита характерно неравномерное утолщение железы. При цитологическом исследовании секрета в стадии начальных проявлений и в период ремиссии заболевания выявляют незначительное количество слизи, присутствуют скопления лимфоцитов, а также клетки плоского и цилиндрического эпителия. Во время обострения хронического сиаладенита в секрете повышается содержание слизи, увеличивается число нейтрофилов, бокаловидных клеток.
При проведении сиалометрического анализа снижение саливации наблюдается во время фазы выраженных проявлений. При паренхиматозной форме хронического сиаладенита с помощью сиалографии выявляют небольшие полости, заполненные контрастным веществом, просвет протоков сужен, контуры прослеживаются хорошо, паренхима не определяется. В случае интерстициального хронического сиаладенита на сиалограмме обнаруживают суженные протоки с неровными контурами. Паренхима железы не прослеживается. При сиалодохите устанавливается значительное расширение основного протока. В поздней фазе заболевания выявляют увеличенные в диаметре мелкие протоки. Хронический сиаладенит дифференцируют с острым сиаладенитом бактериальной и вирусной этиологии, доброкачественными и злокачественными новообразованиями железистой ткани, псевдопаротитом Герценберга, сиаладенозами. Пациента обследует стоматолог-хирург.
|
|
Лечение
Лечение хронического сиаладенита направлено на купирование воспалительного процесса, нормализацию саливации, предотвращение развития дегенеративных изменений в паренхиме и строме пораженной железы. В период манифестной фазы терапия хронического сиаладенита сводится к назначению антибактериальных и противовоспалительных лекарственных средств. Протеолитические ферменты вместе с антибиотиками вводят также местно дуктогенным путем (через выводной проток). При возникновении абсцессов осуществляют их вскрытие и дренирование. При обострении сиалодохита выполняют внутриротовой разрез протока, назначают полоскания растворами на основе лекарственных трав. Для стимуляции саливации эффективны блокады звездчатого ганглия. С целью снижения сенсибилизации используют антигистаминные препараты.
Для повышения защитных свойств организма показаны поливитаминные комплексы. Чтобы предотвратить развитие деструктивных изменений в период ремиссии хронического сиаладенита, применяют физиотерапевтические процедуры, а именно - электрофорез калий йодида. В случае неэффективности консервативного лечения хронического сиаладенита показано оперативное вмешательство. В зависимости от площади поражения производят частичную или полную резекцию железы. При выявлении хронического сиаладенита прогноз в 50% случаев благоприятный. Своевременная диагностика и комплексное лечение заболевания приводят к выздоровлению. Если причиной воспалительного процесса является врожденная патология выводных протоков, даже при отсутствии жалоб пациент после клинического излечения находится на диспансерном учете.
Для повышения защитных свойств организма показаны поливитаминные комплексы. Чтобы предотвратить развитие деструктивных изменений в период ремиссии хронического сиаладенита, применяют физиотерапевтические процедуры, а именно - электрофорез калий йодида. В случае неэффективности консервативного лечения хронического сиаладенита показано оперативное вмешательство. В зависимости от площади поражения производят частичную или полную резекцию железы. При выявлении хронического сиаладенита прогноз в 50% случаев благоприятный. Своевременная диагностика и комплексное лечение заболевания приводят к выздоровлению. Если причиной воспалительного процесса является врожденная патология выводных протоков, даже при отсутствии жалоб пациент после клинического излечения находится на диспансерном учете.