Другие названия и синонимы
Dental plaque, налет на зубах.
Описание
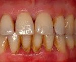
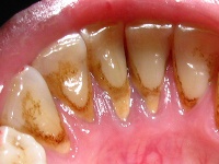
Зубной налет. Плотно прилегающие к коронке зуба или десневому краю специфические отложения, образующиеся в полости рта из бактерий, слюны, остатков пищи, тканевого детрита. Зубной налет способствует изменению цвета эмали, ощущению шероховатости поверхности зубов, появлению неприятного запаха изо рта. Диагностика зубного налета включает консультацию стоматолога-гигиениста, визуальный осмотр полости рта после окрашивания зубов специальными красителями, оценку гигиенического индекса. Для удаления зубного налета прибегают к механической чистке зубов при помощи зубных щеток и паст, а также к проведению процедуры профессиональной гигиены полости рта.
|
|
Дополнительные факты
Зубной налет - клейкие наслоения на поверхности зубной эмали, основу которых составляют скопления микроорганизмов и продуктов их обмена. Зубной налет образуется на коронке зуба (особенно, на контактных поверхностях, в фиссурах, углублениях, ямках, пришеечной области, межзубных промежутках), а также вдоль и ниже десневого края. Зубной налет в стоматологии относится к неминерализированным зубным отложениям и может встречаться в любом возрасте. Его поверхность покрыта слизистой мукоидной пленкой, поэтому зубной налет не смывается слюной и водой, но может частично удаляться во время приема пищи. Через несколько часов после полного удаления зубной налет появляется вновь. При существовании более 1-3 суток (в среднем 48 ч) зубной налет созревает и за счет огромной концентрации бактерий, выделяющих агрессивные ферменты, вещества, растворяющие кальций, и эндотоксины, он приобретает патогенный потенциал.
Клиническая картина
Ассоциированные симптомы: Боль в десне. Неприятный запах изо рта.
Причины
Зубной налет возникает в период покоя жевательно-речевого аппарата при отсутствии или ненадлежащем качестве гигиенического ухода за зубами и полостью рта. На скорость и степень образования зубного налета влияют правильность и тщательность соблюдения гигиены полости рта, анатомическое строение зубов ( , наличие пломб, протезов, ортодонтических аппаратов и конструкций), микробная обсемененность ротовой полости, уровень процессов самоочищения (количество, вязкость слюны, рН и защитные свойства ротовой жидкости), характер пищевого рациона и интенсивность жевания, состояние ЖКТ, курение.
Зубной налет образуется быстрее во время сна, при недостаточности акта жевания, гипосаливации, ксеростомии, при избыточном употреблении рафинированных углеводов (сахарозы, глюкозы, фруктозы, лактозы и крахмала), продуктов с высоким содержанием белков и низкой жирностью, мягкой по консистенции пищи, приеме препаратов железа.
Зубной налет образуется быстрее во время сна, при недостаточности акта жевания, гипосаливации, ксеростомии, при избыточном употреблении рафинированных углеводов (сахарозы, глюкозы, фруктозы, лактозы и крахмала), продуктов с высоким содержанием белков и низкой жирностью, мягкой по консистенции пищи, приеме препаратов железа.
Патогенез
В возникновении зубного налета основную роль играют микроорганизмы, обитающие в полости рта (стрептококки, вейлонеллы, нейссерии, дифтероиды, лактобактерии, стафилококки, лептотрихии, фузобактерии, актиномицеты, дрожжеподобные грибки и тд ). Процесс образования зубного налета протекает в несколько этапов. Поверхность зуба покрыта очень тонкой (толщиной до 1 мкм) бесструктурной пленкой - пелликулой, состоящей из электростатически связанных между собой кислых протеинов, гликопротеинов, энзимов, сывороточных белков и иммуноглобулинов слюны. Являясь полупроницаемой, пленка участвует в обменных процессах с ротовой жидкостью. За счет секреции специфических высокоадгезивных гетерополисахаридов (гликанов, леванов и декстранов) микроорганизмы из полости рта легко адсорбируются на поверхности пелликулы с образованием мягкого зубного налета, не имеющего постоянной внутренней структуры. Благодаря пористому строению в него могут проникать мельчайшие остатки пищи, разрушенные клетки эпителия, лейкоциты, макрофаги. Аккумуляция микробных отложений осуществляется за счет деления и налипания новых колоний, накопления продуктов их жизнедеятельности.
Зрелый зубной налет (зубная бляшка) на 50-70% объема состоит из плотного слоя бактерий. Микробный состав зубного налета быстро меняется, изначально доминируют аэробные формы, затем начинают преобладать анаэробы. В процессе анаэробного гликолиза из поступающих с пищей углеводов кариесогенными микроорганизмами продуцируется большое количество органических кислот (молочной, пировиноградной, муравьиной), которые, близко и длительно контактируя с эмалью зуба, деминерализуют твердые ткани. Из-за ограничения процесса диффузии в зрелом зубном налете нейтрализации этих кислот не происходит. Сами микроорганизмы устойчивы к образованной кислоте. Со временем происходят качественные изменения зубного налета, он минерализуется с образованием зубного камня.
Зрелый зубной налет (зубная бляшка) на 50-70% объема состоит из плотного слоя бактерий. Микробный состав зубного налета быстро меняется, изначально доминируют аэробные формы, затем начинают преобладать анаэробы. В процессе анаэробного гликолиза из поступающих с пищей углеводов кариесогенными микроорганизмами продуцируется большое количество органических кислот (молочной, пировиноградной, муравьиной), которые, близко и длительно контактируя с эмалью зуба, деминерализуют твердые ткани. Из-за ограничения процесса диффузии в зрелом зубном налете нейтрализации этих кислот не происходит. Сами микроорганизмы устойчивы к образованной кислоте. Со временем происходят качественные изменения зубного налета, он минерализуется с образованием зубного камня.
Классификация
По локализации выделяют наддесневой (находящийся на открытой поверхности зуба) и поддесневой, расположенный ниже десневого края (в зубодесневой бороздке или десневом кармане) зубной налет.
В зависимости от анатомо-топографических участков прикрепления наддесневой зубной налет может быть зубодесневым (образующимся на гладких поверхностях зуба в области десневого края) и проксимальным (образующимся на контактных поверхностях); поддесневой - зубоприкрепленным (к поверхности зуба) и эпителиально-прикрепленный (к эпителию десны). В десневой бороздке также выделяют зону неприкрепленного поддесневого зубного налета.
В зависимости от анатомо-топографических участков прикрепления наддесневой зубной налет может быть зубодесневым (образующимся на гладких поверхностях зуба в области десневого края) и проксимальным (образующимся на контактных поверхностях); поддесневой - зубоприкрепленным (к поверхности зуба) и эпителиально-прикрепленный (к эпителию десны). В десневой бороздке также выделяют зону неприкрепленного поддесневого зубного налета.
Диагностика
Диагностировать зубной налет можно самостоятельно в домашних условиях, при помощи обычного зеркала или во время осмотра полости рта у стоматолога.
При наличии признаков зубных отложений важно определить их вид (мягкий зубной налет, зубной камень). Для визуализации зубного налета применяются специальные красители (фуксин, эритрозин, бисмарк коричневый) в виде растворов, ополаскивателей, таблеток, окрашивающих области, пораженные налетом, в яркий цвет.
Количественная и качественная оценка зубного налета проводится на основании гигиенического индекса Федорова-Володкиной, начисляемому в баллах по интенсивности окрашивания отложений йод-йодисто-калиевым раствором (жидкостью Шиллера-Писарева).
При наличии признаков зубных отложений важно определить их вид (мягкий зубной налет, зубной камень). Для визуализации зубного налета применяются специальные красители (фуксин, эритрозин, бисмарк коричневый) в виде растворов, ополаскивателей, таблеток, окрашивающих области, пораженные налетом, в яркий цвет.
Количественная и качественная оценка зубного налета проводится на основании гигиенического индекса Федорова-Володкиной, начисляемому в баллах по интенсивности окрашивания отложений йод-йодисто-калиевым раствором (жидкостью Шиллера-Писарева).
Лечение
Своевременное удаление мягкого зубного налета способствует оздоровлению органов полости рта, предупреждению заболеваний зубов и пародонта. Наиболее простой и эффективный способ удаления мягкого зубного налета - механическая чистка зубов помощью зубной пасты, щетки и других средств гигиены. Плотный зубной налет и налет курильщика можно удалить при обработке зубов жесткими щетками и специальными мелкодисперсными пастами. Возможно использование ирригатора полости рта для чистки труднодоступных участков (межзубных пространств, зубодесневых складок), брекет-систем, коронок, мостов, зубных протезов.
При массивных скоплениях зубного налета, который невозможно снять дома самостоятельно, необходимо посетить стоматолога-гигиениста для проведения профессиональной гигиены полости рта, включающей этапы ультразвукового скейлинга, чистки с помощью аппарата Air-flow, полировки абразивной пастой и глубокого фторирования эмали зубов. Иногда для восстановления обычного цвета зубной эмали может потребоваться химическое или фотоотбеливание.
При массивных скоплениях зубного налета, который невозможно снять дома самостоятельно, необходимо посетить стоматолога-гигиениста для проведения профессиональной гигиены полости рта, включающей этапы ультразвукового скейлинга, чистки с помощью аппарата Air-flow, полировки абразивной пастой и глубокого фторирования эмали зубов. Иногда для восстановления обычного цвета зубной эмали может потребоваться химическое или фотоотбеливание.
Прогноз
Зубной налет представляет не только эстетический недостаток, поскольку является потенциально опасным, приводит к образованию зубного камня, развитию кариеса, пульпита, гингивита, пародонтита, преждевременной потере зубов. Поэтому удаления зубного налета должно являться частью ежедневного гигиенического ухода за полостью рта.
Профилактика
Мерами предупреждения накопления зубного налета является тщательная и правильная чистка зубов зубной щеткой и пастой 2 раза в день, применение зубной нити (флосса) и специальных ершиков для межзубных промежутков, полоскание рта в течение 15-30 сек. после каждого приема пищи, прохождение регулярной профессиональной гигиены полости рта.