Продолжая работу с сайтом, вы разрешаете использование сookies и соглашаетесь с политикой конфиденциальности.
.,о.,р..и.:г,.и.,н.;н.,а;,л.. .,н.:а,.х.,о.,д.;и.,т..с.:я,, ..н.;а., .,k;,i..b.:e,;r.,i.,s.,.;.r.:u,

Фиброматоз десен

ДобавьАналогиСравни
Используемые препараты: ... скрыть
 
Препаратов не найдено
  1. МКБ-10 коды
  2. Описание
  3. Дополнительные факты
  4. Причины
  5. Классификация
  6. Диагностика
  7. Дифференциальная диагностика
  8. Лечение
  9. Похожие заболевания

Другие названия и синонимы

Gum fibromatosis.
Фиброматоз десен

МКБ-10 коды

Описание

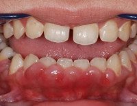
 Фиброматоз десен. Опухолеподобное поражение тканей пародонта, проявляющееся гипертрофией десневого края, сосочков или всей альвеолярной десны. Пациенты жалуются на разрастание десен. Иногда может наблюдаться кровоточивость при приеме пищи. При фиброматозе десен снижается качество гигиены полости рта, вследствие чего нередко присутствует неприятный запах изо рта. Десна в участке поражения плотная, бледно-розового цвета, имеет валикообразную форму. Диагностика фиброматоза десен базируется на основании жалоб, денных клинического осмотра, рентгенографии, гистологического исследования. Лечение фиброматоза десен хирургическое.
Фиброматоз десен

Дополнительные факты

 Фиброматоз десен - продуктивное воспаление тканей десны ограниченного или диффузного характера. Патологию чаще выявляют у людей молодого возраста. Нередко фиброматоз десен диагностируют у детей в период прорезывания временных или постоянных зубов. Признаки заболевания встречаются преимущественно у представительниц женского пола. Определенной сезонности обращения пациентов с фиброматозом десен в медицинское учреждение не отмечается. Лечение заболевания заключается в хирургическом иссечении разросшейся десны. Первоочередной задачей при фиброматозе десен медикаментозного происхождения является замена лекарственных препаратов. Прогноз при фиброматозе не всегда благоприятный, высока вероятность рецидива.

Причины

 Фиброматоз десен является генетически детерминированным заболеванием с доминантным типом наследования. Основная причина патологии - мутация гена SOS1. Кроме этого, различают фиброматоз десен медикаментозного происхождения. Продуктивное воспаление маргинальной десны и межзубных сосочков наблюдается у пациентов, принимающих противоэпилептические препараты, иммуносупрессоры, блокаторы кальциевых каналов. Прием гормональных контрацептивов также может привести к утолщению и гипертрофии десневого края. Ученые не исключают взаимосвязи фиброматоза десен с эндокринной патологией. Генерализированные гипертрофические изменения встречаются также при синдроме Дауна.
 Различают 3 степени фиброматоза десен.
 1. Начальная степень (1). Характеризуется утолщением межзубных сосочков, при этом гипертрофированная десна перекрывает треть коронки зуба в участке поражения.
 2. Средняя степень (2). Разросшиеся десна перекрывают половину коронковой части зубов.
 3. Тяжелая степень (3). Фиброзными тканями перекрыта большая часть зуба (свыше 2/3).

Классификация

 По распространенности фиброматоз десен может иметь ограниченный (очаг поражения локализуется в пределах нескольких зубов) или генерализованный характер.

Диагностика

 Диагностика фиброматоза десен сводится к сбору жалоб, составлению анамнеза заболевания, проведению физикального осмотра, рентгенографии, гистологического исследования. У пациентов с фиброматозом десен кожные покровы в цвете не изменены, открывание рта осуществляется в полном объеме. В ходе внутриротового осмотра врач-стоматолог выявляет гипертрофированную десну бледно-розового цвета. При пальпации десневой край плотной консистенции, безболезненный. Гипертрофические процессы более выражены со щечной стороны. В зависимости от степени вовлечения в патологический процесс продуктивное воспаление может ограничиваться несколькими зубами или быть генерализированным.
 Рентгенографически при фиброматозе обнаруживают остеопороз межзубных перегородок, реже присутствуют признаки деструкции костной ткани. В ходе гистологического исследования в иссеченных гипертрофированных тканях отмечают повышенное содержание волокон.

Дифференциальная диагностика

 Дифференцируют фиброматоз десен с эпулисом, фибромой, липомой. Диагностические и лечебные мероприятия проводит стоматолог-хирург. Задачей терапевта-стоматолога и пародонтолога является выявление заболевания и направление пациента к соответствующему специалисту.

Лечение

 Первоочередной задачей при лечении фиброматоза десен является устранение причинных факторов. Если при патологии наследственного характера повлиять на структуру генетического материала невозможно, то в случае лекарственного фиброматоза десен показана замена медицинских препаратов, прием которых вызвал гипертрофические изменения. Разросшуюся десну в стоматологии иссекают хирургическим путем вплоть до периоста. На образовавшуюся раневую поверхность накладывают повязку на основе йодоформа и защитную пластинку. Для предотвращения присоединения бактериальной инфекции после оперативного вмешательства назначают антисептические и антибактериальные средства. Прогноз при фиброматозе десен не всегда благоприятный, высоки риски рецидивов.

Похожие заболевания

42a96bb5c8a2acfb07fc866444b97bf1
Доступно только при использовании PRO аккаунта
Модератор контента: Васин А.С.


  1. Киберис НЕ является интернет-магазином и НЕ осуществляет закупку, хранение, продажу и доставку препаратов. Ресурс выступает лишь в роли посредника между вами и производителем препаратов или аптечными пунктами, которые и осуществляют поставку.
  2. На Киберис размещены описания препаратов, часть из которых предназначена только для врачей. Данная информация не может быть использована пациентами для принятия решения об использовании препаратов, их отмене или коррекции дозировок.
  3. Ничто в представленной информации не должно быть истолковано как призыв использовать данные препараты.
  4. К Киберис не могут быть обращены претензии по поводу любого ущерба или вреда, понесенного в результате использования размещенной на сайте информации.