Продолжая работу с сайтом, вы разрешаете использование сookies и соглашаетесь с политикой конфиденциальности.
.,о.,р..и.:г,.и.,н.;н.,а;,л.. .,н.:а,.х.,о.,д.;и.,т..с.:я,, ..н.;а., .,k;,i..b.:e,;r.,i.,s.,.;.r.:u,

Туберкулез полости рта

ДобавьАналогиСравни
Используемые препараты: ... скрыть
 
Препаратов не найдено
Лечат в 5319 клиниках 168 городов
X
X
Нужен: терапевт, 2 анализа, 1 услугу
Краснодар, ул. Красина, д. 9/1 +7(861..показать+7(495) 104-88-01, +7(861) 202-50-80 от 800₽
Москва, Зельев пер., д. 11 +7(495..показать+7(495) 104-88-01, +7(495) 105-90-40 от 1110₽
Казань, ул. Даурская, д. 12 +7(843..показать+7(495) 104-88-01, +7(843) 277-88-47, +7(843) 207-24-61 от 1120₽
Екатеринбург, ул. Розы Люксембург, д. 67Б/3 +7(343..показать+7(495) 104-88-01, +7(343) 204-77-00 от 1150₽
Екатеринбург, ул. Первомайская, д. 104/1 +7(343..показать+7(495) 104-88-01, +7(343) 345-16-85, +7(964) 486-67-04 от 1195₽
Казань, ул. Аэропортовская, д. 27 +7(939..показать+7(495) 104-88-01, +7(939) 505-00-78, +7(843) 505-07-78 от 1230₽
Нижний Новгород, ул. Таллинская, д. 8В, корп. 2 +7(831..показать+7(495) 104-88-01, +7(831) 248-53-86 от 1265₽
Москва, ул. Большая Серпуховская, д. 16/15, стр. 1, 2, 5 +7(495..показать+7(495) 104-88-01, +7(495) 407-73-61 от 1320₽
Казань, пр-т Альберта Камалеева, д. 8 +7(937..показать+7(495) 104-88-01, +7(937) 580-53-05 от 1365₽
Казань, ул. Пушкина, д. 1/55 +7(843..показать+7(495) 104-88-01, +7(843) 500-57-86 от 1420₽
Ещё 5309 клиник
  1. МКБ-10 коды
  2. Описание
  3. Дополнительные факты
  4. Клиническая картина
  5. Диагностика
  6. Дифференциальная диагностика
  7. Лечение
  8. Похожие заболевания
  9. Связанные стандарты мед. помощи
  10. Основные медицинские услуги
  11. Клиники для лечения

Другие названия и синонимы

Tuberculosis of the oral cavity.
Туберкулез полости рта

МКБ-10 коды

Описание

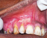
 Туберкулез полости рта. Хроническое инфекционное заболевание, возбудителем которого является палочка Коха. Пациенты жалуются на ухудшение общего состояния, повышение температуры, вялость. Местно выявляют бугорки, в центральной части которых возникает болезненная неглубокая язвенная поверхность с неровными краями и желтым зернистым дном. Диагностика туберкулеза полости рта включает сбор жалоб, составление анамнеза заболевания, клинический осмотр, цитологическое и бактериоскопическое исследования. Лечение больных с туберкулезом полости рта проводится в туберкулезном диспансере.
Туберкулез полости рта

Дополнительные факты

 Туберкулез полости рта - специфическое инфекционное заболевание, развивающееся на фоне сниженной резистентности при внедрении в организм микобактерий туберкулеза. Туберкулезную волчанку относят к наиболее часто диагностируемой форме туберкулеза полости рта. Ее выявляют у 18-35% больных. Как правило, при туберкулезной волчанке возникают сочетанные поражения слизистой, кожи околоротовой зоны, а также губ. Милиарно-язвенный туберкулез полости рта диагностируют у 1% пациентов. В остальных случаях обнаруживают первичный туберкулез полости рта и скрофулодерму. Заболевание чаще обнаруживают у представителей мужского пола. Снижение сопротивляемости организма способствует активизации условно-патогенной микрофлоры полости рта, в результате чего нередко возникает дополнительное бактериальное инфицирование язвенной поверхности. В 10% случаев туберкулезные изъязвления малигнизируются.

Клиническая картина

 Ассоциированные симптомы: Базофилия. Боль во рту. Общая слабость. Гиперкальциемия. Кашель. Моноцитоз.

Диагностика

 Постановка диагноза туберкулез полости рта базируется на основании жалоб, данных анамнеза заболевания, результатов клинического, цитологического, бактериоскопического исследований. Во время физикального обследования врач-стоматолог выявляет небольшие возвышения на слизистой - бугорки. При пальпации люпомы малоболезненные, желто-красного цвета и мягкоэластической консистенции, быстро увеличиваются в размерах и сливаются между собой, образуя рисунки различной конфигурации. Вскоре на их месте обнаруживают неглубокие болезненные изъязвления с зернистым желто-серым дном и рваными возвышающимися краями.
 Присутствует незначительное перифокальное воспаление. Лимфатические узлы у больных с туберкулезом полости рта становятся твердыми, бугристыми, болезненными при пальпации. Между поверхностью лимфоузлов и окружающими тканями образуются спайки. Для диагностики туберкулезной волчанки используют 2 дополнительных клинических теста. Методом диаскопии при туберкулезе полости рта определяют симптом «яблочного желе» (от надавливания на участок губ люпомы приобретают светло-коричневый оттенок), также наблюдается положительный феномен Поспелова (при касании кончиком пуговчатого зонда бугорка вершина люпомы разрушается, и зонд проваливается). Во время цитологического исследования соскоба, взятого с участка изъязвления, при туберкулезе полости рта наряду с эпителиальными клетками обнаруживают гигантские клетки Лангханса.
 С помощью бактериоскопического метода у больных туберкулезом полости рта не всегда удается выявить микобактерии. Положительный результат анализа чаще наблюдается при милиарно-язвенной форме заболевания, реже в случае туберкулезной волчанки.

Дифференциальная диагностика

 Дифференцируют элементы поражения при туберкулезе полости рта с сифилисом, актиномикозом, травматической декубитальной язвой, злокачественным новообразованием. Пациента обследует стоматолог-терапевт. При подозрении на наличие туберкулезной инфекции больного направляют на консультацию к фтизиатру.

Лечение

 Лечение больных с туберкулезом полости рта проводится в специализированном туберкулезном диспансере. Для предотвращения присоединения бактериальной инфекции местно назначают антисептические ванночки. С этой целью используют препараты на основе хлоргексидина биглюконата. Для обезболивания применяют гели или спреи, в состав которых входят местные анестетики: лидокаин, анестезин.
 После купирования острых явлений больным с туберкулезом полости рта показано проведение санирующих мероприятий: удаление отложений, лечение кариеса и его осложнений. При раннем обращении пациентов в медицинское учреждение и полноценном противотуберкулезном лечении прогноз в большинстве случаев благоприятный. Позднее выявление туберкулеза полости рта приводит к необратимым изменениям: прогрессирующему разрушению тканей, деформации слизистой.

Похожие заболевания

Связанные стандарты мед. помощи

42a96bb5c8a2acfb07fc866444b97bf1
Доступно только при использовании PRO аккаунта
Модератор контента: Васин А.С.


  1. Киберис НЕ является интернет-магазином и НЕ осуществляет закупку, хранение, продажу и доставку препаратов. Ресурс выступает лишь в роли посредника между вами и производителем препаратов или аптечными пунктами, которые и осуществляют поставку.
  2. На Киберис размещены описания препаратов, часть из которых предназначена только для врачей. Данная информация не может быть использована пациентами для принятия решения об использовании препаратов, их отмене или коррекции дозировок.
  3. Ничто в представленной информации не должно быть истолковано как призыв использовать данные препараты.
  4. К Киберис не могут быть обращены претензии по поводу любого ущерба или вреда, понесенного в результате использования размещенной на сайте информации.