Другие названия и синонимы
Serous periodontitis.
Описание
Серозный периодонтит. Острое воспаление околокорневой соединительнотканной оболочки зуба, характеризующееся заполнением экссудатом белковой природы щели между корнем зуба и стенкой альвеолы. Пациенты жалуются на появление резкой болезненности при накусывании на причинный зуб. Слизистая оболочка в проекции верхушек корней гиперемирована, отечна, болезненна. Диагностика серозного периодонтита включает клинический осмотр, рентгенологическое исследование, ЭОД. При выявлении патологии показано эндодонтическое лечение, включающее удаление путридных масс из корневых каналов, инструментальную и медикаментозную обработку, стерилизацию и обтурацию каналов эндогерметиком.
|
|
Дополнительные факты
Серозный периодонтит - начальная стадия патологического процесса воспалительного характера, протекающего с вовлечением тканей периодонта. Серозный периодонтит диагностируют в равной степени как у мужчин, так и у женщин. Высокая активность метаболических процессов и хорошая васкуляризация - факторы, способствующие распространенности острого серозного периодонтита среди детей и людей молодого возраста. Возбудителем инфекционной формы заболевания в 62% является негемолитический стрептококк. В 22% случаев выявляют зеленящий стрептококк и в 12% - гемолитический стрептококк. Помимо этих микроорганизмов при серозном периодонтите нередко обнаруживают вейлонеллы, лактобактерии, грибы. Чаще патологию диагностируют в весенне-осенний период. Наличие сопутствующих заболеваний не влияет на течение воспалительного процесса.
Клиническая картина
Зубная боль.
Причины
Чаще серозный периодонтит возникает в результате инфицирования периапикальных тканей. Микст-инфекция, состоящая из анаэробных и аэробных бактерий, может проникать за верхушку зуба трансканально, что наблюдается при воспалении, распаде пульпы. При пародонтите контаминация тканей периодонта происходит через пародонтальный карман. Реже причинами серозного периодонтита становятся патологические очаги (при гайморите, периостите, остеомиелите), расположенные в смежных участках. В стоматологии также встречается травматический серозный периодонтит. Если механическое повреждение зуба сопряжено с нарушением целостности сосудисто-нервного пучка, это приводит к гибели и некрозу пульпы, воспалению периапикальных тканей.
Кроме того, выделяют серозный периодонтит ятрогенного происхождения. Травмирование тканей периодонта эндоинструментами или химический ожог при нарушении техники промывания каналов, использование агрессивных высококонцентрированных растворов, недопломбировка каналов или, наоборот, чрезмерное выведение материала за апикальное отверстие, пренебрежение сроками наложения мышьяковистой пасты - все эти факторы также способны вызвать развитие серозного периодонтита. У людей с иммунодефицитом инфекционные агенты могут проникать в ткани периодонта гематогенным путем с током крови. Лимфогенный путь инфицирования встречается редко.
При серозном периодонтите микроскопически выявляют повышение проницаемости сосудов гаверсовых каналов, стаз, тромбоз, отек основного вещества соединительной ткани, дистрофические изменения нервных волокон, признаки начальной стадии дезорганизации коллагена. Наблюдается активизация остеокластов. В патологический очаг устремляются защитные клетки крови - нейтрофилы, лимфоциты. Экссудат при серозном периодонтите состоит преимущественно из ферментов, альбуминов, иммуноглобулинов. Структура периодонтальной щели в большинстве случаев не нарушена.
Кроме того, выделяют серозный периодонтит ятрогенного происхождения. Травмирование тканей периодонта эндоинструментами или химический ожог при нарушении техники промывания каналов, использование агрессивных высококонцентрированных растворов, недопломбировка каналов или, наоборот, чрезмерное выведение материала за апикальное отверстие, пренебрежение сроками наложения мышьяковистой пасты - все эти факторы также способны вызвать развитие серозного периодонтита. У людей с иммунодефицитом инфекционные агенты могут проникать в ткани периодонта гематогенным путем с током крови. Лимфогенный путь инфицирования встречается редко.
При серозном периодонтите микроскопически выявляют повышение проницаемости сосудов гаверсовых каналов, стаз, тромбоз, отек основного вещества соединительной ткани, дистрофические изменения нервных волокон, признаки начальной стадии дезорганизации коллагена. Наблюдается активизация остеокластов. В патологический очаг устремляются защитные клетки крови - нейтрофилы, лимфоциты. Экссудат при серозном периодонтите состоит преимущественно из ферментов, альбуминов, иммуноглобулинов. Структура периодонтальной щели в большинстве случаев не нарушена.
Диагностика
Постановка диагноза серозный периодонтит базируется на основе жалоб, данных клинического осмотра, результатов рентгенографии, ЭОД, термопробы. Из анамнеза удается выяснить, что причинный зуб ранее беспокоил, от воздействия температурных раздражителей возникала ноющая боль. В ходе физикального обследования врач-стоматолог выявляет кариозный, покрытый коронкой или ранее леченный причинный зуб. Препарирование эмалево-дентинной границы, зондирование дна и стенок при серозном периодонтите безболезненное. При наличии соустья с пульповой камерой зондирование устьев каналов также не вызывает неприятных болевых ощущений. В каналах обнаруживают путридные массы или рыхлый пломбировочный материал. Вертикальная перкуссия при серозном периодонтите положительная. Слизистая вокруг верхушек корней причинного зуба отечна, болезненна.
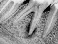
Расширения периодонтальной щели или деструкции костной ткани при серозном периодонтите на рентгенограмме не обнаруживают. Если причиной инфицирования периапикального периодонта является недопломбировка каналов или, наоборот, выведение материала за границы апекса, прицельный рентгеновский снимок необходим для установления этиологии заболевания и выбора рационального плана лечения. При серозном периодонтите показатели ЭОД варьируют в диапазоне от 100 мкА и выше, что свидетельствует о распаде пульпы. Термопроба отрицательная.
Расширения периодонтальной щели или деструкции костной ткани при серозном периодонтите на рентгенограмме не обнаруживают. Если причиной инфицирования периапикального периодонта является недопломбировка каналов или, наоборот, выведение материала за границы апекса, прицельный рентгеновский снимок необходим для установления этиологии заболевания и выбора рационального плана лечения. При серозном периодонтите показатели ЭОД варьируют в диапазоне от 100 мкА и выше, что свидетельствует о распаде пульпы. Термопроба отрицательная.
Дифференциальная диагностика
Дифференцируют серозный периодонтит с острым пульпитом, острым гнойным периодонтитом и обострением хронического периодонтита. Пациента обследует стоматолог-терапевт.
Лечение
При выявлении серозного периодонтита показано эндодонтическое лечение. Если причинный зуб ранее не был леченным, стоматолог раскрывает полость зуба, удаляет распавшуюся коронковую и корневую пульпу, проводит инструментальную и медикаментозную обработку корневых каналов. С целью устранения микробной биопленки, стерилизации дельт и разветвлений при серозном периодонтите корневые каналы на 48 часов заполняют временным пломбировочным материалом на основе гидроксида кальция. Через 2 дня кальцийсодержащую пасту удаляют и проводят обтурацию каналов постоянным эндогерметиком.
При наличии в корневых каналах пломбировочного материала показано повторное эндолечение, которое включает этапы распломбировки, инструментальной и медикаментозной обработки, стерилизации с последующим пломбированием каналов методом латеральной или вертикальной конденсации гуттаперчи. При раннем выявлении серозного периодонтита прогноз благоприятный. Качественно проведенное эндодонтическое лечение ликвидирует очаг инфицирования тканей периодонта и купирует воспалительный процесс. Позднее обращение к стоматологу приводит к переходу серозного воспаления в гнойную форму.
При наличии в корневых каналах пломбировочного материала показано повторное эндолечение, которое включает этапы распломбировки, инструментальной и медикаментозной обработки, стерилизации с последующим пломбированием каналов методом латеральной или вертикальной конденсации гуттаперчи. При раннем выявлении серозного периодонтита прогноз благоприятный. Качественно проведенное эндодонтическое лечение ликвидирует очаг инфицирования тканей периодонта и купирует воспалительный процесс. Позднее обращение к стоматологу приводит к переходу серозного воспаления в гнойную форму.