Другие названия и синонимы
Wedge-shaped defect.
Описание
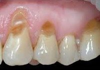
Клиновидный дефект. Локальная деструкция твердых тканей зуба (преимущественно резцов, клыков и премоляров), возникающая на вестибулярной поверхности и имеющая форму клина. Клиновидный дефект представляет собой V-образное углубление с блестящей гладкой поверхностью; сопровождается умеренной гиперестезией зубов и нарушением эстетики. В далеко зашедшей стадии клиновидный дефект может привести к обнажению шейки и отлому зубной коронки. Клиновидный дефект распознается стоматологом на основании клинического осмотра и требует проведения анализа окклюзии. Лечение клиновидного дефекта может включать реминерализирующую терапию, пломбирование, установку виниров или искусственных коронок, оптимизацию окклюзии.
|
|
Дополнительные факты
Клиновидный дефект - убыль эмали в области шейки зуба в виде треугольника (конуса) с вершиной, обращенной в сторону полости зуба. В стоматологии клиновидные дефекты, флюороз и эрозии зубов относят к некариозным поражениям твердых тканей зуба. Клиновидные дефекты диагностируются примерно у 20-35% населения, преимущественно у лиц среднего и пожилого возраста; однако при специальном обследовании начальные проявления или предпосылки к образованию дефектов эмали нередко выявляются уже в молодом возрасте. Прогрессирование морфологических изменений, происходящих на фоне клиновидного дефекта в твердых тканях зуба, способствует деструкции пародонтального комплекса и возникновению пародонтоза.
Клиническая картина
Зубная боль.
Причины
Относительно причин возникновения клиновидных дефектов среди исследователей нет единого мнения. На сегодняшний день в стоматологии наиболее распространены механическая, химическая и физико-механическая теории.
Теория механической абразии связывает возникновение клиновидного дефекта с использованием зубных щеток с чрезмерно жесткой щетиной, зубных паст с абразивными частицами, слишком усердными попытками удаления зубного налета и зубного камня в домашних условиях, горизонтальной техникой чистки зубов и пр.
В соответствии с теорией химической эрозии, к появлению клиновидных дефектов приводит злоупотребление газированными напитками, содержащими агрессивные кислоты, которые и вызывают разъедание эмали.
Физико-механическая теория, или теория нагрузки главную причину образования и прогрессирования клиновидного дефекта видит в различных формах неправильного прикуса. Нарушение окклюзии приводит к неравномерному распределению жевательной нагрузки, поэтому клиновидные дефекты чаще обнаруживаются на зубах, испытывающих максимальное напряжение в процессе жевания. Возможно, поэтому клиновидные дефекты часто образуются на зубах с патологической стираемостью. Неправильному распределению нагрузки на зубы могут способствовать дефекты зубных рядов, аномалии отдельных зубов, бруксизм.
Более частому поражению клыков и премоляров, по всей видимости, также способствует их выступающее положение в зубном ряду, из-за чего они в большей степени подвержены воздействию абразивных частиц зубных паст и агрессивных компонентов пищи, приводящих к сошлифовыванию и повреждению твердых тканей.
Замечено, что клиновидные дефекты чаще встречаются у людей, страдающих заболеваниями щитовидной железы и ЖКТ (эзофагитом, гастроэзофагеальной рефлюксной болезнью, гастритом, язвенной болезнью, колитом и тд ).
Механизм образования клиновидного дефекта объясняется следующим образом. При жевании на зубы действует 2 типа силового воздействия: сила сжатия и сила натяжения. При этом прочность эмали на сжатие в 40 раз выше прочности эмали на натяжение. Как свидетельствуют данные компьютерного моделирования, наибольшее натяжение зуб испытывает в области шейки зуба, где эмаль имеет минимальную толщину, что приводит к разрыву связей между кристаллами гидроксилапатита в этой области и образованию микродефектов. В дальнейшем дополнительное механическое, химическое или силовое воздействие способствует увеличению уже образовавшихся трещин и прогрессированию клиновидного дефекта.
Теория механической абразии связывает возникновение клиновидного дефекта с использованием зубных щеток с чрезмерно жесткой щетиной, зубных паст с абразивными частицами, слишком усердными попытками удаления зубного налета и зубного камня в домашних условиях, горизонтальной техникой чистки зубов и пр.
В соответствии с теорией химической эрозии, к появлению клиновидных дефектов приводит злоупотребление газированными напитками, содержащими агрессивные кислоты, которые и вызывают разъедание эмали.
Физико-механическая теория, или теория нагрузки главную причину образования и прогрессирования клиновидного дефекта видит в различных формах неправильного прикуса. Нарушение окклюзии приводит к неравномерному распределению жевательной нагрузки, поэтому клиновидные дефекты чаще обнаруживаются на зубах, испытывающих максимальное напряжение в процессе жевания. Возможно, поэтому клиновидные дефекты часто образуются на зубах с патологической стираемостью. Неправильному распределению нагрузки на зубы могут способствовать дефекты зубных рядов, аномалии отдельных зубов, бруксизм.
Более частому поражению клыков и премоляров, по всей видимости, также способствует их выступающее положение в зубном ряду, из-за чего они в большей степени подвержены воздействию абразивных частиц зубных паст и агрессивных компонентов пищи, приводящих к сошлифовыванию и повреждению твердых тканей.
Замечено, что клиновидные дефекты чаще встречаются у людей, страдающих заболеваниями щитовидной железы и ЖКТ (эзофагитом, гастроэзофагеальной рефлюксной болезнью, гастритом, язвенной болезнью, колитом и тд ).
Механизм образования клиновидного дефекта объясняется следующим образом. При жевании на зубы действует 2 типа силового воздействия: сила сжатия и сила натяжения. При этом прочность эмали на сжатие в 40 раз выше прочности эмали на натяжение. Как свидетельствуют данные компьютерного моделирования, наибольшее натяжение зуб испытывает в области шейки зуба, где эмаль имеет минимальную толщину, что приводит к разрыву связей между кристаллами гидроксилапатита в этой области и образованию микродефектов. В дальнейшем дополнительное механическое, химическое или силовое воздействие способствует увеличению уже образовавшихся трещин и прогрессированию клиновидного дефекта.
Течение и стадии
В своем развитии клиновидный дефект проходит 4 стадии:
• I стадия (начальных изменений). Клиновидный дефект еще не виден простым глазом, его можно различить только под увеличительным прибором.
• II стадия (поверхностного поражения). Клиновидный дефект определяется визуально в виде поверхностной ссадины или трещины глубиной до 0,2 мм и длиной 3 - 3,5 Отмечается гиперестезия пораженных зубов.
• III стадия (средне выраженных изменений). Клиновидный дефект глубиной 0,2 - 0,3 длиной до 3,5 - 4 дефект образован двумя плоскостями, сходящимися под углом 45º.
• IV стадия (глубокого распространения). Длина клиновидного дефекта превышает 5 Убыль ткани нередко захватывает глубокие слои дентина. В тяжелых случаях может достигать пульпарной камеры.
• I стадия (начальных изменений). Клиновидный дефект еще не виден простым глазом, его можно различить только под увеличительным прибором.
• II стадия (поверхностного поражения). Клиновидный дефект определяется визуально в виде поверхностной ссадины или трещины глубиной до 0,2 мм и длиной 3 - 3,5 Отмечается гиперестезия пораженных зубов.
• III стадия (средне выраженных изменений). Клиновидный дефект глубиной 0,2 - 0,3 длиной до 3,5 - 4 дефект образован двумя плоскостями, сходящимися под углом 45º.
• IV стадия (глубокого распространения). Длина клиновидного дефекта превышает 5 Убыль ткани нередко захватывает глубокие слои дентина. В тяжелых случаях может достигать пульпарной камеры.
Диагностика
Обычно клиновидный дефект выявляется в процессе осмотра и оценки стоматологического статуса пациента. При проведении клинического осмотра врач-стоматолог учитывает типичную локализацию дефекта, конусовидную форму, плотность ткани. Клиновидный дефект, в первую очередь, следует дифференцировать от эрозии зубов, поверхностного и пришеечного кариеса.
Исследование стоматологического статуса предполагает оценку индексов (КПУ, гигиены полости рта, гингивального, периодонтального и тд ), проведение термопробы. Важным диагностическим этапом является анализ окклюзионных взаимоотношений зубных рядов.
Для исключения сопутствующих заболеваний пациенту с клиновидным дефектом может потребоваться консультация эндокринолога, гастроэнтеролога.
Исследование стоматологического статуса предполагает оценку индексов (КПУ, гигиены полости рта, гингивального, периодонтального и тд ), проведение термопробы. Важным диагностическим этапом является анализ окклюзионных взаимоотношений зубных рядов.
Для исключения сопутствующих заболеваний пациенту с клиновидным дефектом может потребоваться консультация эндокринолога, гастроэнтеролога.
Лечение
В комплексном лечении клиновидного дефекта могут быть задействованы специалисты различных стоматологических направлений: терапевты, ортодонты, ортопеды.
Независимо от стадии клиновидного дефекта, в первую очередь, осуществляется устранение причинно значимых факторов: исключаются газированные напитки, производится подбор средств гигиены и ухода за зубами, производится оптимизация окклюзии (избирательное пришлифовывание зубов). В ряде случаев может потребоваться лечение с помощью брекет-систем, установка искусственных коронок на отдельные зубы.
Если клиновидный дефект диагностирован в стадии начальных или поверхностных изменений, лечение должно быть направлено на стабилизацию процесса. С этой целью проводится комплексная реминерализирующая терапия (устранение гиперестезии зубов): аппликации растворов глюконата кальция и фторида натрия, глубокое фторирование эмали, прием поливитаминно-минеральных комплексов и пр.
Для реставрации средних и глубоких клиновидных дефектов чаще всего используется пломбирование с помощью жидкотекучего композита светового отверждения, стеклоиономерных или компомерных материалов. После пломбирования полости клиновидного дефекта возможна установка на переднюю поверхность зуба керамического винира.
При опасности перелома зуба предпочтение отдается несъемному протезированию с помощью металлокерамических или безметалловых коронок.
Независимо от стадии клиновидного дефекта, в первую очередь, осуществляется устранение причинно значимых факторов: исключаются газированные напитки, производится подбор средств гигиены и ухода за зубами, производится оптимизация окклюзии (избирательное пришлифовывание зубов). В ряде случаев может потребоваться лечение с помощью брекет-систем, установка искусственных коронок на отдельные зубы.
Если клиновидный дефект диагностирован в стадии начальных или поверхностных изменений, лечение должно быть направлено на стабилизацию процесса. С этой целью проводится комплексная реминерализирующая терапия (устранение гиперестезии зубов): аппликации растворов глюконата кальция и фторида натрия, глубокое фторирование эмали, прием поливитаминно-минеральных комплексов и пр.
Для реставрации средних и глубоких клиновидных дефектов чаще всего используется пломбирование с помощью жидкотекучего композита светового отверждения, стеклоиономерных или компомерных материалов. После пломбирования полости клиновидного дефекта возможна установка на переднюю поверхность зуба керамического винира.
При опасности перелома зуба предпочтение отдается несъемному протезированию с помощью металлокерамических или безметалловых коронок.
Прогноз
При отсутствии лечения клиновидный дефект склонен к неуклонному прогрессированию, приводящему к разрушению зуба. Методы лечения клиновидных дефектов, используемые на сегодняшний день, к сожалению, не лишены своих недостатков. Так, реставрации клиновидного дефекта с помощью пломбировочных материалов недолговечны и требуют частой замены пломб; коронки и виниры устраняют только эстетический дефект, но не препятствуют возникновению клиновидных дефектов на соседних зубах. Поэтому эстетическая реставрация клиновидного дефекта обязательно должная сочетаться с оптимизацией окклюзии.
Профилактика
Профилактика образования клиновидных дефектов заключается в правильном подборе средств ухода за полостью рта (зубных щеток, паст), обучении пациентов методике чистки зубов, проведении регулярных профилактических осмотров, отказе от употребления агрессивных по своему химическому составу напитков.