Другие названия и синонимы
Tumors of the ureter, Новообразования мочеточника.
МКБ-10 коды
|
|
Описание
Опухоли мочеточника. Первичные и вторичные (имплантационные) новообразования выводного протока, соединяющего почечную лоханку с мочевым пузырем. Опухоль мочеточника проявляется гематурией, болью в пояснице на стороне поражения. При диагностике опухоли мочеточника учитывают данные УЗИ, уретероскопии, экскреторной урографии, ретроградной уретеропиелографии, трансуретеральной биопсии. С учетом морфологического строения и распространенности опухоли может выполняться ее трансуретеральная резекция, нефроуретерэктомия или уретерэктомия с пластикой мочеточника.
Дополнительные факты
В урологии первичные опухоли мочеточника составляют около 1% от всех опухолевых поражений верхних мочевых путей. Чаще опухоли мочеточника имеют вторичный характер и являются имплантационными метастазами рака почечной лоханки. До 80% опухолей мочеточников обнаруживаются у пациентов в возрасте 40-70 лет.
Среди первичных новообразований выделяют опухоли мочеточника соединительнотканного и эпителиального происхождения. Соединительнотканные опухоли встречаются редко и могут быть представлены фибромами, лейомиомами, нейрофибромами, ангиофибромами, липомами, рабдомиомасаркомами. Большая часть опухолей мочеточника происходит из уротелиального эпителия и гистологически чаще соответствует папилломе, плоскоклеточной или переходно-клеточной (папиллярной) аденокарциноме. При наличии дивертикулов мочеточника вероятность развития в них опухолей значительно повышается.
Опухоли мочеточника могут иметь неинвазивный или инвазивный характер роста, одно- либо двустороннюю локализацию. Первичные опухоли мочеточника преимущественно образуются в нижней (68%) или средней (20,3%) части мочеточника. В 9,4% случаев поражается верхняя треть, а в 2,3% наблюдений - весь мочеточник. На прилоханочную область и верхние отделы мочеточника, как правило, распространяются первичные опухоли лоханки. Наличие опухоли мочеточника на 30-50% повышает риск развития рака мочевого пузыря.
Среди первичных новообразований выделяют опухоли мочеточника соединительнотканного и эпителиального происхождения. Соединительнотканные опухоли встречаются редко и могут быть представлены фибромами, лейомиомами, нейрофибромами, ангиофибромами, липомами, рабдомиомасаркомами. Большая часть опухолей мочеточника происходит из уротелиального эпителия и гистологически чаще соответствует папилломе, плоскоклеточной или переходно-клеточной (папиллярной) аденокарциноме. При наличии дивертикулов мочеточника вероятность развития в них опухолей значительно повышается.
Опухоли мочеточника могут иметь неинвазивный или инвазивный характер роста, одно- либо двустороннюю локализацию. Первичные опухоли мочеточника преимущественно образуются в нижней (68%) или средней (20,3%) части мочеточника. В 9,4% случаев поражается верхняя треть, а в 2,3% наблюдений - весь мочеточник. На прилоханочную область и верхние отделы мочеточника, как правило, распространяются первичные опухоли лоханки. Наличие опухоли мочеточника на 30-50% повышает риск развития рака мочевого пузыря.
Причины
Уротелий мочеточников очень чувствителен к различного рода химическим канцерогенам, содержащимся в моче. На сегодняшний день совершенно точно определены специфические факторы, способствующие развитию уротелиальных опухолей мочеточника. Среди них ведущая роль отводится табакокурению, повышающему риск возникновения переходно-клеточной карциномы мочевых путей в 3 раза. По статистике, 70% мужчин и около 40% женщин, страдающих раком почек и мочеточника - курильщики.
Существенно повышает вероятность развития уротелиального рака длительное применение анальгетиков, которые индуцируют капилляросклероз и нефропатию, ассоциированную с высокой частотой опухолей мочеточников. Неблагоприятное воздействие на уротелий мочеточников оказывают цитостатические препараты, в частности, циклофосфамид и его метаболит акролеин. Частота возникновения опухолей мочеточника в 2 раза увеличена у пациентов с артериальной гипертензией, особенно тех, кто получает лечение диуретиками.
Отмечено, что риск развития злокачественных опухолей мочеточника, повышен у работников нефтеперерабатывающих производств, а также лиц, занятых на производстве пластика и пластмассы. Определенную степень риска в развитии опухолей несет хроническая инфекция мочевых путей (пиелонефрит), травмы и камни мочеточника. Существуют данные о наследственной природе опухолей мочеточника, связи карциномы мочевых путей с синдромом Линча II, характеризующегося развитием рака толстого кишечника, а также рака матки, яичников и поджелудочной железы.
Существенно повышает вероятность развития уротелиального рака длительное применение анальгетиков, которые индуцируют капилляросклероз и нефропатию, ассоциированную с высокой частотой опухолей мочеточников. Неблагоприятное воздействие на уротелий мочеточников оказывают цитостатические препараты, в частности, циклофосфамид и его метаболит акролеин. Частота возникновения опухолей мочеточника в 2 раза увеличена у пациентов с артериальной гипертензией, особенно тех, кто получает лечение диуретиками.
Отмечено, что риск развития злокачественных опухолей мочеточника, повышен у работников нефтеперерабатывающих производств, а также лиц, занятых на производстве пластика и пластмассы. Определенную степень риска в развитии опухолей несет хроническая инфекция мочевых путей (пиелонефрит), травмы и камни мочеточника. Существуют данные о наследственной природе опухолей мочеточника, связи карциномы мочевых путей с синдромом Линча II, характеризующегося развитием рака толстого кишечника, а также рака матки, яичников и поджелудочной железы.
Клиническая картина
Типичными симптомами опухолей мочеточника служат гематурия, боль в пояснице и дизурия. Гематурия при опухолях мочеточника присутствует в 70-95% наблюдений, причем макрогематурия выявляется у 65-70% пациентов и является причиной обращения к урологу. Болевой синдром развивается в 25-50% случаев и вызывается обтурацией лоханочно-мочеточникового сегмента или мочеточника опухолью.
Позднее присоединяются дизурические расстройства (у 5-10% пациентов) и общие симптомы (5-10%) - субфебрилитет, понижение аппетита, похудание. В запущенных стадиях в результате повышения гидростатического давления в почке развивается гидронефроз, опухоль мочеточника может пальпироваться в животе в виде объемного образования.
Ассоциированные симптомы: Боль в пояснице. Гематурия. Отсутствие аппетита.
Позднее присоединяются дизурические расстройства (у 5-10% пациентов) и общие симптомы (5-10%) - субфебрилитет, понижение аппетита, похудание. В запущенных стадиях в результате повышения гидростатического давления в почке развивается гидронефроз, опухоль мочеточника может пальпироваться в животе в виде объемного образования.
Ассоциированные симптомы: Боль в пояснице. Гематурия. Отсутствие аппетита.
Диагностика
В комплекс исследований при подозрении на опухоль мочеточника включают физикальное обследование, цитологический анализ мочи, УЗИ почек, экскреторную урографию, ретроградную уретеропиелографию, почечную артериографию, цистоскопию, уретероскопию, КТ почек. При цитологическом исследовании мочи, полученной в результате катетеризации мочеточника, могут быть обнаружены атипичные клетки.
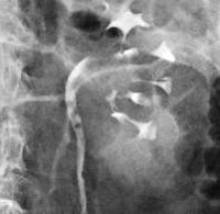
Рентгеновская диагностика (экскреторная урография и ретроградная уретерография) выявляют дефект контрастного заполнения мочеточника в месте опухоли, дилатацию мочеточника и лоханки, гидроуретеронефроз. Катетеризация мочеточника при подготовке к ретроградной уретеропиелографии сопровождается характерным симптомом Шевассю - гематурией при прохождении катетера через препятствие и прекращением выделения крови после преодоления зоны расположения опухоли. Для ретроградных уретерограмм характерны признаки затекания контраста по сторонам от дефекта в виде «змеиного языка».
В случае резкого снижения функций почки, невозможности катетеризации мочеточника предпринимается выполнение пункционной антеградной пиелоуретерографии. Эндоскопические урологические исследования (цистоскопия, уретероскопия) позволяют визуально рассмотреть расположение опухоли мочеточника, выполнить биопсию тканей для проведения морфологического исследования. В ходе цистоскопии определяется пролабирующая из устья мочеточника опухоль, выделение крови из мочеточника.
УЗИ почек производится для выявления инфильтрации опухоли в почечную паренхиму, дифференциации новообразований с рентгенонегативными камнями почек и мочеточников. КТ почек и мочевых путей позволяет оценить распространенность опухоли за пределы почки, вовлеченность лимфоузлов и соседних органов. При необходимости выявления отдаленных метастазов может потребоваться выполнение рентгенографии грудной клетки, сцинтиграфии и УЗИ печени, лимфографии, сцинтиграфии костей.
Рентгеновская диагностика (экскреторная урография и ретроградная уретерография) выявляют дефект контрастного заполнения мочеточника в месте опухоли, дилатацию мочеточника и лоханки, гидроуретеронефроз. Катетеризация мочеточника при подготовке к ретроградной уретеропиелографии сопровождается характерным симптомом Шевассю - гематурией при прохождении катетера через препятствие и прекращением выделения крови после преодоления зоны расположения опухоли. Для ретроградных уретерограмм характерны признаки затекания контраста по сторонам от дефекта в виде «змеиного языка».
В случае резкого снижения функций почки, невозможности катетеризации мочеточника предпринимается выполнение пункционной антеградной пиелоуретерографии. Эндоскопические урологические исследования (цистоскопия, уретероскопия) позволяют визуально рассмотреть расположение опухоли мочеточника, выполнить биопсию тканей для проведения морфологического исследования. В ходе цистоскопии определяется пролабирующая из устья мочеточника опухоль, выделение крови из мочеточника.
УЗИ почек производится для выявления инфильтрации опухоли в почечную паренхиму, дифференциации новообразований с рентгенонегативными камнями почек и мочеточников. КТ почек и мочевых путей позволяет оценить распространенность опухоли за пределы почки, вовлеченность лимфоузлов и соседних органов. При необходимости выявления отдаленных метастазов может потребоваться выполнение рентгенографии грудной клетки, сцинтиграфии и УЗИ печени, лимфографии, сцинтиграфии костей.
Лечение
Лечение опухолей мочеточника, в основном, оперативное. При раке мочеточника в дополнение к хирургическому вмешательству проводится радио- и химиотерапия, однако опухолевые клетки к ним малочувствительны. При выборе лечебной тактики руководствуются типом опухоли мочеточника, локализацией новообразования, состоянием противоположной почки и пр.
Гистологически доброкачественные опухоли мочеточника удаляются путем эндоскопической трансуретеральной резекции (электрорезекции, электрокоагуляции, лазерной коагуляции). При поверхностных, неинвазивно растущих опухолях дистальной трети мочеточника возможно проведение сегментарной резекции мочеточника с формированием уретероцистоанастомоза.
Стандартно при локализованной форме переходно-клеточного рака мочеточника и лоханки выполняется нефроуретерэктомия с частичной резекцией мочевого пузыря, что диктуется высокой опасностью дальнейшего распространения опухоли по мочеточнику. При этом резекция мочевого пузыря может выполняться трансуретрально, а нефроуретерэктомия - из лапароскопического доступа. Постоперационное лечение опухоли мочеточника может дополняться адъювантной терапией: системной химиотерапией, радиотерапией, топической (внутримочеточниковой) иммунохимиотерапией и химиотерапией.
Гистологически доброкачественные опухоли мочеточника удаляются путем эндоскопической трансуретеральной резекции (электрорезекции, электрокоагуляции, лазерной коагуляции). При поверхностных, неинвазивно растущих опухолях дистальной трети мочеточника возможно проведение сегментарной резекции мочеточника с формированием уретероцистоанастомоза.
Стандартно при локализованной форме переходно-клеточного рака мочеточника и лоханки выполняется нефроуретерэктомия с частичной резекцией мочевого пузыря, что диктуется высокой опасностью дальнейшего распространения опухоли по мочеточнику. При этом резекция мочевого пузыря может выполняться трансуретрально, а нефроуретерэктомия - из лапароскопического доступа. Постоперационное лечение опухоли мочеточника может дополняться адъювантной терапией: системной химиотерапией, радиотерапией, топической (внутримочеточниковой) иммунохимиотерапией и химиотерапией.
|
|
Прогноз
Доброкачественные опухоли мочеточника обязательно должны быть удалены, поскольку могут подвергаться малигнизации. После их удаления прогноз для жизни благоприятный. Неинвазивная переходно-клеточная карцинома мочеточника излечима в 80% случаев; инвазивно растущие опухоли - лишь в 10-15%. Злокачественные новообразования после удаления рецидивируют у 12-18% пациентов. При метастатическом или рецидивном течении прогноз неудовлетворительный.
Профилактика
После удаления опухоли мочеточника необходимо наблюдение уролога или нефролога, периодический эндоскопический, рентгенологический и цитологический контроль. Избежать возникновения опухолей мочеточника можно, исключив курение, употребление нефротоксичных препаратов, ограничив взаимодействие с вредными химическими факторами, проводя своевременное лечение заболеваний мочевыводящих путей.