Другие названия и синонимы
Congenital adrenal hyperplasia.
Описание
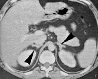
Врожденная гиперплазия надпочечников. Увеличение объема надпочечников связано с дефектом ферментов стероидогенеза в зоне коры головного мозга, что приводит к компенсаторному росту органов для устранения гормонального дефицита. Это проявляется как признаки гиперандрогении у детей обоего пола, в результате чего наружные половые органы развиваются ненормально. Характерно также нарушение водно-солевого обмена и регуляции артериального давления с тенденцией к его снижению. Врожденная гиперплазия надпочечников диагностируется на основании лабораторных данных. Проводится заместительная гормональная терапия и хирургическая коррекция наружных половых органов.
|
|
Дополнительные факты
Врожденная гиперплазия надпочечников - это целая группа заболеваний с похожей клиникой, но основные генетические мутации могут быть разными. Ранее нозология называлась адреногенитальным синдромом. Частота встречаемости клинически выраженных форм составляет примерно 1 случай на 12 000 новорожденных. Около 0,01% структуры заболеваемости обусловлено удаленными формами, которые проявляются в подростковом возрасте и часто клинически незначимы. Врожденная гиперплазия надпочечников является насущной проблемой в педиатрии, поскольку гормоны, вырабатываемые надпочечниками, имеют много органов-мишеней, что означает, что последствия их дефицита в организме проявляются в большом масштабе. Дефицит гормонов влияет на рост и развитие ребенка, что имеет серьезные последствия.
Классификация
Патогенная классификация основана на специфическом ферменте, синтез которого нарушен из-за генетической мутации. Согласно этой классификации, выделяется более десятка форм заболевания, среди которых дефицит фермента 21-гидроксилазы является более распространенным. Существуют врожденная гиперплазия надпочечников, причиной которой является дефицит 17-гидроксилазы, 11-гидроксилазы, 17,20-лиазы, 22,22-десмолазы, 18-гидроксилазы, а также некоторые другие формы, вызванные дефицитом нескольких ферментов, участвующих в процессе. стероидогенез.
Клиническая классификация имеет менее сложную структуру. Существует три формы врожденной гиперплазии надпочечников: простая (вирильная), соленая, неклассическая (стертая, поздняя). Простая форма заболевания сопровождается нарушением развития основных половых признаков у детей обоего пола - гиперандрогении у девочек и макрогеносомы у мальчиков. Симптомы соли характеризуются такими же симптомами, даже в период новорожденности возможны приступы острой надпочечниковой недостаточности (надпочечниковые кризы). Нетрадиционная врожденная гиперплазия надпочечников проявляется отсроченно, чаще всего в период полового созревания. Из-за позднего появления эта форма ранее была воспринята как должное, но теперь есть доказательства того, что она основана на генетическом дефекте.
Клиническая классификация имеет менее сложную структуру. Существует три формы врожденной гиперплазии надпочечников: простая (вирильная), соленая, неклассическая (стертая, поздняя). Простая форма заболевания сопровождается нарушением развития основных половых признаков у детей обоего пола - гиперандрогении у девочек и макрогеносомы у мальчиков. Симптомы соли характеризуются такими же симптомами, даже в период новорожденности возможны приступы острой надпочечниковой недостаточности (надпочечниковые кризы). Нетрадиционная врожденная гиперплазия надпочечников проявляется отсроченно, чаще всего в период полового созревания. Из-за позднего появления эта форма ранее была воспринята как должное, но теперь есть доказательства того, что она основана на генетическом дефекте.
Причины
Причины врожденной гиперплазии надпочечников.
Заболевание развивается из-за генетического дефекта любого звена стероидогенеза в надпочечниках. Повреждение может повлиять на один или несколько ферментов, которые участвуют в синтезе гормонов, вырабатываемых в коре надпочечников. Церебральный слой, как правило, не поражен. Причины мутаций в генах, ответственных за синтез участников стероидогенеза и их правильное функционирование, остаются неизвестными. В настоящее время доказан механизм аутосомно-рецессивного наследования, то есть для проявления врожденной гиперплазии надпочечников необходимо, чтобы оба родителя имели дефектный ген.Патогенез заболевания ограничивается нарушением синтеза глюкокортикоидов, минералокортикоидов и других гормонов, вырабатываемых надпочечниками. В результате концентрация адренокортикотропного гормона (АКТГ) увеличивается, поскольку он является предшественником вышеуказанных гормонов и стимулирует их повышенное образование. Влияние АКТГ на орган-мишень - увеличение коры надпочечников или гиперплазия. Несмотря на увеличение размеров, концентрация гормонов, вырабатываемых надпочечниками, не увеличивается, поскольку происходит нарушение их цепочки синтеза. Таким образом, врожденная гиперплазия надпочечников в клинике проявляется симптомами дефицита гормонов на фоне избытка предшественника гормона - АКТГ.
Клиническая картина
Заболевание (за исключением поздней формы) проявляется с рождения, хотя первые признаки все еще можно увидеть антенатально во время ультразвукового обследования. После родов педиатр может сразу же диагностировать аномальное развитие наружных половых органов у девочек. Как правило, речь идет об увеличенном клиторе, но иногда может возникнуть полностью сформированный половой член, а также недоразвитие или полное отсутствие влагалища и матки. Что касается мальчиков, у них отмечено усиленное развитие наружных половых органов и их увеличенный размер. Иногда при врожденной гиперплазии надпочечников у детей обоего пола наблюдается гиперпигментация кожи. Это связано с избыточным синтезом меланина, предшественником которого также является АКТГ.
В дополнение к сексуальной дисфункции, есть симптомы глюкокортикоидной или минералокортикоидной недостаточности или обеих гормональных групп (в зависимости от уровня генетического дефекта). Он характеризуется низким артериальным давлением с учащенным сердцебиением, бледным или мраморным оттенком кожи. В то же время такие дети физически лучше развиты по сравнению со здоровыми новорожденными, их отличают большие размеры, увеличение мышц и скелета, а также маленький размер родничка. Врожденная гиперплазия надпочечников может проявляться как преждевременное половое созревание с ранним ростом волос, которое всегда предшествует развитию вторичных половых признаков у пациентов.
Острая недостаточность надпочечников может возникнуть при любой форме заболевания, однако при солевой форме это отмечается довольно рано, примерно на второй неделе жизни. Осложнения сопровождаются критическим падением артериального давления, тахикардией, регургитацией или рвотой. Наблюдаются диарея и прогрессирующая потеря веса. Кризис надпочечников требует немедленного лечения в отделении интенсивной терапии, так как это осложнение врожденной гиперплазии надпочечников часто приводит к смерти. Симптомы заболевания могут также ухудшаться после стрессовых ситуаций, например, в подростковом возрасте.
Ассоциированные симптомы: Гипокалиемия. Понос (диарея). Пульсация в висках. Рвота.
В дополнение к сексуальной дисфункции, есть симптомы глюкокортикоидной или минералокортикоидной недостаточности или обеих гормональных групп (в зависимости от уровня генетического дефекта). Он характеризуется низким артериальным давлением с учащенным сердцебиением, бледным или мраморным оттенком кожи. В то же время такие дети физически лучше развиты по сравнению со здоровыми новорожденными, их отличают большие размеры, увеличение мышц и скелета, а также маленький размер родничка. Врожденная гиперплазия надпочечников может проявляться как преждевременное половое созревание с ранним ростом волос, которое всегда предшествует развитию вторичных половых признаков у пациентов.
Острая недостаточность надпочечников может возникнуть при любой форме заболевания, однако при солевой форме это отмечается довольно рано, примерно на второй неделе жизни. Осложнения сопровождаются критическим падением артериального давления, тахикардией, регургитацией или рвотой. Наблюдаются диарея и прогрессирующая потеря веса. Кризис надпочечников требует немедленного лечения в отделении интенсивной терапии, так как это осложнение врожденной гиперплазии надпочечников часто приводит к смерти. Симптомы заболевания могут также ухудшаться после стрессовых ситуаций, например, в подростковом возрасте.
Ассоциированные симптомы: Гипокалиемия. Понос (диарея). Пульсация в висках. Рвота.
Диагностика
Первичный диагноз ставится во время УЗИ беременных женщин. Иногда во время первого или (чаще) второго акушерского УЗИ вы можете заметить аномальное развитие половых органов. Если есть подозрение на врожденную гиперплазию надпочечников, могут быть проведены дополнительные лабораторные анализы для определения уровня гормонов и концентрации различных ферментов стероидогенеза надпочечников. Ранняя диагностика позволяет специалистам определить другие тактики ведения беременности, а также начать терапевтические мероприятия еще до родов.
В настоящее время проводится массовое обследование новорожденных на предмет некоторых наследственных патологий, включая врожденную гиперплазию надпочечников. После рождения ребенка заболевание диагностируется на основе аномального развития наружных половых органов, но диагноз может быть подтвержден и конкретная форма этого состояния может быть установлена только на основании результатов лабораторной диагностики. Золотым стандартом является тест АКТГ, который надежно определяет его высокую концентрацию. Кроме того, этот тест необходим для того, чтобы исключить вторичный дефицит гормонов надпочечников.
Дополнительные тесты показывают гиперкалиемию и гипонатриемию, метаболический ацидоз и низкий уровень сахара в крови. Уровень продуктов метаболизма надпочечников также определяется в моче. Определяется костный возраст, который у пациентов значительно ускоряется. Установка его позволяет провести серию рентгеновских снимков запястья. Кроме того, возможна генетическая диагностика заболевания, однако этот метод является дорогостоящим, и его использование оправдано только в случае установленного семейного анамнеза, то есть случаев врожденной гиперплазии надпочечников в семьи родителей пациента.
В настоящее время проводится массовое обследование новорожденных на предмет некоторых наследственных патологий, включая врожденную гиперплазию надпочечников. После рождения ребенка заболевание диагностируется на основе аномального развития наружных половых органов, но диагноз может быть подтвержден и конкретная форма этого состояния может быть установлена только на основании результатов лабораторной диагностики. Золотым стандартом является тест АКТГ, который надежно определяет его высокую концентрацию. Кроме того, этот тест необходим для того, чтобы исключить вторичный дефицит гормонов надпочечников.
Дополнительные тесты показывают гиперкалиемию и гипонатриемию, метаболический ацидоз и низкий уровень сахара в крови. Уровень продуктов метаболизма надпочечников также определяется в моче. Определяется костный возраст, который у пациентов значительно ускоряется. Установка его позволяет провести серию рентгеновских снимков запястья. Кроме того, возможна генетическая диагностика заболевания, однако этот метод является дорогостоящим, и его использование оправдано только в случае установленного семейного анамнеза, то есть случаев врожденной гиперплазии надпочечников в семьи родителей пациента.
|
|